相关产品推荐更多 >
万千商家帮你免费找货
0 人在求购买到急需产品
- 详细信息
- 文献和实验
- 技术资料
- 供应商:
上海康朗生物科技有限公司
- 库存:
大量
- 目录编号:
kl-2677R
- 克隆性:
多克隆
- 抗原来源:
Rabbit
- 保质期:
12个月
- 抗体英文名:
LRP1 antibody
- 抗体名:
低密度脂蛋白受体相关蛋白1抗体
- 宿主:
Rabbit
- 适应物种:
Human, Mouse, Rat, Chicken, Dog, Pig, Horse,
- 免疫原:
KLH conjugated synthetic peptide derived from human CD91:4451-4545/4545 <Cytoplasmic>
- 亚型:
IgG
- 形态:
冻干粉或液体
- 应用范围:
ELISA=1:500-1000 IHC-P=1:400-800 IHC-F=1:400-800 Flow-Cyt=1μg /test IF=1:100-500
- 浓度:
1mg/ml
- 保存条件:
-20 °C
- 规格:
100ul 200ul
| 中文名称 | 低密度脂蛋白受体相关蛋白1抗体 |
| 别 名 | A2MR; Alpha 2 macroglobulin receptor; alpha 2MR; APOER; Apolipoprotein E receptor; APR; CD 91; CD91; CD91 antigen; Low density lipoprotein receptor related protein 1; Low density lipoprotein related protein 1; LRP 1; LRP 515; LRP 85; LRP; LRP ICD; LRP1; LRP1 protein; LRP515. |
| 规格价格 | 100ul/1380元 购买 200ul/2200元 购买 大包装/询价 |
| 说 明 书 | 100ul 200ul |
| 研究领域 | 肿瘤 心血管 细胞生物 免疫学 神经生物学 信号转导 转录调节因子 合成与降解 Alzheimer's |
| 抗体来源 | Rabbit |
| 克隆类型 | Polyclonal |
| 交叉反应 | Human, Mouse, Rat, Chicken, Dog, Pig, Horse, |
| 产品应用 | ELISA=1:500-1000 IHC-P=1:400-800 IHC-F=1:400-800 Flow-Cyt=1μg /test IF=1:100-500 (石蜡切片需做抗原修复) not yet tested in other applications. optimal dilutions/concentrations should be determined by the end user. |
| 分 子 量 | 500kDa |
| 细胞定位 | 细胞核 细胞浆 细胞膜 |
| 性 状 | Lyophilized or Liquid |
| 浓 度 | 1mg/ml |
| 免 疫 原 | KLH conjugated synthetic peptide derived from human CD91:4451-4545/4545 <Cytoplasmic> |
| 亚 型 | IgG |
| 纯化方法 | affinity purified by Protein A |
| 储 存 液 | 0.01M TBS(pH7.4) with 1% BSA, 0.03% Proclin300 and 50% Glycerol. |
| 保存条件 | Store at -20 °C for one year. Avoid repeated freeze/thaw cycles. The lyophilized antibody is stable at room temperature for at least one month and for greater than a year when kept at -20°C. When reconstituted in sterile pH 7.4 0.01M PBS or diluent of antibody the antibody is stable for at least two weeks at 2-4 °C. |
| PubMed | PubMed |
| 产品介绍 | background: Low density lipoprotein receptor-related protein (also known as low density LRP, LRP1, alpha-2-macroglobulin receptor or Apolipoprotein E receptor) is an endocytotic receptor that is involved both in endocytosis and in phagocytosis of apoptotic cells. It is required for early embryonic development, is involved in cellular lipid homeostasis, and may play a role in APP metabolism, kinase-dependent intracellular signalling, neuronal calcium signalling and neurotransmission. Low density LRP also plays a role in the plasma clearance of chylomicron remnants and activated LRPAP1 (alpha-2-macroglobulin), and is involved in the local metabolism of complexes of plasminogen activators and their endogenous ligands. Low density LPR is postulated to be one of the major players in host resistance to HIV. The precursor low density LRP molecule is cleaved post-translationally to form a 85 kDa membrane-spanning subunit (LRP-85) and a 515 kDa large extracellular domain (LRP-515), which remains non-covalently associated with LRP-85. Following cleavage, the intracellular domain (LPRICD) is present in both the cytoplasm and the nucleus. Function: Endocytic receptor involved in endocytosis and in phagocytosis of apoptotic cells. Required for early embryonic development. Involved in cellular lipid homeostasis. Involved in the plasma clearance of chylomicron remnants and activated LRPAP1 (alpha 2-macroglobulin), as well as the local metabolism of complexes between plasminogen activators and their endogenous inhibitors. May modulate cellular events, such as APP metabolism, kinase-dependent intracellular signaling, neuronal calcium signaling as well as neurotransmission. Functions as a receptor for Pseudomonas aeruginosa exotoxin A. Subcellular Location: Cell membrane. Membrane, coated pit and Cytoplasm. Nucleus. After cleavage, the intracellular domain (LRPICD) is detected both in the cytoplasm and in the nucleus. Tissue Specificity: Most abundant in liver, brain and lung. Post-translational modifications: Cleaved into a 85 kDa membrane-spanning subunit (LRP-85) and a 515 kDa large extracellular domain (LRP-515) that remains non-covalently associated. Gamma-secretase-dependent cleavage of LRP-85 releases the intracellular domain from the membrane. The N-terminus is blocked. Phosphorylated on serine and threonine residues. Phosphorylated on tyrosine residues upon stimulation with PDGF. Tyrosine phosphorylation promotes interaction with SHC1. Similarity: Belongs to the LDLR family. Contains 22 EGF-like domains. Contains 31 LDL-receptor class A domains. Contains 34 LDL-receptor class B repeats. SWISS: Q07954 Gene ID: 4035 Database links: Entrez Gene: 4035 Human Entrez Gene: 16971 Mouse Entrez Gene: 100009547 Rabbit Entrez Gene: 299858 Rat Omim: 107770 Human SwissProt: Q07954 Human SwissProt: Q91ZX7 Mouse Unigene: 162757 Human Unigene: 271854 Mouse Unigene: 22436 Rat Important Note: This product as supplied is intended for research use only, not for use in human, therapeutic or diagnostic applications. |
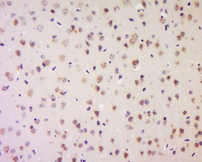
| 产品图片 | ![]() Tissue/cell: Mouse brain tissue; 4% Paraformaldehyde-fixed and paraffin-embedded; Antigen retrieval: citrate buffer ( 0.01M, pH 6.0 ), Boiling bathing for 15min; Block endogenous peroxidase by 3% Hydrogen peroxide for 30min; Blocking buffer (normal goat serum,C-0005) at 37℃ for 20 min; Incubation: Anti-LRP1 Polyclonal Antibody, Unconjugated(bs-2677R) 1:200, overnight at 4°C, followed by conjugation to the secondary antibody(SP-0023) and DAB(C-0010) staining ![]() Blank control(blue):U937 (fixed with 2% paraformaldehyde (10 min)). Primary Antibody:Rabbit Anti-LRP1 antibody(bs-2677R), Dilution: 1μg in 100 μL 1X PBS containing 0.5% BSA; Isotype Control Antibody: Rabbit IgG(orange) ,used under the same conditions ); Secondary Antibody: Goat anti-rabbit IgG-PE(white blue), Dilution: 1:200 in 1 X PBS containing 0.5% BSA. |
风险提示:丁香通仅作为第三方平台,为商家信息发布提供平台空间。用户咨询产品时请注意保护个人信息及财产安全,合理判断,谨慎选购商品,商家和用户对交易行为负责。对于医疗器械类产品,请先查证核实企业经营资质和医疗器械产品注册证情况。
文献和实验Generation of Antibody Molecules Through Antibody Engineering
been overcome to a large extent using genetic-engineering techniques to produce chimeric mouse/human and completely human antibodies. Such an approach is particularly suitable because of the domain structure of the antibody molecule ( 2 ), where functional
The importance of antibody molecules was first recognized in the 1890s, when it was shown that immunity to tetanus and diphtheria was caused by antibodies against the bacterial exotoxins (1 ). Around the same time, it was shown that antisera
General comments: Antibodies, like most proteins, do not like to be freeze-thawed. Avoid repetitive freezing of your solution. The best way to store your antibody is to keep a high protein concentration (>1 mg/ml), add some protease
技术资料暂无技术资料 索取技术资料












