相关产品推荐更多 >
万千商家帮你免费找货
0 人在求购买到急需产品
- 详细信息
- 文献和实验
- 技术资料
- 供应商:
上海联迈生物工程有限公司
- 库存:
大量
- 目录编号:
LM-13968R
- 克隆性:
多克隆
- 抗原来源:
Rabbit
- 保质期:
1年
- 抗体英文名:
CHST7
- 抗体名:
碳水化合物磺基转移酶7抗体
- 宿主:
Rabbit
- 适应物种:
Human, Mouse, Rat, Dog, Pig, Cow, Rabbit, Sheep,
- 免疫原:
KLH conjugated synthetic peptide derived from human CHST7:101-200/486
- 亚型:
IgG
- 形态:
Lyophilized or Liquid
- 应用范围:
ELISA=1:500-1000 IHC-P=1:400-800 IHC-F=1:400-800 ICC=1:100-500 IF=1:100-500 (石蜡切片需做抗原修复)
- 浓度:
1mg/ml
- 保存条件:
Store at -20 °C
- 规格:
100ul 200ul
| 英文名称 | CHST7 |
| 中文名称 | 碳水化合物磺基转移酶7抗体 |
| 别 名 | 6 O sulfotransferase 5; C6ST 2; C6ST2; Carbohydrate sulfotransferase 7; Chondroitin 6 sulfotransferase 2; CHST 7; CHST7_HUMAN; CHST7 carbohydrate (N-acetylglucosamine 6-O) sulfotransferase 7; Galactose/N acetylglucosamine/N acetylglucosamine 6 O sulfotransferase 5; GlcNAc6ST 4; Gn6st-4; GST 5; N acetylglucosamine 6 O sulfotransferase 1. |
| 规格价格 | 100ul/1380元 购买 200ul/2200元 购买 大包装/询价 |
| 说 明 书 | 100ul 200ul |
| 研究领域 | 细胞生物 信号转导 新陈代谢 |
| 抗体来源 | Rabbit |
| 克隆类型 | Polyclonal |
| 交叉反应 | Human, Mouse, Rat, Dog, Pig, Cow, Rabbit, Sheep, |
| 产品应用 | ELISA=1:500-1000 IHC-P=1:400-800 IHC-F=1:400-800 ICC=1:100-500 IF=1:100-500 (石蜡切片需做抗原修复) not yet tested in other applications. optimal dilutions/concentrations should be determined by the end user. |
| 分 子 量 | 54kDa |
| 细胞定位 | 细胞浆 |
| 性 状 | Lyophilized or Liquid |
| 浓 度 | 1mg/ml |
| 免 疫 原 | KLH conjugated synthetic peptide derived from human CHST7:101-200/486 |
| 亚 型 | IgG |
| 纯化方法 | affinity purified by Protein A |
| 储 存 液 | 0.01M TBS(pH7.4) with 1% BSA, 0.03% Proclin300 and 50% Glycerol. |
| 保存条件 | Store at -20 °C for one year. Avoid repeated freeze/thaw cycles. The lyophilized antibody is stable at room temperature for at least one month and for greater than a year when kept at -20°C. When reconstituted in sterile pH 7.4 0.01M PBS or diluent of antibody the antibody is stable for at least two weeks at 2-4 °C. |
| PubMed | PubMed |
| 产品介绍 | background: This gene encodes a DNA topoisomerase, an enzyme that controls and alters the topologic states of DNA during transcription. This enzyme catalyzes the transient breaking and rejoining of a single strand of DNA which allows the strands to pass through one another, thus reducing the number of supercoils and altering the topology of DNA. This enzyme forms a complex with BLM which functions in the regulation of recombination in somatic cells. [provided by RefSeq, Jul 2008] Function: CHST7 belongs to the sulfotransferase family. Sulfotransferases generate sulfated glycosaminoglycan (GAG) moities during chondroitin sulfate biosynthesis. They create considerable structural diversity among chondroitin sulfates by transferring sulfate with remarkable specificity for the underlying oligosaccharide substrate. This protein mainly transfers sulfate to N-acetylgalactosamine. The regulated expression of each member of the family may be an important determinant of sulfated GAGs expression and the associated function of chondroitin sulfates as regulators of many biologic processes. Subcellular Location: Golgi apparatus membrane; Single-pass type II membrane protein Tissue Specificity: Widely expressed. Highly expressed in heart, spleen, liver and ovary. Expressed at lower level in brain, placenta, thyroid, spinal cord and peripheral blood leukocytes. Not expressed in adult skin. Similarity: Belongs to the sulfotransferase 1 family. Gal/GlcNAc/GalNAc subfamily. SWISS: Q9NS84 Gene ID: 56548 Database links: Entrez Gene: 56548 Human Entrez Gene: 540357 Cow Entrez Gene: 60322 Mouse Omim: 300375 Human SwissProt: Q9NS84 Human SwissProt: Q9EP78 Mouse Unigene: 129955 Human Important Note: This product as supplied is intended for research use only, not for use in human, therapeutic or diagnostic applications. |
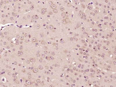
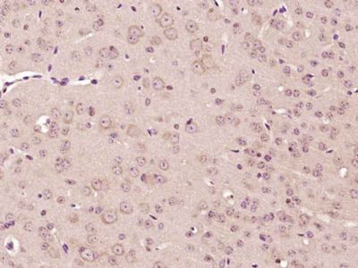
| 产品图片 | ![]() Paraformaldehyde-fixed, paraffin embedded (Mouse brain); Antigen retrieval by boiling in sodium citrate buffer (pH6.0) for 15min; Block endogenous peroxidase by 3% hydrogen peroxide for 20 minutes; Blocking buffer (normal goat serum) at 37°C for 30min; Antibody incubation with (CHST7) Polyclonal Antibody, Unconjugated (bs-13968R) at 1:400 overnight at 4°C, followed by operating according to SP Kit(Rabbit) (sp-0023) instructionsand DAB staining. |
风险提示:丁香通仅作为第三方平台,为商家信息发布提供平台空间。用户咨询产品时请注意保护个人信息及财产安全,合理判断,谨慎选购商品,商家和用户对交易行为负责。对于医疗器械类产品,请先查证核实企业经营资质和医疗器械产品注册证情况。
文献和实验试验;(3)纯化的内源性寡糖结合试验;(4)特异糖基转移酶改变相应寡糖结构后其结合能力的改变。在研究中可同时采用不同的实验方法从不同的角度分析以期获得正确的结论。迄今为止发现的selectin分子的配体都是具有唾液酸化的路易斯寡糖(Sialyl-Lewis)或类似结构的分子(图2-5)。与蛋白质分子抗原不同,直接决定细胞表面某种寡糖表达的因素是与某些特定的糖基转移酶或碳水化合物修饰酶的作用有关,这些酶的作用可能与细胞的生长与代谢状态有着密切的关联。一种寡糖基团可以存在于多种糖蛋白或糖脂分子上,并分布于多种
蛋白质组是动态的,随着大量刺激的变化而变化,翻译后修饰常用于调节细胞活性。PTM 发生在不同的氨基酸侧链或肽键上,它们通常由酶活性介导。事实上,据估计,5% 的蛋白质组包含 200 多种类型翻译后修饰的酶。这些酶包括激酶、磷酸酶、转移酶和连接酶,它们在氨基酸侧链上添加或移除功能组、蛋白质、脂质或糖;以及蛋白酶,它们切割肽键以移除特定序列或调节亚基。许多蛋白质也可以利用自催化结构域,如自激酶和自蛋白分解结构域进行自我修饰。翻译后修饰可以发生在蛋白质生命周期的任何阶段。例如,许多蛋白质在翻译完成后不久就被修饰
对于这种特殊的受体一配体结合的研究主要采用以下几种方法:(1)抗寡糖决定簇特异性单克隆抗体阻断试验;(2)外源性寡糖分子阻断试验;(3)纯化的内源性寡糖结合试验;(4)特异糖基转移酶改变相应寡糖结构后其结合能力的改变。在研究中可同时采用不同的 实验方法 从不同的角度分析以期获得正确的结论。迄今为止发现的selectin分子的配体都是具有唾液酸化的路易斯寡糖(Sialyl-Lewis)或类似结构的分子(图2-5)。与蛋白质分子抗原不同,直接决定细胞表面某种寡糖表达的因素
技术资料暂无技术资料 索取技术资料










