相关产品推荐更多 >
万千商家帮你免费找货
0 人在求购买到急需产品
- 详细信息
- 文献和实验
- 技术资料
- 供应商:
上海康朗生物科技有限公司
- 库存:
大量
- 目录编号:
kl-6502R
- 克隆性:
多克隆
- 抗原来源:
Rabbit
- 保质期:
12个月
- 抗体英文名:
Testin antibody
- 抗体名:
肿瘤抑制基因Testin抗体
- 宿主:
Rabbit
- 适应物种:
Human, Mouse, Rat, Dog, Pig, Rabbit, Sheep,
- 免疫原:
KLH conjugated synthetic peptide derived from human Testin (161-210aa):161-210/421
- 亚型:
IgG
- 形态:
冻干粉或液体
- 应用范围:
WB=1:500-2000 ELISA=1:500-1000 IHC-P=1:400-800 IHC-F=1:400-800 IF=1:100-500
- 浓度:
1mg/ml
- 保存条件:
-20 °C
- 规格:
100ul 200ul
| 中文名称 | 肿瘤抑制基因Testin抗体 |
| 别 名 | Testin; TES; TESS 2; TESS; TESS2; TESS-2; Testis derived transcript (3 LIM domains); Testis derived transcript; TES_HUMAN. |
| 规格价格 | 100ul/1380元 购买 200ul/2200元 购买 大包装/询价 |
| 说 明 书 | 100ul 200ul |
| 研究领域 | 肿瘤 信号转导 转录调节因子 锌指蛋白 表观遗传学 |
| 抗体来源 | Rabbit |
| 克隆类型 | Polyclonal |
| 交叉反应 | Human, Mouse, Rat, Dog, Pig, Rabbit, Sheep, |
| 产品应用 | WB=1:500-2000 ELISA=1:500-1000 IHC-P=1:400-800 IHC-F=1:400-800 IF=1:100-500 (石蜡切片需做抗原修复) not yet tested in other applications. optimal dilutions/concentrations should be determined by the end user. |
| 分 子 量 | 48kDa |
| 细胞定位 | 细胞浆 细胞膜 |
| 性 状 | Lyophilized or Liquid |
| 浓 度 | 1mg/ml |
| 免 疫 原 | KLH conjugated synthetic peptide derived from human Testin (161-210aa):161-210/421 |
| 亚 型 | IgG |
| 纯化方法 | affinity purified by Protein A |
| 储 存 液 | 0.01M TBS(pH7.4) with 1% BSA, 0.03% Proclin300 and 50% Glycerol. |
| 保存条件 | Store at -20 °C for one year. Avoid repeated freeze/thaw cycles. The lyophilized antibody is stable at room temperature for at least one month and for greater than a year when kept at -20°C. When reconstituted in sterile pH 7.4 0.01M PBS or diluent of antibody the antibody is stable for at least two weeks at 2-4 °C. |
| PubMed | PubMed |
| 产品介绍 | background: Cancer-associated chromosomal changes often involveregions containing fragile sites. This gene maps to a commomfragile site on chromosome 7q31.2 designated FRA7G. This gene issimilar to mouse Testin, a testosterone-responsive gene encoding aSertoli cell secretory protein containing three LIM domains. LIMdomains are double zinc-finger motifs that mediate protein-proteininteractions between transcription factors, cytoskeletal proteinsand signaling proteins. This protein is a negative regulator ofcell growth and may act as a tumor suppressor. This scaffoldprotein may also play a role in cell adhesion, cell spreading andin the reorganization of the actin cytoskeleton. Multiple proteinisoforms are encoded by transcript variants of this gene. Function: Scaffold protein that may play a role in cell adhesion,cell spreading and in the reorganization of the actin cytoskeleton.Plays a role in the regulation of cell proliferation. May act as atumor suppressor. Inhibits tumor cell growth. Subunit: Interacts via LIM domain 1 with ZYX. Interacts (via LIMdomain 3) with ENAH and VASP. Interacts with talin, actin,alpha-actinin, GRIP1 and PXN. Interacts (via LIM domain 2) withACTL7A (via N-terminus). Heterodimer with ACTL7A; the heterodimerinteracts with ENAH to form a heterotrimer. Subcellular Location: Cytoplasm. Cell junction, focal adhesion.Note=Detected along actin stress fibers. Tissue Specificity: Ubiquitous. Similarity: Belongs to the prickle / espinas / testin family. Contains 3 LIM zinc-binding domains. Contains 1 PET domain. SWISS: Q9UGI8 Gene ID: 26136 Database links: Entrez Gene: 534965 Cow Entrez Gene: 26136 Human Entrez Gene: 21753 Mouse Entrez Gene: 500040 Rat Omim: 606085 Human SwissProt: Q2YDE9 Cow SwissProt: Q2QLB2 Horse SwissProt: Q9UGI8 Human SwissProt: P47226 Mouse SwissProt: Q2QLE3 Pig SwissProt: Q2LAP6 Rat Unigene: 592286 Human Unigene: 664957 Human Unigene: 436548 Mouse Unigene: 44847 Rat Important Note: This product as supplied is intended for research use only, not for use in human, therapeutic or diagnostic applications. |
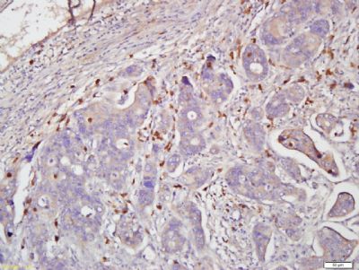
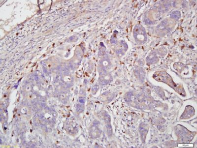
| 产品图片 | ![]() Sample: Lung (Mouse) Lysate at 40 ug Primary: Anti-Testin (bs-6502R) at 1/300 dilution Secondary: HRP conjugated Goat-Anti-rabbit IgG (bs-0295G-HRP) at 1/5000 dilution Predicted band size: 48 kD Observed band size: 48 kD ![]() Tissue/cell: human cervical carcinoma; 4% Paraformaldehyde-fixed and paraffin-embedded; Antigen retrieval: citrate buffer ( 0.01M, pH 6.0 ), Boiling bathing for 15min; Block endogenous peroxidase by 3% Hydrogen peroxide for 30min; Blocking buffer (normal goat serum,C-0005) at 37℃ for 20 min; Incubation: Anti-Testin Polyclonal Antibody, Unconjugated(bs-6502R) 1:500, overnight at 4°C, followed by conjugation to the secondary antibody(SP-0023) and DAB(C-0010) staining |
风险提示:丁香通仅作为第三方平台,为商家信息发布提供平台空间。用户咨询产品时请注意保护个人信息及财产安全,合理判断,谨慎选购商品,商家和用户对交易行为负责。对于医疗器械类产品,请先查证核实企业经营资质和医疗器械产品注册证情况。
文献和实验Generation of Antibody Molecules Through Antibody Engineering
been overcome to a large extent using genetic-engineering techniques to produce chimeric mouse/human and completely human antibodies. Such an approach is particularly suitable because of the domain structure of the antibody molecule ( 2 ), where functional
The elucidation of metabolic pathways and the detection of emerging therapeutics potentially enhancing athletic performance are of paramount importance to doping control authorities to protect the integrity of elite sports
The importance of antibody molecules was first recognized in the 1890s, when it was shown that immunity to tetanus and diphtheria was caused by antibodies against the bacterial exotoxins (1 ). Around the same time, it was shown that antisera
技术资料暂无技术资料 索取技术资料












