相关产品推荐更多 >
万千商家帮你免费找货
0 人在求购买到急需产品
- 详细信息
- 技术资料
- 供应商:
上海联迈生物工程有限公司
- 库存:
大量
- 目录编号:
LM-14300R
- 克隆性:
多克隆
- 抗原来源:
Rabbit
- 保质期:
1年
- 抗体英文名:
DGKK
- 抗体名:
甘油二酯激酶κ/DGK-κ抗体
- 宿主:
Rabbit
- 适应物种:
Human, Mouse, Rat,
- 免疫原:
KLH conjugated synthetic peptide derived from human DGKK:181-280/1271
- 亚型:
IgG
- 形态:
Lyophilized or Liquid
- 应用范围:
ELISA=1:500-1000 IHC-P=1:400-800 IHC-F=1:400-800 ICC=1:100-500 IF=1:100-500 (石蜡切片需做抗原修复)
- 浓度:
1mg/ml
- 保存条件:
Store at -20 °C
- 规格:
100ul 200ul
DGKK甘油二酯激酶κ/DGK-κ抗体
| 英文名称 | DGKK |
| 中文名称 | 甘油二酯激酶κ/DGK-κ抗体 |
| 别 名 | 142 kDa diacylglycerol kinase; DAG kinase kappa; DGK kappa; DGKK_HUMAN; Diacylglycerol kinase kappa; Diglyceride kinase kappa. |
| 规格价格 | 100ul/1380元 购买 200ul/2200元 购买 大包装/询价 |
| 说 明 书 | 100ul 200ul |
| 研究领域 | 肿瘤 细胞生物 信号转导 新陈代谢 |
| 抗体来源 | Rabbit |
| 克隆类型 | Polyclonal |
| 交叉反应 | Human, Mouse, Rat, |
| 产品应用 | ELISA=1:500-1000 IHC-P=1:400-800 IHC-F=1:400-800 ICC=1:100-500 IF=1:100-500 (石蜡切片需做抗原修复) not yet tested in other applications. optimal dilutions/concentrations should be determined by the end user. |
| 分 子 量 | 142kDa |
| 细胞定位 | 细胞浆 细胞膜 |
| 性 状 | Lyophilized or Liquid |
| 浓 度 | 1mg/ml |
| 免 疫 原 | KLH conjugated synthetic peptide derived from human DGKK:181-280/1271 |
| 亚 型 | IgG |
| 纯化方法 | affinity purified by Protein A |
| 储 存 液 | 0.01M TBS(pH7.4) with 1% BSA, 0.03% Proclin300 and 50% Glycerol. |
| 保存条件 | Store at -20 °C for one year. Avoid repeated freeze/thaw cycles. The lyophilized antibody is stable at room temperature for at least one month and for greater than a year when kept at -20°C. When reconstituted in sterile pH 7.4 0.01M PBS or diluent of antibody the antibody is stable for at least two weeks at 2-4 °C. |
| PubMed | PubMed |
| 产品介绍 | background: The protein encoded by this gene is an enzyme that phosphorylates diacylglycerol, converting it to phosphatidic acid. The encoded protein is a membrane protein and is inhibited by hydrogen peroxide. Variations in this gene have been associated with hypospadias. [provided by RefSeq, Mar 2011] Function: DGKK (Diacylglycerol kinase kappa) phosphorylates diacylglycerol (DAG) to generate phosphatidic acid (PA). Subunit: Does not form homooligomers. Subcellular Location: Cytoplasm. Membrane; Peripheral membrane protein Tissue Specificity: Expressed in testis, and to a lesser extent in placenta. Post-translational modifications: Phosphorylated at Tyr-78 by some member of the SRC family in response to H(2)O(2). Similarity: Belongs to the eukaryotic diacylglycerol kinase family. Contains 1 DAGKc domain. Contains 1 PH domain. Contains 2 phorbol-ester/DAG-type zinc fingers. SWISS: Q5KSL6 Gene ID: 139189 Database links: Entrez Gene: 139189 Human Entrez Gene: 331374 Mouse SwissProt: Q5KSL6 Human Important Note: This product as supplied is intended for research use only, not for use in human, therapeutic or diagnostic applications. |
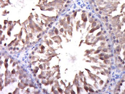
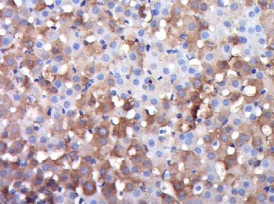
| 产品图片 | ![]() Paraformaldehyde-fixed, paraffin embedded (Rat adrenal gland); Antigen retrieval by boiling in sodium citrate buffer (pH6.0) for 15min; Block endogenous peroxidase by 3% hydrogen peroxide for 20 minutes; Blocking buffer (normal goat serum) at 37°C for 30min; Antibody incubation with (DGKK) Polyclonal Antibody, Unconjugated (bs-14300R) at 1:400 overnight at 4°C, followed by operating according to SP Kit(Rabbit) (sp-0023) instructions and DAB staining. ![]() Paraformaldehyde-fixed, paraffin embedded (Rat testis); Antigen retrieval by boiling in sodium citrate buffer (pH6.0) for 15min; Block endogenous peroxidase by 3% hydrogen peroxide for 20 minutes; Blocking buffer (normal goat serum) at 37°C for 30min; Antibody incubation with (DGKK) Polyclonal Antibody, Unconjugated (bs-14300R) at 1:400 overnight at 4°C, followed by operating according to SP Kit(Rabbit) (sp-0023) instructions and DAB staining. |
风险提示:丁香通仅作为第三方平台,为商家信息发布提供平台空间。用户咨询产品时请注意保护个人信息及财产安全,合理判断,谨慎选购商品,商家和用户对交易行为负责。对于医疗器械类产品,请先查证核实企业经营资质和医疗器械产品注册证情况。
技术资料暂无技术资料 索取技术资料
DGKK甘油二酯激酶κ/DGK-κ抗体
¥1380 - 2200











