相关产品推荐更多 >
万千商家帮你免费找货
0 人在求购买到急需产品
- 详细信息
- 文献和实验
- 技术资料
- 供应商:
上海康朗生物科技有限公司
- 库存:
大量
- 目录编号:
kl-8177R
- 克隆性:
多克隆
- 抗原来源:
Rabbit
- 保质期:
12个月
- 抗体英文名:
KIF11 antibody
- 抗体名:
驱动蛋白样蛋白1抗体(甲状腺激素受体相互作用蛋白5)
- 宿主:
Rabbit
- 适应物种:
Human, Mouse, Rat, Chicken, Dog, Pig, Cow, Horse, Rabbit,
- 免疫原:
KLH conjugated synthetic peptide derived from human KIF11/Eg5:351-450/1056
- 亚型:
IgG
- 形态:
冻干粉或液体
- 应用范围:
WB=1:500-2000 ELISA=1:500-1000 IHC-P=1:400-800 IHC-F=1:400-800 IF=1:100-500
- 浓度:
1mg/ml
- 保存条件:
-20 °C
- 规格:
100ul 200ul
| 中文名称 | 驱动蛋白样蛋白1抗体(甲状腺激素受体相互作用蛋白5) |
| 别 名 | HKSP; KIF11; kinesin family member 11; Kinesin like protein 1; Kinesin like spindle protein HKSP; KNSL1;Eg5; Thyroid receptor interacting protein 5; TRIP5; KIF11_HUMAN. |
| 规格价格 | 100ul/1380元 购买 200ul/2200元 购买 大包装/询价 |
| 说 明 书 | 100ul 200ul |
| 研究领域 | 细胞生物 信号转导 细胞周期蛋白 细胞骨架 表观遗传学 |
| 抗体来源 | Rabbit |
| 克隆类型 | Polyclonal |
| 交叉反应 | Human, Mouse, Rat, Chicken, Dog, Pig, Cow, Horse, Rabbit, |
| 产品应用 | WB=1:500-2000 ELISA=1:500-1000 IHC-P=1:400-800 IHC-F=1:400-800 IF=1:100-500 (石蜡切片需做抗原修复) not yet tested in other applications. optimal dilutions/concentrations should be determined by the end user. |
| 分 子 量 | 120kDa |
| 细胞定位 | 细胞浆 |
| 性 状 | Lyophilized or Liquid |
| 浓 度 | 1mg/ml |
| 免 疫 原 | KLH conjugated synthetic peptide derived from human KIF11/Eg5:351-450/1056 |
| 亚 型 | IgG |
| 纯化方法 | affinity purified by Protein A |
| 储 存 液 | 0.01M TBS(pH7.4) with 1% BSA, 0.03% Proclin300 and 50% Glycerol. |
| 保存条件 | Store at -20 °C for one year. Avoid repeated freeze/thaw cycles. The lyophilized antibody is stable at room temperature for at least one month and for greater than a year when kept at -20°C. When reconstituted in sterile pH 7.4 0.01M PBS or diluent of antibody the antibody is stable for at least two weeks at 2-4 °C. |
| PubMed | PubMed |
| 产品介绍 | background: Eg5 is a motor protein that belongs to the kinesin-like family. Members of this protein family are known to be involved in various kinds of spindle dynamics. The function of this gene product includes chromosome positioning, centrosome separation and establishing a bipolar spindle during cell mitosis. Function: Motor protein required for establishing a bipolar spindle. Blocking of KIF11 prevents centrosome migration and arrest cells in mitosis with monoastral microtubule arrays. Subunit: Interacts with the thyroid hormone receptor in the presence of thyroid hormone. Component of a large chromatin remodeling complex, at least composed of MYSM1, PCAF, RBM10 and KIF11/TRIP5. Interacts (via C-terminus) with the kinase NEK6 in both interphase and mitosis. Subcellular Location: Cytoplasm. Cytoplasm, cytoskeleton, spindle pole. Post-translational modifications: Phosphorylated exclusively on serine during S phase, but on both serine and Thr-926 during mitosis, so controlling the association of KIF11 with the spindle apparatus (probably during early prophase). Phosphorylated upon DNA damage, probably by ATM or ATR. A subset of this protein primarily localized at the spindle pole is phosphorylated by NEK6 during mitosis; phosphorylation is required for mitotic function. Similarity: Belongs to the kinesin-like protein family. BimC subfamily. Contains 1 kinesin-motor domain. SWISS: P52732 Gene ID: 3832 Database links: Entrez Gene: 3832 Human Omim: 148760 Human SwissProt: P52732 Human Unigene: 8878 Human Important Note: This product as supplied is intended for research use only, not for use in human, therapeutic or diagnostic applications. |
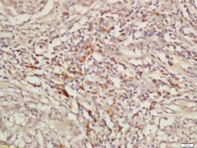
| 产品图片 | ![]() Sample: Testis (Mouse) Lysate at 40 ug Primary: Anti-KIF11 (bs-8177R) at 1/300 dilution Secondary: IRDye800CW Goat Anti-Rabbit IgG at 1/20000 dilution Predicted band size: 120 kD Observed band size: 120 kD ![]() Tissue/cell: Human laryngeal tissue; 4% Paraformaldehyde-fixed and paraffin-embedded; Antigen retrieval: citrate buffer ( 0.01M, pH 6.0 ), Boiling bathing for 15min; Block endogenous peroxidase by 3% Hydrogen peroxide for 30min; Blocking buffer (normal goat serum,C-0005) at 37℃ for 20 min; Incubation: Anti-KIF11 Polyclonal Antibody, Unconjugated(bs-8177R) 1:200, overnight at 4°C, followed by conjugation to the secondary antibody(SP-0023) and DAB(C-0010) staining |
风险提示:丁香通仅作为第三方平台,为商家信息发布提供平台空间。用户咨询产品时请注意保护个人信息及财产安全,合理判断,谨慎选购商品,商家和用户对交易行为负责。对于医疗器械类产品,请先查证核实企业经营资质和医疗器械产品注册证情况。
文献和实验Generation of Antibody Molecules Through Antibody Engineering
been overcome to a large extent using genetic-engineering techniques to produce chimeric mouse/human and completely human antibodies. Such an approach is particularly suitable because of the domain structure of the antibody molecule ( 2 ), where functional
The importance of antibody molecules was first recognized in the 1890s, when it was shown that immunity to tetanus and diphtheria was caused by antibodies against the bacterial exotoxins (1 ). Around the same time, it was shown that antisera
General comments: Antibodies, like most proteins, do not like to be freeze-thawed. Avoid repetitive freezing of your solution. The best way to store your antibody is to keep a high protein concentration (>1 mg/ml), add some protease
技术资料暂无技术资料 索取技术资料












