万千商家帮你免费找货
0 人在求购买到急需产品
- 详细信息
- 技术资料
- 库存:
大量
- 靶点:
ILP2
- 克隆性:
多克隆
- 抗原来源:
Rabbit
- 抗体英文名:
Anti-ILP2
- 抗体名:
抑制细胞凋亡样蛋白2抗体
- 标记物:
HRP,AKP
- 宿主:
人,兔,羊,牛,狗等
- 适应物种:
Human, Mouse, Rat, Chicken, Rabbit
- 免疫原:
KLH conjugated synthetic peptide derived from human ILP2
- 亚型:
IgG
- 形态:
冻干或液体
- 应用范围:
WB,ELISA,IP,ICC等
- 浓度:
1mg/1ml
- 保存条件:
-20 °C
- 规格:
0.2ml/200μg
抑制细胞凋亡样蛋白2抗体产品资料:
英文名称 Anti-ILP2
中文名称 抑制细胞凋亡样蛋白2抗体
别 名 Baculoviral IAP repeat containing 8; Baculoviral IAP repeat containing protein 8; Baculoviral IAP repeat-containing protein 8; BIRC 8; BIRC8; BIRC8 protein; BIRC8_HUMAN; hILP 2; hILP2; IAP like protein 2; IAP-like protein 2; ILP 2; ILP-2; Inhibitor of apoptosis like protein 2; Inhibitor of apoptosis-like protein 2; Testis specific inhibitor of apoptosis; Testis-specific inhibitor of apoptosis.
浓 度 1mg/1ml
规 格 0.2ml/200μg
抗体来源 Rabbit
克隆类型 polyclonal
交叉反应 Human, Mouse, Rat, Chicken, Rabbit
产品类型 一抗
研究领域 细胞生物 信号转导 细胞凋亡
蛋白分子量 predicted molecular weight:
26kDa
性 状 Lyophilized or Liquid
免 疫 原 KLH conjugated synthetic peptide derived from human ILP2
亚 型 IgG
纯化方法 affinity purified by Protein A
储 存 液 Preservative: 15mM Sodium Azide, Constituents: 1% BSA, 0.01M PBS, pH 7.4
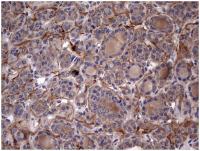
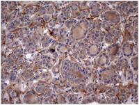
产品应用 WB=1:100-500 ELISA=1:500-1000 IP=1:20-100 IHC-P=1:100-500 IHC-F=1:100-500 IF=1:100-500
公司优势:
★专业营销进口或国产品牌的抗体试剂,种类齐全,数量繁多,涵盖各种生命科研项目,具体有一抗二抗,单抗多抗,标记抗体以及其他各种类型的抗体;
★服务经验丰富,我们提供标记服务,各种标本、种属、具体指标齐全,资深的专业背景和高素质的技术团队,准能让您感受到我们的专业水准;
★关于抑制细胞凋亡样蛋白2抗体更多详情,请来电咨询!
抗体的酶标记法:
一、抗体与过氧化物偶联
1.将5ng抗体与10ng酶在总体积1ml的0.1mol/L磷酸钾缓冲液(pH6.8)混合;
2.在4℃对0.1mol/L磷酸钾缓冲液(pH6.8)透析过夜;
3.用0.1mol/L磷酸钾缓冲液(pH6.8)稀释戊二醛至1%;
4.透析混合液中加入50μ1稀释过的戊二醛,在室温下轻1轻搅拌三小时;
5.加入2mol/L甘氨酸液使最终浓度达到0.1mol/L,混合液室温放置2小时,以封闭残存的醛基;
6.混合液在4℃对PBS透析过夜;
7.10000×g4℃离心30分;
8.将上清移入另一管中,按体积1:1加入甘油,使终浓度达50%;
9.置-20℃保存;
二、抗体与ARP偶联
1.将5mng抗体与10mng酶在总体积2ml的0.1mol/L磷酸钾缓冲液(pH6.8)混合;
2.其它操作同HRP标记法;
三.抗体与荷萄氧化喜偶联
按HRP偶联法操作,仅加入的1%二醛改为150u1;
抗体与β一D一半乳着苷豪偶联,按HRP偶联法操作,但见偶联反应总体积改为2m1,1%戊二醛用量改为的100u1。
抑制细胞凋亡样蛋白2抗体相关产品:
孤菲肽受体蛋白OPRL1 多克隆抗体 OPRX Polyclonal Antibody
共济失调蛋白7样3 多克隆抗体 AT7L3 Polyclonal Antibody
共济失调蛋白7 多克隆抗体 ATX7 Polyclonal Antibody
共济失调蛋白3 多克隆抗体 ATX3 Polyclonal Antibody
共济失调蛋白10 多克隆抗体 ATX10 Polyclonal Antibody
睾丸特异性丝氨酸/苏氨酸蛋白激酶1 多克隆抗体 TSSK1 Polyclonal Antibody
睾丸特异性Y染色质蛋白1 多克隆抗体 CDY1 Polyclonal Antibody
腓骨蛋白1 多克隆抗体 FBLN1 Polyclonal Antibody
非受体酪氨酸激酶c-Src(phospho Tyr529) 多克隆抗体 c-Src (phospho Tyr529) Polyclonal Antibody
非受体酪氨酸激酶c-Src(phospho Tyr419) 多克隆抗体 c-Src (phospho Tyr419) Polyclonal Antibody
非七激酶子同源物1 多克隆抗体 SOS1 Polyclonal Antibody
非红细胞血影蛋白β4 多克隆抗体 SPTN4 Polyclonal Antibody
防御素α1 多克隆抗体 DEF1 Polyclonal Antibody
防御素6 多克隆抗体 DEF6 Polyclonal Antibody
抑制细胞凋亡样蛋白2抗体人EB病毒IgG(EBv IgG)ELISA试剂盒 96T/48T 免费代测
人EB病毒IgM(EBv IgM)ELISA试剂盒 96T/48T 免费代测
人EJ抗体/抗甘氨酰tRNA合成酶抗体(EJ/GlyRS)ELISA试剂盒 96T/48T 免费代测
人E钙粘着蛋白/上皮性钙黏附蛋白(E-Cad)ELISA试剂盒 96T/48T 免费代测
人E选择素(E-Selectin/CD62E)ELISA试剂盒 96T/48T 免费代测
人α-内啡肽(α-EP)ELISA试剂盒 96T/48T 免费代测
人低密度脂蛋白受体(LDLR)ELISA试剂盒 96T/48T 免费代测
人低密度脂蛋白受体相关蛋白6(LRP-6)ELISA试剂盒 96T/48T 免费代测
人低氧诱导因子1α(HIF-1α)ELISA试剂盒 96T/48T 免费代测
人抵抗素(Resistin)ELISA试剂盒 96T/48T 免费代测
人第八因子相关抗原(FⅧAg)ELISA试剂盒 96T/48T 免费代测
人淀粉样前体蛋白(βAPP)ELISA试剂盒 96T/48T 免费代测
英文名称 Anti-ILP2
中文名称 抑制细胞凋亡样蛋白2抗体
别 名 Baculoviral IAP repeat containing 8; Baculoviral IAP repeat containing protein 8; Baculoviral IAP repeat-containing protein 8; BIRC 8; BIRC8; BIRC8 protein; BIRC8_HUMAN; hILP 2; hILP2; IAP like protein 2; IAP-like protein 2; ILP 2; ILP-2; Inhibitor of apoptosis like protein 2; Inhibitor of apoptosis-like protein 2; Testis specific inhibitor of apoptosis; Testis-specific inhibitor of apoptosis.
浓 度 1mg/1ml
规 格 0.2ml/200μg
抗体来源 Rabbit
克隆类型 polyclonal
交叉反应 Human, Mouse, Rat, Chicken, Rabbit
产品类型 一抗
研究领域 细胞生物 信号转导 细胞凋亡
蛋白分子量 predicted molecular weight:
26kDa
性 状 Lyophilized or Liquid
免 疫 原 KLH conjugated synthetic peptide derived from human ILP2
亚 型 IgG
纯化方法 affinity purified by Protein A
储 存 液 Preservative: 15mM Sodium Azide, Constituents: 1% BSA, 0.01M PBS, pH 7.4
产品应用 WB=1:100-500 ELISA=1:500-1000 IP=1:20-100 IHC-P=1:100-500 IHC-F=1:100-500 IF=1:100-500
公司优势:
★专业营销进口或国产品牌的抗体试剂,种类齐全,数量繁多,涵盖各种生命科研项目,具体有一抗二抗,单抗多抗,标记抗体以及其他各种类型的抗体;
★服务经验丰富,我们提供标记服务,各种标本、种属、具体指标齐全,资深的专业背景和高素质的技术团队,准能让您感受到我们的专业水准;
★关于抑制细胞凋亡样蛋白2抗体更多详情,请来电咨询!
抗体的酶标记法:
一、抗体与过氧化物偶联
1.将5ng抗体与10ng酶在总体积1ml的0.1mol/L磷酸钾缓冲液(pH6.8)混合;
2.在4℃对0.1mol/L磷酸钾缓冲液(pH6.8)透析过夜;
3.用0.1mol/L磷酸钾缓冲液(pH6.8)稀释戊二醛至1%;
4.透析混合液中加入50μ1稀释过的戊二醛,在室温下轻1轻搅拌三小时;
5.加入2mol/L甘氨酸液使最终浓度达到0.1mol/L,混合液室温放置2小时,以封闭残存的醛基;
6.混合液在4℃对PBS透析过夜;
7.10000×g4℃离心30分;
8.将上清移入另一管中,按体积1:1加入甘油,使终浓度达50%;
9.置-20℃保存;
二、抗体与ARP偶联
1.将5mng抗体与10mng酶在总体积2ml的0.1mol/L磷酸钾缓冲液(pH6.8)混合;
2.其它操作同HRP标记法;
三.抗体与荷萄氧化喜偶联
按HRP偶联法操作,仅加入的1%二醛改为150u1;
抗体与β一D一半乳着苷豪偶联,按HRP偶联法操作,但见偶联反应总体积改为2m1,1%戊二醛用量改为的100u1。
抑制细胞凋亡样蛋白2抗体相关产品:
孤菲肽受体蛋白OPRL1 多克隆抗体 OPRX Polyclonal Antibody
共济失调蛋白7样3 多克隆抗体 AT7L3 Polyclonal Antibody
共济失调蛋白7 多克隆抗体 ATX7 Polyclonal Antibody
共济失调蛋白3 多克隆抗体 ATX3 Polyclonal Antibody
共济失调蛋白10 多克隆抗体 ATX10 Polyclonal Antibody
睾丸特异性丝氨酸/苏氨酸蛋白激酶1 多克隆抗体 TSSK1 Polyclonal Antibody
睾丸特异性Y染色质蛋白1 多克隆抗体 CDY1 Polyclonal Antibody
腓骨蛋白1 多克隆抗体 FBLN1 Polyclonal Antibody
非受体酪氨酸激酶c-Src(phospho Tyr529) 多克隆抗体 c-Src (phospho Tyr529) Polyclonal Antibody
非受体酪氨酸激酶c-Src(phospho Tyr419) 多克隆抗体 c-Src (phospho Tyr419) Polyclonal Antibody
非七激酶子同源物1 多克隆抗体 SOS1 Polyclonal Antibody
非红细胞血影蛋白β4 多克隆抗体 SPTN4 Polyclonal Antibody
防御素α1 多克隆抗体 DEF1 Polyclonal Antibody
防御素6 多克隆抗体 DEF6 Polyclonal Antibody
抑制细胞凋亡样蛋白2抗体人EB病毒IgG(EBv IgG)ELISA试剂盒 96T/48T 免费代测
人EB病毒IgM(EBv IgM)ELISA试剂盒 96T/48T 免费代测
人EJ抗体/抗甘氨酰tRNA合成酶抗体(EJ/GlyRS)ELISA试剂盒 96T/48T 免费代测
人E钙粘着蛋白/上皮性钙黏附蛋白(E-Cad)ELISA试剂盒 96T/48T 免费代测
人E选择素(E-Selectin/CD62E)ELISA试剂盒 96T/48T 免费代测
人α-内啡肽(α-EP)ELISA试剂盒 96T/48T 免费代测
人低密度脂蛋白受体(LDLR)ELISA试剂盒 96T/48T 免费代测
人低密度脂蛋白受体相关蛋白6(LRP-6)ELISA试剂盒 96T/48T 免费代测
人低氧诱导因子1α(HIF-1α)ELISA试剂盒 96T/48T 免费代测
人抵抗素(Resistin)ELISA试剂盒 96T/48T 免费代测
人第八因子相关抗原(FⅧAg)ELISA试剂盒 96T/48T 免费代测
人淀粉样前体蛋白(βAPP)ELISA试剂盒 96T/48T 免费代测
风险提示:丁香通仅作为第三方平台,为商家信息发布提供平台空间。用户咨询产品时请注意保护个人信息及财产安全,合理判断,谨慎选购商品,商家和用户对交易行为负责。对于医疗器械类产品,请先查证核实企业经营资质和医疗器械产品注册证情况。
技术资料暂无技术资料 索取技术资料
抑制细胞凋亡样蛋白2抗体
询价









