相关产品推荐更多 >
万千商家帮你免费找货
0 人在求购买到急需产品
- 详细信息
- 技术资料
- 供应商:
上海联迈生物工程有限公司
- 库存:
大量
- 目录编号:
LM-11766R
- 克隆性:
多克隆
- 抗原来源:
Rabbit
- 保质期:
1年
- 抗体英文名:
TATA binding protein TBP/TBP
- 抗体名:
TATA结合蛋白TBP/TFIID抗体
- 宿主:
Rabbit
- 适应物种:
Human, Mouse, Rat, Chicken, Dog, Pig, Cow, Horse, Rabbit,
- 免疫原:
KLH conjugated synthetic peptide derived from human TATA binding protein TBP:201-339/339
- 亚型:
IgG
- 形态:
Lyophilized or Liquid
- 应用范围:
WB=1:500-2000 ELISA=1:500-1000 IHC-P=1:400-800 IHC-F=1:400-800 ICC=1:100-500 IF=1:100-500 (石蜡切片需做抗原修复)
- 浓度:
1mg/ml
- 保存条件:
Store at -20 °C
- 规格:
100ul 200ul
| 英文名称 | TATA binding protein TBP/TBP |
| 中文名称 | TATA结合蛋白TBP/TFIID抗体 |
| 别 名 | GTF2D; GTF2D1; TFIID; MGC117320; MGC126054; MGC126055; SCA 17; SCA17; TATA binding factor; TATA box binding protein; TATA box factor; TATA sequence binding protein; TATA sequence-binding protein; TATA binding protein TBP; TATA-binding factor; TATA-box factor; TATA-box-binding protein; TBP; TBP_HUMAN; TF2D; TFIID; Transcription initiation factor TFIID TBP subunit. |
| 规格价格 | 100ul/1380元 购买 200ul/2200元 购买 大包装/询价 |
| 说 明 书 | 100ul 200ul |
| 研究领域 | 细胞生物 神经生物学 干细胞 转录调节因子 表观遗传学 |
| 抗体来源 | Rabbit |
| 克隆类型 | Polyclonal |
| 交叉反应 | Human, Mouse, Rat, Chicken, Dog, Pig, Cow, Horse, Rabbit, |
| 产品应用 | WB=1:500-2000 ELISA=1:500-1000 IHC-P=1:400-800 IHC-F=1:400-800 ICC=1:100-500 IF=1:100-500 (石蜡切片需做抗原修复) not yet tested in other applications. optimal dilutions/concentrations should be determined by the end user. |
| 分 子 量 | 38kDa |
| 细胞定位 | 细胞核 |
| 性 状 | Lyophilized or Liquid |
| 浓 度 | 1mg/ml |
| 免 疫 原 | KLH conjugated synthetic peptide derived from human TATA binding protein TBP:201-339/339 |
| 亚 型 | IgG |
| 纯化方法 | affinity purified by Protein A |
| 储 存 液 | 0.01M TBS(pH7.4) with 1% BSA, 0.03% Proclin300 and 50% Glycerol. |
| 保存条件 | Store at -20 °C for one year. Avoid repeated freeze/thaw cycles. The lyophilized antibody is stable at room temperature for at least one month and for greater than a year when kept at -20°C. When reconstituted in sterile pH 7.4 0.01M PBS or diluent of antibody the antibody is stable for at least two weeks at 2-4 °C. |
| PubMed | PubMed |
| 产品介绍 | background: Initiation of transcription by RNA polymerase II requires the activities of more than 70 polypeptides. The protein that coordinates these activities is transcription factor IID (TFIID), which binds to the core promoter to position the polymerase properly, serves as the scaffold for assembly of the remainder of the transcription complex, and acts as a channel for regulatory signals. TFIID is composed of the TATA-binding protein (TBP) and a group of evolutionarily conserved proteins known as TBP-associated factors or TAFs. TAFs may participate in basal transcription, serve as coactivators, function in promoter recognition or modify general transcription factors (GTFs) to facilitate complex assembly and transcription initiation. This gene encodes TBP, the TATA-binding protein. A distinctive feature of TBP is a long string of glutamines in the N-terminus. This region of the protein modulates the DNA binding activity of the C terminus, and modulation of DNA binding affects the rate of transcription complex formation and initiation of transcription. The number of CAG repeats encoding the polyglutamine tract is usually 32-39, and expansion of the number of repeats increases the length of the polyglutamine string and is associated with spinocerebellar ataxia 17, a neurodegenerative disorder classified as a polyglutamine disease. Two transcript variants encoding different isoforms have been found for this gene. [provided by RefSeq, Feb 2010] Function: General transcription factor that functions at the core of the DNA-binding multiprotein factor TFIID. Binding of TFIID to the TATA box is the initial transcriptional step of the pre-initiation complex (PIC), playing a role in the activation of eukaryotic genes transcribed by RNA polymerase II. Component of the transcription factor SL1/TIF-IB complex, which is involved in the assembly of the PIC (preinitiation complex) during RNA polymerase I-dependent transcription. The rate of PIC formation probably is primarily dependent on the rate of association of SL1 with the rDNA promoter. SL1 is involved in stabilization of nucleolar transcription factor 1/UBTF on rDNA. Subunit: Binds DNA as monomer. Belongs to the TFIID complex together with the TBP-associated factors (TAFs). Component of the transcription factor SL1/TIF-IB complex, composed of TBP and at least TAF1A, TAF1B TAF1C and TAF1D. Association of TBP to form either TFIID or SL1/TIF-IB appears to be mutually exclusive. Interacts with TAF1A, TAF1B and TAF1C. Interacts with TFIIB, NCOA6, DRAP1, DR1 and ELF3. Interacts with SPIB, SNAPC1, SNAPC2 and SNAPC4. Interacts with UTF1. Interacts with BRF2. Interacts with UBTF. Interacts with GPBP1. Interacts with CITED2 (By similarity). Interacts with ATF7IP. Interacts with HIV-1 Tat. Subcellular Location: Nucleus. Tissue Specificity: Widely expressed, with levels highest in the testis and ovary. DISEASE: Defects in TBP are the cause of spinocerebellar ataxia type 17 (SCA17) [MIM:607136]. Spinocerebellar ataxia is a clinically and genetically heterogeneous group of cerebellar disorders. Patients show progressive incoordination of gait and often poor coordination of hands, speech and eye movements, due to degeneration of the cerebellum with variable involvement of the brainstem and spinal cord. SCA17 is an autosomal dominant cerebellar ataxia (ADCA) characterized by widespread cerebral and cerebellar atrophy, dementia and extrapyramidal signs. The molecular defect in SCA17 is the expansion of a CAG repeat in the coding region of TBP. Longer expansions result in earlier onset and more severe clinical manifestations of the disease. Similarity: Belongs to the TBP family. SWISS: P20226 Gene ID: 6908 Database links: Entrez Gene: 6908 Human Entrez Gene: 21374 Mouse Entrez Gene: 117526 Rat Entrez Gene: 395995 Chicken Omim: 600075 Human SwissProt: O13270 Chicken SwissProt: P20226 Human SwissProt: P29037 Mouse Unigene: 1100 Human Unigene: 590872 Human Unigene: 244820 Mouse Unigene: 22712 Rat Important Note: This product as supplied is intended for research use only, not for use in human, therapeutic or diagnostic applications. |
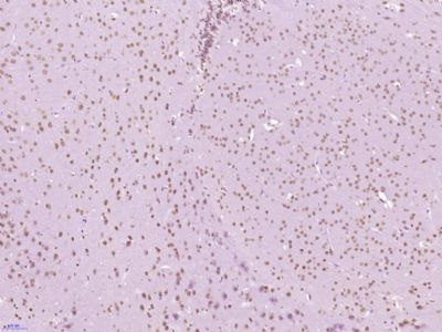
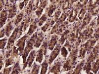
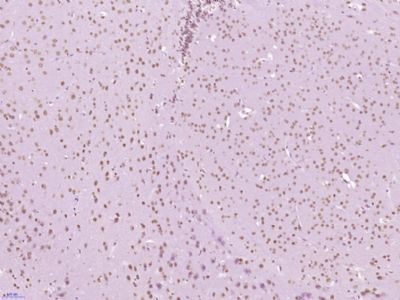
| 产品图片 | ![]() Sample: Hela Cell (Human) Lysate at 40 ug Primary: Anti- TATA binding protein TBP/TBP (bs-11766R) at 1/300 dilution Secondary: IRDye800CW Goat Anti-Rabbit IgG at 1/20000 dilution Predicted band size: 38 kD Observed band size: 42 kD ![]() Paraformaldehyde-fixed, paraffin embedded (Mouse brain); Antigen retrieval by boiling in sodium citrate buffer (pH6.0) for 15min; Block endogenous peroxidase by 3% hydrogen peroxide for 20 minutes; Blocking buffer (normal goat serum) at 37°C for 30min; Antibody incubation with (TATA binding protein TBP/TBP) Polyclonal Antibody, Unconjugated (bs-11766R) at 1:400 overnight at 4°C, followed by operating according to SP Kit(Rabbit) (sp-0023) instructionsand DAB staining. |
风险提示:丁香通仅作为第三方平台,为商家信息发布提供平台空间。用户咨询产品时请注意保护个人信息及财产安全,合理判断,谨慎选购商品,商家和用户对交易行为负责。对于医疗器械类产品,请先查证核实企业经营资质和医疗器械产品注册证情况。
技术资料暂无技术资料 索取技术资料











