相关产品推荐更多 >
万千商家帮你免费找货
0 人在求购买到急需产品
- 详细信息
- 询价记录
- 文献和实验
- 技术资料
- 供应商:
上海联迈生物工程有限公司
- 库存:
大量
- 目录编号:
LM-1018R
- 克隆性:
多克隆
- 抗原来源:
Rabbit
- 保质期:
1年
- 抗体英文名:
MUC1
- 抗体名:
粘蛋白-1/上皮膜抗原/EMA抗体
- 宿主:
Rabbit
- 适应物种:
Human, Rabbit,
- 免疫原:
KLH conjugated synthetic peptide derived from human Muc1:151-250/1255 <Extracellular>
- 亚型:
IgG
- 形态:
Lyophilized or Liquid
- 应用范围:
IHC-P=1:400-800 IHC-F=1:400-800 Flow-Cyt=3μg/Test IF=1:100-500 (石蜡切片需做抗原修复)
- 浓度:
1mg/ml
- 保存条件:
Store at -20 °C
- 规格:
100ul 200ul
| 英文名称 | MUC1 |
| 中文名称 | 粘蛋白-1抗体 |
| 别 名 | Breast carcinoma associated antigen DF3; CA 15 3; CA15-3; CA153; CA15-3 antigen; CA15.3; CA-153; Carcinoma associated mucin; CD 227; CD227; CD227 antigen; DF3 antigen; EMA; Episialin; Epithelial membrane antigen; Epithelial mucin tandem repeat sequence; H23 antigen; H23AG; HGNC:7508; MAM6; MUC 1; MUC-1; Mucin 1; Mucin 1 precursor; Mucin1; Mucin 1; Peanut reactive urinary mucin; PEM; PEMT; Polymorphic epithelial mucin; PUM; Tumor associated epithelial membrane antigen; Tumor associated mucin. |
| 规格价格 | 100ul/1380元 购买 200ul/2200元 购买 大包装/询价 |
| 说 明 书 | 100ul 200ul |
| 研究领域 | 肿瘤 免疫学 生长因子和激素 细胞粘附分子 |
| 抗体来源 | Rabbit |
| 克隆类型 | Polyclonal |
| 交叉反应 | Human, Rabbit, |
| 产品应用 | IHC-P=1:400-800 IHC-F=1:400-800 Flow-Cyt=3μg/Test IF=1:100-500 (石蜡切片需做抗原修复) not yet tested in other applications. optimal dilutions/concentrations should be determined by the end user. |
| 分 子 量 | 136kDa |
| 细胞定位 | 细胞核 细胞浆 细胞膜 分泌型蛋白 |
| 性 状 | Lyophilized or Liquid |
| 浓 度 | 1mg/ml |
| 免 疫 原 | KLH conjugated synthetic peptide derived from human Muc1:151-250/1255 <Extracellular> |
| 亚 型 | IgG |
| 纯化方法 | affinity purified by Protein A |
| 储 存 液 | 0.01M TBS(pH7.4) with 1% BSA, 0.03% Proclin300 and 50% Glycerol. |
| 保存条件 | Store at -20 °C for one year. Avoid repeated freeze/thaw cycles. The lyophilized antibody is stable at room temperature for at least one month and for greater than a year when kept at -20°C. When reconstituted in sterile pH 7.4 0.01M PBS or diluent of antibody the antibody is stable for at least two weeks at 2-4 °C. |
| PubMed | PubMed |
| 产品介绍 | background: This gene is a member of the mucin family and encodes a membrane bound, glycosylated phosphoprotein. The protein is anchored to the apical surface of many epithelia by a transmembrane domain, with the degree of glycosylation varying with cell type. It also includes a 20 aa variable number tandem repeat (VNTR) domain, with the number of repeats varying from 20 to 120 in different individuals. The protein serves a protective function by binding to pathogens and also functions in a cell signaling capacity. Overexpression, aberrant intracellular localization, and changes in glycosylation of this protein have been associated with carcinomas. Multiple alternatively spliced transcript variants that encode different isoforms of this gene have been reported, but the full-length nature of only some has been determined. Function: The alpha subunit has cell adhesive properties. Can act both as an adhesion and an anti-adhesion protein. May provide a protective layer on epithelial cells against bacterial and enzyme attack. The beta subunit contains a C-terminal domain which is involved in cell signaling, through phosphorylations and protein-protein interactions. Modulates signaling in ERK, SRC and NF-kappa-B pathways. In activated T-cells, influences directly or indirectly the Ras/MAPK pathway. Promotes tumor progression. Regulates TP53-mediated transcription and determines cell fate in the genotoxic stress response. Binds, together with KLF4, the PE21 promoter element of TP53 and represses TP53 activity. Subunit: The alpha subunit forms a tight, non-covalent heterodimeric complex with the proteolytically-released beta-subunit. Interaction, via the tandem repeat region, with domain 1 of ICAM1 is implicated in cell migration and metastases. Isoform 1 binds directly the SH2 domain of GRB2, and forms a MUC1/GRB2/SOS1 complex involved in RAS signaling. The cytoplasmic tail (MUC1CT) interacts with several proteins such as SRC, CTNNB1 and ERBs. Interaction with the SH2 domain of CSK decreases interaction with GSK3B. Interacts with CTNNB1/beta-catenin and JUP/gamma-catenin and promotes cell adhesion. Interaction with JUP/gamma-catenin is induced by heregulin. Binds PRKCD, ERBB2, ERBB3 and ERBB4. Heregulin (HRG) stimulates the interaction with ERBB2 and, to a much lesser extent, the interaction with ERBB3 and ERBB4. Interacts with P53 in response to DNA damage. Interacts with KLF4. Interacts with estrogen receptor alpha/ESR1, through its DNA-binding domain, and stimulates its transcription activity. Binds ADAM17. Subcellular Location: Apical cell membrane; Single-pass type I membrane protein. Note=Exclusively located in the apical domain of the plasma membrane of highly polarized epithelial cells. After endocytosis, internalized and recycled to the cell membrane. Located to microvilli and to the tips of long filopodial protusions. Isoform 5: Secreted. Isoform 7: Secreted. Isoform 9: Secreted. Mucin-1 subunit beta: Cell membrane. Cytoplasm. Nucleus. Note=On EGF and PDGFRB stimulation, transported to the nucleus through interaction with CTNNB1, a process which is stimulated by phosphorylation. On HRG stimulation, colocalizes with JUP/gamma-catenin at the nucleus. Tissue Specificity: Expressed on the apical surface of epithelial cells, especially of airway passages, breast and uterus. Also expressed in activated and unactivated T-cells. Overexpressed in epithelial tumors, such as breast or ovarian cancer and also in non-epithelial tumor cells. Isoform 7 is expressed in tumor cells only. Similarity: Contains 1 SEA domain. SWISS: P15941 Gene ID: 4582 Database links: Entrez Gene: 4582 Human Omim: 158340 Human SwissProt: P15941 Human Unigene: 89603 Human Important Note: This product as supplied is intended for research use only, not for use in human, therapeutic or diagnostic applications. 细胞粘附蛋白(Call Adhesion Protein) 上皮膜抗原是粘性糖蛋白家族之一,是一种膜内在糖蛋白。很多上皮细胞及其来源的肿瘤表达该蛋白.EMA是一种分子量为40kDa的跨膜糖蛋白,广泛分布于各种上皮细胞及其来源的肿瘤。该抗体可以标记大部分正常上皮及上皮源性的肿瘤。常用于间皮反应和间皮瘤的鉴别;间皮瘤和腺癌的鉴别;基底细胞、鳞状细胞与皮肤基底细胞癌的鉴别;淋巴结ALK阳性的大细胞间变型淋巴瘤同其他淋巴瘤类型的鉴别。 |
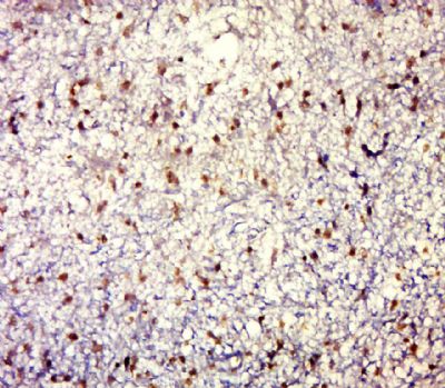
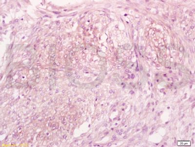
| 产品图片 | ![]() Paraformaldehyde-fixed, paraffin embedded (Human brain glioma); Antigen retrieval by boiling in sodium citrate buffer (pH6.0) for 15min; Block endogenous peroxidase by 3% hydrogen peroxide for 20 minutes; Blocking buffer (normal goat serum) at 37°C for 30min; Antibody incubation with (MUC1) Polyclonal Antibody, Unconjugated (bs-1018R) at 1:500 overnight at 4°C, followed by a conjugated secondary (sp-0023) for 20 minutes and DAB staining. ![]() Tissue/cell: human breast tissue; 4% Paraformaldehyde-fixed and paraffin-embedded; Antigen retrieval: citrate buffer ( 0.01M, pH 6.0 ), Boiling bathing for 15min; Block endogenous peroxidase by 3% Hydrogen peroxide for 30min; Blocking buffer (normal goat serum,C-0005) at 37℃ for 20 min; Incubation: Anti-CA15-3/Muc1 Polyclonal Antibody, Unconjugated(bs-1018R) 1:200, overnight at 4°C, followed by conjugation to the secondary antibody(SP-0023) and DAB(C-0010) staining ![]() Tissue/cell: rabbit bladder;4% Paraformaldehyde-fixed and paraffin-embedded Antigen retrieval: citrate buffer ( 0.01M, pH 6.0 ), Boiling bathing for 15min; Blocking buffer (normal goat serum) at 37℃ for 20 min Incubation: Anti-CA15-3/Muc1 Polyclonal Antibody, Unconjugated(bs-1018R) 1:200, overnight at 4°C, The secondary antibody was Goat Anti-Rabbit IgG, PE conjugated(bs-0295G-PE)used at 1:200 dilution for 40 minutes at 37°C. DAPI(5ug/ml,blue) was used to stain the cell nuclei ![]() Blank control (blue line): MCF7 Primary Antibody (green line): Rabbit Anti-UC1 antibody (bs-1018R) Dilution: 1μg /10^6 cells; Isotype Control Antibody (orange line): Rabbit IgG . Secondary Antibody (white blue line): Goat anti-rabbit IgG-FITC Dilution: 1μg /test. Protocol The cells were fixed with 70% ethanol (Overnight at 4℃) and then permeabilized with 90% ice-cold methanol for 30 min on ice. Cells stained with Primary Antibody for 30 min at room temperature. The cells were then incubated in 1 X PBS/2%BSA/10% goat serum to block non-specific protein-protein interactions followed by the antibody for 15 min at room temperature. The secondary antibody used for 40 min at room temperature. Acquisition of 20,000 events was performed. |
风险提示:丁香通仅作为第三方平台,为商家信息发布提供平台空间。用户咨询产品时请注意保护个人信息及财产安全,合理判断,谨慎选购商品,商家和用户对交易行为负责。对于医疗器械类产品,请先查证核实企业经营资质和医疗器械产品注册证情况。
- 作者
- 内容
- 询问日期
文献和实验(3)同上。两个磷酸化位点都要做,但是可能在不同的病理条件下,侧重点有所不同,这主要体现在你的论文的讨论中。因此建议实验前多做论文研究,查阅一下别人的发表文章,看看与你的病理模型更相关的是哪个位点。 真爱满行囊 非常感谢你 的回复,现在我遇到的问题是我做出来蛋白总量还有216位点是有变化的,9位因为买的是santa curz的抗体,现在死活做不出来,很头痛,我要说明的问题是他的活性降低,我也看到216位点磷酸化水平降低了,可是现在没有第九位的结果(就是没有办法得到第九
在无血清细胞培养条件下将人 iPS 细胞体外分化为结肠类器官
酐酶-II、α-碳酸酐酶-IV、粘蛋白 5B、粘蛋白 2 和 E-钙粘蛋白呈阳性。 图 7. 人结肠类器官的免疫组化 (IHC) 表征。A) 用阿尔新蓝染色鉴定的杯状细胞 B) 用 Ki67 抗体(红色)鉴定的增殖细胞 C) 用 H&E 染色鉴定的细胞核和血浆蛋白。 结论 我们开发了一个强大的三步分化方案,以从人类诱导的多能干细胞 (iPSC) 中分化出人结肠类器官。使用该实验方案生成的结肠类器官能够表达成熟的结肠标志物 CDX2、α-碳酸酐酶-II、α-碳酸酐酶-IV、粘蛋白 5B、粘蛋白
扫描仪中,都采用机械式的二维X,Y线性扫描技术实现,即X,Y方向都采用直线驱动器和直线导轨实现往复运动。此类装置,由于驱动系统的频率限制,驱动器的扫描惯性大,使得扫描效率低,分析时间相当长;并且往复行程长,对直线导轨的精度要求相当高。二、光机结合的二维扫描系统为同样实现生物芯片的二维扫描,我们的实验装置设计如图2,采用了振镜和大数值孔径的远心f-è物镜相结合实现X方向扫描,Y方向的运动仍采用直线驱动器和直线导轨实现。 系统中,对于f-è物镜,满足x=2fè(è为振镜的摆动角度,f为物镜焦距)的线性
技术资料暂无技术资料 索取技术资料













