相关产品推荐更多 >
万千商家帮你免费找货
0 人在求购买到急需产品
- 详细信息
- 技术资料
- 供应商:
上海联迈生物工程有限公司
- 库存:
大量
- 目录编号:
LM-13183R
- 克隆性:
多克隆
- 抗原来源:
Rabbit
- 保质期:
1年
- 抗体英文名:
phospho-FLNC (2233)
- 抗体名:
磷酸化细丝蛋白2抗体
- 宿主:
Rabbit
- 适应物种:
Human, Mouse, Rat, Dog, Pig, Cow, Horse, Sheep,
- 免疫原:
KLH conjugated synthesised phosphopeptide derived from human FLNC around the phosphorylation site of Ser2233:LG(p-S)FG
- 亚型:
IgG
- 形态:
Lyophilized or Liquid
- 应用范围:
IHC-P=1:400-800 IHC-F=1:400-800 ICC=1:100-500 IF=1:100-500 (石蜡切片需做抗原修复)
- 浓度:
1mg/ml
- 保存条件:
Store at -20 °C
- 规格:
100ul
phospho-FLNC (2233)磷酸化细丝蛋白2抗体
| 英文名称 | phospho-FLNC (2233) |
| 中文名称 | 磷酸化细丝蛋白2抗体 |
| 别 名 | FLNC (phospho S2233); p-Filamin 2 (phospho S2233); p-FLNC (phospho S2233); ABP 280; ABP L; ABPL; Actin binding like protein; Actin binding protein 280; Filamin 2; Filamin2; Filamin-2; Filamin C; Filamin C gamma; FLJ10186; FLN 2; FLN2; FLNC; Gamma actin binding protein; Gamma filamin; Protein FLNc; FLNC_HUMAN; Filamin-C; FLN-C; ABP-280-like protein; ABP-L; Actin-binding-like protein. |
| 规格价格 | 100ul/1580元 购买 大包装/询价 |
| 说 明 书 | 100ul |
| 产品类型 | 磷酸化抗体 |
| 研究领域 | 细胞生物 神经生物学 信号转导 细胞骨架 新陈代谢 |
| 抗体来源 | Rabbit |
| 克隆类型 | Polyclonal |
| 交叉反应 | Human, Mouse, Rat, Dog, Pig, Cow, Horse, Sheep, |
| 产品应用 | IHC-P=1:400-800 IHC-F=1:400-800 ICC=1:100-500 IF=1:100-500 (石蜡切片需做抗原修复) not yet tested in other applications. optimal dilutions/concentrations should be determined by the end user. |
| 分 子 量 | 300kDa |
| 细胞定位 | 细胞浆 细胞膜 |
| 性 状 | Lyophilized or Liquid |
| 浓 度 | 1mg/ml |
| 免 疫 原 | KLH conjugated synthesised phosphopeptide derived from human FLNC around the phosphorylation site of Ser2233:LG(p-S)FG |
| 亚 型 | IgG |
| 纯化方法 | affinity purified by Protein A |
| 储 存 液 | 0.01M TBS(pH7.4) with 1% BSA, 0.03% Proclin300 and 50% Glycerol. |
| 保存条件 | Store at -20 °C for one year. Avoid repeated freeze/thaw cycles. The lyophilized antibody is stable at room temperature for at least one month and for greater than a year when kept at -20°C. When reconstituted in sterile pH 7.4 0.01M PBS or diluent of antibody the antibody is stable for at least two weeks at 2-4 °C. |
| PubMed | PubMed |
| 产品介绍 | background: Filamins are Actin-binding proteins which contain an N-terminal Actin-binding domain, a membrane glycoprotein domain and a C-terminal self-association domain. Filamins help reshape the cytoskeleton by forming flexible cross-links between two Actin filaments, which maintain membrane integrity during force application. Filamins also participate in signal transduction pathways associated with cell motility, adhesion, differentiation and survival, and force transduction. The filamin family is comprised of Filamin 1, Filamin 2 and Filamin 3. Filamin 2, also designated Filamin C, is a skeletal- and cardiac-muscle specific form of Filamin, which binds ©-sarcoglycan and ∂-sarcoglycan, but not å-sarcoglycan or ∫-sarcoglycan. Muscular dystrophy, an inherited group of disorders resulting in progressive weakness of muscles in the body, is associated with irregular subcellular localization of Filamin 2 caused by a deficiency in KY, a protein that interacts with Filamin 2. Function: FLNC is a muscle-specific filamin, which plays a central role in muscle cells, probably by functioning as a large actin-cross-linking protein. May be involved in reorganizing the actin cytoskeleton in response to signaling events, and may also display structural functions at the Z-disks in muscle cells. Defects in FLNC are the cause of autosomal dominant filaminopathy. Myofibrillar myopathy (MFM) is a neuromuscular disorder, usually with an adult onset, characterized by focal myofibrillar destruction and pathological cytoplasmic protein aggregations. Autosomal dominant filaminopathy is a form of MFM characterized by morphological features of MFM and clinical features of a limb-girdle myopathy. A heterozygous nonsense mutation which segregates with the disease, has been identified in the FLNC gene. Subunit: Homodimer. Interacts with KY. Interacts with IGFN1. Interacts with FLNB, KCND2, ITGB1A, INPPL1, MYOT, MYOZ1 and MYOZ3. Interacts with sarcoglycans SGCD and SGCG. Interacts (via filament repeats 17-18, 20-21 and 24) with USP25 (isoform USP25m only). Interacts with FBLIM1. Subcellular Location: Cytoplasm. Membrane; Peripheral membrane protein. Cytoplasm, cytoskeleton. Cytoplasm, myofibril, sarcomere, Z line. Note=A small amount localizes at membranes. In striated muscle cells, it predominantly localizes in myofibrillar Z lines, while a minor fraction localizes with subsarcolemme. Tissue Specificity: Highly expressed in striated muscles. Weakly expressed in thyroid, fetal brain, fetal lung, retina, spinal cord and bone marrow. Not expressed in testis, pancreas, adrenal gland, placenta, liver and kidney. Post-translational modifications: Ubiquitinated by FBXL22, leading to proteasomal degradation. DISEASE: Defects in FLNC are the cause of myopathy myofibrillar type 5 (MFM5) [MIM:609524]. A neuromuscular disorder, usually with an adult onset, characterized by focal myofibrillar destruction and pathological cytoplasmic protein aggregations, and clinical features of a limb-girdle myopathy. Defects in FLNC are the cause of myopathy distal type 4 (MPD4) [MIM:614065]. MPD4 is a slowly progressive muscular disorder characterized by distal muscle weakness and atrophy affecting the upper and lower limbs. Onset occurs around the third to fourth decades of life, and patients remain ambulatory even after long disease duration. Muscle biopsy shows non-specific changes with no evidence of rods, necrosis, or inflammation. Similarity: elongs to the filamin family. Contains 1 actin-binding domain. Contains 2 CH (calponin-homology) domains. Contains 24 filamin repeats. SWISS: Q14315 Gene ID: 2318 Database links: Entrez Gene: 2318 Human Entrez Gene: 68794 Mouse Entrez Gene: 362332 Rat SwissProt: Q14315 Human SwissProt: Q8VHX6 Mouse Unigene: 58414 Human Unigene: 39046 Mouse Unigene: 22352 Rat Important Note: This product as supplied is intended for research use only, not for use in human, therapeutic or diagnostic applications. |
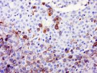
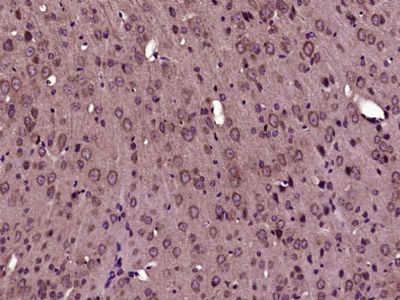
| 产品图片 | ![]() Paraformaldehyde-fixed, paraffin embedded (Mouse brain); Antigen retrieval by boiling in sodium citrate buffer (pH6.0) for 15min; Block endogenous peroxidase by 3% hydrogen peroxide for 20 minutes; Blocking buffer (normal goat serum) at 37°C for 30min; Antibody incubation with (phospho-FLNC (2233)) Polyclonal Antibody, Unconjugated (bs-13183R) at 1:400 overnight at 4°C, followed by operating according to SP Kit(Rabbit) (sp-0023) instructionsand DAB staining. |
风险提示:丁香通仅作为第三方平台,为商家信息发布提供平台空间。用户咨询产品时请注意保护个人信息及财产安全,合理判断,谨慎选购商品,商家和用户对交易行为负责。对于医疗器械类产品,请先查证核实企业经营资质和医疗器械产品注册证情况。
技术资料暂无技术资料 索取技术资料
phospho-FLNC (2233)磷酸化细丝蛋白2抗体
¥1580










