相关产品推荐更多 >
万千商家帮你免费找货
0 人在求购买到急需产品
- 详细信息
- 文献和实验
- 技术资料
- 供应商:
上海康朗生物科技有限公司
- 库存:
大量
- 目录编号:
kl-20596R
- 克隆性:
多克隆
- 抗原来源:
Rabbit
- 保质期:
12个月
- 抗体英文名:
Cyclin D1 antibody
- 抗体名:
周期素D1抗体
- 宿主:
Rabbit
- 适应物种:
Human, Mouse, Rat,
- 免疫原:
KLH conjugated synthetic peptide derived from human Cyclin D1:101-200/295
- 亚型:
IgG
- 形态:
冻干粉或液体
- 应用范围:
WB=1:500-2000 IHC-P=1:400-800 IHC-F=1:400-800 Flow-Cyt=3μg/Test ICC=1:100-500 IF=1:100-500
- 浓度:
1mg/ml
- 保存条件:
-20 °C
- 规格:
100ul 200ul
| 中文名称 | 周期素D1抗体 |
| 别 名 | Cyclin D1; CyclinD1; Cyclin-D1; B cell ccl/lymphoma 1; B cell leukemia 1; B-cell CLL/lymphoma 1; B-cell leukemia 1; B-cell lymphoma 1 protein; BCL-1; BCL1; BCL1 oncogene; CCND 1; CCND1; CCND1 protein; CCND1/FSTL3 fusion gene, included; CCND1/IGHG1 fusion gene; CCND1/IGHG1 fusion gene, included; CCND1/IGLC1 fusion gene, included; CCND1/PTH fusion gene, included; Parathyroid adenomatosis 1; PRAD1; FSTL3; CCND1_HUMAN; AI327039; B cell lymphoma 1 protein; BCL 1; BCL-1; BCL-1 oncogene; BCL1 oncogene; CCND1/FSTL3 fusion gene, included; cD1; Cyl 1; D11S287E; G1/S specific cyclin D1; G1/S-specific cyclin-D1. |
| 规格价格 | 100ul/1380元 购买 200ul/2200元 购买 大包装/询价 |
| 说 明 书 | 100ul 200ul |
| 研究领域 | 肿瘤 细胞生物 细胞周期蛋白 |
| 抗体来源 | Rabbit |
| 克隆类型 | Polyclonal |
| 交叉反应 | Human, Mouse, Rat, |
| 产品应用 | WB=1:500-2000 IHC-P=1:400-800 IHC-F=1:400-800 Flow-Cyt=3μg/Test ICC=1:100-500 IF=1:100-500 (石蜡切片需做抗原修复) not yet tested in other applications. optimal dilutions/concentrations should be determined by the end user. |
| 分 子 量 | 32kDa |
| 细胞定位 | 细胞核 细胞浆 细胞膜 |
| 性 状 | Lyophilized or Liquid |
| 浓 度 | 1mg/ml |
| 免 疫 原 | KLH conjugated synthetic peptide derived from human Cyclin D1:101-200/295 |
| 亚 型 | IgG |
| 纯化方法 | affinity purified by Protein A |
| 储 存 液 | 0.01M TBS(pH7.4) with 1% BSA, 0.03% Proclin300 and 50% Glycerol. |
| 保存条件 | Store at -20 °C for one year. Avoid repeated freeze/thaw cycles. The lyophilized antibody is stable at room temperature for at least one month and for greater than a year when kept at -20°C. When reconstituted in sterile pH 7.4 0.01M PBS or diluent of antibody the antibody is stable for at least two weeks at 2-4 °C. |
| PubMed | PubMed |
| 产品介绍 | background: The protein encoded by this gene belongs to the highly conserved cyclin family, whose members are characterized by a dramatic periodicity in protein abundance throughout the cell cycle. Cyclins function as regulators of CDK kinases. Different cyclins exhibit distinct expression and degradation patterns which contribute to the temporal coordination of each mitotic event. This cyclin forms a complex with and functions as a regulatory subunit of CDK4 or CDK6, whose activity is required for cell cycle G1/S transition. This protein has been shown to interact with tumor suppressor protein Rb and the expression of this gene is regulated positively by Rb. Mutations, amplification and overexpression of this gene, which alters cell cycle progression, are observed frequently in a variety of tumors and may contribute to tumorigenesis. [provided by RefSeq, Jul 2008]. Function: Regulatory component of the cyclin D1-CDK4 (DC) complexthat phosphorylates and inhibits members of the retinoblastoma (RB)protein family including RB1 and regulates the cell-cycle duringG(1)/S transition. Phosphorylation of RB1 allows dissociation ofthe transcription factor E2F from the RB/E2F complex and thesubsequent transcription of E2F target genes which are responsiblefor the progression through the G(1) phase. Hypophosphorylates RB1in early G(1) phase. Cyclin D-CDK4 complexes are major integratorsof various mitogenenic and antimitogenic signals. Also substratefor SMAD3, phosphorylating SMAD3 in a cell-cycle-dependent mannerand repressing its transcriptional activity. Component of theternary complex, cyclin D1/CDK4/CDKN1B, required for nucleartranslocation and activity of the cyclin D-CDK4 complex. Subunit: Interacts with FBXO4. Interacts witheither CDK4 or CDK6 protein kinase to form a serine/threoninekinase holoenzyme complex. The cyclin subunit imparts substratespecificity to the complex. Component of the ternary complexCCND1/CDK4/CDKN1B required for nuclear translocation and modulationof CDK4-mediated kinase activity. Interacts directly with CDKN1B.Interacts with UHRF2; the interaction ubiquitinates CCND1 andappears to occur independently of phosphorylation. Can form similarcomplexes with either CDKN1A or CDKN2A. Interacts with USP2. Subcellular Location: Nucleus. Cytoplasm. Membrane. Note=CyclinD-CDK4 complexes accumulate at the nuclear membrane and are thentranslocated to the nucleus through interaction with KIP/CIP familymembers. Post-translational modifications: Phosphorylation at Thr-286 by MAP kinases is required forubiquitination and degradation following DNA damage. It probablyplays an essential role for recognition by the FBXO31 component ofSCF (SKP1-cullin-F-box) protein ligase complex. Ubiquitinated, primarily as 'Lys-48'-linkedpolyubiquitination. Ubiquitinated by a SCF (SKP1-CUL1-F-boxprotein) ubiquitin-protein ligase complex containing FBXO4 andCRYAB. Following DNA damage it is ubiquitinated by some SCF(SKP1-cullin-F-box) protein ligase complex containing FBXO31.SCF-type ubiquitination is dependent on Thr-286 phosphorylation (Bysimilarity). Ubiquitinated also by UHRF2 apparently in aphosphorylation-independent manner. Ubiquitination leads to itsdegradation and G1 arrest. Deubiquitinated by USP2; leading to itsstabilization. DISEASE: Note=A chromosomal aberration involving CCND1 may be acause of B-lymphocytic malignancy, particularly mantle-celllymphoma (MCL). Translocation t(11;14)(q13;q32) with immunoglobulingene regions. Activation of CCND1 may be oncogenic by directlyaltering progression through the cell cycle. Note=A chromosomal aberration involving CCND1 may be acause of parathyroid adenomas. Translocation t(11;11)(q13;p15) withthe parathyroid hormone (PTH) enhancer. Defects in CCND1 are a cause of multiple myeloma (MM)[MIM:254500]. MM is a malignant tumor of plasma cells usuallyarising in the bone marrow and characterized by diffuse involvementof the skeletal system, hyperglobulinemia, Bence-Jones proteinuriaand anemia. Complications of multiple myeloma are bone pain,hypercalcemia, renal failure and spinal cord compression. Theaberrant antibodies that are produced lead to impaired humoralimmunity and patients have a high prevalence of infection.Amyloidosis may develop in some patients. Multiple myeloma is partof a spectrum of diseases ranging from monoclonal gammopathy ofunknown significance (MGUS) to plasma cell leukemia. Note=Achromosomal aberration involving CCND1 is found in multiplemyeloma. Translocation t(11;14)(q13;q32) with the IgH locus. Similarity: Belongs to the cyclin family. Cyclin D subfamily. SWISS: P24385 Gene ID: 595 Database links: Entrez Gene: 595 Human Entrez Gene: 12443 Mouse Entrez Gene: 58919 Rat Omim: 168461 Human SwissProt: P24385 Human SwissProt: P25322 Mouse SwissProt: P39948 Rat Unigene: 523852 Human Unigene: 667996 Human Unigene: 273049 Mouse Unigene: 22279 Rat Important Note: This product as supplied is intended for research use only, not for use in human, therapeutic or diagnostic applications. 细胞周期素D1蛋白(Cyclin D1)是细胞周期中的重要调控因子,它作用于细胞周期的G1→S期调控点,为G1期的限速步骤。 细胞周期蛋白D1-Cyclin D1的过度表达使细胞周期G1期缩短,细胞生长对有丝分裂原和粘附信号的需求降低,最终引发肿瘤的发生。该抗原的氨基酸序列抗原决定簇-结合位点,我们选在了细胞质的粗面内质网。越来越多的研究表明。CyclinD1在正常细胞周期及肿瘤的调节中起着重要作用。周期素D1/Bcl-1属于细胞周期调控蛋白家族成员之一,在细胞周期从G1进入S期中起到重要作用。周期素D1的过度表达与癌症的早发、肿瘤的进展和转移相关。该抗体可用于细胞周期方面的研究 |
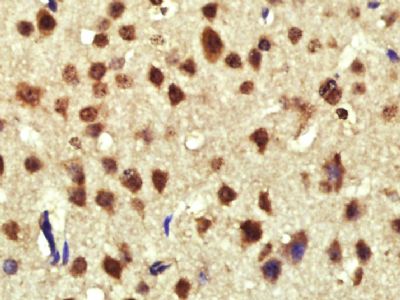
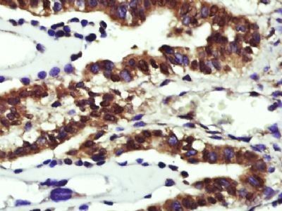
| 产品图片 | ![]() Sample: Lymph node (Mouse) Lysate at 40 ug Primary: Anti-Cyclin D1(bs-20596R)at 1/300 dilution Secondary: IRDye800CW Goat Anti-Rabbit IgG at 1/20000 dilution Predicted band size: 32kD Observed band size: 32kD ![]() Sample: Lung (Mouse) Lysate at 40 ug Primary: Anti-Cyclin D1(bs-20596R)at 1/300 dilution Secondary: IRDye800CW Goat Anti-Rabbit IgG at 1/20000 dilution Predicted band size: 32kD Observed band size: 32kD ![]() Paraformaldehyde-fixed, paraffin embedded (Mouse brain); Antigen retrieval by boiling in sodium citrate buffer (pH6.0) for 15min; Block endogenous peroxidase by 3% hydrogen peroxide for 20 minutes; Blocking buffer (normal goat serum) at 37°C for 30min; Antibody incubation with (Cyclin D1) Polyclonal Antibody, Unconjugated (bs-20596R) at 1:400 overnight at 4°C, followed by operating according to SP Kit(Rabbit) (sp-0023) instructionsand DAB staining. ![]() Paraformaldehyde-fixed, paraffin embedded (Mouse placenta); Antigen retrieval by boiling in sodium citrate buffer (pH6.0) for 15min; Block endogenous peroxidase by 3% hydrogen peroxide for 20 minutes; Blocking buffer (normal goat serum) at 37°C for 30min; Antibody incubation with (Cyclin D1) Polyclonal Antibody, Unconjugated (bs-20596R) at 1:400 overnight at 4°C, followed by operating according to SP Kit(Rabbit) (sp-0023) instructionsand DAB staining. ![]() Paraformaldehyde-fixed, paraffin embedded (Rat liver); Antigen retrieval by boiling in sodium citrate buffer (pH6.0) for 15min; Block endogenous peroxidase by 3% hydrogen peroxide for 20 minutes; Blocking buffer (normal goat serum) at 37°C for 30min; Antibody incubation with (Cyclin D1) Polyclonal Antibody, Unconjugated (bs-20596R) at 1:500 overnight at 4°C, followed by a conjugated secondary (sp-0023) for 20 minutes and DAB staining. ![]() Blank control (blue line): MCF 7 (fixed with 70% methanol (Overnight at 4℃) and then permeabilized with 90% ice-cold methanol for 30 min on ice). Primary Antibody (green line): Rabbit Anti-Cyclin D1 antibody (bs-20596R),Dilution: 3μg /10^5 cells; Isotype Control Antibody (orange line): Rabbit IgG . Secondary Antibody (white blue line): Goat anti-rabbit IgG-FITC,Dilution: 1μg /test. |
风险提示:丁香通仅作为第三方平台,为商家信息发布提供平台空间。用户咨询产品时请注意保护个人信息及财产安全,合理判断,谨慎选购商品,商家和用户对交易行为负责。对于医疗器械类产品,请先查证核实企业经营资质和医疗器械产品注册证情况。
文献和实验Immunodetection of cyclin D1 and D2/D3 using flow cytometry
. It has been tested with antibodies against cyclin D1 (Pharmingen cat. no. 14561A, clone G12-4326), cyclin D2/D3 (cat. no. 14711A, clone G107-22) and cyclin E Procedure Prepare the cell type of interest as a single cell suspension and wash once with cold PBS
Immunodetection of cyclin D1 and D2/D3 using 488/630 nm dual laser flow cytometr(图)
. It has been tested with antibodies against cyclin D1 (Pharmingen cat. no. 14561A, clone G12-4326), cyclin D2/D3 (cat. no. 14711A, clone G107-22) and cyclin E, and is based on protocols originally designed by Z. Darzynkiewicz and colleagues. Although FITC-conjugated
Disorders of the cell cycle regulatory machinery play a key role in the pathogenesis of cancer. The gene encoding the cyclin D1 protein, a regulator of the progression from the G1- to S-phase, is often found disrupted in the cancer cell
技术资料暂无技术资料 索取技术资料
















