相关产品推荐更多 >
万千商家帮你免费找货
0 人在求购买到急需产品
- 详细信息
- 文献和实验
- 技术资料
- 供应商:
上海联迈生物工程有限公司
- 库存:
大量
- 目录编号:
LM-1077R
- 克隆性:
多克隆
- 抗原来源:
Rabbit
- 保质期:
1年
- 抗体英文名:
OCT2
- 抗体名:
阳离子转运蛋白2抗体
- 宿主:
Rabbit
- 适应物种:
Human, Mouse, Rat,
- 免疫原:
KLH conjugated synthetic peptide derived from mouse OCT2 (11-100aa):11-100/463
- 亚型:
IgG
- 形态:
Lyophilized or Liquid
- 应用范围:
WB=1:500-2000 ELISA=1:500-1000 IHC-P=1:400-800 IHC-F=1:400-800 IF=1:100-500 (石蜡切片需做抗原修复)
- 浓度:
1mg/ml
- 保存条件:
Store at -20 °C
- 规格:
50ul 100ul 200ul
| 英文名称 | OCT2 |
| 中文名称 | 阳离子转运蛋白2抗体 |
| 别 名 | organic cation transporter OCT2; POU domain, class 2, transcription factor 2; Octamer-binding transcription factor 2; Oct-2; OTF-2; Lymphoid-restricted immunoglobulin octamer-binding protein NF-A2; POU2F2; NF A2; Oct 2; PO2F2_MOUSE; PO2F2_HUMAN. |
![]() |
Specific References (1) | bs-1077R has been referenced in 1 publications. [IF=3.30] Xu C, Zhu L, Chan T, Lu X, Shen W, et al. (2015) The Altered Renal and Hepatic Expression of Solute Carrier Transporters (SLCs) in Type 1 Diabetic Mice. PLoS ONE 10(3): e0120760. doi:10.1371/journal.pone.0120760 WB ; Mouse. PubMed:25789863 |
| 规格价格 | 50ul/780元 购买 100ul/1380元 购买 200ul/2200元 购买 大包装/询价 |
| 说 明 书 | 50ul 100ul 200ul |
| 研究领域 | 细胞生物 免疫学 表观遗传学 |
| 抗体来源 | Rabbit |
| 克隆类型 | Polyclonal |
| 交叉反应 | Human, Mouse, Rat, |
| 产品应用 | WB=1:500-2000 ELISA=1:500-1000 IHC-P=1:400-800 IHC-F=1:400-800 IF=1:100-500 (石蜡切片需做抗原修复) not yet tested in other applications. optimal dilutions/concentrations should be determined by the end user. |
| 分 子 量 | 51kDa |
| 细胞定位 | 细胞核 细胞浆 |
| 性 状 | Lyophilized or Liquid |
| 浓 度 | 1mg/ml |
| 免 疫 原 | KLH conjugated synthetic peptide derived from mouse OCT2 (11-100aa):11-100/463 |
| 亚 型 | IgG |
| 纯化方法 | affinity purified by Protein A |
| 储 存 液 | 0.01M TBS(pH7.4) with 1% BSA, 0.03% Proclin300 and 50% Glycerol. |
| 保存条件 | Store at -20 °C for one year. Avoid repeated freeze/thaw cycles. The lyophilized antibody is stable at room temperature for at least one month and for greater than a year when kept at -20°C. When reconstituted in sterile pH 7.4 0.01M PBS or diluent of antibody the antibody is stable for at least two weeks at 2-4 °C. |
| PubMed | PubMed |
| 产品介绍 | background: Oct2 is a transcription factor that specifically binds to the octamer motif (5'-ATTTGCAT-3'). Oct2 regulates transcription in a number of tissues in addition to activating immunoglobulin gene expression. It also modulates transcription transactivation by NR3C1, AR and PGR. Oct2 is B cell specific, belongs to the POU transcription factor family class 2 subfamily and contains 1 homeobox domain. Function: Transcription factor that specifically binds to the octamer motif (5'-ATTTGCAT-3'). Regulates transcription in a number of tissues in addition to activating immunoglobulin gene expression. Modulates transcription transactivation by NR3C1, AR and PGR. Isoform 5 activates the U2 small nuclear RNA (snRNA) promoter. Subunit: Interacts with NR3C1, AR and PGR. Subcellular Location: Cytoplasm. Nuclear Tissue Specificity: Isoform 3 is B-cell specific. Isoform 5 is expressed in B-cells and the immunoglobulin-expressing T-cell line Molt-4, but not in the T-cell line BW 5147. Similarity: Belongs to the POU transcription factor family. Class-2 subfamily. Contains 1 homeobox DNA-binding domain. Contains 1 POU-specific domain. SWISS: Q00196 Gene ID: 18987 Database links: Entrez Gene: 5452 Human Entrez Gene: 18987 Mouse Entrez Gene: 117058 Rat Omim: 164176 Human SwissProt: P09086 Human SwissProt: Q00196 Mouse Unigene: 147381 Human Unigene: 76683 Mouse Unigene: 155998 Rat Important Note: This product as supplied is intended for research use only, not for use in human, therapeutic or diagnostic applications. 同源结构域蛋白(Homeodomain Proteins) OCT-2是B淋巴细胞转录因子,以免疫球蛋白启动子为目标,于生发中心形成和B细胞分化成浆细胞中起作用。 |
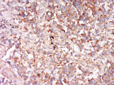
| 产品图片 | ![]() Sample: A549 Cell lysate at 30 ug; Primary: Anti-OCT2 (bs-1077R) at 1:300 dilution; Secondary: HRP conjugated Goat-Anti-Rabbit IgG(bse-0295G) at 1: 3000 dilution; Predicted band size : 51 kD Observed band size : 51 kD ![]() Tissue/cell: human lung carcinoma; 4% Paraformaldehyde-fixed and paraffin-embedded; Antigen retrieval: citrate buffer ( 0.01M, pH 6.0 ), Boiling bathing for 15min; Block endogenous peroxidase by 3% Hydrogen peroxide for 30min; Blocking buffer (normal goat serum,C-0005) at 37℃ for 20 min; Incubation: Anti-OCT2 Polyclonal Antibody, Unconjugated(bs-1077R) 1:500, overnight at 4°C, followed by conjugation to the secondary antibody(SP-0023) and DAB(C-0010) staining ![]() Tissue/cell: mouse heart tissue; 4% Paraformaldehyde-fixed and paraffin-embedded; Antigen retrieval: citrate buffer ( 0.01M, pH 6.0 ), Boiling bathing for 15min; Block endogenous peroxidase by 3% Hydrogen peroxide for 30min; Blocking buffer (normal goat serum,C-0005) at 37℃ for 20 min; Incubation: Anti-OCT2 Polyclonal Antibody, Unconjugated(bs-1077R) 1:200, overnight at 4°C, followed by conjugation to the secondary antibody(SP-0023) and DAB(C-0010) staining |
风险提示:丁香通仅作为第三方平台,为商家信息发布提供平台空间。用户咨询产品时请注意保护个人信息及财产安全,合理判断,谨慎选购商品,商家和用户对交易行为负责。对于医疗器械类产品,请先查证核实企业经营资质和医疗器械产品注册证情况。
文献和实验起着非常重要的作用。此外,我还认为研究生物体如何适应外来生物是很重要的,因为它可以阐明进化适应机制。许多关于适应的遗传基础的重要问题仍然没有得到解答。您能简要介绍一下您对黄尾藻中锌转运体的研究吗?简而言之,我的博士学位的目的是阐明黄氏菌的锌耐受机制。本小组先前的数据表明,转运蛋白在耐受性中起着至关重要的作用。因此,我的工作重点是研究黄体霉中锌转运体的特性。我已经在luteus基因组中发现了7个CDF(阳离子扩散促进因子)和4个ZIP (Zrt-, Irt-样蛋白)转运体。真核细胞中锌的转运主要由CDF
据估计细胞膜上与物质转运有关的蛋白占核基因编码蛋白的15~30%,细胞用在物质转运方面的能量达细胞总消耗能量的2/3。细胞膜上存在两类主要的转运蛋白,即:载体蛋白(carrier protein)和通道蛋白(channel protein)。载体蛋白又称做载体(carrier)、通透酶(permease)和转运器(transporter),有的需要能量驱动,如:各类APT驱动的离子泵;有的则不需要能量,如:缬氨酶素。通道蛋白能形成亲水的通道,允许特定的溶质通过,所有通道蛋白均以自由扩散的方式
HAAA引起的干扰,对Id效果甚微。 5.2抗体的处理去除抗体片段:由于HAAA能与分析用抗体中的Fc片段结合,Id能与分析用抗体的F(ab′)2与Fc结合,去除Fc可减少干扰物,降低动物源性Ig制剂的免疫原性。采用木瓜蛋白酶处理Ig去除Fc要比胃蛋白酶的效果更好。但是Id具有弱结合力,因此该方法对Id的干扰只能有限地减少。人源化抗体:用基因工程制备人源化嵌和抗体,通过将鼠Ig与人Ig的基因片段有序结合,得到低免疫原性的缺本,但要注意,它会诱导抗体产生人抗人抗体,而引起更多的麻烦。PEG的使用
技术资料暂无技术资料 索取技术资料














