相关产品推荐更多 >
万千商家帮你免费找货
0 人在求购买到急需产品
- 详细信息
- 文献和实验
- 技术资料
- 供应商:
上海康朗生物科技有限公司
- 库存:
大量
- 目录编号:
kl-20083R
- 克隆性:
多克隆
- 抗原来源:
Rabbit
- 保质期:
12个月
- 抗体英文名:
GPR106 antibody
- 抗体名:
G蛋白偶联受体106抗体
- 宿主:
Rabbit
- 适应物种:
Human, Mouse, Rat, Dog, Pig, Cow, Horse, Rabbit, Sheep,
- 免疫原:
KLH conjugated synthetic peptide derived from human GPR106:301-400/754
- 亚型:
IgG
- 形态:
冻干粉或液体
- 应用范围:
WB=1:500-2000 ELISA=1:500-1000 IHC-P=1:400-800 IHC-F=1:400-800 ICC=1:100-500 IF=1:100-500
- 浓度:
1mg/ml
- 保存条件:
-20 °C
- 规格:
100ul 200ul
| 中文名称 | G蛋白偶联受体106抗体 |
| 别 名 | G protein coupled receptor 106; G-protein coupled receptor 106; G protein coupled receptor affecting testicular descent; GPR106; GPR-106; GREAT; INSL3R; Leucine rich repeat containing G protein coupled receptor 8; LGR8; Relaxin/insulin-like family peptide receptor 2; Relaxin family peptide receptor 2; Relaxin receptor 2; Relaxin receptor-2; RXFP 2; RXFP-2; RXFP2; RXFPR2; RXFP2_HUMAN; GPCR LGR8. |
| 规格价格 | 100ul/1380元 购买 200ul/2200元 购买 大包装/询价 |
| 说 明 书 | 100ul 200ul |
| 研究领域 | 细胞生物 神经生物学 信号转导 细胞膜受体 内分泌病 G蛋白偶联受体 |
| 抗体来源 | Rabbit |
| 克隆类型 | Polyclonal |
| 交叉反应 | Human, Mouse, Rat, Dog, Pig, Cow, Horse, Rabbit, Sheep, |
| 产品应用 | WB=1:500-2000 ELISA=1:500-1000 IHC-P=1:400-800 IHC-F=1:400-800 ICC=1:100-500 IF=1:100-500 (石蜡切片需做抗原修复) not yet tested in other applications. optimal dilutions/concentrations should be determined by the end user. |
| 分 子 量 | 86kDa |
| 细胞定位 | 细胞膜 |
| 性 状 | Lyophilized or Liquid |
| 浓 度 | 1mg/ml |
| 免 疫 原 | KLH conjugated synthetic peptide derived from human GPR106:301-400/754 |
| 亚 型 | IgG |
| 纯化方法 | affinity purified by Protein A |
| 储 存 液 | 0.01M TBS(pH7.4) with 1% BSA, 0.03% Proclin300 and 50% Glycerol. |
| 保存条件 | Store at -20 °C for one year. Avoid repeated freeze/thaw cycles. The lyophilized antibody is stable at room temperature for at least one month and for greater than a year when kept at -20°C. When reconstituted in sterile pH 7.4 0.01M PBS or diluent of antibody the antibody is stable for at least two weeks at 2-4 °C. |
| PubMed | PubMed |
| 产品介绍 | background: This gene encodes a member of the GPCR (G protein-coupled, 7-transmembrane receptor) family. Mutations in this gene are associated with cryptorchidism. Alternatively spliced transcript variants encoding different isoforms have been found for this gene.[provided by RefSeq, Oct 2009]. Function: The activity of this relaxin receptor is mediated by G proteins leading to stimulation of adenylate cyclase and an increase of cAMP and may also be a receptor for Leydig insulin-like peptide. LGR8 has been reported in blood, bone marrow, brain, kidney, muscle, testis, thyroid, and uterus. Subcellular Location: Cell membrane; Multi-pass membrane protein. Tissue Specificity: Expressed mainly in the brain, kidney, muscle, testis, thyroid, uterus, peripheral blood cells and bone marrow. DISEASE: Defects in RXFP2 are a cause of cryptorchidism (CRYPTO) [MIM:219050]; also known as impaired testicular descent. It is one of the most frequent congenital abnormalities in humans, involving 2-5% of male births. Cryptorchidism is associated with increased risk of infertility and testicular cancer. Similarity: Belongs to the G-protein coupled receptor 1 family. Contains 1 LDL-receptor class A domain. Contains 10 LRR (leucine-rich) repeats. SWISS: Q8WXD0 Gene ID: 122042 Database links: Entrez Gene: 122042 Human Entrez Gene: 140498 Mouse Entrez Gene: 363866 Rat Omim: 606655 Human SwissProt: Q8WXD0 Human SwissProt: Q91ZZ5 Mouse Unigene: 680763 Human Unigene: 444643 Mouse Important Note: This product as supplied is intended for research use only, not for use in human, therapeutic or diagnostic applications. |
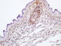
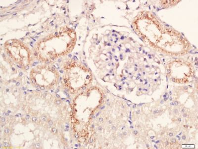
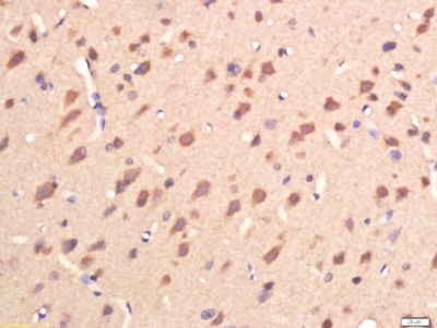
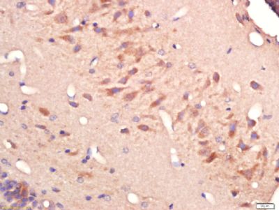
| 产品图片 | ![]() Tissue/cell: rat kidney tissue; 4% Paraformaldehyde-fixed and paraffin-embedded; Antigen retrieval: citrate buffer ( 0.01M, pH 6.0 ), Boiling bathing for 15min; Block endogenous peroxidase by 3% Hydrogen peroxide for 30min; Blocking buffer (normal goat serum,C-0005) at 37℃ for 20 min; Incubation: Anti-GPR106 Polyclonal Antibody, Unconjugated(bs-20083R) 1:200, overnight at 4°C, followed by conjugation to the secondary antibody(SP-0023) and DAB(C-0010) staining ![]() Tissue/cell: rat brain tissue; 4% Paraformaldehyde-fixed and paraffin-embedded; Antigen retrieval: citrate buffer ( 0.01M, pH 6.0 ), Boiling bathing for 15min; Block endogenous peroxidase by 3% Hydrogen peroxide for 30min; Blocking buffer (normal goat serum,C-0005) at 37℃ for 20 min; Incubation: Anti-GPR106 Polyclonal Antibody, Unconjugated(bs-20083R) 1:200, overnight at 4°C, followed by conjugation to the secondary antibody(SP-0023) and DAB(C-0010) staining ![]() Tissue/cell: rat brain tissue; 4% Paraformaldehyde-fixed and paraffin-embedded; Antigen retrieval: citrate buffer ( 0.01M, pH 6.0 ), Boiling bathing for 15min; Block endogenous peroxidase by 3% Hydrogen peroxide for 30min; Blocking buffer (normal goat serum,C-0005) at 37℃ for 20 min; Incubation: Anti-GPR106 Polyclonal Antibody, Unconjugated(bs-20083R) 1:200, overnight at 4°C, followed by conjugation to the secondary antibody(SP-0023) and DAB(C-0010) staining |
风险提示:丁香通仅作为第三方平台,为商家信息发布提供平台空间。用户咨询产品时请注意保护个人信息及财产安全,合理判断,谨慎选购商品,商家和用户对交易行为负责。对于医疗器械类产品,请先查证核实企业经营资质和医疗器械产品注册证情况。
文献和实验NSMB:徐华强 / 谢欣 / 蒋轶发现孤儿受体 GPR119 内源性配体的分子机制
糖尿病、脂肪肝和肥胖症等代谢性疾病已经成为影响人类健康的一大「杀手」,研究显示一些孤儿受体可能成为治疗这些疾病的重要靶点。 GPR119 又被称为葡萄糖依赖的促胰岛素受体(Glucose-dependent insulinotropic receptor),是 G 蛋白偶联受体(GPCR)超家族中的一种孤儿受体。由于其在糖代谢调控中的作用,GPR119 被认为是一种治疗糖尿病、脂肪肝和肥胖症等代谢性疾病的潜在药物靶点。GPR119 主要分布在胰岛 β 细胞和胃肠道 L 细胞,调节葡萄糖依赖
【求助】microRNA106-b~25的~25,是什么意思?
myskite microRNA106-b~25的~25,是什么意思? myskite 自己顶顶,让更多的人看到。 dnazyme 关于miRNA的命名,请参考: Victor Ambros, Bonnie Bartel, David P. Bartel, Christopher B. Burge, James C. Carrington, Xuemei Chen, Gideon
Neuroendocrine regulation of cyclic AMP formation in osteoblastic cell lines (UMR-106-01, ROS 17/2.8, MC3T3-E1, and Saos-2) and primary bone cells.The effect of four different neuropeptides and norepinephrine (NE) on cyclic AMP formation
技术资料暂无技术资料 索取技术资料












