相关产品推荐更多 >
万千商家帮你免费找货
0 人在求购买到急需产品
- 详细信息
- 文献和实验
- 技术资料
- 供应商:
上海康朗生物科技有限公司
- 库存:
大量
- 目录编号:
kl-7122R
- 克隆性:
多克隆
- 抗原来源:
Rabbit
- 保质期:
12个月
- 抗体英文名:
p75 NGF Receptor antibody
- 抗体名:
神经生长因子受体抗体
- 宿主:
Rabbit
- 适应物种:
Human, Mouse, Rat, Dog,
- 免疫原:
KLH conjugated synthetic peptide derived from human NGFR/p75NTR:151-250/427 <Extracellular>
- 亚型:
IgG
- 形态:
冻干粉或液体
- 应用范围:
WB=1:500-2000 ELISA=1:500-1000 IHC-P=1:400-800 IHC-F=1:400-800 Flow-Cyt=1μg/Test ICC=1:100-500 IF=1:100-500
- 浓度:
1mg/ml
- 保存条件:
-20 °C
- 规格:
100ul 200ul
| 中文名称 | 神经生长因子受体抗体 |
| 别 名 | NGFR; Gp80 LNGFR; ngfrp75; Low affinity nerve growth factor receptor; Low affinity neurotrophin receptor p75NTR; NGF receptor; p75 ICD; CD271; CD271 antigen; Gp80 LNGFR; Low affinity nerve growth factor receptor; Low affinity neurotrophin receptor p75NTR; Nerve growth factor receptor; Nerve growth factor receptor TNFR superfamily member 16; NGF receptor; NGFR; p75 ICD; p75 Neurotrophin receptor; p75 NTR; TNFR Superfamily Member 16; TNFRSF16; Tumor necrosis factor receptor superfamily member 16; TNR16_HUMAN. |
| 规格价格 | 100ul/1380元 购买 200ul/2200元 购买 大包装/询价 |
| 说 明 书 | 100ul 200ul |
| 研究领域 | 细胞生物 神经生物学 信号转导 |
| 抗体来源 | Rabbit |
| 克隆类型 | Polyclonal |
| 交叉反应 | Human, Mouse, Rat, Dog, |
| 产品应用 | WB=1:500-2000 ELISA=1:500-1000 IHC-P=1:400-800 IHC-F=1:400-800 Flow-Cyt=1μg/Test ICC=1:100-500 IF=1:100-500 (石蜡切片需做抗原修复) not yet tested in other applications. optimal dilutions/concentrations should be determined by the end user. |
| 分 子 量 | 42kDa |
| 细胞定位 | 细胞核 细胞浆 细胞膜 |
| 性 状 | Lyophilized or Liquid |
| 浓 度 | 1mg/ml |
| 免 疫 原 | KLH conjugated synthetic peptide derived from human NGFR/p75NTR:151-250/427 <Extracellular> |
| 亚 型 | IgG |
| 纯化方法 | affinity purified by Protein A |
| 储 存 液 | 0.01M TBS(pH7.4) with 1% BSA, 0.03% Proclin300 and 50% Glycerol. |
| 保存条件 | Store at -20 °C for one year. Avoid repeated freeze/thaw cycles. The lyophilized antibody is stable at room temperature for at least one month and for greater than a year when kept at -20°C. When reconstituted in sterile pH 7.4 0.01M PBS or diluent of antibody the antibody is stable for at least two weeks at 2-4 °C. |
| PubMed | PubMed |
| 产品介绍 | background: The low affinity NGFR (Nerve growth factor receptor) is a 75kDa membrane-spanning glycoprotein lacking intrinsic tyrosine kinase activity. p75NGFR interacts with TrkA, the high affinity NGF receptor and potentiates TrkA signaling at low NGF concentrations. The p75 receptor binds nerve growth factor, brain-derived neurotrophic factor, neurotrophin-3 and neurotrophin-4 with varying specificities. The p75NGFR plays an important role in neurotrophic factor signaling and has been shown to modulate the susceptibility of selective cellular populations to programmed cell death. It is expressed on many neuronal cells types including many embryonic forms and the receptor can be used to isolate neuronal progenitor cells. NGF is important for the development, differentiation and survival of a variety of neuronal and non-neuronal cells. Its action is mediated by binding to two distinct receptors, the high affinity p140 and low affinity p75. p75NGFR binds neurotrophins including brain-derived neurotrophic factor (BDNF), neurotrophin-3 (NT-3), NT-4/5, and NT-6. p75NGFR belongs to the TNF-R superfamily and is reported to mediate NGF-induced apoptosis. Function: Low affinity receptor which can bind to NGF, BDNF, NT-3, and NT-4. Can mediate cell survival as well as cell death of neural cells. Subunit: Homodimer; disulfide-linked. Interacts with p75NTR-associated cell death executor. Interacts with NGFRAP1/BEX3. Interacts with TRAF2, TRAF4, TRAF6, PTPN13 and RANBP9. Interacts through TRAF6 with SQSTM1 which bridges NGFR to NTRK1. Interacts with BEX1. Interacts with KIDINS220 and NTRK1. Can form a ternary complex with NTRK1 and KIDINS220 and this complex is affected by the expression levels of KIDINS220. An increase in KIDINS220 expression leads to a decreased association of NGFR and NTRK1. Interacts with LINGO1 (By similarity). Interacts with NTRK2; may regulate the ligand specificity of the NTRK2 receptor. Interacts with NRADD. Subcellular Location: Membrane; Single-pass type I membrane protein. Post-translational modifications: N- and O-glycosylated. Phosphorylated on serine residues. Similarity: Contains 1 death domain. Contains 4 TNFR-Cys repeats. SWISS: P08138 Gene ID: 4804 Database links: Entrez Gene: 4804 Human Entrez Gene: 18053 Mouse Entrez Gene: 24596 Rat Omim: 162010 Human SwissProt: P08138 Human SwissProt: Q9Z0W1 Mouse SwissProt: P07174 Rat Unigene: 415768 Human Unigene: 681726 Human Unigene: 283893 Mouse Unigene: 10980 Rat Important Note: This product as supplied is intended for research use only, not for use in human, therapeutic or diagnostic applications. |
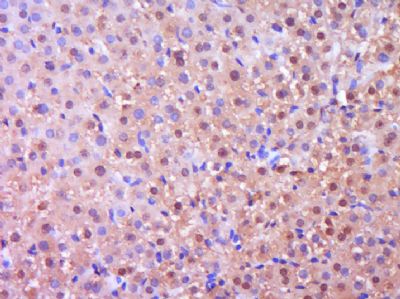
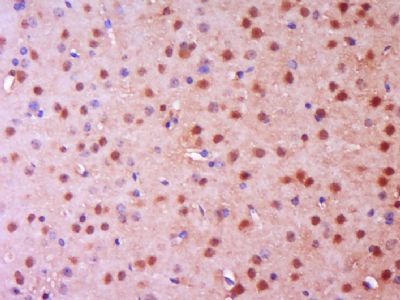
| 产品图片 | ![]() Sample: Cerebellum (mouse) Lysate at 40 ug Primary: Anti-p75 NGF Receptor (bs-7122R)at 1/300 dilution Secondary: IRDye800CW Goat Anti-Rabbit IgG at 1/20000 dilution Predicted band size: 42kD Observed band size: 42kD ![]() Paraformaldehyde-fixed, paraffin embedded (Rat liver); Antigen retrieval by boiling in sodium citrate buffer (pH6.0) for 15min; Block endogenous peroxidase by 3% hydrogen peroxide for 20 minutes; Blocking buffer (normal goat serum) at 37°C for 30min; Antibody incubation with (p75 NGF Receptor) Polyclonal Antibody, Unconjugated (bs-7122R) at 1:400 overnight at 4°C, followed by operating according to SP Kit(Rabbit) (sp-0023) instructionsand DAB staining. ![]() Paraformaldehyde-fixed, paraffin embedded (Mouse brain); Antigen retrieval by boiling in sodium citrate buffer (pH6.0) for 15min; Block endogenous peroxidase by 3% hydrogen peroxide for 20 minutes; Blocking buffer (normal goat serum) at 37°C for 30min; Antibody incubation with (p75 NGF Receptor) Polyclonal Antibody, Unconjugated (bs-7122R) at 1:400 overnight at 4°C, followed by operating according to SP Kit(Rabbit) (sp-0023) instructionsand DAB staining. ![]() Tissue/cell: rat brain tissue; 4% Paraformaldehyde-fixed and paraffin-embedded; Antigen retrieval: citrate buffer ( 0.01M, pH 6.0 ), Boiling bathing for 15min; Block endogenous peroxidase by 3% Hydrogen peroxide for 30min; Blocking buffer (normal goat serum,C-0005) at 37℃ for 20 min; Incubation: Anti-NGFR Polyclonal Antibody, Unconjugated(bs-7122R) 1:200, overnight at 4°C, followed by conjugation to the secondary antibody(SP-0023) and DAB(C-0010) staining ![]() Blank control (blue line): Mouse spleen (fixed with 70% ice-cold methanol overnight at 4℃). Primary Antibody (green line): Rabbit Anti- p75 NGF Receptor antibody (bs-7122R),Dilution: 1μg /10^6 cells; Isotype Control Antibody (orange line): Rabbit IgG . Secondary Antibody (white blue line): Goat anti-rabbit IgG-FITC,Dilution: 1μg /test. |
风险提示:丁香通仅作为第三方平台,为商家信息发布提供平台空间。用户咨询产品时请注意保护个人信息及财产安全,合理判断,谨慎选购商品,商家和用户对交易行为负责。对于医疗器械类产品,请先查证核实企业经营资质和医疗器械产品注册证情况。
文献和实验Cell Reports:浙大陈晓团队解码肌腱成熟过程的关键细胞图谱并验证 NGF-SHP2 调控成熟的机制
形态,特征分子表达,细胞外基质超微结构和力学特性等多种指标,确定了出生后 7 天到 14 天是小鼠肌腱组织成熟的关键转变阶段。之后利用单细胞转录组技术绘制了肌腱成熟转变期的动态细胞亚群图谱及转录调控网络,发现了在发育成熟转变关键阶段富集的特异分泌神经生长因子 NGF 的 Cd9+Cd271+ 的肌腱干祖细胞亚群及受体酪氨酸激酶(Receptor tyrosine kinases)RTKs 信号通路的富集。并进一步在组织离体培养实验中验证了 NGF 的促进肌腱成熟的功能,及其下游 SHP2 活性在该功能
Enzyme-Linked ImmunoSorbent Assay (ELISA) for NGF
A. DAY 1 PROCEDURE• ABSORPTION OF THE POLYCLONAL AND PREIMMUNE SERUMThe Goat Anti-Mouse (GAM) NGF polyclonal antibody recognizes 2.5B NGF and the Goat IgG (GIG) preimmune serum serves as a control for the antibody (Hazleton). The relative signal
Aspects of CNS Lupus: Mouse Models of Anti-NMDA Receptor Antibody Mediated Reactivity
This chapter describes methods utilized in establishing a mouse model of neuropsychiatric lupus encompassing both cognitive and emotional dysfunction, and a model of the influence of maternal antibody on the developing brain. The antibody
技术资料暂无技术资料 索取技术资料















