相关产品推荐更多 >
万千商家帮你免费找货
0 人在求购买到急需产品
- 详细信息
- 文献和实验
- 技术资料
- 供应商:
上海联迈生物工程有限公司
- 库存:
大量
- 目录编号:
LM-1105R
- 克隆性:
多克隆
- 抗原来源:
Rabbit
- 保质期:
1年
- 抗体英文名:
Caspase-12
- 抗体名:
半胱胺酸蛋白酶蛋白-12抗体
- 宿主:
Rabbit
- 适应物种:
Mouse, Rat,
- 免疫原:
KLH conjugated synthetic peptide derived from the middle of human Caspase-12:201-300/420
- 亚型:
IgG
- 形态:
Lyophilized or Liquid
- 应用范围:
WB=1:500-2000 ELISA=1:500-1000 IHC-P=1:400-800 IHC-F=1:400-800 IF=1:100-500 (石蜡切片需做抗原修复)
- 浓度:
1mg/ml
- 保存条件:
Store at -20 °C
- 规格:
50ul 100ul 200ul
| 英文名称 | Caspase-12 |
| 中文名称 | 半胱胺酸蛋白酶蛋白-12抗体 |
| 别 名 | UNQ9415; Apoptosis related cysteine protease; CASP 12; casp12; CASP12P1; Caspase 12 pseudogene 1; CASP-12; casp12; caspase 12 (gene/pseudogene); Caspase12; CASPC_HUMAN; OTTHUMP00000207026; OTTHUMP00000207028; OTTHUMP00000207031; OTTHUMP00000207032; OTTHUMP00000219058; UNQ9415. |
![]() |
Specific References (6) | bs-1105R has been referenced in 6 publications. [IF=2.20] Zhang, Huiying, et al. "Glucose-regulated protein 78 may play a crucial role in promoting the pulmonary microvascular remodeling in a rat model of hepatopulmonary syndrome." Gene (2014). IHC-P ; Rat. PubMed:24768185 [IF=1.88] Zhou, Yunchuan, et al. "Sulfiredoxin-1 exerts anti-apoptotic and neuroprotective effects against oxidative stress-induced injury in rat cortical astrocytes following exposure to oxygen-glucose deprivation and hydrogen peroxide."International Journal of Molecular Medicine (2015). WB ; Rat. PubMed:25955519 [IF=1.89] Zhang, Lili, et al. "Increased expression of 78 kD glucose-regulated protein promotes cardiomyocyte apoptosis in a rat model of liver cirrhosis." International Journal of Clinical and Experimental Pathology 8.8 (2015): 9256-9263. IHC-P ; Rat. PubMed:26464674 [IF=4.65] Yu, H., et al. "Gypenoside Protects against Myocardial Ischemia-Reperfusion Injury by Inhibiting Cardiomyocytes Apoptosis via Inhibition of CHOP Pathway and Activation of PI3K/Akt Pathway In Vivo and In Vitro."Cellular Physiology and Biochemistry 39.1 (2016): 123-136. WB ; Rat. PubMed:27322831 [IF=2.29] Wang, Yu, et al. "Ibutilide protects against cardiomyocytes injury via inhibiting endoplasmic reticulum and mitochondrial stress pathways." Heart and Vessels (2016): 1-8. WB ; Rat. PubMed:27639990 [IF=3.23] Wang, Yu, et al. "Ibutilide treatment protects against ER stress induced apoptosis by regulating calumenin expression in tunicamycin treated cardiomyocytes." PloS one 12.4 (2017): e0173469. WB ; Rat. PubMed:28399139 |
| 规格价格 | 50ul/780元 购买 100ul/1380元 购买 200ul/2200元 购买 大包装/询价 |
| 说 明 书 | 50ul 100ul 200ul |
| 研究领域 | 细胞凋亡 |
| 抗体来源 | Rabbit |
| 克隆类型 | Polyclonal |
| 交叉反应 | Mouse, Rat, |
| 产品应用 | WB=1:500-2000 ELISA=1:500-1000 IHC-P=1:400-800 IHC-F=1:400-800 IF=1:100-500 (石蜡切片需做抗原修复) not yet tested in other applications. optimal dilutions/concentrations should be determined by the end user. |
| 分 子 量 | 46kDa |
| 细胞定位 | 细胞浆 |
| 性 状 | Lyophilized or Liquid |
| 浓 度 | 1mg/ml |
| 免 疫 原 | KLH conjugated synthetic peptide derived from the middle of human Caspase-12:201-300/420 |
| 亚 型 | IgG |
| 纯化方法 | affinity purified by Protein A |
| 储 存 液 | 0.01M TBS(pH7.4) with 1% BSA, 0.03% Proclin300 and 50% Glycerol. |
| 保存条件 | Store at -20 °C for one year. Avoid repeated freeze/thaw cycles. The lyophilized antibody is stable at room temperature for at least one month and for greater than a year when kept at -20°C. When reconstituted in sterile pH 7.4 0.01M PBS or diluent of antibody the antibody is stable for at least two weeks at 2-4 °C. |
| PubMed | PubMed |
| 产品介绍 | background: Caspases are cysteine proteases that cleave C-terminal aspartic acid residues on their substrate molecules. This gene is most highly related to members of the ICE subfamily of caspases that process inflammatory cytokines. In rodents, the homolog of this gene mediates apoptosis in response to endoplasmic reticulum stress. However, in humans this gene contains a polymorphism for the presence or absence of a premature stop codon. The majority of human individuals have the premature stop codon and produce a truncated non-functional protein. The read-through codon occurs primarily in individuals of African descent and carriers have endotoxin hypo-responsiveness and an increased susceptibility to severe sepsis. Several alternatively spliced transcript variants have been noted for this gene. [provided by RefSeq, Feb 2011]. Function: Has no protease activity. May reduce cytokine release in response to bacterial lipopolysaccharide during infections. Reduces activation of NF-kappa-B in response to TNF. Tissue Specificity: Detected in heart, kidney, liver, lung, pancreas, small intestine, spleen, stomach, thymus and testis. Similarity: Belongs to the peptidase C14A family. Contains 1 CARD domain. SWISS: O08736 Gene ID: 100506742 Database links: Entrez Gene: 100506742 Human Entrez Gene: 12364 Mouse Entrez Gene: 156117 Rat SwissProt: Q6UXS9 Human SwissProt: O08736 Mouse SwissProt: Q920D5 Rat Omim: 608633 Human Unigene: 476989 Human Unigene: 81078 Rat Important Note: This product as supplied is intended for research use only, not for use in human, therapeutic or diagnostic applications. Caspase-12是caspase家族成员,是存在于内质网上的促凋亡因子,内质网应激早期可通过GRP(glucose-regulated protein,GRP)的表达增多来保护细胞;CASPASE-12是内质网细胞关键介导因子,caspase-12还是caspase-1的抑制剂。 |
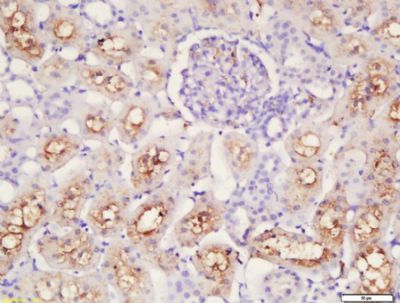
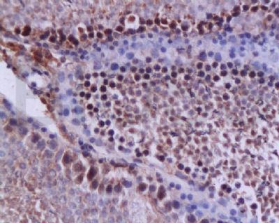
| 产品图片 | ![]() Sample: Cerebrum (Mouse) Lysate at 40 ug Cerebrum (Rat) Lysate at 40 ug Primary: Anti-alpha smooth muscle Actin (bs-10196R) at 1/300 dilution Secondary: IRDye800CW Goat Anti-Rabbit IgG at 1/20000 dilution Predicted band size: 46 kD Observed band size: 50 kD ![]() Tissue/cell: rat kidney tissue; 4% Paraformaldehyde-fixed and paraffin-embedded; Antigen retrieval: citrate buffer ( 0.01M, pH 6.0 ), Boiling bathing for 15min; Block endogenous peroxidase by 3% Hydrogen peroxide for 30min; Blocking buffer (normal goat serum,C-0005) at 37℃ for 20 min; Incubation: Anti-Caspase-12 Polyclonal Antibody, Unconjugated(bs-1105R) 1:200, overnight at 4°C, followed by conjugation to the secondary antibody(SP-0023) and DAB(C-0010) staining ![]() Tissue/cell: rat testis tissue(high fat); 4% Paraformaldehyde-fixed and paraffin-embedded; Antigen retrieval: citrate buffer ( 0.01M, pH 6.0 ), Boiling bathing for 15min; Block endogenous peroxidase by 3% Hydrogen peroxide for 30min; Blocking buffer (normal goat serum,C-0005) at 37℃ for 20 min; Incubation: Anti-NPY/Neuropeptide Y Polyclonal Antibody, Unconjugated(bs-R) 1:200, overnight at 4°C, followed by conjugation to the secondary antibody(SP-0023) and DAB(C-0010) staining |
风险提示:丁香通仅作为第三方平台,为商家信息发布提供平台空间。用户咨询产品时请注意保护个人信息及财产安全,合理判断,谨慎选购商品,商家和用户对交易行为负责。对于医疗器械类产品,请先查证核实企业经营资质和医疗器械产品注册证情况。
文献和实验narcissus27 在一篇文献里看到下面这句话: 当Ca离子从内质网中被释放入细胞质后会激活内质网附近的一种Ca 依赖性的半胱氨酸蛋白酶即Ca 调蛋白分解酶,此酶可以作用其底物Bax,Bid,caspase一12等而导致细胞凋亡。 我没查到这是什么酶,求教各位战友。 限制条件: 1.可被Ca离子激活 2.是半胱氨酸蛋白酶 3.其底物是Bax,Bid,caspase-12
-Triton蛋白分级抽提试剂盒细胞膜NP-40 or RIPA膜蛋白抽提试剂盒蛋白分级抽提试剂盒细胞核RIPA核蛋白抽提试剂盒线粒体RIPA线粒体蛋白抽提试剂盒亚细胞定位蛋白抽提试剂盒蛋白酶磷酸酶抑制剂抑制剂蛋白酶或磷酸酶PMSF丝氨酸蛋白酶抑制剂,如胰凝乳蛋白酶、胰蛋白酶和凝血酶,也抑制半胱氨酸蛋白酶如木瓜蛋白酶Leupeptin 亮肽素抑制丝氨酸和半胱氨酸蛋白酶,如胰蛋白酶、木瓜蛋白酶、纤溶酶和组织蛋白酶BAprotinin 抑肽酶丝氨酸蛋白酶抑制剂,抑制纤维蛋白溶酶、激肽释放酶、胰蛋白
个内源性表达的细胞周期基因。为此我们使用LightCycler® 480实时荧光定量PCR仪和RealTime ready细胞周期检测预制多孔板。用特异抗体和流式细胞术测定天冬氨酸特异性半胱氨酸蛋白酶-3的激活。在这个分析中,我们发现C24ORF17和BARD1基因下调后,天冬氨酸特异性半胱氨酸蛋白酶-3的激活增加了。为了确定编码蛋白在凋亡诱导中的作用,在本研究中我们使用RealTime ready凋亡检测预制多孔板和LightCycler® 480仪器,通过qRT-PCR分析了当通过RNAi而表达
技术资料暂无技术资料 索取技术资料














