相关产品推荐更多 >
万千商家帮你免费找货
0 人在求购买到急需产品
- 详细信息
- 文献和实验
- 技术资料
- 供应商:
上海联迈生物工程有限公司
- 库存:
大量
- 目录编号:
LM-12942R
- 克隆性:
多克隆
- 抗原来源:
Rabbit
- 保质期:
1年
- 抗体英文名:
phospho-CSK (Ser364)
- 抗体名:
磷酸化酪氨酸激酶C-SRC抗体
- 宿主:
Rabbit
- 适应物种:
Human, Mouse, Rat, Chicken, Pig, Cow, Horse, Sheep,
- 免疫原:
KLH conjugated synthesised phosphopeptide derived from human CSK around the phosphorylation site of Ser364:KF(p-S)TK
- 亚型:
IgG
- 形态:
Lyophilized or Liquid
- 应用范围:
WB=1:500-2000 ELISA=1:500-1000 IHC-P=1:400-800 IHC-F=1:400-800 ICC=1:100-500 IF=1:100-500 (石蜡切片需做抗原修复)
- 浓度:
1mg/ml
- 保存条件:
Store at -20 °C
- 规格:
100ul
| 英文名称 | phospho-CSK (Ser364) |
| 中文名称 | 磷酸化酪氨酸激酶C-SRC抗体 |
| 别 名 | CSK(phospho S364); p-CSK(phospho S364); C SRC; C SRC kinase; C src Tyrosine Kinase; C-SRC kinase; c-src tyrosine kinase; Csk A; CSK; CSK_HUMAN; CYTOPLASMIC TYROSINE KINASE; EC 2.7.10.2; MGC112926; MGC117393; MGC154049; P60 Src; Protein tyrosine kinase CYL; Protein-tyrosine kinase CYL; Proto oncogene tyrosine protein kinase; Tyrosine protein kinase CSK; Tyrosine-protein kinase CSK; zgc:154049. |
| 规格价格 | 100ul/1580元 购买 大包装/询价 |
| 说 明 书 | 100ul |
| 产品类型 | 磷酸化抗体 |
| 研究领域 | 细胞生物 信号转导 激酶和磷酸酶 |
| 抗体来源 | Rabbit |
| 克隆类型 | Polyclonal |
| 交叉反应 | Human, Mouse, Rat, Chicken, Pig, Cow, Horse, Sheep, |
| 产品应用 | WB=1:500-2000 ELISA=1:500-1000 IHC-P=1:400-800 IHC-F=1:400-800 ICC=1:100-500 IF=1:100-500 (石蜡切片需做抗原修复) not yet tested in other applications. optimal dilutions/concentrations should be determined by the end user. |
| 分 子 量 | 51kDa |
| 细胞定位 | 细胞浆 细胞膜 |
| 性 状 | Lyophilized or Liquid |
| 浓 度 | 1mg/ml |
| 免 疫 原 | KLH conjugated synthesised phosphopeptide derived from human CSK around the phosphorylation site of Ser364:KF(p-S)TK |
| 亚 型 | IgG |
| 纯化方法 | affinity purified by Protein A |
| 储 存 液 | 0.01M TBS(pH7.4) with 1% BSA, 0.03% Proclin300 and 50% Glycerol. |
| 保存条件 | Store at -20 °C for one year. Avoid repeated freeze/thaw cycles. The lyophilized antibody is stable at room temperature for at least one month and for greater than a year when kept at -20°C. When reconstituted in sterile pH 7.4 0.01M PBS or diluent of antibody the antibody is stable for at least two weeks at 2-4 °C. |
| PubMed | PubMed |
| 产品介绍 | background: All members of the Src gene family of tyrosine kinases are characterized by a carboxy terminal domain tyrosine which is highly phosphorylated in the inactive form of the enzyme and phosphorylated to a much lesser extent when the enzyme is active. In the case of Src p60, Y527 is this tyrosine; however, a mutant form of c-Src in which Y527 is replaced by phenylalanine is transforming and displays 5- to 10-fold elevated kinase activity compared to its normal counterpart. Csk has been identified as a Src-related tyrosine kinase having both SH2 and SH3 domains and a catalytic domain but lacking sequences amino terminal to the SH3 domain as well as carboxy terminal regulatory sequences. Csk phosphorylates Src on Y527 and also downregulates Lyn, Fyn and Lck by tyrosine phosphorylation of carboxy terminal regulatory sites. Function: Specifically phosphorylates 'Tyr-504' on LCK, which acts as a negative regulatory site. Can also act on the LYN and FYN kinases. Subunit: Homodimer (via SH3-domain). Interacts with PTPN8 (By similarity). Interacts with phosphorylated SIT1, PAG1, LIME1 and TGFB1I1; these interactions serve to recruit CSK to the membrane where it can phosphorylate and inhibit Src-family kinases. Interacts with SRCIN1. Interacts with RHOH. Interacts (via SH2 domain) with SCIMP. Subcellular Location: Cytoplasm. Cell membrane. Mainly cytoplasmic, also present in lipid rafts. Tissue Specificity: Expressed in lung and macrophages. Post-translational modifications: Autophosphorylation of Tyr-304 occurs only at abnormally high CSK concentrations in vitro. Similarity: Belongs to the protein kinase superfamily. Tyr protein kinase family. CSK subfamily. Contains 1 protein kinase domain. Contains 1 SH2 domain. Contains 1 SH3 domain. SWISS: P41240 Gene ID: 1445 Database links: Entrez Gene: 509246 Cow Entrez Gene: 487649 Dog Entrez Gene: 1445 Human Entrez Gene: 12988 Mouse Entrez Gene: 315707 Rat Omim: 124095 Human SwissProt: Q0VBZ0 Cow SwissProt: P41240 Human SwissProt: P41241 Mouse SwissProt: P32577 Rat Unigene: 77793 Human Unigene: 21974 Mouse Unigene: 470150 Mouse Unigene: 2759 Rat Important Note: This product as supplied is intended for research use only, not for use in human, therapeutic or diagnostic applications. |
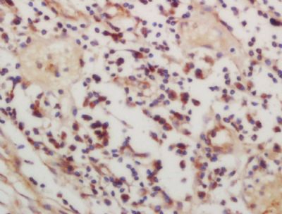
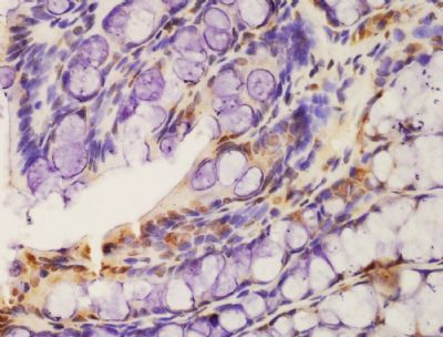
| 产品图片 | ![]() Tissue/cell: human lung carcinoma; 4% Paraformaldehyde-fixed and paraffin-embedded; Antigen retrieval: citrate buffer ( 0.01M, pH 6.0 ), Boiling bathing for 15min; Block endogenous peroxidase by 3% Hydrogen peroxide for 30min; Blocking buffer (normal goat serum,C-0005) at 37℃ for 20 min; Incubation: Anti-phospho-CSK(Ser364) Polyclonal Antibody, Unconjugated(bs-12942R) 1:200, overnight at 4°C, followed by conjugation to the secondary antibody(SP-0023) and DAB(C-0010) staining ![]() Tissue/cell: rat colon tissue; 4% Paraformaldehyde-fixed and paraffin-embedded; Antigen retrieval: citrate buffer ( 0.01M, pH 6.0 ), Boiling bathing for 15min; Block endogenous peroxidase by 3% Hydrogen peroxide for 30min; Blocking buffer (normal goat serum,C-0005) at 37℃ for 20 min; Incubation: Anti-phospho-CSK(Ser364) Polyclonal Antibody, Unconjugated(bs-12942R) 1:200, overnight at 4°C, followed by conjugation to the secondary antibody(SP-0023) and DAB(C-0010) staining ![]() Paraformaldehyde-fixed, paraffin embedded (Rat lung); Antigen retrieval by boiling in sodium citrate buffer (pH6.0) for 15min; Block endogenous peroxidase by 3% hydrogen peroxide for 20 minutes; Blocking buffer (normal goat serum) at 37°C for 30min; Incubation: Anti-phospho-CSK (Ser364) Antibody, conjugated (bs-12942R-AF594) at 1:200 overnight at 4°C; DAPI (5ug/ml, blue, C-0033) was used to stain the cell nuclei. |
风险提示:丁香通仅作为第三方平台,为商家信息发布提供平台空间。用户咨询产品时请注意保护个人信息及财产安全,合理判断,谨慎选购商品,商家和用户对交易行为负责。对于医疗器械类产品,请先查证核实企业经营资质和医疗器械产品注册证情况。
文献和实验(src) FcεR Ⅱ(CD23) 肥大细胞、嗜碱性粒细胞 Fyn CD36 血小板 Lyn、Fyn、Yes 一、p56 lck p56 lck 属于以p60v-src/c-src为代表的蛋白酪氨酸激酶家族成员。同这个家族的其它成员一样都具有酪氨酸激酶活性。目前发现,p56 lck 相对特异地存在于淋巴细胞中,尤其是成熟的静止T淋巴细胞中。p56 lck 可能在T
Using Phospho‐Motif Antibodies to Determine Kinase Substrates
., Graves, D.J., DeMaggio, A.J., Hoekstra, M.F., Blenis, J., Hunter, T., and Cantley, L.C. 1996. A structural basis for substrate specificities of protein Ser/Thr kinases: Primary sequence preference of. casein kinases I and II, NIMA, phosphorylase kinase
CD45 分子参与启动信号转导 然而事实上,上述过程并不产生。Src分子有两个酪氨酸残基位点,一个位于催化结构域即SHl内394位置处,是激酶显示活性的关键部位,也是相互磷酸化中Src分子间磷酸根转移的靶目标。另一个酪氨酸残基在Sre分子C端505位置,发挥抑制作用。在未激活的T细胞中组成性表达一种称为Csk的蛋白酪氨酸激酶(图9―1)。Csk指C端Src激酶(C―terminal Srckinase),专以Y505为靶目标,使其一直处于磷酸化状态(成为
技术资料暂无技术资料 索取技术资料












