相关产品推荐更多 >
万千商家帮你免费找货
0 人在求购买到急需产品
- 详细信息
- 文献和实验
- 技术资料
- 供应商:
上海康朗生物科技有限公司
- 库存:
大量
- 目录编号:
kl-20700R
- 克隆性:
多克隆
- 抗原来源:
Rabbit
- 保质期:
12个月
- 抗体英文名:
Galectin 3 antibody
- 抗体名:
半乳糖凝集素3抗体
- 宿主:
Rabbit
- 适应物种:
Human, Mouse, Rat, Dog,
- 免疫原:
KLH conjugated synthetic peptide derived from human Galectin 3:181-250/250
- 亚型:
IgG
- 形态:
冻干粉或液体
- 应用范围:
WB=1:500-2000 ELISA=1:500-1000 IHC-P=1:400-800 IHC-F=1:400-800 ICC=1:100-500 IF=1:100-500
- 浓度:
1mg/ml
- 保存条件:
-20 °C
- 规格:
100ul 200ul
| 中文名称 | 半乳糖凝集素3抗体 |
| 别 名 | Galectin-3; 35 kDa lectin; Carbohydrate binding protein 35; CBP 35; CBP35; GAL 3; GAL3; Galactose specific lectin 3; Galactose-specific lectin 3; Galactoside binding protein; Galactoside-binding protein; GALBP; Galectin3 internal gene,included; Galectin-3; Galectin3; GALIG; GBP; IgE binding protein; IgE-binding protein; L 31; L 34; L-34 galactoside-binding lectin; L31; Laminin binding protein; Laminin-binding protein; Lectin galactose binding soluble 3; Lectin galactoside binding soluble 3; Lectin L 29; Lectin L-29; Lectin, galactose binding, soluble 3; LGALS 3; LGALS2; LGALS3; LGALS3 protein; MAC 2 antigen; Mac-2; MAC2; Macrophage galactose-specific lectin; MGC105387;Galectin- 3; LEG3_HUMAN. |
| 规格价格 | 100ul/1380元 购买 200ul/2200元 购买 大包装/询价 |
| 说 明 书 | 100ul 200ul |
| 研究领域 | 肿瘤 细胞生物 免疫学 细胞凋亡 细胞粘附分子 |
| 抗体来源 | Rabbit |
| 克隆类型 | Polyclonal |
| 交叉反应 | Human, Mouse, Rat, Dog, |
| 产品应用 | WB=1:500-2000 ELISA=1:500-1000 IHC-P=1:400-800 IHC-F=1:400-800 ICC=1:100-500 IF=1:100-500 (石蜡切片需做抗原修复) not yet tested in other applications. optimal dilutions/concentrations should be determined by the end user. |
| 分 子 量 | 29kDa |
| 细胞定位 | 细胞核 细胞浆 分泌型蛋白 |
| 性 状 | Lyophilized or Liquid |
| 浓 度 | 1mg/ml |
| 免 疫 原 | KLH conjugated synthetic peptide derived from human Galectin 3:181-250/250 |
| 亚 型 | IgG |
| 纯化方法 | affinity purified by Protein A |
| 储 存 液 | 0.01M TBS(pH7.4) with 1% BSA, 0.03% Proclin300 and 50% Glycerol. |
| 保存条件 | Store at -20 °C for one year. Avoid repeated freeze/thaw cycles. The lyophilized antibody is stable at room temperature for at least one month and for greater than a year when kept at -20°C. When reconstituted in sterile pH 7.4 0.01M PBS or diluent of antibody the antibody is stable for at least two weeks at 2-4 °C. |
| PubMed | PubMed |
| 产品介绍 | background: This gene encodes a member of the galectin family of carbohydrate binding proteins. Members of this protein family have an affinity for beta-galactosides. The encoded protein is characterized by an N-terminal proline-rich tandem repeat domain and a single C-terminal carbohydrate recognition domain. This protein can self-associate through the N-terminal domain allowing it to bind to multivalent saccharide ligands. This protein localizes to the extracellular matrix, the cytoplasm and the nucleus. This protein plays a role in numerous cellular functions including apoptosis, innate immunity, cell adhesion and T-cell regulation. Alternate splicing results in multiple transcript variants.[provided by RefSeq, Apr 2010]. Function: Galactose-specific lectin which binds IgE. May mediate with the alpha-3, beta-1 integrin the stimulation by CSPG4 of endothelial cells migration. Together with DMBT1, required for terminal differentiation of columnar epithelial cells during early embryogenesis. In the nucleus: acts as a pre-mRNA splicing factor. Involved in acute inflammatory responses including neutrophil activation and adhesion, chemoattraction of monocytes macrophages, opsonization of apoptotic neutrophils, and activation of mast cells. Subunit: Probably forms homo- or heterodimers. Interacts with DMBT1 (By similarity). Forms a complex with the ITGA3, ITGB1 and CSPG4. Interacts with LGALS3BP, LYPD3, CYHR1 and UACA. Subcellular Location: Cytoplasm. Nucleus. Secreted. Note=Secreted by a non-classical secretory pathway and associates with the cell surface. Tissue Specificity: A major expression is found in the colonic epithelium. It is also abundant in the activated macrophages. Similarity: Contains 1 galectin domain. SWISS: P17931 Gene ID: 3958 Database links: Entrez Gene: 3958 Human Entrez Gene: 16854 Mouse Entrez Gene: 83781 Rat Omim: 153619 Human SwissProt: P17931 Human SwissProt: P16110 Mouse SwissProt: P08699 Rat Unigene: 531081 Human Unigene: 248615 Mouse Unigene: 764 Rat Important Note: This product as supplied is intended for research use only, not for use in human, therapeutic or diagnostic applications. Galectin-3是Galectin(半乳凝素)家族的一员,能识别糖蛋白和糖脂的特异性低聚糖结构,参与多种生理和病理过程,包括细胞生长和凋亡、细胞黏附、新生血管形成和肿瘤浸润与转移等。Galectin-3在肿瘤的发生、发展及转移中起重要作用。 Galectin-3在某些肿瘤组织中高表达,其在不同类型肿瘤,如结直肠癌、胃癌、胰腺癌、甲状腺癌及肺癌等患者中的高表达水平,与低生存、肿瘤复发、预后差及对化疗药物敏感性降低相关对于某些肿瘤,Galectin-3有可能成为一个有价值的诊断标志和治疗靶点。 |
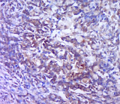
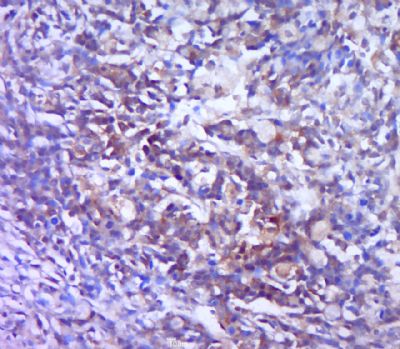
| 产品图片 | ![]() Sample: MCF-7 Cell (Human) Lysate at 40 ug NIH/3T3 Cell (Mouse) Lysate at 40 ug Primary: Anti-Galectin 3 (bs-20700R) at 1/300 dilution Secondary: IRDye800CW Goat Anti-Rabbit IgG at 1/20000 dilution Predicted band size: 29 kD Observed band size: 29 kD ![]() Sample: SW480(Human) Cell Lysate at 40 ug Primary: Anti-Galectin 3 (bs-20700R) at 1/300 dilution Secondary: IRDye800CW Goat Anti-Rabbit IgG at 1/20000 dilution Predicted band size: 29 kD Observed band size: 29 kD ![]() Paraformaldehyde-fixed, paraffin embedded (human gastric carcinoma); Antigen retrieval by boiling in sodium citrate buffer (pH6.0) for 15min; Block endogenous peroxidase by 3% hydrogen peroxide for 20 minutes; Blocking buffer (normal goat serum) at 37°C for 30min; Antibody incubation with (Galectin 3) Polyclonal Antibody, Unconjugated (bs-20700R) at 1:400 overnight at 4°C, followed by a conjugated secondary (sp-0023) for 20 minutes and DAB staining. |
风险提示:丁香通仅作为第三方平台,为商家信息发布提供平台空间。用户咨询产品时请注意保护个人信息及财产安全,合理判断,谨慎选购商品,商家和用户对交易行为负责。对于医疗器械类产品,请先查证核实企业经营资质和医疗器械产品注册证情况。
文献和实验人半乳糖凝集素-3(Galectin-3)ELISA试剂盒 说明书
人半乳糖凝集素-3 (Galectin-3)ELISA 试剂盒 ( 用于血清、血浆、细胞培养上清液和其它生物体液内 ) 原理 本实验采用双抗体夹心 ABC-ELISA 法。用抗人 Galectin-3 单抗包被于酶标板上,标准品和样品中的 Galectin-3与单抗结合,加入生物素化的抗人 Galectin-3 ,形成免疫复合物连接在板上,辣根过氧化物酶标记的 Streptavidin 与生物
人半乳糖凝集素-8(Galectin-8)ELISA试剂盒 说明书
上海西唐生物科技有限公司 021-55229872, 65333639 www.westang.com 人半乳糖凝集素-8 (Galectin-8)ELISA 试剂盒 ( 用于血清、血浆、细胞培养上清液和其它生物体液内 ) 原理 本实验采用双抗体夹心 ABC-ELISA 法。用抗人 Galectin-8 单抗包被于酶标板上,标准品和样品中的 Galectin-8与单抗结合,加入
人半乳糖凝集素-9(Galectin-9)ELISA试剂盒 说明书
人半乳糖凝集素-9 (Galectin-9)ELISA 试剂盒 ( 用于血清、血浆、细胞培养上清液和其它生物体液内 ) 原理 本实验采用双抗体夹心 ABC-ELISA 法。用抗人 Galectin-9 单抗包被于酶标板上,标准品和样品中的 Galectin-9与单抗结合,加入生物素化的抗人 Galectin-9 ,形成免疫复合物连接在板上,辣根过氧化物酶标记的 Streptavidin 与生物
技术资料暂无技术资料 索取技术资料












