相关产品推荐更多 >
万千商家帮你免费找货
0 人在求购买到急需产品
- 详细信息
- 文献和实验
- 技术资料
- 供应商:
上海联迈生物工程有限公司
- 库存:
大量
- 目录编号:
LM-0634R
- 克隆性:
多克隆
- 抗原来源:
Rabbit
- 保质期:
1年
- 抗体英文名:
Aquaporin 4
- 抗体名:
水通道蛋白4抗体
- 宿主:
Rabbit
- 适应物种:
Human, Mouse, Rat, Pig, Cow, Rabbit, Sheep,
- 免疫原:
KLH conjugated synthetic peptide derived from human AQP4:271-323/323 <Cytoplasmic>
- 亚型:
IgG
- 形态:
Lyophilized or Liquid
- 应用范围:
WB=1:500-2000 IHC-P=1:400-800 IHC-F=1:400-800 Flow-Cyt=1μg /test ICC=1:100-500 IF=1:100-500 (石蜡切片需做抗原修复)
- 浓度:
1mg/ml
- 保存条件:
Store at -20 °C
- 规格:
50ul 100ul 200ul
| 英文名称 | Aquaporin 4 |
| 中文名称 | 水通道蛋白4抗体 |
| 别 名 | aquaporin 4; WCH4; Mercurial-insensitive water channel; MIWC; AQP 4; AQP4; Aquaporin4; HMIWC 2; HMIWC2; Mercurial insensitive water channel; MGC22454; MIWC; AQP4_HUMAN; Aquaporin-4; AQP-4. |
![]() |
Specific References (4) | bs-0634R has been referenced in 4 publications. [IF=0.23] Li, Cheng, et al. "Melatonin lowers edema after spinal cord injury." Neural Regeneration Research 9.24 (2014): 2205. IHC-P ; Rat. PubMed:25657743 [IF=0.64] Rajesh, Kumar, Li Xiaojie, and Kong Xiangying. "The Effect of Early Intervention and Rehabilitation in the Expression of Aquaporin-4; and Ultrastructure Changes on Rats Offsprings Damaged Brain Caused by Intrauterine Infection." Journal of Korean Neurosurgical Society 58.1 (2015): 14-21. WB ; Rat. PubMed:26279808 [IF=2.51] Gang, Zhang, et al. "Detection of hypoxic-ischemic brain injury with 3D-enhanced T2* weighted angiography (ESWAN) imaging." European Journal of Radiology (2013). IHC-P ; Pig. PubMed:23777745 [IF=2.02] Duan, Hubin, et al. "The role of neuropeptide Y and aquaporin 4 in the pathogenesis of intestinal dysfunction caused by traumatic brain injury." Journal of Surgical Research (2013). IHC-P ; Rat. PubMed:23622727 |
| 规格价格 | 50ul/780元 购买 100ul/1380元 购买 200ul/2200元 购买 大包装/询价 |
| 说 明 书 | 50ul 100ul 200ul |
| 研究领域 | 肿瘤 信号转导 通道蛋白 新陈代谢 |
| 抗体来源 | Rabbit |
| 克隆类型 | Polyclonal |
| 交叉反应 | Human, Mouse, Rat, Pig, Cow, Rabbit, Sheep, |
| 产品应用 | WB=1:500-2000 IHC-P=1:400-800 IHC-F=1:400-800 Flow-Cyt=1μg /test ICC=1:100-500 IF=1:100-500 (石蜡切片需做抗原修复) not yet tested in other applications. optimal dilutions/concentrations should be determined by the end user. |
| 分 子 量 | 36kDa |
| 细胞定位 | 细胞膜 |
| 性 状 | Lyophilized or Liquid |
| 浓 度 | 1mg/ml |
| 免 疫 原 | KLH conjugated synthetic peptide derived from human AQP4:271-323/323 <Cytoplasmic> |
| 亚 型 | IgG |
| 纯化方法 | affinity purified by Protein A |
| 储 存 液 | 0.01M TBS(pH7.4) with 1% BSA, 0.03% Proclin300 and 50% Glycerol. |
| 保存条件 | Store at -20 °C for one year. Avoid repeated freeze/thaw cycles. The lyophilized antibody is stable at room temperature for at least one month and for greater than a year when kept at -20°C. When reconstituted in sterile pH 7.4 0.01M PBS or diluent of antibody the antibody is stable for at least two weeks at 2-4 °C. |
| PubMed | PubMed |
| 产品介绍 | background: This gene encodes a member of the aquaporin family of intrinsic membrane proteins that function as water-selective channels in the plasma membranes of many cells. The encoded protein is the predominant aquaporin found in brain. Two alternatively spliced transcript variants encoding distinct isoforms have been found for this gene. [provided by RefSeq, Jul 2008] Function: Forms a water-specific channel. Osmoreceptor which regulates body water balance and mediates water flow within the central nervous system. Subunit: Homotetramer. Part of a complex containing MLC1, TRPV4, HEPACAM and ATP1B1. Subcellular Location: Membrane; Multi-pass membrane protein. Tissue Specificity: Brain, muscle, heart, kidney, lung, and trachea. Similarity: Belongs to the MIP/aquaporin (TC 1.A.8) family. SWISS: P55088 Gene ID: 361 Database links: Entrez Gene: 281008 Cow Entrez Gene: 361 Human Entrez Gene: 11829 Mouse Entrez Gene: 25293 Rat Omim: 600308 Human SwissProt: O77750 Cow SwissProt: P55087 Human SwissProt: P55088 Mouse SwissProt: P47863 Rat Unigene: 281008 Cow Unigene: 315369 Human Unigene: 250786 Mouse Unigene: 90091 Rat Important Note: This product as supplied is intended for research use only, not for use in human, therapeutic or diagnostic applications. 通道蛋白(Channel Protein) 水通道蛋白(AQPs)广泛分布于机体不同组织器官中,脑组织中的水通道蛋白主要为AQP4. AQP-4蛋白主要在星型胶质细胞和室管膜细胞内表达,尤其在于毛细血管和软脑膜直接接触的胶质细胞上及血管周表达丰富. 水通道蛋白4的分布特点与其功能密切相关,可能是脑脊液重吸收、渗透压调节、脑水肿形成等生理、病理过程的分子生物学基础.研究水通道蛋白4可为脑水肿及水代谢疾病提供分子水平的理论依据,同时为临床治疗脑水肿及水代谢疾病提供一种新途径. |
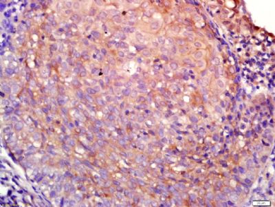
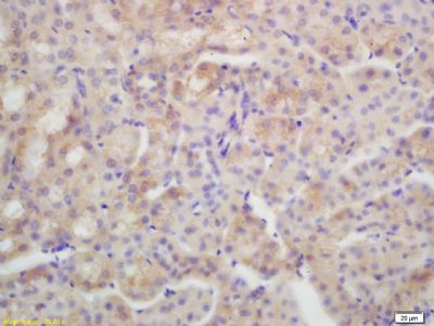
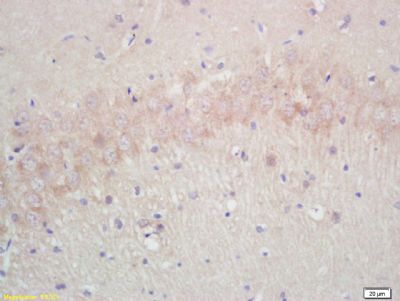
| 产品图片 | ![]() Sample: Muscle(Mouse) lysate at 30ug; Primary: Anti-Aquaporin 4 (bs-0634R) at 1:300; Secondary: IRDye800CW Goat Anti-Rabbit IgG at 1/20000 dilution Predicted band size:36kD Observed band size:35kD ![]() Sample: mouse lung lysate at 30ug; Primary: Anti-Aquaporin 4 (bs-0634R) at 1:300; Secondary: HRP conjugated Goat-Anti-rabbit IgG(bse-0295G-HRP) at 1: 5000; Predicted band size:36 kD Observed band size:34 kD ![]() Tissue/cell: human laryngocarcinoma; 4% Paraformaldehyde-fixed and paraffin-embedded; Antigen retrieval: citrate buffer ( 0.01M, pH 6.0 ), Boiling bathing for 15min; Block endogenous peroxidase by 3% Hydrogen peroxide for 30min; Blocking buffer (normal goat serum,C-0005) at 37℃ for 20 min; Incubation: Anti-AQP4 Polyclonal Antibody, Unconjugated(bs-0634R) 1:200, overnight at 4°C, followed by conjugation to the secondary antibody(SP-0023) and DAB(C-0010) staining ![]() Tissue/cell: mouse kidney tissue; 4% Paraformaldehyde-fixed and paraffin-embedded; Antigen retrieval: citrate buffer ( 0.01M, pH 6.0 ), Boiling bathing for 15min; Block endogenous peroxidase by 3% Hydrogen peroxide for 30min; Blocking buffer (normal goat serum,C-0005) at 37℃ for 20 min; Incubation: Anti-AQP4 Polyclonal Antibody, Unconjugated(bs-0634R) 1:200, overnight at 4°C, followed by conjugation to the secondary antibody(SP-0023) and DAB(C-0010) staining ![]() Tissue/cell: rat brain tissue; 4% Paraformaldehyde-fixed and paraffin-embedded; Antigen retrieval: citrate buffer ( 0.01M, pH 6.0 ), Boiling bathing for 15min; Block endogenous peroxidase by 3% Hydrogen peroxide for 30min; Blocking buffer (normal goat serum,C-0005) at 37℃ for 20 min; Incubation: Anti-AQP4 Polyclonal Antibody, Unconjugated(bs-0634R) 1:200, overnight at 4°C, followed by conjugation to the secondary antibody(SP-0023) and DAB(C-0010) staining ![]() Blank control: K562 (blue). Primary Antibody:Rabbit Anti-Aquaporin 4 antibody (bs-0634R,Green); Dilution: 1μg in 100 μL 1X PBS containing 0.5% BSA; Isotype Control Antibody: Rabbit IgG(orange) ,used under the same conditions; Secondary Antibody: Goat anti-rabbit IgG-FITC(white blue), Dilution: 1:200 in 1 X PBS containing 0.5% BSA. Protocol The cells were fixed with 2% paraformaldehyde for 10 min at 37℃. Primary antibody (bs-0634R, 1μg /1x10^6 cells) were incubated for 30 min at room temperature, followed by 1 X PBS containing 0.5% BSA + 10% goat serum (15min) to block non-specific protein-protein interactions. Then the Goat Anti-rabbit IgG/FITC antibody was added into the blocking buffer mentioned above to react with the primary antibody at 1/200 dilution for 30 min at room temperature. Acquisition of 20,000 events was performed. |
风险提示:丁香通仅作为第三方平台,为商家信息发布提供平台空间。用户咨询产品时请注意保护个人信息及财产安全,合理判断,谨慎选购商品,商家和用户对交易行为负责。对于医疗器械类产品,请先查证核实企业经营资质和医疗器械产品注册证情况。
文献和实验一种水的分子通道。在动物和植物细胞中已经发现有几种不同的水通道蛋白。在动物细胞中已经鉴定了水通道蛋白家族中的六个成员,在植物中发现了具有类似功能的蛋白质。膜的水通道蛋白 AQP1是1988年发现的,开始将这种蛋白称为通道形成整合蛋白(CHIP),是人的红细胞膜的一种主要蛋白。它可以使红细胞快速膨胀和收缩以适应细胞间渗透性的变化。AQP1蛋白也存在于其他组织的细胞中。AQP1及它的同系物能够让水自由通过(不必结合),但是不允许离子或是其他的小分子(包括蛋白质)通过。
部分时,即使用如十二烷基硫酸钠(SDS) 这种最高效率的去垢剂,可能在复性整合蛋白质方面效率也是低的。 以使用去污剂 [ 5 ] 、有机溶剂 [ 5~7 ] 或碱性处理膜 [ 5,8,9 ] 为基础的方法被用来分离镶嵌蛋白。其中,作为一种容易的且有效率的方法,碱性提取已得到了广泛普及,在不影响组分完整的情况下,有选择性地从膜上分离外在的蛋白质 [ 10 ] 。在本章中,描述了一个基于用碱性-尿素处理 PM 的方案,此方案能够复性疏水性非常强的蛋白质,如水通道蛋白 [ 11~13
上有水通道。 1991年Agre发现第一个水通道蛋白CHIP28 (28 KD ),他将CHIP28的mRNA注入非洲爪蟾的卵母细胞中,在低渗溶液中,卵母细胞迅速膨胀,5 分钟内破裂。细胞的这种吸水膨胀现象会被Hg2+抑制。 2003年Agre与离子通道的研究者MacKinnon同获诺贝尔化学奖。 目前在人类细胞中已发现的此类蛋白至少有11种,被命名为水通道蛋白(Aquaporin,AQP)。 2003年,美国科学家彼得·阿格雷和罗德里克·麦金农,分别因对细胞膜水通道,离子通道结构和机理研究而获诺贝
技术资料暂无技术资料 索取技术资料

















