相关产品推荐更多 >
万千商家帮你免费找货
0 人在求购买到急需产品
- 详细信息
- 文献和实验
- 技术资料
- 供应商:
上海联迈生物工程有限公司
- 库存:
大量
- 目录编号:
LM-13740R
- 克隆性:
多克隆
- 抗原来源:
Rabbit
- 保质期:
1年
- 抗体英文名:
Smoothelin
- 抗体名:
平滑肌蛋白抗体
- 宿主:
Rabbit
- 适应物种:
Human, Mouse, Rat, Dog, Pig, Cow, Rabbit, Orangutan
- 免疫原:
KLH conjugated synthetic peptide derived from human Smoothelin:851-917/917
- 亚型:
IgG
- 形态:
Lyophilized or Liquid
- 应用范围:
WB=1:500-2000 ELISA=1:500-1000 IHC-P=1:400-800 IHC-F=1:400-800 ICC=1:100-500 IF=1:100-500 (石蜡切片需做抗原修复)
- 浓度:
1mg/ml
- 保存条件:
Store at -20 °C
- 规格:
100ul 200ul
| 英文名称 | Smoothelin |
| 中文名称 | 平滑肌蛋白抗体 |
| 别 名 | FLJ35168; FLJ35365; FLJ35620; FLJ38597; Smoothelin; SMSMO; Smtn; SMTN_HUMAN. |
| 规格价格 | 100ul/1380元 购买 200ul/2200元 购买 大包装/询价 |
| 说 明 书 | 100ul 200ul |
| 研究领域 | 细胞生物 信号转导 细胞类型标志物 细胞骨架 |
| 抗体来源 | Rabbit |
| 克隆类型 | Polyclonal |
| 交叉反应 | Human, Mouse, Rat, Dog, Pig, Cow, Rabbit, Orangutan |
| 产品应用 | WB=1:500-2000 ELISA=1:500-1000 IHC-P=1:400-800 IHC-F=1:400-800 ICC=1:100-500 IF=1:100-500 (石蜡切片需做抗原修复) not yet tested in other applications. optimal dilutions/concentrations should be determined by the end user. |
| 分 子 量 | 100kDa |
| 细胞定位 | 细胞浆 |
| 性 状 | Lyophilized or Liquid |
| 浓 度 | 1mg/ml |
| 免 疫 原 | KLH conjugated synthetic peptide derived from human Smoothelin:851-917/917 |
| 亚 型 | IgG |
| 纯化方法 | affinity purified by Protein A |
| 储 存 液 | 0.01M TBS(pH7.4) with 1% BSA, 0.03% Proclin300 and 50% Glycerol. |
| 保存条件 | Store at -20 °C for one year. Avoid repeated freeze/thaw cycles. The lyophilized antibody is stable at room temperature for at least one month and for greater than a year when kept at -20°C. When reconstituted in sterile pH 7.4 0.01M PBS or diluent of antibody the antibody is stable for at least two weeks at 2-4 °C. |
| PubMed | PubMed |
| 产品介绍 | background: The cytoskeletal protein smoothelin is highly conserved among vertebrates and is expressed exclusively by contractile smooth muscle cells where it localizes to the filament network. Smoothelin associates with actin stress fibers but does not interact with desmin. At least two isoforms of smoothelin are produced by alternative splicing. The short isoform lacks amino acids 1–544 at the amino-terminus of the long isoform. The short isoform is expressed in visceral muscle tissue, including intestine and stomach, but not in brain, while the long isoform is expressed in all vascularized organs. In the vascular system, smoothelin expression is limited to large veins and arteries capable of pulsatile contraction. As a marker for the highly differentiated contractile smooth muscle cell, smoothelin expression is useful for studying vascular malformation and injury. The gene encoding human smoothelin maps to chromosome 22q12.2. Function: Structural protein of the cytoskeleton. Subcellular Location: Cytoplasm > cytoskeleton. Exhibits a filamentous organization. Tissue Specificity: Smooth muscle; contractile or vascular (for the long form). Similarity: Belongs to the smoothelin family. Contains 1 CH (calponin-homology) domain. SWISS: P53814 Gene ID: 6525 Database links: Entrez Gene: 6525 Human Entrez Gene: 29856 Mouse Entrez Gene: 289734 Rat Omim: 602127 Human SwissProt: P53814 Human SwissProt: Q921U8 Mouse Unigene: 149098 Human Unigene: 188516 Mouse Unigene: 40766 Rat Important Note: This product as supplied is intended for research use only, not for use in human, therapeutic or diagnostic applications. |
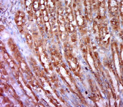
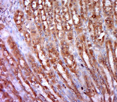
| 产品图片 | ![]() Paraformaldehyde-fixed, paraffin embedded (rat stomach tissue); Antigen retrieval by boiling in sodium citrate buffer (pH6.0) for 15min; Block endogenous peroxidase by 3% hydrogen peroxide for 20 minutes; Blocking buffer (normal goat serum) at 37°C for 30min; Antibody incubation with (Smoothelin) Polyclonal Antibody, Unconjugated (bs-13740R) at 1:400 overnight at 4°C, followed by a conjugated secondary (sp-0023) for 20 minutes and DAB staining. |
风险提示:丁香通仅作为第三方平台,为商家信息发布提供平台空间。用户咨询产品时请注意保护个人信息及财产安全,合理判断,谨慎选购商品,商家和用户对交易行为负责。对于医疗器械类产品,请先查证核实企业经营资质和医疗器械产品注册证情况。
文献和实验细胞的纯度几乎99%。结论:该方法易行、可靠、在短期内可获得大量高纯度膀胱平滑肌细胞。二、材料及方法 1、试剂及标本成同龄雄性新西兰白兔2只,体重约2.5~3k(购于南京军区南京总医院动物实验中心),一只为正常成年雄性新西兰白兔,一只为膀胱出口不全梗阻8周成年雄性新西兰白兔。DMEM、Ⅱ型胶原酶及α-肌动蛋白抗体(α-actin)购于北京华美公司;胎牛血清购于杭州四季青公司;胰蛋白酶购于南京生兴公司。2、 膀胱平滑肌细胞酶法分离肌注盐酸氯胺酮200mg及氟哌利多5mg麻醉,待兔进入麻醉状态后消毒,下腹
的带状肌母细胞,比较易于确诊,但有时找不到带状肌母细胞,易与多形性恶性纤维组织细胞瘤混淆。小细胞性胚胎性横纹肌肉瘤则与软组织恶性淋巴瘤,尤文氏肉瘤,周围性神经母细胞瘤难于鉴别。应用比较特异的肌球蛋白抗体就可识别。肌浆球蛋白和结蛋白抗体亦可作阳性标记,因为平滑肌肿瘤不可能是小细胞性,另外加用白细胞共同抗原(LCA)和S―100抗体则能排除淋巴瘤和神经母细胞瘤。在实际工作中要引起我们注意的是有时一些小细胞肉瘤浸润人横纹肌组织,在瘤细胞中混杂一些萎缩状横纹肌细胞,出现肌球蛋白抗体阳性,而不是横纹
的带状肌母细胞,比较易于确诊,但有时找不到带状肌母细胞,易与多形性恶性纤维组织细胞瘤混淆。小细胞性胚胎性横纹肌肉瘤则与软组织恶性淋巴瘤,尤文氏肉瘤,周围性神经母细胞瘤难于鉴别。应用比较特异的肌球蛋白抗体就可识别。肌浆球蛋白和结蛋白抗体亦可作阳性标记,因为平滑肌肿瘤不可能是小细胞性,另外加用白细胞共同抗原(LCA)和S―100抗体则能排除淋巴瘤和神经母细胞瘤。在实际工作中要引起我们注意的是有时一些小细胞肉瘤浸润人横纹肌组织,在瘤细胞中混杂一些萎缩状横纹肌细胞,出现肌球蛋白抗体阳性,而不是横纹
技术资料暂无技术资料 索取技术资料










