相关产品推荐更多 >
万千商家帮你免费找货
0 人在求购买到急需产品
- 详细信息
- 文献和实验
- 技术资料
- 供应商:
上海联迈生物工程有限公司
- 库存:
大量
- 目录编号:
LM-0101R
- 克隆性:
多克隆
- 抗原来源:
Rabbit
- 保质期:
1年
- 抗体英文名:
PKM2
- 抗体名:
丙酮酸激酶-M2抗体
- 宿主:
Rabbit
- 适应物种:
Human, Mouse, Rat, Pig, Cow, Horse, Rabbit,
- 免疫原:
KLH conjugated synthetic peptide derived from human PKM2:255-350/531
- 亚型:
IgG
- 形态:
Lyophilized or Liquid
- 应用范围:
WB=1:500-2000 ELISA=1:500-1000 IHC-P=1:400-800 IHC-F=1:400-800 ICC=1:100-500 IF=1:100-500 (石蜡切片需做抗原修复)
- 浓度:
1mg/ml
- 保存条件:
Store at -20 °C
- 规格:
50ul 100ul 200ul
| 英文名称 | PKM2 |
| 中文名称 | 丙酮酸激酶-M2抗体 |
| 别 名 | PK 1; PK 2; PK 3; PK Muscle type; PK1; PK2; Pk3; PKL; PKLR; PKM 2; PKM; PKM2; PYKM; Pyruvate kinase 1; Pyruvate kinase 2/3; Pyruvate kinase 3; Pyruvate kinase isozyme R/L; Pyruvate kinase isozymes M1/M2; Pyruvate kinase liver and blood cell; Pyruvate kinase liver and RBC; Pyruvate kinase liver and RBC type; Pyruvate kinase M2; Pyruvate kinase muscle; Pyruvate kinase muscle isozyme; Pyruvate kinase type L; R type/L type pyruvate kinase; Red cell/liver pyruvate kinase; RPK; TCB; THBP 1; THBP1; Thyroid hormone binding protein cytosolic; CTHBP; Cytosolic thyroid hormone binding protein; MGC3932; OIP 3; Oip3; Tumor M2-PK; p58; OIP-3; KPYM_HUMAN. |
![]() |
Specific References (2) | bs-0101R has been referenced in 2 publications. [IF=7.25] Yao, Chun, et al. "Role of FADD Phosphorylation in Regulating Glucose Homeostasis: from Proteomic Discovery to Physiological Validation." Molecular & Cellular Proteomics (2013). WB ; Mouse. PubMed:23828893 [IF=3.15] Li, Hongyan, et al. "Differential proteome and gene expression reveal response to carbon ion irradiation in pubertal mice testes." Toxicology Letters (2014). WB ; Mouse. PubMed:24440814 |
| 规格价格 | 50ul/780元 购买 100ul/1380元 购买 200ul/2200元 购买 大包装/询价 |
| 说 明 书 | 50ul 100ul 200ul |
| 研究领域 | 肿瘤 免疫学 染色质和核信号 信号转导 细胞周期蛋白 激酶和磷酸酶 肿瘤细胞生物标志物 新陈代谢 |
| 抗体来源 | Rabbit |
| 克隆类型 | Polyclonal |
| 交叉反应 | Human, Mouse, Rat, Pig, Cow, Horse, Rabbit, |
| 产品应用 | WB=1:500-2000 ELISA=1:500-1000 IHC-P=1:400-800 IHC-F=1:400-800 ICC=1:100-500 IF=1:100-500 (石蜡切片需做抗原修复) not yet tested in other applications. optimal dilutions/concentrations should be determined by the end user. |
| 分 子 量 | 57kDa |
| 细胞定位 | 细胞核 细胞浆 |
| 性 状 | Lyophilized or Liquid |
| 浓 度 | 1mg/ml |
| 免 疫 原 | KLH conjugated synthetic peptide derived from human PKM2:255-350/531 |
| 亚 型 | IgG |
| 纯化方法 | affinity purified by Protein A |
| 储 存 液 | 0.01M TBS(pH7.4) with 1% BSA, 0.03% Proclin300 and 50% Glycerol. |
| 保存条件 | Store at -20 °C for one year. Avoid repeated freeze/thaw cycles. The lyophilized antibody is stable at room temperature for at least one month and for greater than a year when kept at -20°C. When reconstituted in sterile pH 7.4 0.01M PBS or diluent of antibody the antibody is stable for at least two weeks at 2-4 °C. |
| PubMed | PubMed |
| 产品介绍 | background: The protein encoded by this gene is a pyruvate kinase that catalyzes the production of phosphoenolpyruvate from pyruvate and ATP. This protein has been shown to interact with thyroid hormone, and thus may mediate cellular metabolic effects induced by thyroid hormones. This protein has been found to bind Opa protein, a bacterial outer membrane protein involved in gonococcal adherence to and invasion of human cells, suggesting a role of this protein in bacterial pathogenesis. Three alternatively spliced transcript variants encoding two distinct isoforms have been reported. Function: Glycolytic enzyme that catalyzes the transfer of a phosphoryl group from phosphoenolpyruvate (PEP) to ADP, generating ATP. Stimulates POU5F1-mediated transcriptional activation. Plays a general role in caspase independent cell death of tumor cells. The ratio betwween the highly active tetrameric form and nearly inactive dimeric form determines whether glucose carbons are channeled to biosynthetic processes or used for glycolytic ATP production. The transition between the 2 forms contributes to the control of glycolysis and is important for tumor cell proliferation and survival. Subunit: Monomer and homotetramer. Exists as a monomer in the absence of FBP, and reversibly associates to form a homotetramer in the presence of FBP. The monomeric form binds T3. Tetramer formation induces pyruvate kinase activity. The tetrameric form has high affinity for the substrate and is associated within the glycolytic enzyme complex. Exists in a nearly inactive dimeric form in tumor cells and the dimeric form has less affinity for the substrate. Binding to certain oncoproteins such as HPV-16 E7 oncoprotein can trigger dimerization. FBP stimulates the formation of tetramers from dimers. Interacts with HERC1, POU5F1 and PML. Interacts (isoform M2) with EGLN3; the interaction hydroxylates PKM under hypoxia and enhances binding to HIF1A. Interacts (isoform M2) with HIF1A; the interaction is enhanced by binding of EGLN3, promoting enhanced transcription activity under hypoxia. Subcellular Location: Cytoplasm. Nucleus. Note=Translocates to the nucleus in response to different apoptotic stimuli. Nuclear translocation is sufficient to induce cell death that is caspase independent, isoform-specific and independent of its enzymatic actvity. Tissue Specificity: Specifically expressed in proliferating cells, such as embryonic stem cells, embryonic carcinoma cells, as well as cancer cells. Post-translational modifications: Phosphorylated upon DNA damage, probably by ATM or ATR. ISGylated. Under hypoxia, hydroxylated by EGLN3. Similarity: Belongs to the pyruvate kinase family. SWISS: P14618 Gene ID: 5315 Database links: Entrez Gene: 5315 Human Entrez Gene: 18746 Mouse Entrez Gene: 25630 Rat Omim: 179050 Human SwissProt: P14618 Human SwissProt: P52480 Mouse SwissProt: P11980 Rat Unigene: 534770 Human Unigene: 326167 Mouse Unigene: 405069 Mouse Unigene: 1556 Rat Important Note: This product as supplied is intended for research use only, not for use in human, therapeutic or diagnostic applications. 丙酮酸激酶(PK)有L、R、M1、M2四种同功酶,均为四聚体。 L型主要分布于肝脏,R型存在于红细胞,在结构、免疫学和动力学上十分相似,由同一基因调控;M1存在于肌肉中,M2分布于除上述以外的其他组织(尤以肾脏最多)以及胎儿各组织。PK也是一种癌胚蛋白,在恶性肿瘤中,增高的都是M2型。
|
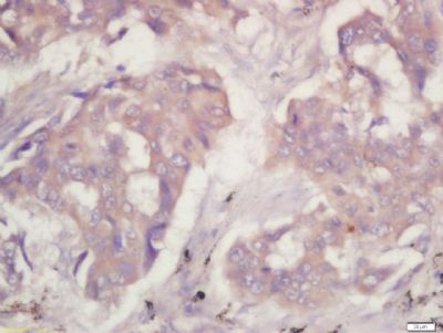
| 产品图片 | ![]() Sample:Heart(Mouse) Lysate at 40 ug Primary: Anti- PKM2 (bs-0101R)at 1/300 dilution Secondary: IRDye800CW Goat Anti-Rabbit IgG at 1/20000 dilution Predicted band size: 57kD Observed band size: 54kD ![]() Sample:Brain (Mouse) Lysate at 40 ug Primary: Anti- PKM2 (bs-0101R)at 1/300 dilution Secondary: IRDye800CW Goat Anti-Rabbit IgG at 1/20000 dilution Predicted band size: 57kD Observed band size: 54kD ![]() Sample:Muscle (Mouse) Lysate at 40 ug Primary: Anti- PKM2 (bs-0101R)at 1/300 dilution Secondary: IRDye800CW Goat Anti-Rabbit IgG at 1/20000 dilution Predicted band size: 57kD Observed band size: 55kD ![]() Tissue/cell: human lung cancer tissue; 4% Paraformaldehyde-fixed and paraffin-embedded; Antigen retrieval: citrate buffer ( 0.01M, pH 6.0 ), Boiling bathing for 15min; Block endogenous peroxidase by 3% Hydrogen peroxide for 30min; Blocking buffer (normal goat serum,C-0005) at 37℃ for 20 min; Incubation: Anti-PKM2 Polyclonal Antibody, Unconjugated(bs-0101R) 1:200, overnight at 4°C, followed by conjugation to the secondary antibody(SP-0023) and DAB(C-0010) staining ![]() Tissue/cell: human rectal carcinoma;4% Paraformaldehyde-fixed and paraffin-embedded; Antigen retrieval: citrate buffer ( 0.01M, pH 6.0 ), Boiling bathing for 15min; Blocking buffer (normal goat serum,C-0005) at 37℃ for 20 min; Incubation: Anti-PKM2 Polyclonal Antibody, Unconjugated(bs-0101R) 1:200, overnight at 4°C; The secondary antibody was Goat Anti-Rabbit IgG, FITC conjugated(bs-0295G-FITC)used at 1:200 dilution for 40 minutes at 37°C. |
风险提示:丁香通仅作为第三方平台,为商家信息发布提供平台空间。用户咨询产品时请注意保护个人信息及财产安全,合理判断,谨慎选购商品,商家和用户对交易行为负责。对于医疗器械类产品,请先查证核实企业经营资质和医疗器械产品注册证情况。
文献和实验缩写式为 ATP:丙酮酸 -2-O-磷酸转移酶。在糖酵解系统里,它是催化形成第二个 ATP反应的酶。 EC2. 7. 1. 40。能以磷酸烯醇( phosphoenolpyruv- ate)丙酮酸和 ADP生成丙酮酸和 ATP·Δ Go1 = -7. 5kcal。除需要二价金属离子外( Mg2 + 和 Mn2 + )外,还需要一价金属离子( K+ . Rb+ , Cs+ ),在生理上起作用的大概是 K+ 。分子量约 25万。
丙酮酸激酶测定:包括荧光斑点试验和PK活性检测。 (1)原理:在二磷酸腺昔(ADP)存在的条件下丙酮酸激酶(PK),催化磷酸烯醇丙酮酸(PEP)转化成丙酮酸,在辅酶Ⅰ还原型(NADH)存在情况下,丙酮酸被LDH转化为乳酸医学`教育网搜集整理。若标记荧光于NADH上,此时有荧光的NADH变为无荧光的NAD. 参考值:正常荧光在20min内消失。l5.0±1.99IU/gHb(37℃)(ICSH推荐Blume法) (2)临床意义:PK严重缺乏者荧光60min不消
果糖才是肥胖的真凶?Nature 最新文章揭示高果糖饮食如何
,丙酮酸与磷酸烯醇丙酮酸(PEP)的比例显著降低,与丙酮酸激酶的抑制效果一致。此外,PKM2 在缺氧组织中的表达很高,例如肿瘤和肠绒毛等。图片来源:Nature果糖主要由糖转运蛋白 GLUT5 转运到肠细胞中,然后被 KHK 磷酸化形成 1-磷酸果糖(F1P)。由于 F1P 在结构上类似于 PKM2 的内源性调节因子 1,6-二磷酸果糖(FBP),因此作者假设 F1P 可能直接抑制 PKM2 的活性。研究发现,F1P 会与 FBP 竞争结合 PKM2 的同一位点,而且一旦结合就能够直接抑制 PKM2
技术资料暂无技术资料 索取技术资料















