相关产品推荐更多 >
万千商家帮你免费找货
0 人在求购买到急需产品
- 详细信息
- 文献和实验
- 技术资料
- 供应商:
上海联迈生物工程有限公司
- 库存:
大量
- 目录编号:
LM-13711R
- 克隆性:
多克隆
- 抗原来源:
Rabbit
- 保质期:
1年
- 抗体英文名:
PR3
- 抗体名:
白细胞蛋白酶3抗体
- 宿主:
Rabbit
- 适应物种:
Human
- 免疫原:
KLH conjugated synthetic peptide derived from human PR3:21-120/256
- 亚型:
IgG
- 形态:
Lyophilized or Liquid
- 应用范围:
WB=1:500-2000 ELISA=1:500-1000 IHC-P=1:400-800 IHC-F=1:400-800 ICC=1:100-500 IF=1:100-500 (石蜡切片需做抗原修复)
- 浓度:
1mg/ml
- 保存条件:
Store at -20 °C
- 规格:
100ul 200ul
| 英文名称 | PR3 |
| 中文名称 | 白细胞蛋白酶3抗体 |
| 别 名 | ACPA; AGP 7; AGP7; AGP7 serine proteinase; Azurophil Granule Protein 7; C ANCA antigen; C-ANCA antigen; EC 3.4.21.76; Leukocyte proteinase 3; MBN; MBT WEGENER AUTOANTIGEN; Myeloblastin; Neutrophil proteinase 4; NP 4; NP-4; NP4; P29; PR 3; PR-3; PR3; Proteinase3; PRTN 3; Prtn3; PRTN3_HUMAN; Serine proteinase neutrophil Wegener granulomatosis autoantigen; Wegener autoantigen. |
| 规格价格 | 100ul/1380元 购买 200ul/2200元 购买 大包装/询价 |
| 说 明 书 | 100ul 200ul |
| 研究领域 | 细胞生物 信号转导 淋巴细胞 |
| 抗体来源 | Rabbit |
| 克隆类型 | Polyclonal |
| 交叉反应 | Human, |
| 产品应用 | WB=1:500-2000 ELISA=1:500-1000 IHC-P=1:400-800 IHC-F=1:400-800 ICC=1:100-500 IF=1:100-500 (石蜡切片需做抗原修复) not yet tested in other applications. optimal dilutions/concentrations should be determined by the end user. |
| 分 子 量 | 28kDa |
| 细胞定位 | 细胞膜 |
| 性 状 | Lyophilized or Liquid |
| 浓 度 | 1mg/ml |
| 免 疫 原 | KLH conjugated synthetic peptide derived from human PR3:21-120/256 |
| 亚 型 | IgG |
| 纯化方法 | affinity purified by Protein A |
| 储 存 液 | 0.01M TBS(pH7.4) with 1% BSA, 0.03% Proclin300 and 50% Glycerol. |
| 保存条件 | Store at -20 °C for one year. Avoid repeated freeze/thaw cycles. The lyophilized antibody is stable at room temperature for at least one month and for greater than a year when kept at -20°C. When reconstituted in sterile pH 7.4 0.01M PBS or diluent of antibody the antibody is stable for at least two weeks at 2-4 °C. |
| PubMed | PubMed |
| 产品介绍 | background: The major features of Wegener granulomatosis are necrotizing granulomatous lesions, which most often affect the upper and lower airways and are associated with vasculitis, necrotizing glomerulonephritis and pulmonary capillaritis. The antigen responsible for this disease is Proteinase 3 (PR3, P29 or myeloblastin), which is one of the antibiotic proteins of neutrophilic granules belonging to the serine protease family. It is closely related to two others: Neutrophil Elastase and azurocidin. All three genes are expressed coordinately and their protein products are packaged together into azurophil granules during neutrophil differentiation. PR3 is a neutrophil protein which is able to cleave elastin and is involved in proliferation of human leukemia cells. PR3 is expressed specifically in immature myeloid cells and is a G-CSF-responsive protein critical to factor-independent growth. The genes for all three of the related serine protease family members are located in a cluster on the tip of the short arm of human chromosome 19. Function: Polymorphonuclear leukocyte serine protease that degrades elastin, fibronectin, laminin, vitronectin, and collagen types I, III, and IV (in vitro) and causes emphysema when administered by tracheal insufflation to hamsters. Similarity: Belongs to the peptidase S1 family. Elastase subfamily. Contains 1 peptidase S1 domain. SWISS: P24158 Gene ID: 5657 Database links: Entrez Gene: 5657 Human Omim: 177020 Human SwissProt: P24158 Human Unigene: 928 Human Important Note: This product as supplied is intended for research use only, not for use in human, therapeutic or diagnostic applications. |
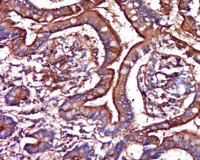
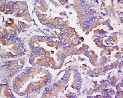
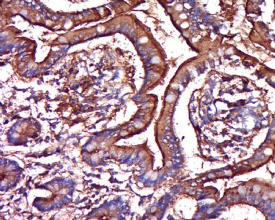
| 产品图片 | ![]() Tissue/cell: human lung carcinoma; 4% Paraformaldehyde-fixed and paraffin-embedded; Antigen retrieval: citrate buffer ( 0.01M, pH 6.0 ), Boiling bathing for 15min; Block endogenous peroxidase by 3% Hydrogen peroxide for 30min; Blocking buffer (normal goat serum,C-0005) at 37℃ for 20 min; Incubation: Anti-PR3 Polyclonal Antibody, Unconjugated(bs-13711R) 1:500, overnight at 4°C, followed by conjugation to the secondary antibody(SP-0023) and DAB(C-0010) staining ![]() Tissue/cell: human colon cancer; 4% Paraformaldehyde-fixed and paraffin-embedded; Antigen retrieval: citrate buffer ( 0.01M, pH 6.0 ), Boiling bathing for 15min; Block endogenous peroxidase by 3% Hydrogen peroxide for 30min; Blocking buffer (normal goat serum,C-0005) at 37℃ for 20 min; Incubation: Anti-PR3 Polyclonal Antibody, Unconjugated(bs-13711R) 1:500, overnight at 4°C, followed by conjugation to the secondary antibody(SP-0023) and DAB(C-0010) staining |
风险提示:丁香通仅作为第三方平台,为商家信息发布提供平台空间。用户咨询产品时请注意保护个人信息及财产安全,合理判断,谨慎选购商品,商家和用户对交易行为负责。对于医疗器械类产品,请先查证核实企业经营资质和医疗器械产品注册证情况。
文献和实验人 蛋白酶3特异性抗中性粒细胞胞质抗体(PR3-ANCA) 酶联免疫 分析(ELISA)试剂 盒使用说明书 本试剂仅供研究使用 目的:本试剂盒用于测定人血清,血浆及相关液体样本中 蛋白酶3特异性抗中性粒细胞胞质抗体(PR3-ANCA) 的含量。 实验原理 : 本试剂盒应用双抗体夹心法测定 标本 中 人 蛋白酶3特异性抗中性粒细胞胞质抗体(PR3-ANCA) 水平。用纯化的 人 蛋白酶3特异性抗中性粒细胞胞质抗体(PR3
小鼠白细胞介素 - 10抗体( IL-10 Ab ) 酶联免疫 分析( ELISA ) 试剂 盒使用说明书 本试剂仅供研究使用 目的:本试剂盒用于测定小鼠血清,细胞上清及相关液体样本中 白细胞介素-10抗体(IL-10 Ab) 含量。 实验原理 : 本试剂盒应用双 抗原 夹心法测定 标本 中 小鼠白细胞介素10 抗体(IL-10 Ab ) 水平。用纯化的 小鼠白细胞介素10 抗原 包被微孔板,制成固相 抗原
小鼠白细胞介素-12抗体(IL-12 Ab) 酶联免疫 分析( ELISA ) 试剂 盒使用说明书 本试剂仅供研究使用 目的:本试剂盒用于测定小鼠血清,血浆及相关液体样本中白细胞介素-12抗体(IL-12 Ab)含量。 实验原理 : 本试剂盒应用双 抗原 夹心法测定 标本 中 小鼠白细胞介素-12 抗体( IL-12 Ab ) 水平。用纯化的 小鼠白细胞介素-12 ( IL-12 )抗原 包被微孔板,制成固相
技术资料暂无技术资料 索取技术资料












