相关产品推荐更多 >
万千商家帮你免费找货
0 人在求购买到急需产品
- 详细信息
- 文献和实验
- 技术资料
- 供应商:
上海联迈生物工程有限公司
- 库存:
大量
- 目录编号:
LM-12231R
- 克隆性:
多克隆
- 抗原来源:
Rabbit
- 保质期:
1年
- 抗体英文名:
ZNF619
- 抗体名:
锌指蛋白619抗体
- 宿主:
Rabbit
- 适应物种:
Human
- 免疫原:
KLH conjugated synthetic peptide derived from Human ZNF619:188-300/560
- 亚型:
IgG
- 形态:
Lyophilized or Liquid
- 应用范围:
WB=1:500-2000 ELISA=1:500-1000 IHC-P=1:400-800 IHC-F=1:400-800 ICC=1:100-500 IF=1:100-500 (石蜡切片需做抗原修复)
- 浓度:
1mg/ml
- 保存条件:
Store at -20 °C
- 规格:
100ul 200ul
| 英文名称 | ZNF619 |
| 中文名称 | 锌指蛋白619抗体 |
| 别 名 | FLJ90764; zinc finger protein 619; ZN619_HUMAN. |
| 规格价格 | 100ul/1380元 购买 200ul/2200元 购买 大包装/询价 |
| 说 明 书 | 100ul 200ul |
| 研究领域 | 转录调节因子 锌指蛋白 表观遗传学 |
| 抗体来源 | Rabbit |
| 克隆类型 | Polyclonal |
| 交叉反应 | Human, |
| 产品应用 | WB=1:500-2000 ELISA=1:500-1000 IHC-P=1:400-800 IHC-F=1:400-800 ICC=1:100-500 IF=1:100-500 (石蜡切片需做抗原修复) not yet tested in other applications. optimal dilutions/concentrations should be determined by the end user. |
| 分 子 量 | 63kDa |
| 细胞定位 | 细胞核 |
| 性 状 | Lyophilized or Liquid |
| 浓 度 | 1mg/ml |
| 免 疫 原 | KLH conjugated synthetic peptide derived from Human ZNF619:188-300/560 |
| 亚 型 | IgG |
| 纯化方法 | affinity purified by Protein A |
| 储 存 液 | 0.01M TBS(pH7.4) with 1% BSA, 0.03% Proclin300 and 50% Glycerol. |
| 保存条件 | Store at -20 °C for one year. Avoid repeated freeze/thaw cycles. The lyophilized antibody is stable at room temperature for at least one month and for greater than a year when kept at -20°C. When reconstituted in sterile pH 7.4 0.01M PBS or diluent of antibody the antibody is stable for at least two weeks at 2-4 °C. |
| PubMed | PubMed |
| 产品介绍 | background: Zinc-finger proteins contain DNA-binding domains and have a wide variety of functions, most of which encompass some form of transcriptional activation or repression. The majority of zinc-finger proteins contain a Krüppel-type DNA binding domain and a KRAB domain, which is thought to interact with KAP1, thereby recruiting histone modifying proteins. As a member of the krueppel C2H2-type zinc-finger protein family, ZNF619 (Zinc finger protein 619) is a 560 amino acid nuclear protein that contains ten C2H2-type zinc fingers. The gene encoding ZNF619 maps to human chromosome 3, which is made up of about 214 million bases encoding over 1,100 genes, including a chemokine receptor (CKR) gene cluster and a variety of human cancer-related gene loci. Marfan Syndrome, porphyria, von Hippel-Lindau syndrome, osteogenesis imperfecta and Charcot-Marie-Tooth Disease are a few of the numerous genetic diseases associated with chromosome 3. Function: ZNF619 belongs to the krueppel C2H2-type zinc-finger protein family. It contains 10 C2H2-type zinc fingers. ZNF619 may be involved in transcriptional regulation. Subcellular Location: Nuclear. Similarity: Belongs to the krueppel C2H2-type zinc-finger protein family. Contains 10 C2H2-type zinc fingers. SWISS: Q8N2I2 Gene ID: 285267 Database links: Entrez Gene: 285267 Human SwissProt: Q8N2I2 Human Unigene: 407159 Human Important Note: This product as supplied is intended for research use only, not for use in human, therapeutic or diagnostic applications. |
| 产品图片 |
Sample: MDA-MB-231 Cell (Human) Lysate at 40 ug
Primary: Anti- ZNF619 (bs-12231R) at 1/300 dilution Secondary: IRDye800CW Goat Anti-Rabbit IgG at 1/20000 dilution Predicted band size: 63 kD Observed band size: 63 kD
Sample: Lovo Cell (Human) Lysate at 40 ug
Primary: Anti- ZNF619 (bs-12231R) at 1/300 dilution Secondary: IRDye800CW Goat Anti-Rabbit IgG at 1/20000 dilution Predicted band size: 63 kD Observed band size: 63 kD
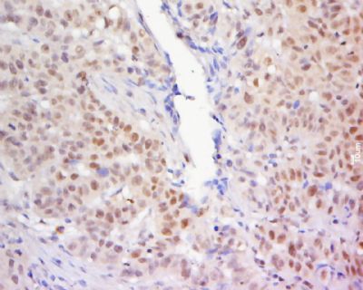
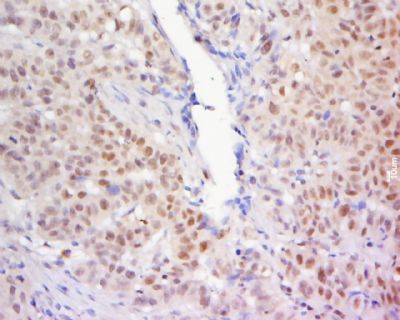
Tissue/cell: human laryngo carcinoma; 4% Paraformaldehyde-fixed and paraffin-embedded;
Antigen retrieval: citrate buffer ( 0.01M, pH 6.0 ), Boiling bathing for 15min; Block endogenous peroxidase by 3% Hydrogen peroxide for 30min; Blocking buffer (normal goat serum,C-0005) at 37℃ for 20 min; Incubation: Anti-ZNF619 Polyclonal Antibody, Unconjugated(bs-12231R) 1:500, overnight at 4°C, followed by conjugation to the secondary antibody(SP-0023) and DAB(C-0010) staining |
风险提示:丁香通仅作为第三方平台,为商家信息发布提供平台空间。用户咨询产品时请注意保护个人信息及财产安全,合理判断,谨慎选购商品,商家和用户对交易行为负责。对于医疗器械类产品,请先查证核实企业经营资质和医疗器械产品注册证情况。
文献和实验的Morrissey博士课题组和加拿大渥太华干细胞研究中心的Brand教授课题组合作在Cell Stem Cell发表了通过单细胞蛋白质组学的方法,测定造血干细胞转录因子共表达谱系的时间特异性变化,首次直接提供了造血干细胞命运决定的蛋白质表达数据。研究人员首先对多能干细胞(CD34+ HSPC)分化为红细胞的完整进程(共22天,包括各个进程的红细胞)定时取样(每隔两天), 在每个时间点对每个单细胞进行标记,通过27种抗体联合标记对应的蛋白质,再通过质谱流式细胞术(CyTOF)同时测定多种蛋白质的表达,这样科学
蛋白转位至自噬体膜,在荧光显微镜下形成多个明亮的绿色荧光斑点,一个斑点相当于一个自噬体,可以通过计数来评价自噬活性的高低。 3、利用 Western Blot 检测 LC3-II/I 比值的变化以评价自噬形成 自噬形成时,胞浆型 LC3(即LC3-I)会酶解掉一小段多肽,转变为(自噬体)膜型(即LC3-II),因此,LC3-II/I 比值的大小可估计自噬水平的高低。 (注意:LC3 抗体对 LC3-II 有更高的亲和力,会造成假阳性。方法 2 和 3 需结合使用,同时需考虑溶酶体活性的影响
不必鉴别出整体优化点 [16] 。对只含有位点和对相互作用的位能,通过排除法,如 “死点排除法”,能找到整体优化点 [ 16~20 ]。这样的方法可连续地移除不可能是整体优化点的氨基酸-旋转异构态,直到再没有态可被移除。Mayo 研究组应用这一方法,已使拟 28 残基锌指蛋白 [21] 和在疏水和极性位点模式化之后的 51 残基同源域蛋白模体 [22] 的完整序列设计自动化。该组还重新设计了数种蛋白质内的部分残基组 [ 23~25 ] 。其功能性质,如结合金属或催化,也可以包括作为设计过程的元素
技术资料暂无技术资料 索取技术资料













