相关产品推荐更多 >
万千商家帮你免费找货
0 人在求购买到急需产品
- 详细信息
- 技术资料
- 供应商:
上海联迈生物工程有限公司
- 库存:
大量
- 目录编号:
LM-1342R
- 克隆性:
多克隆
- 抗原来源:
Rabbit
- 保质期:
1年
- 抗体英文名:
NRF1
- 抗体名:
核呼吸因子-1抗体
- 宿主:
Rabbit
- 适应物种:
Human, Mouse, Rat,
- 免疫原:
KLH conjugated synthetic peptide derived from human NRF1:51-180/503
- 亚型:
IgG
- 形态:
Lyophilized or Liquid
- 应用范围:
WB=1:500-2000 ELISA=1:500-1000 IHC-P=1:400-800 IHC-F=1:400-800 IF=1:100-500 (石蜡切片需做抗原修复)
- 浓度:
1mg/ml
- 保存条件:
Store at -20 °C
- 规格:
50ul 100ul 200ul
NRF1核呼吸因子-1抗体
| 英文名称 | NRF1 |
| 中文名称 | 核呼吸因子-1抗体 |
| 别 名 | erythroid derived 2; like 1; Locus control region factor 1; Locus control region-factor 1; NF-E2-related factor 1; NF2L1_HUMAN; NFE2 related factor 1; NFE2-related factor 1; NFE2L1; NRF1; NRF-1; NRF 1; Nuclear factor; Nuclear factor erythroid 2-related factor 1; Nuclear factor erythroid derived 2 like 1; TCF-11; TCF11; Transcription factor 11; Transcription factor HBZ17; Transcription factor LCR F1; Transcription factor LCR-F1. |
![]() |
Specific References (2) | bs-1342R has been referenced in 2 publications. [IF=3.95] Yan, Wei, et al. "Acute nitrogen dioxide inhalation induces mitochondrial dysfunction in rat brain." Environmental Research 138 (2015): 416-424. WB ; Rat. PubMed:25791864 [IF=3.76] Qin, Guohua, et al. "Sulfur dioxide inhalation stimulated mitochondrial biogenesis in rat brains." Toxicology 300.1 (2012): 67-74. WB ; Rat. PubMed:22677886 |
| 规格价格 | 50ul/780元 购买 100ul/1380元 购买 200ul/2200元 购买 大包装/询价 |
| 说 明 书 | 50ul 100ul 200ul |
| 研究领域 | 染色质和核信号 转录调节因子 合成与降解 线粒体 |
| 抗体来源 | Rabbit |
| 克隆类型 | Polyclonal |
| 交叉反应 | Human, Mouse, Rat, |
| 产品应用 | WB=1:500-2000 ELISA=1:500-1000 IHC-P=1:400-800 IHC-F=1:400-800 IF=1:100-500 (石蜡切片需做抗原修复) not yet tested in other applications. optimal dilutions/concentrations should be determined by the end user. |
| 分 子 量 | 55kDa |
| 细胞定位 | 细胞核 线粒体 |
| 性 状 | Lyophilized or Liquid |
| 浓 度 | 1mg/ml |
| 免 疫 原 | KLH conjugated synthetic peptide derived from human NRF1:51-180/503 |
| 亚 型 | IgG |
| 纯化方法 | affinity purified by Protein A |
| 储 存 液 | 0.01M TBS(pH7.4) with 1% BSA, 0.03% Proclin300 and 50% Glycerol. |
| 保存条件 | Store at -20 °C for one year. Avoid repeated freeze/thaw cycles. The lyophilized antibody is stable at room temperature for at least one month and for greater than a year when kept at -20°C. When reconstituted in sterile pH 7.4 0.01M PBS or diluent of antibody the antibody is stable for at least two weeks at 2-4 °C. |
| PubMed | PubMed |
| 产品介绍 | background: This gene encodes a protein that homodimerizes and functions as a transcription factor which activates the expression of some key metabolic genes regulating cellular growth and nuclear genes required for respiration, heme biosynthesis, and mitochondrial DNA transcription and replication. The protein has also been associated with the regulation of neurite outgrowth. Alternative splicing results in multiple transcript variants. Confusion has occurred in bibliographic databases due to the shared symbol of NRF1 for this gene and for "nuclear factor (erythroid-derived 2)-like 1" which has an official symbol of NFE2L1. [provided by RefSeq, May 2014] Function: Transcription factor that activates the expression of the EIF2S1 (EIF2-alpha) gene. Links the transcriptional modulation of key metabolic genes to cellular growth and development. Implicated in the control of nuclear genes required for respiration, heme biosynthesis, and mitochondrial DNA transcription and replication. Subunit: Homodimer. Binds DNA as a dimer. Interacts with PPRC1. Subcellular Location: Nucleus Tissue Specificity: Ubiquitously expressed with strongest expression in skeletal muscle. Post-translational modifications: Phosphorylation enhances DNA binding. Similarity: Belongs to the NRF1/Ewg family. SWISS: Q16656 Gene ID: 4899 Database links: Entrez Gene: 4899 Human Omim: 600879 Human SwissProt: Q16656 Human Unigene: 654363 Human
Important Note: This product as supplied is intended for research use only, not for use in human, therapeutic or diagnostic applications. NRF-1是核基因编码且影响mtDNA的另一重要因子, 他控制着线粒体电子传递链的一些蛋白质的合成。 |
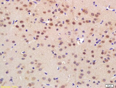
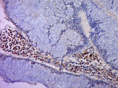
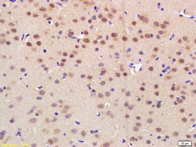
| 产品图片 | ![]() Sample: Lane1:Heart (Mouse) Lysate at 30 ug Lane2:Mucle (Mouse) Lysate at 30 ug Primary: Anti- NRF-1/TCF11 (bs-1342R) at 1/300 dilution Secondary: IRDye800CW Goat Anti-Rabbit IgG at 1/20000 dilution Predicted band size: 55 kD Observed band size: 55 kD ![]() Paraformaldehyde-fixed, paraffin embedded (Human colon cancer); Antigen retrieval by boiling in sodium citrate buffer (pH6.0) for 15min; Block endogenous peroxidase by 3% hydrogen peroxide for 20 minutes; Blocking buffer (normal goat serum) at 37°C for 30min; Antibody incubation with (NRF1) Polyclonal Antibody, Unconjugated (bs-1342R) at 1:400 overnight at 4°C, followed by a conjugated secondary (sp-0023) for 20 minutes and DAB staining. ![]() Tissue/cell: rat brain tissue; 4% Paraformaldehyde-fixed and paraffin-embedded; Antigen retrieval: citrate buffer ( 0.01M, pH 6.0 ), Boiling bathing for 15min; Block endogenous peroxidase by 3% Hydrogen peroxide for 30min; Blocking buffer (normal goat serum,C-0005) at 37℃ for 20 min; Incubation: Anti-NRF-1 Polyclonal Antibody, Unconjugated(bs-1342R) 1:200, overnight at 4°C, followed by conjugation to the secondary antibody(SP-0023) and DAB(C-0010) staining |
风险提示:丁香通仅作为第三方平台,为商家信息发布提供平台空间。用户咨询产品时请注意保护个人信息及财产安全,合理判断,谨慎选购商品,商家和用户对交易行为负责。对于医疗器械类产品,请先查证核实企业经营资质和医疗器械产品注册证情况。
技术资料暂无技术资料 索取技术资料
NRF1核呼吸因子-1抗体
¥780 - 2200













