相关产品推荐更多 >
万千商家帮你免费找货
0 人在求购买到急需产品
- 详细信息
- 文献和实验
- 技术资料
- 供应商:
上海康朗生物科技有限公司
- 库存:
大量
- 目录编号:
kl-7685R
- 克隆性:
多克隆
- 抗原来源:
Rabbit
- 保质期:
12个月
- 抗体英文名:
Corin antibody
- 抗体名:
心脏特异性丝氨酸蛋白酶抗体
- 宿主:
Rabbit
- 适应物种:
Human, Mouse, Rat, Dog, Pig, Horse,
- 免疫原:
KLH conjugated synthetic peptide derived from human Corin:165-245/1042 <Extracellular>
- 亚型:
IgG
- 形态:
冻干粉或液体
- 应用范围:
ELISA=1:500-1000 IHC-P=1:400-800 IHC-F=1:400-800 IF=1:100-500
- 浓度:
1mg/ml
- 保存条件:
-20 °C
- 规格:
100ul 200ul
| 中文名称 | 心脏特异性丝氨酸蛋白酶抗体 |
| 别 名 | ATC 2; ATC2; Atrial natriuteric peptide converting enzyme; Corin serine peptidase; CRN; Heart specific serine proteinase; Heart specific serine proteinase ATC2; Lrp 4 ; Lrp4; Pro ANP convertase; Pro ANP converting enzyme; TMPRSS 10; Transmembrane protease serine 10. |
| 规格价格 | 100ul/1380元 购买 200ul/2200元 购买 大包装/询价 |
| 说 明 书 | 100ul 200ul |
| 研究领域 | 心血管 细胞生物 激酶和磷酸酶 |
| 抗体来源 | Rabbit |
| 克隆类型 | Polyclonal |
| 交叉反应 | Human, Mouse, Rat, Dog, Pig, Horse, |
| 产品应用 | ELISA=1:500-1000 IHC-P=1:400-800 IHC-F=1:400-800 IF=1:100-500 (石蜡切片需做抗原修复) not yet tested in other applications. optimal dilutions/concentrations should be determined by the end user. |
| 分 子 量 | 115kDa |
| 细胞定位 | 细胞膜 分泌型蛋白 |
| 性 状 | Lyophilized or Liquid |
| 浓 度 | 1mg/ml |
| 免 疫 原 | KLH conjugated synthetic peptide derived from human Corin:165-245/1042 <Extracellular> |
| 亚 型 | IgG |
| 纯化方法 | affinity purified by Protein A |
| 储 存 液 | 0.01M TBS(pH7.4) with 1% BSA, 0.03% Proclin300 and 50% Glycerol. |
| 保存条件 | Store at -20 °C for one year. Avoid repeated freeze/thaw cycles. The lyophilized antibody is stable at room temperature for at least one month and for greater than a year when kept at -20°C. When reconstituted in sterile pH 7.4 0.01M PBS or diluent of antibody the antibody is stable for at least two weeks at 2-4 °C. |
| PubMed | PubMed |
| 产品介绍 | background: Corin was first described as a trypsin-like serine proteinase in the heart which processed pro-atrial natriuretic peptide into the active form ANP. Corin cleaves pro-ANP at Arg98/Ser-99, and blocking Corin message inhibits pro-ANP processing. Null mutant mice lacking Corin develop hypertension, and a series of missense mutations have been identified in humans with high blood pressure and hypertension. Corin is a member of the type-II transmembrane serine proteinases, such as Hepsin, Epitheliasin, Matriptase and enteropeptidase. The Corin domain structure includes a cytoplasmic domain, a transmembrane domain, a spacer region, a frizzled-like domain, 5 LDL Receptor-like domains, another frizzled-like domain, 3 more LDLR-like repeats, a SRCR (Scavenger Receptor-Cysteine Rich) domain (also called macrophage scavenger-like domain), and finally the trypsin-like serine proteinase domain. The complex domain structure puts Corin into the “mosaic” TMPRSS family, so named because of the wide variety of domains. Function: Serine-type endopeptidase involved in atrial natriuretic peptide hormone (NPPA) processing. Converts through proteolytic cleavage the non-functional propeptide NPPA into the active hormone, thereby regulating blood pressure in heart and promoting natriuresis, diuresis and vasodilation. Proteolytic cleavage of pro-NPPA also plays a role in female pregnancy by promoting trophoblast invasion and spiral artery remodeling in uterus. Also acts as a regulator of sodium reabsorption in kidney. May also process pro-NPPB the B-type natriuretic peptide. Isoform 2: has weaker endopeptidase activity compared to isoform 1. Subcellular Location: Cell membrane; Single-pass type II membrane protein. Isoform 2: Cell membrane; Single-pass type II membrane protein. Note=Less efficiently targeted to the cell membrane compared to isoform 1. Atrial natriuretic peptide-converting enzyme, 180 kDa soluble fragment: Secreted. Note=Soluble form produced following cleavage by ADAM10. Atrial natriuretic peptide-converting enzyme, 160 kDa soluble fragment: Secreted. Note=Soluble form produced following autocatalytic cleavage. Atrial natriuretic peptide-converting enzyme, 100 kDa soluble fragment: Secreted. Note=Soluble form produced following autocatalytic cleavage. Tissue Specificity: Highly expressed in heart. Expressed in heart myocytes. Also expressed in pregnant uterus. Post-translational modifications: N-glycosylated; required for processing and activation. Similarity: Belongs to the peptidase S1 family. Contains 2 FZ (frizzled) domains. Contains 7 LDL-receptor class A domains. Contains 1 peptidase S1 domain. Contains 1 SRCR domain. SWISS: Q9Y5Q5 Gene ID: 10699 Database links: Entrez Gene: 10699 Human Entrez Gene: 53419 Mouse Entrez Gene: 289596 Rat Omim: 605236 Human SwissProt: Q9Y5Q5 Human SwissProt: Q566K6 Mouse SwissProt: Q9Z319 Mouse SwissProt: Q80YN4 Rat Unigene: 518618 Human Unigene: 332425 Mouse Unigene: 211679 Rat Important Note: This product as supplied is intended for research use only, not for use in human, therapeutic or diagnostic applications. |
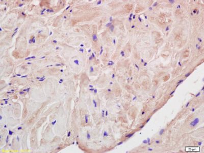
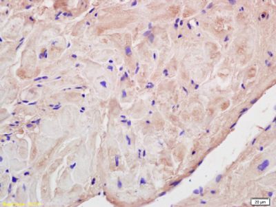
| 产品图片 | ![]() Tissue/cell: rat cardiac muscle; 4% Paraformaldehyde-fixed and paraffin-embedded; Antigen retrieval: citrate buffer ( 0.01M, pH 6.0 ), Boiling bathing for 15min; Block endogenous peroxidase by 3% Hydrogen peroxide for 30min; Blocking buffer (normal goat serum,C-0005) at 37℃ for 20 min; Incubation: Anti-Corin Polyclonal Antibody, Unconjugated(bs-7685R) 1:200, overnight at 4°C, followed by conjugation to the secondary antibody(SP-0023) and DAB(C-0010) staining |
风险提示:丁香通仅作为第三方平台,为商家信息发布提供平台空间。用户咨询产品时请注意保护个人信息及财产安全,合理判断,谨慎选购商品,商家和用户对交易行为负责。对于医疗器械类产品,请先查证核实企业经营资质和医疗器械产品注册证情况。
文献和实验Generation of Antibody Molecules Through Antibody Engineering
been overcome to a large extent using genetic-engineering techniques to produce chimeric mouse/human and completely human antibodies. Such an approach is particularly suitable because of the domain structure of the antibody molecule ( 2 ), where functional
The importance of antibody molecules was first recognized in the 1890s, when it was shown that immunity to tetanus and diphtheria was caused by antibodies against the bacterial exotoxins (1 ). Around the same time, it was shown that antisera
General comments: Antibodies, like most proteins, do not like to be freeze-thawed. Avoid repetitive freezing of your solution. The best way to store your antibody is to keep a high protein concentration (>1 mg/ml), add some protease
技术资料暂无技术资料 索取技术资料











