万千商家帮你免费找货
0 人在求购买到急需产品
- 详细信息
- 文献和实验
- 技术资料
- 英文名:
Minute™ Histon/DNA Binding Protein Extraction Kit
- 保存条件:
RT
- 规格:
4Tests/50Tests
| 规格: | 4Tests | 产品价格: | ¥600.0 |
|---|---|---|---|
| 规格: | 50Tests | 产品价格: | ¥4200.0 |
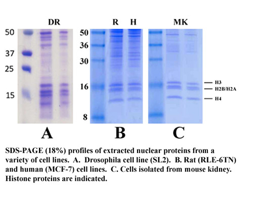
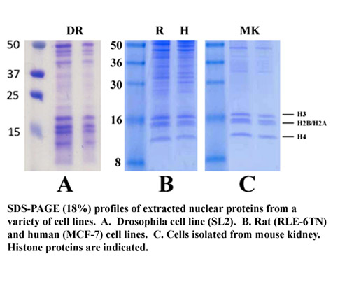
应用:提取出的组蛋白/DNA结合蛋白可以应用于SDS-PAGE,immunoblottings,ELISA,IP和蛋白定位与修饰研究。
特点:简单、快速、性价比高、得率高,小样品量,不使用酸和高盐对下游应用无影响。
储存条件:室温
风险提示:丁香通仅作为第三方平台,为商家信息发布提供平台空间。用户咨询产品时请注意保护个人信息及财产安全,合理判断,谨慎选购商品,商家和用户对交易行为负责。对于医疗器械类产品,请先查证核实企业经营资质和医疗器械产品注册证情况。
文献和实验Ten-Minute Electrotransformation of Saccharomyces cerevisiae
The introduction of exogenous DNA into prokaryotic and eukaryotic cells is one of the most frequently used procedures in the daily laboratory work of a molecular geneticist. In recent years, methods based on high-voltage electric shocks
近年来,ZFN、TALEN、CRISPR/Cas9等基因组编辑技术可谓是层出不穷,尤其是CRISPR/Cas9,一出现便在全球范围内掀起一股热潮。同时,各大公司也开发出一系列相应的产品,其中一种至关重要的就是基因敲除阳性克隆筛选的试剂。 目前,市面上只有Genloci的Cruiser™、Transgenomic的SURVEYOR和NEB的T7EI这三种产品和测序这种方法,被用于基因敲除阳性克隆的筛选。然而,SURVEYOR是进口产品,价格贵,货期长;T7EI可以识别多种DNA结构,如十字
NEB 发布:GenomONE™ 为诱导 iPSC 形成「保驾护航」
间充质干细胞(MSC, mesenchymal stem cells)是干细胞家族的重要成员,属于多能干细胞,因其具有多向分化潜能、造血支持和促进干细胞植入、免疫调控和自我复制等特点而日益受到人们的关注。诱导性多能性的间充质干细胞(iPMSCs)是药物筛选、再生医学和细胞治疗的新型候选药物。然而,用于生成骨髓间充质干细胞的诱导性多能性间充质干细胞(iPSC),在导入编码基因的转录因子中,往往伴随有在靶细胞基因组的插入时发生突变的风险。 由于近年来对骨髓间充质干细胞认知地深入,在造血系统、免疫
技术资料暂无技术资料 索取技术资料





