相关产品推荐更多 >
万千商家帮你免费找货
0 人在求购买到急需产品
- 详细信息
- 文献和实验
- 技术资料
- 供应商:
上海康朗生物科技有限公司
- 库存:
大量
- 目录编号:
kl-2138R
- 克隆性:
多克隆
- 抗原来源:
Rabbit
- 保质期:
12个月
- 抗体英文名:
PARP antibody
- 抗体名:
多腺苷二磷酸多聚酶抗体(N端)
- 宿主:
Rabbit
- 适应物种:
Human, Mouse, Rat, Dog, Cow,
- 免疫原:
KLH conjugated synthetic peptide derived from human PARP:201-300/1014
- 亚型:
IgG
- 形态:
冻干粉或液体
- 应用范围:
WB=1:500-2000 ELISA=1:500-1000 IHC-P=1:400-800 IHC-F=1:400-800 Flow-Cyt=0.2μg/Test IF=1:100-500
- 浓度:
1mg/ml
- 保存条件:
-20 °C
- 规格:
50ul 100ul 200ul
| 中文名称 | 多腺苷二磷酸多聚酶抗体(N端) |
| 别 名 | ADP ribosyltransferase (NAD+; poly (ADP ribose) polymerase); ADP ribosyltransferase NAD+; ADPRT 1; ADPRT; ADPRT1; msPARP; NAD(+) ADP ribosyltransferase 1; pADPRT 1; pADPRT1; PARP 1; PARP1; Poly (ADP ribose) polymerase 1; poly (ADP ribose) polymerase family, member 1; Poly adenosine diphosphate ADP ribose polymerase; Poly ADP ribose polymerase 1; Poly ADP ribose polymerase family member 1; Poly ADP ribose synthetase 1; poly(ADP ribose) synthetase; poly(ADP ribosyl)transferase; Poly[ADP ribose] synthetase 1; PPOL; sPARP 1; sPARP1; PARP1_HUMAN. |
![]() |
Specific References (2) | bs-2138R has been referenced in 2 publications. [IF=12.88] Ma, Juan, et al. "A Crucial Role of Lateral Size for Graphene Oxide in Activating Macrophages and Stimulating Pro-inflammatory Responses in Cells and Animals." ACS nano (2015). WB ; Mouse. PubMed:26389709 [IF=1.55] Yang, Jinjiang, Ying Lu, and Ai Guo. "Platelet-rich plasma protects rat chondrocytes from interleukin-1β-induced apoptosis." Molecular Medicine Reports 14.5 (2016): 4075-4082. WB ; Rat. PubMed:27665780 |
| 规格价格 | 50ul/780元 购买 100ul/1380元 购买 200ul/2200元 购买 大包装/询价 |
| 说 明 书 | 50ul 100ul 200ul |
| 研究领域 | 染色质和核信号 细胞凋亡 |
| 抗体来源 | Rabbit |
| 克隆类型 | Polyclonal |
| 交叉反应 | Human, Mouse, Rat, Dog, Cow, |
| 产品应用 | WB=1:500-2000 ELISA=1:500-1000 IHC-P=1:400-800 IHC-F=1:400-800 Flow-Cyt=0.2μg/Test IF=1:100-500 (石蜡切片需做抗原修复) not yet tested in other applications. optimal dilutions/concentrations should be determined by the end user. |
| 分 子 量 | 111kDa |
| 细胞定位 | 细胞核 |
| 性 状 | Lyophilized or Liquid |
| 浓 度 | 1mg/ml |
| 免 疫 原 | KLH conjugated synthetic peptide derived from human PARP:201-300/1014 |
| 亚 型 | IgG |
| 纯化方法 | affinity purified by Protein A |
| 储 存 液 | 0.01M TBS(pH7.4) with 1% BSA, 0.03% Proclin300 and 50% Glycerol. |
| 保存条件 | Store at -20 °C for one year. Avoid repeated freeze/thaw cycles. The lyophilized antibody is stable at room temperature for at least one month and for greater than a year when kept at -20°C. When reconstituted in sterile pH 7.4 0.01M PBS or diluent of antibody the antibody is stable for at least two weeks at 2-4 °C. |
| PubMed | PubMed |
| 产品介绍 | background: This gene encodes a chromatin-associated enzyme, poly(ADP-ribosyl)transferase, which modifies various nuclear proteins by poly(ADP-ribosyl)ation. The modification is dependent on DNA and is involved in the regulation of various important cellular processes such as differentiation, proliferation, and tumor transformation and also in the regulation of the molecular events involved in the recovery of cell from DNA damage. In addition, this enzyme may be the site of mutation in Fanconi anemia, and may participate in the pathophysiology of type I diabetes. [provided by RefSeq, Jul 2008]. Function: Involved in the base excision repair (BER) pathway, by catalyzing the poly(ADP-ribosyl)ation of a limited number of acceptor proteins involved in chromatin architecture and in DNA metabolism. This modification follows DNA damages and appears as an obligatory step in a detection/signaling pathway leading to the reparation of DNA strand breaks. Mediates the poly(ADP-ribosyl)ation of APLF and CHFR. Positively regulates the transcription of MTUS1 and negatively regulates the transcription of MTUS2/TIP150. With EEF1A1 and TXK, forms a complex that acts as a T-helper 1 (Th1) cell-specific transcription factor and binds the promoter of IFN-gamma to directly regulate its transcription, and is thus involved importantly in Th1 cytokine production. Subunit: Component of a base excision repair (BER) complex, containing at least XRCC1, PARP2, POLB and LRIG3. Homo- and heterodimer with PARP2. Interacts with PARP3, APTX and SRY. The SWAP complex consists of NPM1, NCL, PARP1 and SWAP70. Interacts with TIAM2 and ZNF423 (By similarity). Interacts (when poly-ADP-ribosylated) with CHD1L. Interacts with the DNA polymerase alpha catalytic subunit POLA1; this interaction functions as part of the control of replication fork progression. Interacts with EEF1A1, RNF4 and TXK. Subcellular Location: Mitochondrion outer membrane; Single-pass membrane protein. Nucleus membrane; Single-pass membrane protein. Endoplasmic reticulum membrane; Single-pass membrane protein. Nucleus. Post-translational modifications: Phosphorylated by PRKDC and TXK. Phosphorylated upon DNA damage, probably by ATM or ATR. Poly-ADP-ribosylated by PARP2. Poly-ADP-ribosylation mediates the recruitment of CHD1L to DNA damage sites. S-nitrosylated, leading to inhibit transcription regulation activity. Similarity: Contains 1 BRCT domain. Contains 1 PARP alpha-helical domain. Contains 1 PARP catalytic domain. Contains 2 PARP-type zinc fingers. SWISS: P09874 Gene ID: 142 Database links: Entrez Gene: 142 Human Entrez Gene: 11545 Mouse Entrez Gene: 25591 Rat Omim: 173870 Human SwissProt: P09874 Human SwissProt: P11103 Mouse SwissProt: P27008 Rat Unigene: 177766 Human Unigene: 277779 Mouse Unigene: 11327 Rat Important Note: This product as supplied is intended for research use only, not for use in human, therapeutic or diagnostic applications. PARP(poly ADP-ribose polymerase)是DNA修复酶。 PARP是细胞凋亡核心成员半胱胺酸蛋白酶(caspase)的切割底物。因此,它在DNA损伤修复与细胞凋亡中发挥着重要作用。Anti-PARP p85 是特意的PARPp85片段的特异抗体,由caspase剪切116kDa完整分子而得到的。 PARP是存在于多数真核细胞中的一个多功能蛋白质翻译后修饰酶。它通过识别结构损伤的DNA片段而被激活,对聚腺苷二磷酸核糖聚合酶PARP被认为是DNA损伤的感受器。它还能对许多核蛋白进行聚腺苷二磷酸核糖基化。因此,在DNA损伤修复与细胞凋亡中发挥着重要作用,端锚聚合酶在癌细胞端粒结构的调控机制中有重要作用。 |
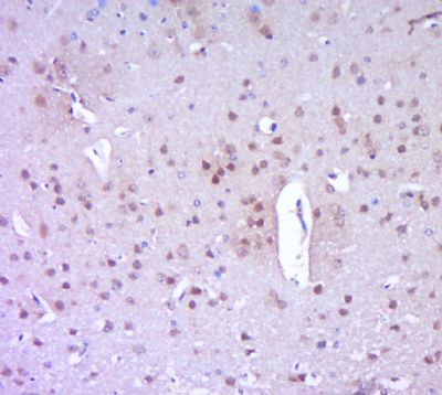
| 产品图片 | ![]() Sample: Raji Cell (Human) Lysate at 30 ug Primary: Anti- PARP (bs-2138R) at 1/300 dilution Secondary: IRDye800CW Goat Anti-Rabbit IgG at 1/20000 dilution Predicted band size: 111 kD Observed band size: 111 kD ![]() Sample: Hela Cell (Human) Lysate at 30 ug Primary: Anti- PARP (bs-2138R) at 1/300 dilution Secondary: IRDye800CW Goat Anti-Rabbit IgG at 1/20000 dilution Predicted band size: 111 kD Observed band size: 111 kD ![]() Protein:HepG2 lysate at 30ug; Primary: Anti-PARP (bs-2138R) at 1:300 dilution; Secondary: HRP conjugated Goat-Anti-rabbit IgG(bs-0295G-HRP) at 1: 5000 dilution; Predicted band size:111 kD Observed band size:111 kD ![]() Paraformaldehyde-fixed, paraffin embedded (mouse brain tissue); Antigen retrieval by boiling in sodium citrate buffer (pH6.0) for 15min; Block endogenous peroxidase by 3% hydrogen peroxide for 20 minutes; Blocking buffer (normal goat serum) at 37°C for 30min; Antibody incubation with (PARP) Polyclonal Antibody, Unconjugated (bs-2138R) at 1:400 overnight at 4°C, followed by a conjugated secondary (sp-0023) for 20 minutes and DAB staining. ![]() Paraformaldehyde-fixed, paraffin embedded (mouse intestines); Antigen retrieval by boiling in sodium citrate buffer (pH6.0) for 15min; Block endogenous peroxidase by 3% hydrogen peroxide for 20 minutes; Blocking buffer (normal goat serum) at 37°C for 30min; Antibody incubation with (PARP) Polyclonal Antibody, Unconjugated (bs-2138R) at 1:500 overnight at 4°C, followed by a conjugated secondary (sp-0023) for 20 minutes and DAB staining. ![]() Blank control (blue line): HL60 cells (blue). Primary Antibody (green line): Rabbit Anti- PARP antibody (bs-2138R) Dilution: 0.2μg /10^6 cells; Isotype Control Antibody (orange line): Rabbit IgG . Secondary Antibody (white blue line): Goat anti-rabbit IgG-PE Dilution: 1μg /test. Protocol The cells were fixed with 70% methanol (Overnight at 4℃) and then permeabilized with 90% ice-cold methanol for 20 min at -20℃. Cells stained with Primary Antibody for 30 min at room temperature. The cells were then incubated in 1 X PBS/2%BSA/10% goat serum to block non-specific protein-protein interactions followed by the antibody for 15 min at room temperature. The secondary antibody used for 40 min at room temperature. Acquisition of 20,000 events was performed. |
风险提示:丁香通仅作为第三方平台,为商家信息发布提供平台空间。用户咨询产品时请注意保护个人信息及财产安全,合理判断,谨慎选购商品,商家和用户对交易行为负责。对于医疗器械类产品,请先查证核实企业经营资质和医疗器械产品注册证情况。
文献和实验PARP1 Genomics: Chromatin Immunoprecipitation Approach Using Anti-PARP1 Antibody (ChIP and ChIP-seq)
Poly(ADP-ribose) polymerase1 (PARP1) is a global regulator of different cellular mechanisms, ranging from DNA damage repair to control of gene expression. Since PARP1 protein and pADPr have been shown to persist in chromatin through cell
Phenotypic Characterization of Parp-1 and Parp-2 Deficient Mice and Cells
Poly(ADP-ribosyl)ation is a post-translational modification of proteins mediated by Poly(ADP-ribose) polymerases (Parps), a family of 17 members. Among them, Poly(ADP-ribose) polymerase-1 (Parp-1) and Parp-2 are so far the sole enzymes
A general method to express and purify full-length human poly(ADP-ribose) polymerase-1 (PARP-1), individual PARP-1 domains, and groups of PARP-1 domains from Escherichia coli cells is described. The procedure allows for robust production
技术资料暂无技术资料 索取技术资料

















