万千商家帮你免费找货
0 人在求购买到急需产品
- 详细信息
- 询价记录
- 文献和实验
- 技术资料
- 服务名称:
前列腺炎大鼠模型
- 提供商:
深圳市拓普生物科技有限公司
角叉菜胶是一种从植物提取的致炎物质,其致炎机理主要是增加局部前列腺素合成,并与血管活性肽类和激肽类诱发水肿,从而导致注射部位发生慢性炎症。
| 实验动物信息 | |
| 动物模型名称: | 前列腺炎大鼠模型 |
| 动物的种属、品系: | SD或Wistar大鼠 |
| 动物性别: | ♂ |
| 动物年龄: | 成年 |
| 动物体重: | 200~250g |
建模方法
手术暴露附于膀胱颈外侧前列腺,模型鼠在前列腺背侧叶单次注射0.1 mL 1%角叉菜胶生理盐水溶液,术后护理15天左右。
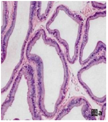
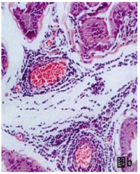
指标特征
血常规和尿常规中白细胞含量增多,前列腺间质或腺腔炎细胞浸润。
部分结果展示

风险提示:丁香通仅作为第三方平台,为商家信息发布提供平台空间。用户咨询产品时请注意保护个人信息及财产安全,合理判断,谨慎选购商品,商家和用户对交易行为负责。对于医疗器械类产品,请先查证核实企业经营资质和医疗器械产品注册证情况。
- 作者
- 内容
- 询问日期
文献和实验骨质疏松是临床上老年人常见的疾病之一,采用背侧入路双侧卵巢摘除手术造模。常规消毒后,近肋脊角附近双侧纵向切口。切开皮下组织后进入腹腔,拉出腹腔内脂肪后翻转向外,子宫角上用可吸收手术缝合线结扎,结扎后可摘除卵巢,逐层关闭切口。卵巢切除后模型大鼠其体内雌激素分泌减少,骨量和骨质量明显下降,到目前是研究绝经后骨质疏松的最佳模型。
原型物种人 来源脂多糖(LPS)介导的急性肺损伤 模式动物品系Wistar大鼠,SPF级,雄性,体重:180g~220g 实验分组随机分组:对照组,模型组,阳性药物组,受试药物组(三个剂量梯度组),15只每组 实验周期24hours 建模方法将大鼠放入固定盒中,用酒精檫拭大鼠尾静脉后,按压住尾静脉1/3处,注射器进针后回抽有血后注入LPS溶液(溶于生理盐水,给药剂量10mg/kg),从而建立内毒素性急性肺损伤大鼠模型。正常对照组的大鼠做同样的操作,但向尾静脉注射等体积的生理盐水。 应用用于急性
前列腺炎是成年男性的常见病。前列腺是长在后尿道位于膀胱前端的一个形状如栗子的腺体。前列腺炎分为感染性和非感染性两种。感染性的前列腺炎常常由于尿道炎、精囊炎、附睾炎引起,也可由于其他部位的感染灶经血行至前列腺引起;非感染性前列腺炎常常由于饮酒、性交过度、长期骑车、手淫等引起前列腺的充血。前列腺炎不一定与性病有关,但近年来确实有很多的性病患者患有淋菌性前列腺炎、支原体性前列腺炎、衣原体性前列腺炎,所以前列腺炎也可能是性病患者的一个症状。当发现患有前列腺炎时要仔细分析,必要时要作
技术资料暂无技术资料 索取技术资料









