相关产品推荐更多 >
万千商家帮你免费找货
0 人在求购买到急需产品
- 详细信息
- 技术资料
- 供应商:
上海联迈生物工程有限公司
- 库存:
大量
- 目录编号:
LM-12367R
- 克隆性:
多克隆
- 抗原来源:
Rabbit
- 保质期:
1年
- 抗体英文名:
TAZ
- 抗体名:
转录共激活因子TAZ抗体
- 宿主:
Rabbit
- 适应物种:
Human, Mouse, Rat,
- 免疫原:
KLH conjugated synthetic peptide derived from human TAZ:1-100/400
- 亚型:
IgG
- 形态:
Lyophilized or Liquid
- 应用范围:
ELISA=1:500-1000 IHC-P=1:400-800 IHC-F=1:400-800 ICC=1:100-500 IF=1:100-500 (石蜡切片需做抗原修复)
- 浓度:
1mg/ml
- 保存条件:
Store at -20 °C
- 规格:
50ul 100ul 200ul
TAZ转录共激活因子TAZ抗体
| 英文名称 | TAZ |
| 中文名称 | 转录共激活因子TAZ抗体 |
| 别 名 | Transcriptional co activator with PDZ binding motif; Transcriptional coactivator with PDZ binding motif; Transcriptional coactivator with PDZ-binding motif; WW domain containing transcription regulator 1; WW domain containing transcription regulator protein 1; WW domain-containing transcription regulator protein 1; WWTR 1; WWTR1; WWTR1_HUMAN. |
![]() |
Specific References (2) | bs-12367R has been referenced in 2 publications. [IF=1.65] Sun, Lidan, et al. "Prognostic impact of TAZ and beta-catenin expression in adenocarcinoma of the esophagogastric junction." Diagnostic Pathology 9.1 (2014): 125. IHC-P ; Human. PubMed:25029906 [IF=3.26] Ukita, Mayumi, et al. "Sclerostin Enhances Adipocyte Differentiation in 3T3‐L1 Cells." Journal of Cellular Biochemistry (2015). WB ; Mouse. PubMed:26553151 |
| 规格价格 | 50ul/780元 购买 100ul/1380元 购买 200ul/2200元 购买 大包装/询价 |
| 说 明 书 | 50ul 100ul 200ul |
| 研究领域 | 细胞生物 信号转导 细胞凋亡 细胞周期蛋白 转录调节因子 表观遗传学 |
| 抗体来源 | Rabbit |
| 克隆类型 | Polyclonal |
| 交叉反应 | Human, Mouse, Rat, |
| 产品应用 | ELISA=1:500-1000 IHC-P=1:400-800 IHC-F=1:400-800 ICC=1:100-500 IF=1:100-500 (石蜡切片需做抗原修复) not yet tested in other applications. optimal dilutions/concentrations should be determined by the end user. |
| 分 子 量 | 44kDa |
| 细胞定位 | 细胞核 细胞浆 细胞膜 |
| 性 状 | Lyophilized or Liquid |
| 浓 度 | 1mg/ml |
| 免 疫 原 | KLH conjugated synthetic peptide derived from human TAZ:1-100/400 |
| 亚 型 | IgG |
| 纯化方法 | affinity purified by Protein A |
| 储 存 液 | 0.01M TBS(pH7.4) with 1% BSA, 0.03% Proclin300 and 50% Glycerol. |
| 保存条件 | Store at -20 °C for one year. Avoid repeated freeze/thaw cycles. The lyophilized antibody is stable at room temperature for at least one month and for greater than a year when kept at -20°C. When reconstituted in sterile pH 7.4 0.01M PBS or diluent of antibody the antibody is stable for at least two weeks at 2-4 °C. |
| PubMed | PubMed |
| 产品介绍 | background: The transcriptional co-activator with PDZ-binding motif (TAZ) is a 14-3-3-binding molecule. The highly conserved and ubiquitously expressed 14-3-3 proteins regulate differentiation, cell cycle progression and apoptosis by binding intracellular phosphoproteins involved in signal transduction. TAZ may link events at the plasma membrane and cytosketeton to nuclear transcription in a manner that can be regulated by 14-3-3. TAZ shares homology with the WW domain of Yes-associated protein (YAP) and functions as a transcriptional co-activator by binding to the PPXY motif present on transcription factors. TAZ recognizes immunoreactive protein bands in lysates from MDCK, NIH-3T3 and 293T cells. In addition, COS7, Hep G2, CHO and HeLa cells express endogenous TAZ. 14-3-3 binding requires TAZ phosphorylation on a single Serine 89 residue, resulting in the inhibition of TAZ transcriptional co-activation through 14-3-3-mediated nuclear export. Function: Transcriptional coactivator which acts as a downstream regulatory target in the Hippo signaling pathway that plays a pivotal role in organ size control and tumor suppression by restricting proliferation and promoting apoptosis. The core of this pathway is composed of a kinase cascade wherein MST1/MST2, in complex with its regulatory protein SAV1, phosphorylates and activates LATS1/2 in complex with its regulatory protein MOB1, which in turn phosphorylates and inactivates YAP1 oncoprotein and WWTR1/TAZ. WWTR1 enhances PAX8 and NKX2-1/TTF1-dependent gene activation. Regulates the nuclear accumulation of SMADS and has a key role in coupling them to the transcriptional machinery such as the mediator complex. Regulates embryonic stem-cell self-renewal, promotes cell proliferation and epithelial-mesenchymal transition. Subcellular Location: Nucleus. Cytoplasm. Concentrates along specific portions of the plasma membrane, and accumulates in punctate nuclear bodies. Tissue Specificity: Highly expressed in kidney, heart, placenta and lung. Expressed in the thyroid tissue. Post-translational modifications: Phosphorylated by LATS2 and STK3/MST2. Phosphorylation by LATS2 results in creation of 14-3-3 binding sites, retention in the cytoplasm, and functional inactivation. Phosphorylation results in the inhibition of transcriptional coactivation through YWHAZ-mediated nuclear export. Similarity: Contains 1 WW domain. SWISS: Q9GZV5 Gene ID: 25937 Database links: Entrez Gene: 25937 Human Entrez Gene: 97064 Mouse Entrez Gene: 295062 Rat Omim: 607392 Human SwissProt: Q9GZV5 Human SwissProt: Q9EPK5 Mouse Important Note: This product as supplied is intended for research use only, not for use in human, therapeutic or diagnostic applications. |
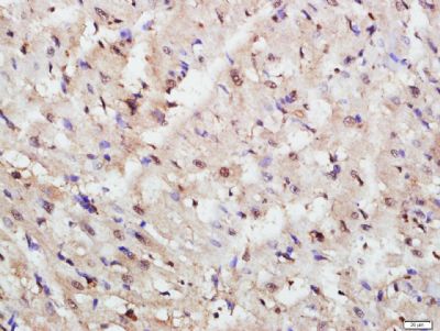
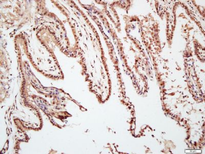
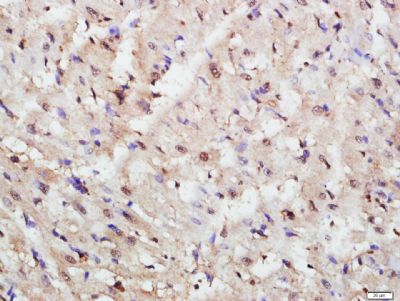
| 产品图片 | ![]() Sample: MCF-7 (Human) Cell Lysate at 40 ug Lovo(Human) CellLysate at 40 ug A549(Human) CellLysate at 40 ug Primary: Anti-TAZ(bs-12367R)at 1/300 dilution Secondary: IRDye800CW Goat Anti-RabbitIgG at 1/20000 dilution Predicted band size: 44kD Observed band size: 46kD ![]() Paraformaldehyde-fixed, paraffin embedded (mouse placenta); Antigen retrieval by boiling in sodium citrate buffer (pH6.0) for 15min; Block endogenous peroxidase by 3% hydrogen peroxide for 20 minutes; Blocking buffer (normal goat serum) at 37°C for 30min; Antibody incubation with (TAZ) Polyclonal Antibody, Unconjugated (bs-12367R) at 1:400 overnight at 4°C, followed by a conjugated secondary (sp-0023) for 20 minutes and DAB staining. ![]() Paraformaldehyde-fixed, paraffin embedded (rat heart); Antigen retrieval by boiling in sodium citrate buffer (pH6.0) for 15min; Block endogenous peroxidase by 3% hydrogen peroxide for 20 minutes; Blocking buffer (normal goat serum) at 37°C for 30min; Antibody incubation with (TAZ) Polyclonal Antibody, Unconjugated (bs-12367R) at 1:400 overnight at 4°C, followed by a conjugated secondary (sp-0023) for 20 minutes and DAB staining. |
风险提示:丁香通仅作为第三方平台,为商家信息发布提供平台空间。用户咨询产品时请注意保护个人信息及财产安全,合理判断,谨慎选购商品,商家和用户对交易行为负责。对于医疗器械类产品,请先查证核实企业经营资质和医疗器械产品注册证情况。
技术资料暂无技术资料 索取技术资料
TAZ转录共激活因子TAZ抗体
¥780 - 2200













