相关产品推荐更多 >
万千商家帮你免费找货
0 人在求购买到急需产品
- 详细信息
- 文献和实验
- 技术资料
- 库存:
99
- 保质期:
已收到实际货物为准
- 供应商:
北京诺博莱德科技有限公司
- 保存条件:
已收到实际货物为准
SuperSignal West Dura持久性化学发光底物
特别配合冷光CCD相机使用。
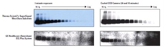
Thermo Scientific SuperSignal West Dura比 GE Healthcare ECL Plus底物提供更好的敏感性和更少的背景。重组的小鼠IL-2经连续稀释后(50-0.003ng)进行电泳。使用SuperSignal West Dura底物进行曝光的凝胶转膜至硝化纤维素膜上,而使用ECL Plus底物进行曝光的凝胶转膜至PVDF膜上(根据操作手册的推荐)。膜封闭后用1μg/ml稀释度的大鼠抗小鼠IL-2一抗进行孵育。洗膜后,用辣根过氧化物酶标记的山羊抗大鼠IgG二抗进行孵育。再次洗膜,之后与底物进行孵育。每张膜用X光胶片曝光五分钟。同时孵育有SuperSignal West Dura底物的膜用Chemilmager 4000曝光30分钟,而孵育有ECL Plus底物的膜曝光15分钟。(因为已经在15分钟内积累了高背景,所以ECL Plus底物不能曝光30分钟)
针对辣根过氧化物酶的Thermo Scientific SuperSignal West Dura持久性化学发光底物,由于其高敏感性和超长信号持续时间而成为冷光CCD相机检测系统的理想选择。与其他底物的信号在30-60分钟内即会衰弱到不可测水平不同,SuperSignal* West Dura底物产生的信号会在几个小时之内保持稳定,因此可进行多次胶片感光或相机曝光。
产品特点:
- 24小时发光-比其他针对辣根过氧化物酶的增强型化学发光底物长10倍的发光时间;可进行多次曝光以获得可直接用于发表的高质量印记
- 灵敏度超高-可进行飞克级的检测,可看到你之前从来不曾看到的条带
- 节省抗体-所需抗体浓度低,只有其他化学发光底物所需抗体的25-50分之一
- 信号强-立即产生稳定的信号,可方便地使用胶片或兼容的成像系统进行检测
- 工作液稳定至少24小时-试剂盒在室温条件下至少稳定一年
24小时持续发光并且高强度
|
底物孵育后静置时间
|
曝光时间
|
点印迹成像†
|
|
5分钟
|
5分钟
|
|
|
1小时
|
5分钟
|
|
|
8小时
|
5分钟
|
|
|
24小时
|
1小时
|
|
这些成像图说明SuperSignal West Dura底物的信号持续时间长于24小时,并且可被冷光CCD相机很好地捕获。37pg辣根过氧化物酶点膜后与SuperSignal WestDura底物孵育5分钟,静置表中显示的时间后,使用Alpha Innotech CorporationChemilmager*4000成像不同时间。
参考文献:
Gangalum, R.K. et al. (2004). J. Biol. Chem.279, 43374-43377.
MacInnis, B.L. and Campenot, R.B. (2004). Science295, 1536-1539.
Sato,S.,et al. (2003). J. Biol. Chem.278, 15123-15127.
Tokumaru, H., et al. (2001). Cell104, 421-432.
订购信息:
|
产品货号
|
产品名称
|
包装
|
|
34076
|
SuperSignal West Dura
持久性化学发光底物
足够用于2000cm2印迹膜
包括:鲁米诺/增强试剂
稳定的过氧化物缓冲液
|
200ml
100ml
100ml
|
|
34075
|
SuperSignal West Dura
持久性化学发光底物§
足够用于1000cm2印迹膜
包括:鲁米诺/增强试剂
稳定的过氧化物缓冲液
|
100ml
50ml
50ml
|
|
37071
|
SuperSignal West Dura
持久性化学发光底物试用装
足够用于200cm2印迹膜
包括:鲁米诺/增强试剂
稳定的过氧化物缓冲液
|
20ml
10ml
10ml
|
相关产品:
当底物发生化学反应而产生的能量以光的形式释放出来的时候,我们称这个过程为化学发光。鲁米诺(luminol)是最常用的化学发光试剂之一,被过氧化物氧化后它会产生一种激发态的产物——aminophthalate。这种产物衰变至低能态的同时释放出光子。专利添加物可以提高鲁米诺反应的发光强度和持续时间(稳定性),从而使增强型化学发光(ECL)成为可能。
化学发光底物被广泛使用是因为其具有其他检测方法不具备的优点,这些优点使得化学发光成为大多数蛋白实验室首选的检测方法。使用化学发光可以通过多次曝光获得最好的成像结果。还可以将检测试剂完全去除,再对其他目的蛋白进行检测并成像,或对检测条件进行优化。具有很宽的线性响应范围,从而可以检测并定量很宽浓度范围的蛋白质。最重要的是,化学发光在所有的检测方法中具有最高的灵敏度。使用辣根过氧化物酶标记的抗体和Thermo ScientificSuperSignal West Femto Chemiluminescent Substrate(Product # 34095),可以检测的下限为1飞克,而这得益于这种底物中的增强剂可以很大程度地增强发光强度并增加发光持续时间。
化学发光底物与其他底物不同之处在于只有在酶和底物发生反应的时候才会产生瞬时的可被检测的光。这与那些可产生稳定有颜色产物的底物不同;些有颜色的沉淀在酶-底物反应结束之后仍然存在于膜上。在化学发光免疫印迹中,底物是反应限制试剂。一旦其耗尽,光就会逐渐变弱并消失。实验中一定要使用适当稀释浓度的抗体,这样才会在几小时内产生稳定的光信号输出,从而维持蛋白检测的一致性和灵敏度。当抗体没被足够稀释时,永远不会获得稳定的光信号输出。系统中太多的酶会快速氧化底物并终止信号。
化学发光底物被广泛使用是因为其具有其他检测方法不具备的优点,这些优点使得化学发光成为大多数蛋白实验室首选的检测方法。使用化学发光可以通过多次曝光获得最好的成像结果。还可以将检测试剂完全去除,再对其他目的蛋白进行检测并成像,或对检测条件进行优化。具有很宽的线性响应范围,从而可以检测并定量很宽浓度范围的蛋白质。最重要的是,化学发光在所有的检测方法中具有最高的灵敏度。使用辣根过氧化物酶标记的抗体和Thermo ScientificSuperSignal West Femto Chemiluminescent Substrate(Product # 34095),可以检测的下限为1飞克,而这得益于这种底物中的增强剂可以很大程度地增强发光强度并增加发光持续时间。
化学发光底物与其他底物不同之处在于只有在酶和底物发生反应的时候才会产生瞬时的可被检测的光。这与那些可产生稳定有颜色产物的底物不同;些有颜色的沉淀在酶-底物反应结束之后仍然存在于膜上。在化学发光免疫印迹中,底物是反应限制试剂。一旦其耗尽,光就会逐渐变弱并消失。实验中一定要使用适当稀释浓度的抗体,这样才会在几小时内产生稳定的光信号输出,从而维持蛋白检测的一致性和灵敏度。当抗体没被足够稀释时,永远不会获得稳定的光信号输出。系统中太多的酶会快速氧化底物并终止信号。
化学发光。鲁米诺在HRP和双氧水存在的条件下会被氧化形成激发态的产物(3-aminophthalate)。3-aminophthalate在衰变至基态的过程中会发出波长为425nm的光。
增强型化学发光的优点
|
灵敏性
|
•强信号,低背景
•只需很少的抗原和抗体
|
|
快速
|
•印迹上快速的底物处理
•信号在几秒钟之内产生
|
|
稳定
|
•与放射性同位素不同,存放期很长
•4oC储存
|
|
硬拷贝结果
|
•用X光胶片捕获结果
•结果不会随时间而褪色,不用担心膜的破裂
•永久保存
|
|
胶片结果
|
•信号随曝光时间增强而增强
•可选择在不同时间曝光
•可优化显色的方法
|
|
印迹可重新检测
|
•非同位素标记的探针可从膜上洗掉
•可重复进行免疫检测
|
|
宽线性范围
|
•可检测很宽范围的蛋白浓度
|
|
可定量
|
•可用反射型显象密度计或成像设备
(例如CCD相机)扫描X光胶片
|
Thermo Scientific化学发光底物的比较
|
|
Pierce ECL 底物
|
SuperSignal West Pico
化学发光底物
|
|
主要优点
|
•只需同类竞争ECL底物价格
的一半即可获得同样的信号强度
|
•相比同类竞争产品,
更好的信号,更低的价格
|
|
更低的检测极限†
|
•低-微克(10-6)
•高-皮摩尔(10-11)
|
•低-皮克(10-12)
•中-阿摩尔(10-17)
|
|
信号持续时间
|
•30分钟-2小时
|
6-8小时
|
|
建议抗体稀释度‡
|
一抗:1:100-1:5000
二抗:1:1000-1:15000
|
一抗:1:1000-1:5000
二抗:1:20000-1:100000
|
|
室温工作溶液稳定性
|
1小时
|
24小时
|
|
储液存放时间
|
4oC一年
|
室温一年
|
|
|
SuperSignal West Dura
持久性化学发光底物
|
SuperSignal West Femto
最高灵敏度化学发光底物
|
|
主要优点
|
•可以获得持续的信号,是
用于成像设备的理想产品
|
•对HRP检测系统是最灵敏的底物
|
|
更低的检测极限†
|
•中-飞克(10-14)
•高-zeptomole(10-19)
|
•低-飞克(10-15)
•中-zeptomole(10-20)
|
|
信号持续时间
|
24小时
|
8小时
|
|
建议抗体稀释度‡
|
一抗:1:1000-1:50000
二抗:1:50000-1:250000
|
一抗:1:5000-1:100000
二抗:1:100000-1:500000
|
|
室温工作溶液稳定性
|
24小时
|
8小时
|
|
储液存放时间
|
室温一年
|
4℃一年或室温六个月
|
风险提示:丁香通仅作为第三方平台,为商家信息发布提供平台空间。用户咨询产品时请注意保护个人信息及财产安全,合理判断,谨慎选购商品,商家和用户对交易行为负责。对于医疗器械类产品,请先查证核实企业经营资质和医疗器械产品注册证情况。
文献和实验相关实验
383 SuperSignalâ West Dura持久性化学发光底物 34075 SuperSignal® West Dura Extended Duration
技术资料暂无技术资料 索取技术资料
持久性化学发光底物(SuperSignal West Dura Extended Duration Substrate)200 mL 34076 PIERCE 现货
询价












