相关产品推荐更多 >
万千商家帮你免费找货
0 人在求购买到急需产品
- 详细信息
- 技术资料
- 供应商:
上海康朗生物科技有限公司
- 库存:
大量
- 目录编号:
kl-4293R
- 克隆性:
多克隆
- 抗原来源:
Rabbit
- 保质期:
12个月
- 抗体英文名:
MACC1 antibody
- 抗体名:
结肠癌转移相关蛋白1抗体
- 宿主:
Rabbit
- 适应物种:
Human, Mouse, Rat, Cow,
- 免疫原:
KLH conjugated synthetic peptide derived from human MACC1:761-852/852
- 亚型:
IgG
- 形态:
冻干粉或液体
- 应用范围:
WB=1:500-2000 ELISA=1:500-1000 IHC-P=1:400-800 IHC-F=1:400-800 IF=1:100-500
- 浓度:
1mg/ml
- 保存条件:
-20 °C
- 规格:
100ul 200ul
MACC1 antibody
| 中文名称 | 结肠癌转移相关蛋白1抗体 |
| 别 名 | 7A5; MACC1; MACC-1; MACC1_HUMAN; Metastasis associated in colon cancer 1; Metastasis-associated in colon cancer protein 1; Putative binding protein 7a5; SH3 domain-containing protein 7a5; SH3BP4L. |
![]() |
Specific References (3) | bs-4293R has been referenced in 3 publications. [IF=1.48] Sun, Longfeng, et al. "Silence of MACC1 expression by RNA interference inhibits proliferation, invasion and metastasis, and promotes apoptosis in U251 human malignant glioma cells." Molecular Medicine Reports. WB ; Human. PubMed:26043756 [IF=1.48] Li, Hongyu, et al. "Overexpression of MACC1 and the association with hepatocyte growth factor/c-Met in epithelial ovarian cancer." Oncology letters9.5 (2015): 1989-1996. IHC-P ; Human. PubMed:26137000 [IF=6.36] Montorsi, Lucia, et al. "Loss of zfp36 expression in colorectal cancer correlates to wnt/ß-catenin activity and enhances epithelial-to-mesenchymal transition through upregulation of zeb1, sox9 and macc1." Oncotarget (2016). WB ; Human. PubMed:27463018 |
| 规格价格 | 100ul/1380元 购买 200ul/2200元 购买 大包装/询价 |
| 说 明 书 | 100ul 200ul |
| 研究领域 | 肿瘤 免疫学 信号转导 生长因子和激素 转录调节因子 |
| 抗体来源 | Rabbit |
| 克隆类型 | Polyclonal |
| 交叉反应 | Human, Mouse, Rat, Cow, |
| 产品应用 | WB=1:500-2000 ELISA=1:500-1000 IHC-P=1:400-800 IHC-F=1:400-800 IF=1:100-500 (石蜡切片需做抗原修复) not yet tested in other applications. optimal dilutions/concentrations should be determined by the end user. |
| 分 子 量 | 94kDa |
| 细胞定位 | 细胞核 细胞浆 |
| 性 状 | Lyophilized or Liquid |
| 浓 度 | 1mg/ml |
| 免 疫 原 | KLH conjugated synthetic peptide derived from human MACC1:761-852/852 |
| 亚 型 | IgG |
| 纯化方法 | affinity purified by Protein A |
| 储 存 液 | 0.01M TBS(pH7.4) with 1% BSA, 0.03% Proclin300 and 50% Glycerol. |
| 保存条件 | Store at -20 °C for one year. Avoid repeated freeze/thaw cycles. The lyophilized antibody is stable at room temperature for at least one month and for greater than a year when kept at -20°C. When reconstituted in sterile pH 7.4 0.01M PBS or diluent of antibody the antibody is stable for at least two weeks at 2-4 °C. |
| PubMed | PubMed |
| 产品介绍 | background: MACC1 is a key regulator of the hepatocyte growth factor(HGF; MIM 142409)-HGF receptor (HGFR, or MET; MIM 164860) pathway, which is involved in cellular growth, epithelial-mesenchymal transition, angiogenesis, cell motility, invasiveness, and metastasis. Expression of MACC1 in colon cancer (MIM 114500) specimens is an independent prognostic indicator for metastasis formation and metastasis-free survival (Stein et al., 2009 [PubMed19098908]).[supplied by OMIM]. Subunit: Interacts with FASLG. Subcellular Location: Cytoplasm. Nucleus. Note=Mainly found in the cytoplasm in non-metastasizing tumors. Tissue Specificity: Preferentially expressed in metastasizing tumors. Similarity: Contains 1 SH3 domain. SWISS: Q6ZN28 Gene ID: 346389 Database links: Entrez Gene: 346389 Human Entrez Gene: 238455 Mouse Entrez Gene: 314539 Rat Omim: 612646 Human SwissProt: Q6ZN28 Human Unigene: 598388 Human Unigene: 31376 Mouse Unigene: 81938 Rat Important Note: This product as supplied is intended for research use only, not for use in human, therapeutic or diagnostic applications. |
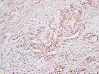
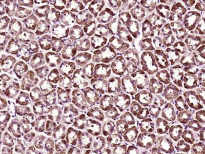
| 产品图片 | ![]() Sample: liver(mouse) Lysate at 40 ug Primary: Anti-MACC1 (bs-4293R) at 1/300 dilution Secondary: IRDye800CW Goat Anti-Rabbit IgG at 1/20000 dilution Predicted band size: 94 kD Observed band size: 94 kD ![]() Tissue/cell: human gastric carcinoma; 4% Paraformaldehyde-fixed and paraffin-embedded; Antigen retrieval: citrate buffer ( 0.01M, pH 6.0 ), Boiling bathing for 15min; Block endogenous peroxidase by 3% Hydrogen peroxide for 30min; Blocking buffer (normal goat serum,C-0005) at 37℃ for 20 min; Incubation: Anti-MACC1 Polyclonal Antibody, Unconjugated(bs-4293R) 1:200, overnight at 4°C, followed by conjugation to the secondary antibody(SP-0023) and DAB(C-0010) staining ![]() Paraformaldehyde-fixed, paraffin embedded (Rat stomach); Antigen retrieval by boiling in sodium citrate buffer (pH6.0) for 15min; Block endogenous peroxidase by 3% hydrogen peroxide for 20 minutes; Blocking buffer (normal goat serum) at 37°C for 30min; Antibody incubation with (MACC1) Polyclonal Antibody, Unconjugated (bs-4293R) at 1:400 overnight at 4°C, followed by operating according to SP Kit(Rabbit) (sp-0023) instructionsand DAB staining. |
风险提示:丁香通仅作为第三方平台,为商家信息发布提供平台空间。用户咨询产品时请注意保护个人信息及财产安全,合理判断,谨慎选购商品,商家和用户对交易行为负责。对于医疗器械类产品,请先查证核实企业经营资质和医疗器械产品注册证情况。
技术资料暂无技术资料 索取技术资料
MACC1 antibody
¥1380 - 2200










