相关产品推荐更多 >
万千商家帮你免费找货
0 人在求购买到急需产品
- 详细信息
- 文献和实验
- 技术资料
- 供应商:
上海联迈生物工程有限公司
- 库存:
大量
- 目录编号:
LM-0671R
- 克隆性:
多克隆
- 抗原来源:
Rabbit
- 保质期:
1年
- 抗体英文名:
MCK10
- 抗体名:
神经上皮酪氨酸激酶/乳腺癌激酶10抗体
- 宿主:
Rabbit
- 适应物种:
Human, Mouse, Rat,
- 免疫原:
KLH conjugated synthetic peptide derived from human CD167a:21-120/913
- 亚型:
IgG
- 形态:
Lyophilized or Liquid
- 应用范围:
WB=1:500-2000 ELISA=1:500-1000 IHC-P=1:400-800 IHC-F=1:400-800 IF=1:100-500 (石蜡切片需做抗原修复)
- 浓度:
1mg/ml
- 保存条件:
Store at -20 °C
- 规格:
50ul 100ul 200ul
| 英文名称 | MCK10 |
| 中文名称 | 神经上皮酪氨酸激酶/乳腺癌激酶10抗体 |
| 别 名 | MCK10; CAK; CD 167; CD167; CD167a; DDR1; Cell adhesion kinase; DDR 1; DDR; DDR1; Discoidin domain receptor; Discoidin receptor tyrosine kinase isoform a; EDDR 1; Epithelial discoidin domain receptor 1; Epithelial specific receptor kinase; Mammarian carcinoma kinase 10; Neuroepithelial tyrosine kinase; Neurotrophic tyrosine kinase receptor type 4; NTRK 4; PTK 3; PTK 3A protein tyrosine kinase 3A; Receptor tyrosine kinase NEP; RTK 6; TRK E; Tyrosine kinase receptor E. |
| 规格价格 | 50ul/780元 购买 100ul/1380元 购买 200ul/2200元 购买 大包装/询价 |
| 说 明 书 | 50ul 100ul 200ul |
| 研究领域 | 肿瘤 激酶和磷酸酶 |
| 抗体来源 | Rabbit |
| 克隆类型 | Polyclonal |
| 交叉反应 | Human, Mouse, Rat, |
| 产品应用 | WB=1:500-2000 ELISA=1:500-1000 IHC-P=1:400-800 IHC-F=1:400-800 IF=1:100-500 (石蜡切片需做抗原修复) not yet tested in other applications. optimal dilutions/concentrations should be determined by the end user. |
| 分 子 量 | 99kDa |
| 细胞定位 | 细胞膜 分泌型蛋白 |
| 性 状 | Lyophilized or Liquid |
| 浓 度 | 1mg/ml |
| 免 疫 原 | KLH conjugated synthetic peptide derived from human CD167a:21-120/913 |
| 亚 型 | IgG |
| 纯化方法 | affinity purified by Protein A |
| 储 存 液 | 0.01M TBS(pH7.4) with 1% BSA, 0.03% Proclin300 and 50% Glycerol. |
| 保存条件 | Store at -20 °C for one year. Avoid repeated freeze/thaw cycles. The lyophilized antibody is stable at room temperature for at least one month and for greater than a year when kept at -20°C. When reconstituted in sterile pH 7.4 0.01M PBS or diluent of antibody the antibody is stable for at least two weeks at 2-4 °C. |
| PubMed | PubMed |
| 产品介绍 | background: Receptor tyrosine kinases (RTKs) play a key role in the communication of cells with their microenvironment. These molecules are involved in the regulation of cell growth, differentiation and metabolism. The protein encoded by this gene is a RTK that is widely expressed in normal and transformed epithelial cells and is activated by various types of collagen. This protein belongs to a subfamily of tyrosine kinase receptors with a homology region to the Dictyostelium discoideum protein discoidin I in their extracellular domain. Its autophosphorylation is achieved by all collagens so far tested (type I to type VI). In situ studies and Northern-blot analysis showed that expression of this encoded protein is restricted to epithelial cells, particularly in the kidney, lung, gastrointestinal tract, and brain. In addition, this protein is significantly over-expressed in several human tumors from breast, ovarian, esophageal, and pediatric brain. This gene is located on chromosome 6p21.3 in proximity to several HLA class I genes. Alternative splicing of this gene results in multiple transcript variants. Function: Tyrosine kinase that functions as cell surface receptor for fibrillar collagen and regulates cell attachment to the extracellular matrix, remodeling of the extracellular matrix, cell migration, differentiation, survival and cell proliferation. Collagen binding triggers a signaling pathway that involves SRC and leads to the activation of MAP kinases. Regulates remodeling of the extracellular matrix by up-regulation of the matrix metalloproteinases MMP2, MMP7 and MMP9, and thereby facilitates cell migration and wound healing. Required for normal blastocyst implantation during pregnancy, for normal mammary gland differentiation and normal lactation. Required for normal ear morphology and normal hearing (By similarity). Promotes smooth muscle cell migration, and thereby contributes to arterial wound healing. Also plays a role in tumor cell invasion. Phosphorylates PTPN11. Subunit: Homodimer. Interacts (via PPxY motif) with WWC1 (via WW domains) in a collagen-regulated manner. Forms a tripartite complex with WWC1 and PRKCZ, but predominantly in the absence of collagen. Interacts (tyrosine phosphorylated) with SHC1. Interacts with SRC. Interacts with MYH9. Interacts with CDH1. Interacts with PTPN11. Interacts with NCK2. Subcellular Location: Isoform 1: Cell membrane; Single-pass type I membrane protein. Isoform 2: Cell membrane; Single-pass type I membrane protein. Isoform 3: Secreted (Potential). Isoform 4: Cell membrane; Single-pass type I membrane protein. Tissue Specificity: Detected in T-47D, MDA-MB-175 and HBL-100 breast carcinoma cells, A-431 epidermoid carcinoma cells, SW48 and SNU-C2B colon carcinoma cells and Hs 294T melanoma cells (at protein level). Expressed at low levels in most adult tissues and is highest in the brain, lung, placenta and kidney. Lower levels of expression are detected in melanocytes, heart, liver, skeletal muscle and pancreas. Abundant in breast carcinoma cell lines. In the colonic mucosa, expressed in epithelia but not in the connective tissue of the lamina propria. In the thyroid gland, expressed in the epithelium of the thyroid follicles. In pancreas, expressed in the islets of Langerhans cells, but not in the surrounding epithelial cells of the exocrine pancreas. In kidney, expressed in the epithelia of the distal tubules. Not expressed in connective tissue, endothelial cells, adipose tissue, muscle cells or cells of hematopoietic origin. Post-translational modifications: Autophosphorylated in response to fibrillar collagen binding. Similarity: Belongs to the protein kinase superfamily. Tyr protein kinase family. Insulin receptor subfamily. Contains 1 F5/8 type C domain. Contains 1 protein kinase domain. SWISS: Q08345 Gene ID: 780 Database links: Entrez Gene: 780 Human Entrez Gene: 12305 Mouse Omim: 600408 Human SwissProt: Q08345 Human SwissProt: Q03146 Mouse Unigene: 631988 Human Unigene: 5021 Mouse Important Note: This product as supplied is intended for research use only, not for use in human, therapeutic or diagnostic applications. DDR-1属酪氨酸激酶受体家族:用于肿瘤方面的研究 |
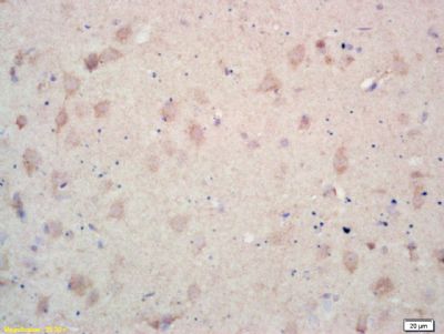
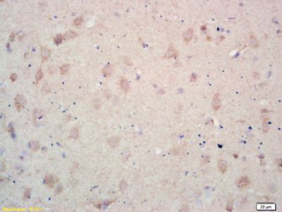
| 产品图片 | ![]() Paraformaldehyde-fixed, paraffin embedded (Rat brain); Antigen retrieval by boiling in sodium citrate buffer (pH6.0) for 15min; Block endogenous peroxidase by 3% hydrogen peroxide for 20 minutes; Blocking buffer (normal goat serum) at 37°C for 30min; Antibody incubation with (MCK10) Polyclonal Antibody, Unconjugated (bs-0671R) at 1:500 overnight at 4°C, followed by a conjugated secondary (sp-0023) for 20 minutes and DAB staining. |
风险提示:丁香通仅作为第三方平台,为商家信息发布提供平台空间。用户咨询产品时请注意保护个人信息及财产安全,合理判断,谨慎选购商品,商家和用户对交易行为负责。对于医疗器械类产品,请先查证核实企业经营资质和医疗器械产品注册证情况。
文献和实验研究中[8]。(3)MAB528与MAB225MAB528、MAB225是针对EGFR胞外区的鼠源性抗体[9]。它们与EGF、TGFα和EGFR有相似的亲和力,竞争性与EGFR配体结合区结合,减低酪氨酸激酶的活化。能明显抑制培养细胞及裸鼠肿瘤移植物的增殖。(4)其它EMD55900[10]、 ICR62[11]是鼠源性单克隆抗体。在头颈部上皮性肿瘤体外试验显示了抗增生活性。CIBCNSH3[11]也是针对过表达EGFR肿瘤的单克隆抗体。体外实验CIBCNSH3与过表达EGFR细胞共育,发现98%细胞
与细胞因子受体信号转导 细胞因子信号转导首先需要配体与受体结合并诱导受体二聚体(或三聚体)的形成,使二聚体(或三聚体)胞浆部分的相互作用,由此引起不同途径的信号转导。在IL-2R系统中,受β、γ链的二聚作用对于信号的转导是必须的,缺乏β链胞浆区的IL-2R不能转导IL-2刺激所发生的信号。大多数的细胞因子对细胞的刺激及信号转导与酪氨酸激酶的活化及细胞内蛋白的酪氨酸磷酸化有关,细胞因子与受体结合可以引起受体成分的酪氨酸磷酸化。ERS胞浆区近膜端的60个氨基酸残基是高度保守的,这段同源序列对IL
上广泛应用,有数家医药公司曾以ras为药靶生产癌细胞抑制剂,可惜临床试验的结果总是不理想。然而最早克隆出ras的西班牙肿瘤专家巴巴希德却没有放弃,迄今他所建立的肿瘤标本库已收集了2000份标本,另外还筹办了拥有10万只小鼠的标准动物房。不少科学家往往只对识别基因感兴趣,但是巴巴希德却主张“将我们获得的知识服务于患者”。巴巴希德对编码酪氨酸的癌基因最感兴趣,他认识到小分子物质可以阻断特异性的酶靶,并研究制备出十几个酪氨酸激酶抑制剂用于临床试验。 2.发现p53抑制肿瘤的新途径 发表在2004
技术资料暂无技术资料 索取技术资料











