相关产品推荐更多 >
万千商家帮你免费找货
0 人在求购买到急需产品
- 详细信息
- 技术资料
- 供应商:
上海康朗生物科技有限公司
- 库存:
大量
- 目录编号:
kl-5159R
- 克隆性:
多克隆
- 抗原来源:
Rabbit
- 保质期:
12个月
- 抗体英文名:
MYLPF antibody
- 抗体名:
快速骨骼肌肌球蛋白轻链2抗体
- 宿主:
Rabbit
- 适应物种:
Human, Mouse, Rat, Dog, Pig, Cow, Horse, Rabbit, Sheep,
- 免疫原:
KLH conjugated synthetic peptide derived from human Fast skeletal myosin light chain 2:101-170/170
- 亚型:
IgG
- 形态:
冻干粉或液体
- 应用范围:
WB=1:500-2000 ELISA=1:500-1000 IHC-P=1:400-800 IHC-F=1:400-800 IF=1:100-500
- 浓度:
1mg/ml
- 保存条件:
-20 °C
- 规格:
100ul 200ul
| 中文名称 | 快速骨骼肌肌球蛋白轻链2抗体 |
| 别 名 | 2410014J02Rik; DKFZp779C0757; DTNB; Fast skeletal myosin light chain 2; G2; HUMMLC2B; MGC13450; MLC 2; MRLC2; MYL11; MLC2B; MLC2F; MLRS_HUMAN; MYLPF; Myosin light polypeptide 2 alkali; Myosin regulatory light chain 2, skeletal muscle isoform. |
| 规格价格 | 100ul/1380元 购买 200ul/2200元 购买 大包装/询价 |
| 说 明 书 | 100ul 200ul |
| 研究领域 | 免疫学 信号转导 细胞骨架 细胞外基质 |
| 抗体来源 | Rabbit |
| 克隆类型 | Polyclonal |
| 交叉反应 | Human, Mouse, Rat, Dog, Pig, Cow, Horse, Rabbit, Sheep, |
| 产品应用 | WB=1:500-2000 ELISA=1:500-1000 IHC-P=1:400-800 IHC-F=1:400-800 IF=1:100-500 (石蜡切片需做抗原修复) not yet tested in other applications. optimal dilutions/concentrations should be determined by the end user. |
| 分 子 量 | 19kDa |
| 细胞定位 | 细胞浆 |
| 性 状 | Lyophilized or Liquid |
| 浓 度 | 1mg/ml |
| 免 疫 原 | KLH conjugated synthetic peptide derived from human Fast skeletal myosin light chain 2:101-170/170 |
| 亚 型 | IgG |
| 纯化方法 | affinity purified by Protein A |
| 储 存 液 | 0.01M TBS(pH7.4) with 1% BSA, 0.03% Proclin300 and 50% Glycerol. |
| 保存条件 | Store at -20 °C for one year. Avoid repeated freeze/thaw cycles. The lyophilized antibody is stable at room temperature for at least one month and for greater than a year when kept at -20°C. When reconstituted in sterile pH 7.4 0.01M PBS or diluent of antibody the antibody is stable for at least two weeks at 2-4 °C. |
| PubMed | PubMed |
| 产品介绍 | background: Myosin is a highly conserved, ubiquitously expressed protein that interacts with Actin to generate the force for cellular movements. Conventional Myosins are hexameric proteins consisting of two heavy chain subunits, a pair of non-phosphorylatable light chain subunits and a pair of phosphorylatable light chain subunits. Three general classes of Myosin have been cloned: smooth muscle Myosins, striated muscle Myosins and non-muscle Myosins . Contractile activity in smooth muscle is regulated by the calcium/calmodulin-dependent phosphorylation of Myosin light chain (MLC) by Myosin light chain kinase. Myosin heavy chains, which are encoded by the MYH gene family, contain Actin-activated ATPase activity which generates the motor function of Myosin. Myosin heavy chains were initially isolated from a human fetal skeletal muscle and are the major determinant in the speed of contraction of skeletal muscle. Various isoforms of myosin heavy chains are differentially expressed depending on the functional activity of the muscle. Subunit: Myosin is a hexamer of 2 heavy chains and 4 light chains. Tissue Specificity: Expressed in fetal and adult skeletal muscle. Similarity: Contains 3 EF-hand domains. SWISS: Q96A32 Gene ID: 29895 Database links: Entrez Gene: 29895 Human Entrez Gene: 396470 Chicken Entrez Gene: 317657 Cow Entrez Gene: 4632 Human Entrez Gene: 17901 Mouse Entrez Gene: 17907 Mouse Entrez Gene: 24584 Rat Entrez Gene: 56781 Rat Omim: 160780 Human SwissProt: P02609 Chicken SwissProt: P05976 Human SwissProt: P06741 Human SwissProt: Q14324 Human SwissProt: P05978 Mouse SwissProt: P97457 Mouse SwissProt: P02602 Rabbit SwissProt: P02603 Rabbit SwissProt: P02600 Rat SwissProt: P04466 Rat Important Note: This product as supplied is intended for research use only, not for use in human, therapeutic or diagnostic applications. |
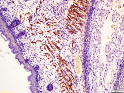
| 产品图片 | ![]() Sample: Muscle (Mouse) Lysate at 40 ug Primary: Anti-MYLPF (bs-5159R) at 1/1000 dilution Secondary: IRDye800CW Goat Anti-Rabbit IgG at 1/20000 dilution Predicted band size: 19 kD Observed band size: 19 kD ![]() Sample: A673(Human) Cell Lysate at 30 ug Primary: Anti-MYLPF (bs-5159R) at 1/1000 dilution Secondary: IRDye800CW Goat Anti-Rabbit IgG at 1/20000 dilution Predicted band size: 19 kD Observed band size: 19 kD ![]() Tissue/cell: muscle of mouse embryo; 4% Paraformaldehyde-fixed and paraffin-embedded; Antigen retrieval: citrate buffer ( 0.01M, pH 6.0 ), Boiling bathing for 15min; Block endogenous peroxidase by 3% Hydrogen peroxide for 30min; Blocking buffer (normal goat serum,C-0005) at 37℃ for 20 min; Incubation: Anti-Fast skeletal Myosin Polyclonal Antibody, Unconjugated(bs-5159R) 1:200, overnight at 4°C, followed by conjugation to the secondary antibody(SP-0023) and DAB(C-0010) staining ![]() Paraformaldehyde-fixed, paraffin embedded (Rat skeletal muscle); Antigen retrieval by boiling in sodium citrate buffer (pH6.0) for 15min; Block endogenous peroxidase by 3% hydrogen peroxide for 20 minutes; Blocking buffer (normal goat serum) at 37°C for 30min; Antibody incubation with (MYLPF) Polyclonal Antibody, Unconjugated (bs-5159R) at 1:500 overnight at 4°C, followed by a conjugated secondary (sp-0023) for 20 minutes and DAB staining. |
风险提示:丁香通仅作为第三方平台,为商家信息发布提供平台空间。用户咨询产品时请注意保护个人信息及财产安全,合理判断,谨慎选购商品,商家和用户对交易行为负责。对于医疗器械类产品,请先查证核实企业经营资质和医疗器械产品注册证情况。
技术资料暂无技术资料 索取技术资料












