相关产品推荐更多 >
万千商家帮你免费找货
0 人在求购买到急需产品
- 详细信息
- 文献和实验
- 技术资料
- 供应商:
上海联迈生物工程有限公司
- 库存:
大量
- 目录编号:
LM-13455R
- 克隆性:
多克隆
- 抗原来源:
Rabbit
- 保质期:
1年
- 抗体英文名:
Fibronectin/Ugl-Y3
- 抗体名:
纤维连接蛋白/Ugl-Y3抗体
- 宿主:
Rabbit
- 适应物种:
Human, Mouse, Rat, Chicken, Dog, Pig, Cow, Horse, Rabbit,
- 免疫原:
KLH conjugated synthetic peptide derived from human Fibronectin/Ugl-Y3:2201-1300/2386
- 亚型:
IgG
- 形态:
Lyophilized or Liquid
- 应用范围:
ELISA=1:500-1000 IHC-P=1:400-800 IHC-F=1:400-800 ICC=1:100-500 IF=1:100-500 (石蜡切片需做抗原修复)
- 浓度:
1mg/ml
- 保存条件:
Store at -20 °C
- 规格:
100ul 200ul
| 英文名称 | Fibronectin/Ugl-Y3 |
| 中文名称 | 纤维连接蛋白/Ugl-Y3抗体 |
| 别 名 | CIG; Cold insoluble globulin; DKFZp686F10164; DKFZp686H0342; DKFZp686I1370; DKFZp686O13149; ED B; ED-B; fibronectin 1; FINC; FN 1; FN; FN1; FNZ; GFND; GFND2; LETS; Migration stimulating factor; MSF; Transformation sensitive protein; FINC_HUMAN; Fibronectin; Cold-insoluble globulin; Ugl-Y3. |
| 规格价格 | 100ul/1380元 购买 200ul/2200元 购买 大包装/询价 |
| 说 明 书 | 100ul 200ul |
| 研究领域 | 肿瘤 细胞生物 免疫学 信号转导 转录调节因子 细胞粘附分子 |
| 抗体来源 | Rabbit |
| 克隆类型 | Polyclonal |
| 交叉反应 | Human, Mouse, Rat, Chicken, Dog, Pig, Cow, Horse, Rabbit, |
| 产品应用 | ELISA=1:500-1000 IHC-P=1:400-800 IHC-F=1:400-800 ICC=1:100-500 IF=1:100-500 (石蜡切片需做抗原修复) not yet tested in other applications. optimal dilutions/concentrations should be determined by the end user. |
| 分 子 量 | 259kDa |
| 细胞定位 | 细胞外基质 分泌型蛋白 |
| 性 状 | Lyophilized or Liquid |
| 浓 度 | 1mg/ml |
| 免 疫 原 | KLH conjugated synthetic peptide derived from human Fibronectin/Ugl-Y3:2201-1300/2386 |
| 亚 型 | IgG |
| 纯化方法 | affinity purified by Protein A |
| 储 存 液 | 0.01M TBS(pH7.4) with 1% BSA, 0.03% Proclin300 and 50% Glycerol. |
| 保存条件 | Store at -20 °C for one year. Avoid repeated freeze/thaw cycles. The lyophilized antibody is stable at room temperature for at least one month and for greater than a year when kept at -20°C. When reconstituted in sterile pH 7.4 0.01M PBS or diluent of antibody the antibody is stable for at least two weeks at 2-4 °C. |
| PubMed | PubMed |
| 产品介绍 | background: This gene encodes fibronectin, a glycoprotein present in a soluble dimeric form in plasma, and in a dimeric or multimeric form at the cell surface and in extracellular matrix. Fibronectin is involved in cell adhesion and migration processes including embryogenesis, wound healing, blood coagulation, host defense, and metastasis. The gene has three regions subject to alternative splicing, with the potential to produce 20 different transcript variants. However, the full-length nature of some variants has not been determined. [provided by RefSeq, Jul 2008]. Function: Fibronectins bind cell surfaces and various compounds including collagen, fibrin, heparin, DNA, and actin. Fibronectins are involved in cell adhesion, cell motility, opsonization, wound healing, and maintenance of cell shape. Anastellin binds fibronectin and induces fibril formation. This fibronectin polymer, named superfibronectin, exhibits enhanced adhesive properties. Both anastellin and superfibronectin inhibit tumor growth, angiogenesis and metastasis. Anastellin activates p38 MAPK and inhibits lysophospholipid signaling. Subunit: Interacts with FBLN1, AMBP, TNR, LGALS3BP and COL13A1. Interacts with FBLN7. Interacts with COMP. Interacts with S.aureus fnbA. Interacts with TNR; the interaction inhibits cell adhesion and neurite outgrowth. Interacts with FST3. Subcellular Location: Secreted, extracellular space, extracellular matrix. Tissue Specificity: Plasma FN (soluble dimeric form) is secreted by hepatocytes. Cellular FN (dimeric or cross-linked multimeric forms), made by fibroblasts, epithelial and other cell types, is deposited as fibrils in the extracellular matrix. Ugl-Y1, Ugl-Y2 and Ugl-Y3 are found in urine. Post-translational modifications: Sulfated. It is not known whether both or only one of Thr-2064 and Thr-2065 are/is glycosylated. Forms covalent cross-links mediated by a transglutaminase, such as F13A or TGM2, between a glutamine and the epsilon-amino group of a lysine residue, forming homopolymers and heteropolymers (e.g. fibrinogen-fibronectin, collagen-fibronectin heteropolymers). Phosphorylation sites are present in the extracellular medium. Proteolytic processing produces the C-terminal NC1 peptide, anastellin. DISEASE: Defects in FN1 are the cause of glomerulopathy with fibronectin deposits type 2 (GFND2) [MIM:601894]; also known as familial glomerular nephritis with fibronectin deposits or fibronectin glomerulopathy. GFND is a genetically heterogeneous autosomal dominant disorder characterized clinically by proteinuria, microscopic hematuria, and hypertension that leads to end-stage renal failure in the second to fifth decade of life. Similarity: Contains 12 fibronectin type-I domains. Contains 2 fibronectin type-II domains. Contains 16 fibronectin type-III domains. SWISS: P02751 Gene ID: 2335 Database links: Entrez Gene: 280794 Cow Entrez Gene: 2335 Human Entrez Gene: 14268 Mouse Entrez Gene: 25661 Rat Omim: 135600 Human SwissProt: P07589 Cow SwissProt: P02751 Human SwissProt: P11276 Mouse Important Note: This product as supplied is intended for research use only, not for use in human, therapeutic or diagnostic applications. |
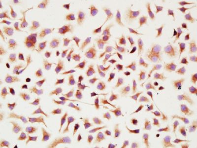
| 产品图片 | ![]() Tissue/cell: HepG2 cell; 4% Paraformaldehyde-fixed; Triton X-100 at room temperature for 20 min; Block endogenous peroxidase by 3% hydrogen peroxide for 20 minutes; Blocking buffer (normal goat serum) at 37°C for 30min; Antibody incubation with (Fibronectin/Ugl-Y3) Polyclonal Antibody, Unconjugated (bs-13455R) at 1:400 overnight at 4°C, followed by operating according to SP Kit(Rabbit) (sp-0023) instructionsand DAB staining. |
风险提示:丁香通仅作为第三方平台,为商家信息发布提供平台空间。用户咨询产品时请注意保护个人信息及财产安全,合理判断,谨慎选购商品,商家和用户对交易行为负责。对于医疗器械类产品,请先查证核实企业经营资质和医疗器械产品注册证情况。
文献和实验)细胞接种在(LOU×DA)F1大鼠可以产生肿瘤,带瘤大鼠血清中抗体含量为10~15mg/ml。因此认为210.RCY3-Ag1.2.3是适用于大鼠×大鼠细胞融合的骨髓瘤细胞系。 2.大鼠YB2/o(1982和Kilmaruin)。此细胞系不分泌k轻链。将YB2/o及Y3-Ag1.2.3分别与经 酵母 微管蛋白免疫的大鼠脾细胞融合,结果证明两者均适用作细胞融合的亲系,而且YB2/O产生的杂交瘤不分泌骨髓瘤的抗体链。接种杂交瘤的大鼠血清滴度可达1:106
)细胞接种在(LOU×DA)F1大鼠可以产生肿瘤,带瘤大鼠血清中抗体含量为10~15mg/ml。因此认为210.RCY3-Ag1.2.3是适用于大鼠×大鼠细胞融合的骨髓瘤细胞系。 2.大鼠YB2/o(1982和Kilmaruin)。此细胞系不分泌k轻链。将YB2/o及Y3-Ag1.2.3分别与经 酵母 微管蛋白免疫的大鼠脾细胞融合,结果证明两者均适用作细胞融合的亲系,而且YB2/O产生的杂交瘤不分泌骨髓瘤的抗体链。接种杂交瘤的大鼠血清滴度可达1:106
(3)同上。两个磷酸化位点都要做,但是可能在不同的病理条件下,侧重点有所不同,这主要体现在你的论文的讨论中。因此建议实验前多做论文研究,查阅一下别人的发表文章,看看与你的病理模型更相关的是哪个位点。 真爱满行囊 非常感谢你 的回复,现在我遇到的问题是我做出来蛋白总量还有216位点是有变化的,9位因为买的是santa curz的抗体,现在死活做不出来,很头痛,我要说明的问题是他的活性降低,我也看到216位点磷酸化水平降低了,可是现在没有第九位的结果(就是没有办法得到第九
技术资料暂无技术资料 索取技术资料










