相关产品推荐更多 >
万千商家帮你免费找货
0 人在求购买到急需产品
- 详细信息
- 技术资料
- 供应商:
上海康朗生物科技有限公司
- 库存:
大量
- 目录编号:
kl-20130R
- 克隆性:
多克隆
- 抗原来源:
Rabbit
- 保质期:
12个月
- 抗体英文名:
FAIM3 antibody
- 抗体名:
FAS凋亡抑制分子3抗体
- 宿主:
Rabbit
- 适应物种:
Human
- 免疫原:
KLH conjugated synthetic peptide derived from human FAIM3:51-150/390 <Extracellular>
- 亚型:
IgG
- 形态:
冻干粉或液体
- 应用范围:
WB=1:500-2000 ELISA=1:500-1000 IHC-P=1:400-800 IHC-F=1:400-800 ICC=1:100-500 IF=1:100-500
- 浓度:
1mg/ml
- 保存条件:
-20 °C
- 规格:
100ul 200ul
FAIM3 antibody
| 中文名称 | FAS凋亡抑制分子3抗体 |
| 别 名 | Faim3; FAIM3_HUMAN; Fas apoptotic inhibitory molecule 3; Fc mu receptor; FCMR; IgM Fc receptor; Immunoglobulin mu Fc receptor; Regulator of Fas induced apoptosis; Regulator of Fas-induced apoptosis Toso; TOSO. |
| 规格价格 | 100ul/1380元 购买 200ul/2200元 购买 大包装/询价 |
| 说 明 书 | 100ul 200ul |
| 研究领域 | 细胞生物 信号转导 细胞凋亡 |
| 抗体来源 | Rabbit |
| 克隆类型 | Polyclonal |
| 交叉反应 | Human, |
| 产品应用 | WB=1:500-2000 ELISA=1:500-1000 IHC-P=1:400-800 IHC-F=1:400-800 ICC=1:100-500 IF=1:100-500 (石蜡切片需做抗原修复) not yet tested in other applications. optimal dilutions/concentrations should be determined by the end user. |
| 分 子 量 | 41kDa |
| 细胞定位 | 细胞膜 分泌型蛋白 |
| 性 状 | Lyophilized or Liquid |
| 浓 度 | 1mg/ml |
| 免 疫 原 | KLH conjugated synthetic peptide derived from human FAIM3:51-150/390 <Extracellular> |
| 亚 型 | IgG |
| 纯化方法 | affinity purified by Protein A |
| 储 存 液 | 0.01M TBS(pH7.4) with 1% BSA, 0.03% Proclin300 and 50% Glycerol. |
| 保存条件 | Store at -20 °C for one year. Avoid repeated freeze/thaw cycles. The lyophilized antibody is stable at room temperature for at least one month and for greater than a year when kept at -20°C. When reconstituted in sterile pH 7.4 0.01M PBS or diluent of antibody the antibody is stable for at least two weeks at 2-4 °C. |
| PubMed | PubMed |
| 产品介绍 | background: The oncogene BCL2 is a membrane protein that blocks a step in a pathway leading to apoptosis or programmed cell death. The protein encoded by this May play a role in the immune system processes. Protects cells from FAS-, TNF alpha- and FADD-induced apoptosis without increasing expression of the inhibitors of apoptosis BCL2 and BCLXL. Seems to activate an inhibitory pathway that prevents CASP8 activation following FAS stimulation, rather than blocking apoptotic signals downstream. May inhibit FAS-induced apoptosis by preventing CASP8 processing through CFLAR up-regulation. Tissue specificity: Expressed in lymph nodes, peripheral blood leukocytes, lung, thymus and kidneys. Very weak expression detected in spleen, liver, heart, and salivary gland. Function: May play a role in the immune system processes. Protects cells from FAS-, TNF alpha- and FADD-induced apoptosis without increasing expression of the inhibitors of apoptosis BCL2 and BCLXL. Seems to activate an inhibitory pathway that prevents CASP8 activation following FAS stimulation, rather than blocking apoptotic signals downstream. May inhibit FAS-induced apoptosis by preventing CASP8 processing through CFLAR up-regulation. Subcellular Location: Isoform 1: Membrane; Single-pass membrane protein. Isoform 3: Secreted. Note=Detected in the serum. Tissue Specificity: Expressed in lymph nodes, peripheral blood leukocytes, lung, thymus and kidneys. Very weak expression detected in spleen, liver, heart, and salivary gland. Expressed in lymphoid cell lines such as Jurkat, CEM-T4, MOLT-4, HB11;19 and Reh. No expression detected in nonhematopoietic cell lines including Hep-G2, HEK293 and HeLa. Detected at high levels in chronic lymphocytic leukemia cells. Similarity: Contains 1 Ig-like (immunoglobulin-like) domain. SWISS: O60667 Gene ID: 9214 Database links: Entrez Gene: 9214 Human Omim: 606015 Human SwissProt: O60667 Human Unigene: 58831 Human Unigene: 728324 Human Important Note: This product as supplied is intended for research use only, not for use in human, therapeutic or diagnostic applications. |
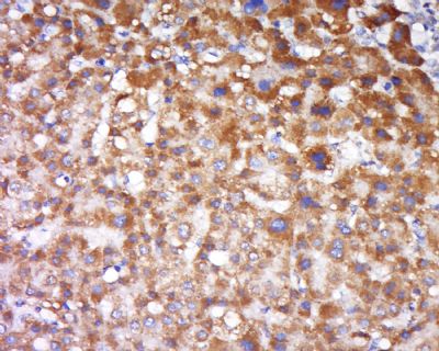
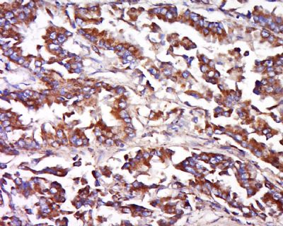
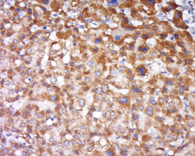
| 产品图片 | ![]() Sample: Hela(Human) Cell Lysate at 30 ug Primary: Anti-FAIM3 (bs-20130R) at 1/300 dilution Secondary: IRDye800CW Goat Anti-Rabbit IgG at 1/20000 dilution Predicted band size: 41 kD Observed band size: 31 kD ![]() Tissue/cell: human lung carcinoma; 4% Paraformaldehyde-fixed and paraffin-embedded; Antigen retrieval: citrate buffer ( 0.01M, pH 6.0 ), Boiling bathing for 15min; Block endogenous peroxidase by 3% Hydrogen peroxide for 30min; Blocking buffer (normal goat serum,C-0005) at 37℃ for 20 min; Incubation: Anti-FAIM3 Polyclonal Antibody, Unconjugated(bs-20130R) 1:500, overnight at 4°C, followed by conjugation to the secondary antibody(SP-0023) and DAB(C-0010) staining ![]() Tissue/cell: human liver cancer; 4% Paraformaldehyde-fixed and paraffin-embedded; Antigen retrieval: citrate buffer ( 0.01M, pH 6.0 ), Boiling bathing for 15min; Block endogenous peroxidase by 3% Hydrogen peroxide for 30min; Blocking buffer (normal goat serum,C-0005) at 37℃ for 20 min; Incubation: Anti-FAIM3 Polyclonal Antibody, Unconjugated(bs-20130R) 1:500, overnight at 4°C, followed by conjugation to the secondary antibody(SP-0023) and DAB(C-0010) staining |
风险提示:丁香通仅作为第三方平台,为商家信息发布提供平台空间。用户咨询产品时请注意保护个人信息及财产安全,合理判断,谨慎选购商品,商家和用户对交易行为负责。对于医疗器械类产品,请先查证核实企业经营资质和医疗器械产品注册证情况。
技术资料暂无技术资料 索取技术资料
FAIM3 antibody
¥1380 - 2200












