相关产品推荐更多 >
万千商家帮你免费找货
0 人在求购买到急需产品
- 详细信息
- 文献和实验
- 技术资料
- 供应商:
上海康朗生物科技有限公司
- 库存:
大量
- 目录编号:
kl-4843R
- 克隆性:
多克隆
- 抗原来源:
Rabbit
- 保质期:
12个月
- 抗体英文名:
LC3B antibody
- 抗体名:
自噬微管相关蛋白轻链β3抗体
- 宿主:
Rabbit
- 适应物种:
Human, Mouse, Rat, Chicken, Cow, Danio rerio
- 免疫原:
KLH conjugated synthetic peptide derived from mouse Microtubule-associated proteins 1A/1B light chain 3B:1-50/125
- 亚型:
IgG
- 形态:
冻干粉或液体
- 应用范围:
ELISA=1:500-1000 IHC-P=1:400-800 IHC-F=1:400-800 Flow-Cyt=1μg/Test ICC=1:100-500 IF=1:100-500
- 浓度:
1mg/ml
- 保存条件:
-20 °C
- 规格:
100ul 200ul
| 中文名称 | 自噬微管相关蛋白轻链β3抗体 |
| 别 名 | Microtubule-associated protein 1 light chain 3 beta; ATG8F; Autophagy related protein LC3 B; Autophagy related ubiquitin like modifier LC3 B; Autophagy-related protein LC3 B; Autophagy-related ubiquitin-like modifier LC3 B; MAP1 light chain 3 like protein 2; MAP1 light chain 3-like protein 2; MAP1A/1B light chain 3 B; MAP1A/1BLC3; MAP1A/MAP1B LC3 B; MAP1A/MAP1B light chain 3 B; MAP1ALC3; MAP1LC3B; Microtubule associated protein 1 light chain 3 beta; Microtubule associated proteins 1A/1B light chain 3B; Microtubule-associated protein 1 light chain 3 beta; Microtubule-associated proteins 1A/1B light chain 3B; MLP3B_HUMAN. MAP LC3β. |
| 规格价格 | 100ul/1380元 购买 200ul/2200元 购买 大包装/询价 |
| 说 明 书 | 100ul 200ul |
| 研究领域 | 肿瘤 细胞生物 神经生物学 信号转导 |
| 抗体来源 | Rabbit |
| 克隆类型 | Polyclonal |
| 交叉反应 | Human, Mouse, Rat, Chicken, Cow, Danio rerio |
| 产品应用 | ELISA=1:500-1000 IHC-P=1:400-800 IHC-F=1:400-800 Flow-Cyt=1μg/Test ICC=1:100-500 IF=1:100-500 (石蜡切片需做抗原修复) not yet tested in other applications. optimal dilutions/concentrations should be determined by the end user. |
| 分 子 量 | 14kDa |
| 细胞定位 | 细胞浆 细胞膜 |
| 性 状 | Lyophilized or Liquid |
| 浓 度 | 1mg/ml |
| 免 疫 原 | KLH conjugated synthetic peptide derived from mouse Microtubule-associated proteins 1A/1B light chain 3B:1-50/125 |
| 亚 型 | IgG |
| 纯化方法 | affinity purified by Protein A |
| 储 存 液 | 0.01M TBS(pH7.4) with 1% BSA, 0.03% Proclin300 and 50% Glycerol. |
| 保存条件 | Store at -20 °C for one year. Avoid repeated freeze/thaw cycles. The lyophilized antibody is stable at room temperature for at least one month and for greater than a year when kept at -20°C. When reconstituted in sterile pH 7.4 0.01M PBS or diluent of antibody the antibody is stable for at least two weeks at 2-4 °C. |
| PubMed | PubMed |
| 产品介绍 | background: Microtubule-associated proteins (MAPs) regulate microtubule stability and play critical roles in neuronal development and in maintaining the balance between neuronal plasticity and rigidity. MAP-light chain 3 beta (MAP-LC3 Beta) and MAP-light chain 3 alpha (MAP-LC3 Alpha) are subunits of both MAP1A and MAP1B. MAP-LC3 Beta, a homolog of Apg8p, is essential for autophagy and associated to the autophagosome membranes after processing. Two forms of LC3 Beta, the cytosolic LC3-I and the membrane-bound LC3-II, are produced post-translationally. LC3-I is formed by the removal of the C-terminal 22 amino acids from newly synthesized LC3 Beta, followed by the conversion of a fraction of LC3-I into LC3-II. LC3 enhances fibronectin mRNA translation in ductus arteriosus cells through association with 60S ribosomes and binding to an AU-rich element in the 3’ untranslated region of fibronectin mRNA. This facilitates sorting of fibronectin mRNA onto rough endoplasmic reticulum and translation. MAP LC3 Beta may also be involved in formation of autophagosomal vacuoles. It is expressed primarily in heart, testis, brain and skeletal muscle. Function: Probably involved in formation of autophagosomal vacuoles Subunit: 3 different light chains, LC1, LC2 and LC3, can associate with MAP1A and MAP1B proteins. Interacts at microtubules with CABP1 (via EF-hands 1 and 2) but not with calmodulin. Interacts with FYCO1 (via C-terminus). Interacts with TP53INP1 and TP53INP2. Interacts with TBC1D25. Directly interacts with SQSTM1; this interaction leads to MAP1LC3B recruitment to inclusion bodies containing polyubiquitinated protein aggregates and to inclusion body degradation by autophagy. Subcellular Location: Cytoplasm, cytoskeleton. Endomembrane system; Lipid-anchor. Cytoplasmic vesicle, autophagosome membrane; Lipid-anchor. Note=LC3-II binds to the autophagic membranes. Tissue Specificity: Most abundant in heart, brain, skeletal muscle and testis. Little expression observed in liver. Post-translational modifications: The precursor molecule is cleaved by APG4B/ATG4B to form LC3-I. This is activated by APG7L/ATG7, transferred to ATG3 and conjugated to phospholipid to form LC3-II. Similarity: Belongs to the MAP1 LC3 family. SWISS: Q9GZQ8 Gene ID: 81631 Database links: Entrez Gene: 81631 Human Entrez Gene: 427559 Chicken Entrez Gene: 408001 Cow Entrez Gene: 67443 Mouse Entrez Gene: 64862 Rat Omim: 609604 Human SwissProt: O41515 Cow SwissProt: Q9GZQ8 Human SwissProt: Q9CQV6 Mouse SwissProt: Q62625 Rat Unigene: 356061 Human Unigene: 28357 Mouse Unigene: 41412 Rat Important Note: This product as supplied is intended for research use only, not for use in human, therapeutic or diagnostic applications. |
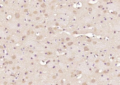
| 产品图片 | ![]() Paraformaldehyde-fixed, paraffin embedded (Rat brain); Antigen retrieval by boiling in sodium citrate buffer (pH6.0) for 15min; Block endogenous peroxidase by 3% hydrogen peroxide for 20 minutes; Blocking buffer (normal goat serum) at 37°C for 30min; Antibody incubation with (LC3B) Polyclonal Antibody, Unconjugated (bs-4843R) at 1:500 overnight at 4°C, followed by a conjugated secondary (sp-0023) for 20 minutes and DAB staining. ![]() Blank control(blue): TM4 cells(fixed with 2% paraformaldehyde (10 min) , then permeabilized with 90% ice-cold methanol for 30 min on ice). Primary Antibody:Rabbit Anti-LC3B antibody(bs-4843R), Dilution: 1μg in 100 μL 1X PBS containing 0.5% BSA; Isotype Control Antibody: Rabbit IgG(orange) ,used under the same conditions ); Secondary Antibody: Goat anti-rabbit IgG-PE(white blue), Dilution: 1:200 in 1 X PBS containing 0.5% BSA. |
风险提示:丁香通仅作为第三方平台,为商家信息发布提供平台空间。用户咨询产品时请注意保护个人信息及财产安全,合理判断,谨慎选购商品,商家和用户对交易行为负责。对于医疗器械类产品,请先查证核实企业经营资质和医疗器械产品注册证情况。
文献和实验Generation of Antibody Molecules Through Antibody Engineering
been overcome to a large extent using genetic-engineering techniques to produce chimeric mouse/human and completely human antibodies. Such an approach is particularly suitable because of the domain structure of the antibody molecule ( 2 ), where functional
The importance of antibody molecules was first recognized in the 1890s, when it was shown that immunity to tetanus and diphtheria was caused by antibodies against the bacterial exotoxins (1 ). Around the same time, it was shown that antisera
General comments: Antibodies, like most proteins, do not like to be freeze-thawed. Avoid repetitive freezing of your solution. The best way to store your antibody is to keep a high protein concentration (>1 mg/ml), add some protease
技术资料暂无技术资料 索取技术资料












