相关产品推荐更多 >
万千商家帮你免费找货
0 人在求购买到急需产品
- 详细信息
- 文献和实验
- 技术资料
- 供应商:
上海联迈生物工程有限公司
- 库存:
大量
- 目录编号:
LM-13831R
- 克隆性:
多克隆
- 抗原来源:
Rabbit
- 保质期:
1年
- 抗体英文名:
CELSR1
- 抗体名:
钙粘蛋白超家族CELSR1抗体
- 宿主:
Rabbit
- 适应物种:
Human, Mouse, Rat, Chicken, Cow, Sheep,
- 免疫原:
KLH conjugated synthetic peptide derived from human CELSR1:751-850/3014 <Extracellular>
- 亚型:
IgG
- 形态:
Lyophilized or Liquid
- 应用范围:
IHC-P=1:400-800 IHC-F=1:400-800 ICC=1:100-500 IF=1:100-500 (石蜡切片需做抗原修复)
- 浓度:
1mg/ml
- 保存条件:
Store at -20 °C
- 规格:
100ul 200ul
| 英文名称 | CELSR1 |
| 中文名称 | 钙粘蛋白超家族CELSR1抗体 |
| 别 名 | Cadherin EGF LAG seven pass G type receptor 1; Cadherin EGF LAG seven pass G type receptor; CDHF 9; CDHF9; CELS R1; CELSR 1; DKFZp434P0729; Flamingo homolog 2; Flamingo homolog; Flamingo homolog Drosophila; FMI 2; FMI2; HFMI 2; HFMI2; ME 2; ME2; OTTHUMP00000028852; Protocadherin flamingo 2; CELR1_HUMAN. |
| 规格价格 | 100ul/1380元 购买 200ul/2200元 购买 大包装/询价 |
| 说 明 书 | 100ul 200ul |
| 研究领域 | 细胞生物 信号转导 细胞膜受体 细胞粘附分子 G蛋白偶联受体 G蛋白信号 |
| 抗体来源 | Rabbit |
| 克隆类型 | Polyclonal |
| 交叉反应 | Human, Mouse, Rat, Chicken, Cow, Sheep, |
| 产品应用 | IHC-P=1:400-800 IHC-F=1:400-800 ICC=1:100-500 IF=1:100-500 (石蜡切片需做抗原修复) not yet tested in other applications. optimal dilutions/concentrations should be determined by the end user. |
| 分 子 量 | 327kDa |
| 细胞定位 | 细胞膜 |
| 性 状 | Lyophilized or Liquid |
| 浓 度 | 1mg/ml |
| 免 疫 原 | KLH conjugated synthetic peptide derived from human CELSR1:751-850/3014 <Extracellular> |
| 亚 型 | IgG |
| 纯化方法 | affinity purified by Protein A |
| 储 存 液 | 0.01M TBS(pH7.4) with 1% BSA, 0.03% Proclin300 and 50% Glycerol. |
| 保存条件 | Store at -20 °C for one year. Avoid repeated freeze/thaw cycles. The lyophilized antibody is stable at room temperature for at least one month and for greater than a year when kept at -20°C. When reconstituted in sterile pH 7.4 0.01M PBS or diluent of antibody the antibody is stable for at least two weeks at 2-4 °C. |
| PubMed | PubMed |
| 产品介绍 | background: The protein encoded by this gene is a member of the flamingo subfamily, part of the cadherin superfamily. The flamingo subfamily consists of nonclassic-type cadherins; a subpopulation that does not interact with catenins. The flamingo cadherins are located at the plasma membrane and have nine cadherin domains, seven epidermal growth factor-like repeats and two laminin A G-type repeats in their ectodomain. They also have seven transmembrane domains, a characteristic unique to this subfamily. It is postulated that these proteins are receptors involved in contact-mediated communication, with cadherin domains acting as homophilic binding regions and the EGF-like domains involved in cell adhesion and receptor-ligand interactions. This particular member is a developmentally regulated, neural-specific gene which plays an unspecified role in early embryogenesis. [provided by RefSeq, Jul 2008] Function: Receptor that may have an important role in cell/cell signaling during nervous system formation. Subcellular Location: Integral membrane protein Post-translational modifications: The iron and 2-oxoglutarate dependent 3-hydroxylation of aspartate and asparagine is (R) stereospecific within EGF domains (By similarity). DISEASE: Neural tube defects (NTD) [MIM:182940]: Congenital malformations of the central nervous system and adjacent structures related to defective neural tube closure during the first trimester of pregnancy. Failure of neural tube closure can occur at any level of the embryonic axis. Common NTD forms include anencephaly, myelomeningocele and spina bifida, which result from the failure of fusion in the cranial and spinal region of the neural tube. NTDs have a multifactorial etiology encompassing both genetic and environmental components. Note=The disease may be caused by mutations affecting the gene represented in this entry. Similarity: Belongs to the G-protein coupled receptor 2 family. LN-TM7 subfamily. Contains 9 cadherin domains. Contains 8 EGF-like domains. Contains 1 GPS domain. Contains 1 laminin EGF-like domain. Contains 2 laminin G-like domains. SWISS: Q9NYQ6 Gene ID: 9620 Database links: Entrez Gene: 9620 Human Omim: 604523 Human SwissProt: Q9NYQ6 Human Unigene: 252387 Human Important Note: This product as supplied is intended for research use only, not for use in human, therapeutic or diagnostic applications. |
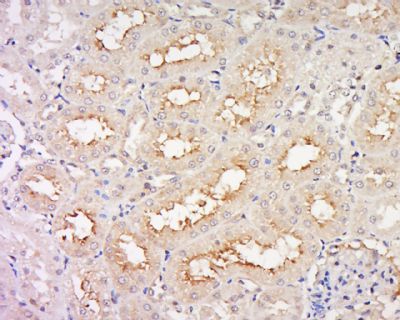
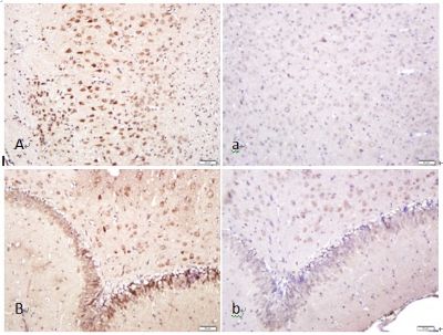
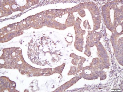
| 产品图片 | ![]() Paraformaldehyde-fixed, paraffin embedded (rat brain); Antigen retrieval by boiling in sodium citrate buffer (pH6.0) for 15min; Block endogenous peroxidase by 3% hydrogen peroxide for 20 minutes; Blocking buffer (normal goat serum) at 37°C for 30min; Antibody incubation with (CELSR1) Polyclonal Antibody, Unconjugated (bs-13831R) at 1:400 overnight at 4°C, followed by a conjugated secondary (sp-0023) for 20 minutes and DAB staining. A,B: non-peptide blocking a,b: peptide blocking negative control ![]() Paraformaldehyde-fixed, paraffin embedded (human cervix cancer); Antigen retrieval by boiling in sodium citrate buffer (pH6.0) for 15min; Block endogenous peroxidase by 3% hydrogen peroxide for 20 minutes; Blocking buffer (normal goat serum) at 37°C for 30min; Antibody incubation with (CELSR1) Polyclonal Antibody, Unconjugated (bs-13831R) at 1:400 overnight at 4°C, followed by a conjugated secondary (sp-0023) for 20 minutes and DAB staining. ![]() Tissue/cell: rat kidney tissue; 4% Paraformaldehyde-fixed and paraffin-embedded; Antigen retrieval: citrate buffer ( 0.01M, pH 6.0 ), Boiling bathing for 15min; Block endogenous peroxidase by 3% Hydrogen peroxide for 30min; Blocking buffer (normal goat serum,C-0005) at 37℃ for 20 min; Incubation: Anti-CELSR1 Polyclonal Antibody, Unconjugated(bs-13831R) 1:500, overnight at 4°C, followed by conjugation to the secondary antibody(SP-0023) and DAB(C-0010) staining |
风险提示:丁香通仅作为第三方平台,为商家信息发布提供平台空间。用户咨询产品时请注意保护个人信息及财产安全,合理判断,谨慎选购商品,商家和用户对交易行为负责。对于医疗器械类产品,请先查证核实企业经营资质和医疗器械产品注册证情况。
文献和实验黏附分子 1、名词及符号: ECM--细胞外基质、Fn(纤连蛋白)、Ln(层连蛋白)、FAK(粘着斑激酶)、TPK(酪氨酸蛋白激酶)、SH(Src 同源序列)、Ln-R(层连蛋白受体)、CD44--白细胞分化抗原,RGD(Fn与整连蛋白结合)Ig-SF(免疫球蛋白超家族);基膜、血管地址素、整联蛋白、层连蛋白、钙粘蛋白、粘着班激酶、酪氨酸蛋白激酶、纤连蛋白、半桥粒、桥粒、同嗜性相互作用、异嗜性相互作用。 2、简述细胞外基质粘附分子的功能。 ① Fn与细胞粘附和移动,胞内:与Fn结合的细胞含有丰富的肌动蛋白
技术资料暂无技术资料 索取技术资料












