相关产品推荐更多 >
万千商家帮你免费找货
0 人在求购买到急需产品
- 详细信息
- 文献和实验
- 技术资料
- 供应商:
上海康朗生物科技有限公司
- 库存:
大量
- 目录编号:
kl-6786R
- 克隆性:
多克隆
- 抗原来源:
Rabbit
- 保质期:
12个月
- 抗体英文名:
Aquaporin 8 antibody
- 抗体名:
水通道蛋白8抗体
- 宿主:
Rabbit
- 适应物种:
Human, Mouse, Rat, Dog, Pig, Horse,
- 免疫原:
KLH conjugated synthetic peptide derived from human Aquaporin 8:101-220/261 <Extracellular>
- 亚型:
IgG
- 形态:
冻干粉或液体
- 应用范围:
ELISA=1:500-1000 IHC-P=1:400-800 IHC-F=1:400-800 IF=1:100-500
- 浓度:
1mg/ml
- 保存条件:
-20 °C
- 规格:
50ul 100ul 200ul
| 中文名称 | 水通道蛋白8抗体 |
| 别 名 | AQP 8; AQP-8; AQP8; AQP8_HUMAN; Aquaporin 8; Aquaporin-8; Aquaporin8. |
![]() |
Specific References (1) | bs-6786R has been referenced in 1 publications. [IF=1.09] Wang, Wei, et al. "Expression of AQP5 and AQP8 in human colorectal carcinoma and their clinical significance." World journal of surgical oncology 10.1 (2012): 1-5. IHC-P ; Human. PubMed:23148732 |
| 规格价格 | 50ul/780元 购买 100ul/1380元 购买 200ul/2200元 购买 大包装/询价 |
| 说 明 书 | 50ul 100ul 200ul |
| 研究领域 | 细胞生物 信号转导 通道蛋白 |
| 抗体来源 | Rabbit |
| 克隆类型 | Polyclonal |
| 交叉反应 | Human, Mouse, Rat, Dog, Pig, Horse, |
| 产品应用 | ELISA=1:500-1000 IHC-P=1:400-800 IHC-F=1:400-800 IF=1:100-500 (石蜡切片需做抗原修复) not yet tested in other applications. optimal dilutions/concentrations should be determined by the end user. |
| 分 子 量 | 29kDa |
| 细胞定位 | 细胞膜 |
| 性 状 | Lyophilized or Liquid |
| 浓 度 | 1mg/ml |
| 免 疫 原 | KLH conjugated synthetic peptide derived from human Aquaporin 8:101-220/261 <Extracellular> |
| 亚 型 | IgG |
| 纯化方法 | affinity purified by Protein A |
| 储 存 液 | 0.01M TBS(pH7.4) with 1% BSA, 0.03% Proclin300 and 50% Glycerol. |
| 保存条件 | Store at -20 °C for one year. Avoid repeated freeze/thaw cycles. The lyophilized antibody is stable at room temperature for at least one month and for greater than a year when kept at -20°C. When reconstituted in sterile pH 7.4 0.01M PBS or diluent of antibody the antibody is stable for at least two weeks at 2-4 °C. |
| PubMed | PubMed |
| 产品介绍 | background: Forms a water-specific channel; mercury-sensitive. plays a role in water transport across hepatocyte membranes [RGD, Feb 2006] Subcellular Location: Membrane; Multi-pass membrane protein. Tissue Specificity: Expressed only in pancreas and colon. Similarity: Belongs to the MIP/aquaporin (TC 1.A.8) family. SWISS: O94778 Gene ID: 343 Database links: Entrez Gene: 343 Human Omim: 603750 Human SwissProt: O94778 Human Unigene: 176658 Human Important Note: This product as supplied is intended for research use only, not for use in human, therapeutic or diagnostic applications. |
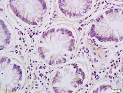
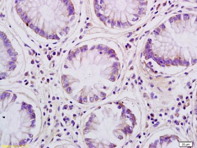
| 产品图片 | ![]() Tissue/cell: human colon carcinoma; 4% Paraformaldehyde-fixed and paraffin-embedded; Antigen retrieval: citrate buffer ( 0.01M, pH 6.0 ), Boiling bathing for 15min; Block endogenous peroxidase by 3% Hydrogen peroxide for 30min; Blocking buffer (normal goat serum,C-0005) at 37℃ for 20 min; Incubation: Anti-AQP8/Aquaporin 8 Polyclonal Antibody, Unconjugated(bs-6786R) 1:200, overnight at 4°C, followed by conjugation to the secondary antibody(SP-0023) and DAB(C-0010) staining |
风险提示:丁香通仅作为第三方平台,为商家信息发布提供平台空间。用户咨询产品时请注意保护个人信息及财产安全,合理判断,谨慎选购商品,商家和用户对交易行为负责。对于医疗器械类产品,请先查证核实企业经营资质和医疗器械产品注册证情况。
文献和实验Secretory Vesicle Swelling by Atomic Force Microscopy
secretory vesicles in exocrine pancreas, swell in response to GTP mediated by a G�i3 protein. Subsequently, our studies demonstrated that the water channel aquaporin-1 (AQP1) is also present at the zymogen granule membrane and participates in rapid GTP
PriCells: Introduction of Isolation and Culture of Human Alveolar Epithelial Cells
), differs significantly from that of the rodent proteins. Aquaporin-5 (AQP-5), a second ATI cell marker, is a member of the large family of aquaporin proteins, most of which are water channels. AQP-5 is a transmembrane protein of approx 27–34-kDa
Introduction to Atomic Force Microscopy (AFM) in Biology
. (). View Image Figure 17.7.6 High‐resolution topograph of a two‐dimensional crystal of the membrane protein aquaporin Z (AqpZ) using
技术资料暂无技术资料 索取技术资料












