相关产品推荐更多 >
万千商家帮你免费找货
0 人在求购买到急需产品
- 详细信息
- 文献和实验
- 技术资料
- 供应商:
上海联迈生物工程有限公司
- 库存:
大量
- 目录编号:
LM-0646R
- 克隆性:
多克隆
- 抗原来源:
Rabbit
- 保质期:
1年
- 抗体英文名:
CD34
- 抗体名:
CD34抗体
- 宿主:
Rabbit
- 适应物种:
Human, Mouse, Rat, Dog, Pig, Cow, Rabbit,
- 免疫原:
KLH conjugated synthetic peptide derived from human CD34:301-385/385 <Extracellular>
- 亚型:
IgG
- 形态:
Lyophilized or Liquid
- 应用范围:
WB=1:500-2000 ELISA=1:500-1000 IHC-P=1:400-800 IHC-F=1:400-800 Flow-Cyt=1μg/Test IF=1:200-800 (石蜡切片需做抗原修复)
- 浓度:
1mg/ml
- 保存条件:
Store at -20 °C
- 规格:
50ul 100ul 200ul
| 英文名称 | CD34 |
| 中文名称 | CD34抗体 |
| 别 名 | CD34 antigen; CD34 molecule; Cluster designation 34; Hematopoietic progenitor cell antigen CD34; HPCA1; CD34_HUMAN. |
![]() |
Specific References (8) | bs-0646R has been referenced in 8 publications. [IF=0.94] Bi, Lingyun, et al. "Effect of bone marrow stem cell mobilisation on the expression levels of cellular growth factors in a rat model of acute tubular necrosis." Experimental and Therapeutic Medicine. IHC-P ; Rat. PubMed:26622364 [IF=2.81] Sun, Wei, et al. "Adipose-Derived Stem Cells Alleviate Radiation-Induced Muscular Fibrosis by Suppressing the Expression of TGF-1." (2015) Stem Cells International FCM ; Rabbit. PubMed:26649050 [IF=0.78] Zhang, Q. L., et al. "Expression and localization of the vascular endothelial growth factor and changes of microvessel density during hair follicle development of liaoning cashmere goats." Genet Mol Res 12.12 (2013): 6424-6432. IHC-P ; Goat. PubMed:24390991 [IF=0.73] Yu, Z., et al. "Sonic hedgehog and retinoic Acid induce bone marrow-derived stem cells to differentiate into glutamatergic neural cells." Journal of immunoassay & immunochemistry 36.1 (2015): 1. FCM ; Rat. PubMed:24547891 [IF=1.28] Huang, Sheng‑Li, Jian Jiao, and Hong‑Wei Yan. "Hydrogen-rich saline attenuates steroid-associated femoral head necrosis through inhibition of oxidative stress in a rabbit model." Experimental and therapeutic medicine11.1 (2016): 177-182. IHC-P ; Rabbit. PubMed:26889236 [IF=1.00] Guo, Jian-wen, et al. "Combinatorial effects of Naomai Yihao Capsules () and vascular endothelial growth factor gene-transfected bone marrow mesenchymal stem cells on angiogenesis in cerebral ischemic tissues in rats." Journal of Traditional Chinese Medicine 32.1 (2012): 87-92. IHC-P ; Rat. PubMed:22594109 [IF=4.47] Erin, Nuray, et al. "Differential characteristics of heart, liver, and brain metastatic subsets of murine breast carcinoma." Breast Cancer Research and Treatment (2013): 1-13. Mouse. PubMed:23760857 [IF=2.15] Zeng, Chao, et al. "Prostate-specific membrane antigen: a new potential prognostic marker of osteosarcoma." Medical Oncology 29.3 (2012): 2234-2239. IHC-P ; Human. PubMed:22009216 |
| 规格价格 | 50ul/780元 购买 100ul/1380元 购买 200ul/2200元 购买 大包装/询价 |
| 说 明 书 | 50ul 100ul 200ul |
| 研究领域 | 肿瘤 心血管 免疫学 发育生物学 神经生物学 干细胞 细胞表面分子 糖蛋白 细胞类型标志物 血管内皮细胞 内皮细胞 |
| 抗体来源 | Rabbit |
| 克隆类型 | Polyclonal |
| 交叉反应 | Human, Mouse, Rat, Dog, Pig, Cow, Rabbit, |
| 产品应用 | WB=1:500-2000 ELISA=1:500-1000 IHC-P=1:400-800 IHC-F=1:400-800 Flow-Cyt=1μg/Test IF=1:200-800 (石蜡切片需做抗原修复) not yet tested in other applications. optimal dilutions/concentrations should be determined by the end user. |
| 分 子 量 | 39kDa |
| 细胞定位 | 细胞膜 |
| 性 状 | Lyophilized or Liquid |
| 浓 度 | 1mg/ml |
| 免 疫 原 | KLH conjugated synthetic peptide derived from human CD34:301-385/385 <Extracellular> |
| 亚 型 | IgG |
| 纯化方法 | affinity purified by Protein A |
| 储 存 液 | 0.01M TBS(pH7.4) with 1% BSA, 0.03% Proclin300 and 50% Glycerol. |
| 保存条件 | Store at -20 °C for one year. Avoid repeated freeze/thaw cycles. The lyophilized antibody is stable at room temperature for at least one month and for greater than a year when kept at -20°C. When reconstituted in sterile pH 7.4 0.01M PBS or diluent of antibody the antibody is stable for at least two weeks at 2-4 °C. |
| PubMed | PubMed |
| 产品介绍 | background: The highly glycosylated 75-120 kD antigen CD34 is possibly an adhesion molecule with a putative role in early hematopoiesis by mediating the attachment of stem cells to the bone marrow extracellular matrix or directly to stromal cells. It could act as a scaffold for the attachment of lineage specific glycans, allowing stem cells to bind to lectins expressed by stromal cells or other marrow components. CD34 is thought to have a role in presenting carbohydrate ligands to selectins. The intracellular chain of the CD34 antigen is a site of phosphorylation by activated protein kinase C, suggesting a putative role in signal transduction. Two isoforms of CD34 have been reported to be generated by alternative splicing. CD34 is highly expressed on hematopoietic progenitors, as well as on endothelial cells, brain, and testis. Staining for CD34 has been used to measure angiogenesis, which reportedly predicts tumor recurrence. Function: Possible adhesion molecule with a role in early hematopoiesis by mediating the attachment of stem cells to the bone marrow extracellular matrix or directly to stromal cells. Could act as a scaffold for the attachment of lineage specific glycans, allowing stem cells to bind to lectins expressed by stromal cells or other marrow components. Presents carbohydrate ligands to selectins. Subcellular Location: Membrane; Single-pass type I membrane protein. Tissue Specificity: Selectively expressed on hematopoietic progenitor cells and the small vessel endothelium of a variety of tissues. Post-translational modifications: Highly glycosylated. Phosphorylated on serine residues by PKC. Similarity: Belongs to the CD34 family. SWISS: P28906 Gene ID: 947 Database links: Entrez Gene: 947 Human Omim: 142230 Human SwissProt: P28906 Human Unigene: 374990 Human Important Note: This product as supplied is intended for research use only, not for use in human, therapeutic or diagnostic applications. 造血干细胞标志物 内皮标志物 肿瘤生物标志物 细胞表面的唾液粘蛋白。 间充质干细胞(mesenchymal stem cells,MSC)也是干细胞家族的重要成员,来源于发育早期的中胚层和外胚层。MSC最初在骨髓中发现,因其具有多向分化潜能、造血支持和促进干细胞植入、免疫调控和自我复制等特点。如间充质干细胞在体内或体外特定的诱导条件下,可分化为血管内皮、脂肪、骨、软骨、肌肉、肌腱、韧带、神经、肝、心肌、等多种组织细胞。 |
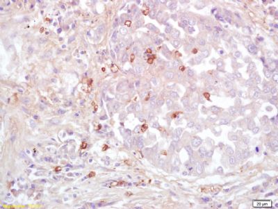
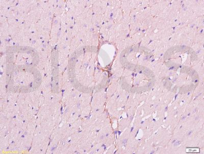
| 产品图片 | ![]() Sample: MCF-7(Human) Cell Lysate at 40 ug Primary: Anti-CD34 (bs-0646R) at 1/300 dilution Secondary: IRDye800CW Goat Anti-Rabbit IgG at 1/20000 dilution Predicted band size: 39 kD Observed band size: 115 kD ![]() Tissue/cell: human lung carcinoma; 4% Paraformaldehyde-fixed and paraffin-embedded; Antigen retrieval: citrate buffer ( 0.01M, pH 6.0 ), Boiling bathing for 15min; Block endogenous peroxidase by 3% Hydrogen peroxide for 30min; Blocking buffer (normal goat serum,C-0005) at 37℃ for 20 min; Incubation: Anti-CD34 Polyclonal Antibody, Unconjugated(bs-0646R) 1:200, overnight at 4°C, followed by conjugation to the secondary antibody(SP-0023) and DAB(C-0010) staining ![]() Tissue/cell: mouse heart tissue; 4% Paraformaldehyde-fixed and paraffin-embedded; Antigen retrieval: citrate buffer ( 0.01M, pH 6.0 ), Boiling bathing for 15min; Block endogenous peroxidase by 3% Hydrogen peroxide for 30min; Blocking buffer (normal goat serum,C-0005) at 37℃ for 20 min; Incubation: Anti-CD34 Polyclonal Antibody, Unconjugated(bs-0646R) 1:200, overnight at 4°C, followed by conjugation to the secondary antibody(SP-0023) and DAB(C-0010) staining ![]() Paraformaldehyde-fixed, paraffin embedded (Mouse brain); Antigen retrieval by boiling in sodium citrate buffer (pH6.0) for 15min; Block endogenous peroxidase by 3% hydrogen peroxide for 20 minutes; Blocking buffer (normal goat serum) at 37°C for 30min; Incubation: Anti-CD34 Antibody, conjugated (bs-0646R-FITC) 1:400, 1.5 hours at 37°C; DAPI (5ug/ml, blue, C-0033) was used to stain the cell nuclei. ![]() Tissue/cell: human gastric adenocarcinoma;4% Paraformaldehyde-fixed and paraffin-embedded; Antigen retrieval: citrate buffer ( 0.01M, pH 6.0 ), Boiling bathing for 15min; Blocking buffer (normal goat serum,C-0005) at 37℃ for 20 min; Incubation: Anti-CD34 Polyclonal Antibody, Unconjugated(bs-0646R) 1:200, overnight at 4°C; The secondary antibody was Goat Anti-Rabbit IgG, AF488 conjugated(bs-0295G-AF488)used at 1:200 dilution for 40 minutes at 37°C. ![]() Blank control: Raji(blue). Primary Antibody:Rabbit Anti- CD34 antibody(bs-0646R), Dilution: 1μg in 100 μL 1X PBS containing 0.5% BSA; Isotype Control Antibody: Rabbit IgG(orange) ,used under the same conditions ); Secondary Antibody: Goat anti-rabbit IgG-PE(white blue), Dilution: 1:200 in 1 X PBS containing 0.5% BSA. Protocol The cells were fixed with 2% paraformaldehyde (10 min). Antibody (bs-0646R, 1μg /1x10^6 cells) were incubated for 30 min on the ice, followed by 1 X PBS containing 0.5% BSA + 1 0% goat serum (15 min) to block non-specific protein-protein interactions. Then the Goat Anti-rabbit IgG/PE antibody was added into the blocking buffer mentioned above to react with the primary antibody of bs-0646R at 1/200 dilution for 30 min on ice. Acquisition of 20,000 events was performed. ![]() Blank control: HUVEC. Primary Antibody (green line): Rabbit CD34 antibody (bs-0646R) Dilution: 1μg /10^6 cells; Isotype Control Antibody (orange line): Rabbit IgG . Secondary Antibody: Goat anti-rabbit IgG-AF647 Dilution: 1μg /test. Protocol The cells were then incubated in 5%BSA to block non-specific protein-protein interactions for 30 min at room temperature .Cells stained with Primary Antibody for 30 min at room temperature. The secondary antibody used for 40 min at room temperature. Acquisition of 20,000 events was performed. |
风险提示:丁香通仅作为第三方平台,为商家信息发布提供平台空间。用户咨询产品时请注意保护个人信息及财产安全,合理判断,谨慎选购商品,商家和用户对交易行为负责。对于医疗器械类产品,请先查证核实企业经营资质和医疗器械产品注册证情况。
文献和实验抗体的结构决定了其对应的功能,同一抗体的V区和C区的氨基酸组成和顺序不同,决定了其功能上的差异。V区和C区的组成和结构,决定了抗体的生物学功能。 图1:抗体的主要功能(图片来源:Abbas et al: Cellular and Molecular Immunology, 7e.) 1、特异性识别功能 抗体可以通过其结构上的可变区域与抗原结合,同时,具有极高的特异性。这种特异性识别功能可以使抗体识别和结合到感染的病原体,肿瘤细胞等不同种类的分子,帮助免疫系统识别并定位到这些分子,进而启动
在生命科学和医学基础研究中,或多或少都需要用到抗体。抗体的应用场景不同、标记物众多,且针对同一标记物市场上往往有多个抗体可供选择,那么,我们如何从成百万上千万种抗体中,挑选出我们想要的那支呢? 在我们6月份的关于抗体的调研活动中,我们发现,大家更多的是去参考文献或专利中的材料和方法部分,这无疑很大程度上保证了抗体的有效性。其次有45%和34%的受访者会用到百度和谷歌,然而这两个搜索引擎覆盖面颇广,经常会出现抗体无关的搜索结果,而专业用于查找抗体的网站,大家却知之甚少。 因此,本次文章中
第一代抗体—— 血清多克隆抗体(PcAb) 20世纪初期发现血清抗体和细菌毒素的作用,可用于多种疾病的治疗。多克隆抗体生产过程遇到免疫动物制备的血清抗体具有免疫原性和非均质性的特点,给抗体的研究和应用造成困难,但是由于血清多克隆抗体识别抗原的广谱性,以及识别不同表位的各种抗体或识别同种抗原表位的不同克隆的抗体可协同作用,因而能高效地识别抗原和阻断抗原对机体的危害,所以血清抗体至今仍为诊治疾病和生命科学研究重要制剂。 第二代抗体——单克隆抗体(McAb) 将经绵阳红细胞免疫后的小鼠
技术资料暂无技术资料 索取技术资料


















