相关产品推荐更多 >
万千商家帮你免费找货
0 人在求购买到急需产品
- 详细信息
- 文献和实验
- 技术资料
- 供应商:
上海康朗生物科技有限公司
- 库存:
大量
- 目录编号:
kl-19816R
- 克隆性:
多克隆
- 抗原来源:
Rabbit
- 保质期:
12个月
- 抗体英文名:
SLC26A3 antibody
- 抗体名:
溶质载体家族蛋白26成员3抗体
- 宿主:
Rabbit
- 适应物种:
Human
- 免疫原:
KLH conjugated synthetic peptide derived from human SLC26A3:101-200/764 <Extracellular>
- 亚型:
IgG
- 形态:
冻干粉或液体
- 应用范围:
ELISA=1:500-1000 IHC-P=1:400-800 IHC-F=1:400-800 ICC=1:100-500 IF=1:100-500
- 浓度:
1mg/ml
- 保存条件:
-20 °C
- 规格:
100ul 200ul
| 中文名称 | 溶质载体家族蛋白26成员3抗体 |
| 别 名 | Chloride anion exchanger; CLD; Congenital chloride diarrhea; Down regulated in adenoma; Down regulated in adenoma protein; Down-regulated in adenoma; DRA; Protein DRA; S26A3_HUMAN; SLC26A3; Solute carrier family 26 member 3. |
| 规格价格 | 100ul/1380元 购买 200ul/2200元 购买 大包装/询价 |
| 说 明 书 | 100ul 200ul |
| 研究领域 | 肿瘤 细胞生物 信号转导 跨膜蛋白 |
| 抗体来源 | Rabbit |
| 克隆类型 | Polyclonal |
| 交叉反应 | Human, |
| 产品应用 | ELISA=1:500-1000 IHC-P=1:400-800 IHC-F=1:400-800 ICC=1:100-500 IF=1:100-500 (石蜡切片需做抗原修复) not yet tested in other applications. optimal dilutions/concentrations should be determined by the end user. |
| 分 子 量 | 84kDa |
| 细胞定位 | 细胞膜 |
| 性 状 | Lyophilized or Liquid |
| 浓 度 | 1mg/ml |
| 免 疫 原 | KLH conjugated synthetic peptide derived from human SLC26A3:101-200/764 <Extracellular> |
| 亚 型 | IgG |
| 纯化方法 | affinity purified by Protein A |
| 储 存 液 | 0.01M TBS(pH7.4) with 1% BSA, 0.03% Proclin300 and 50% Glycerol. |
| 保存条件 | Store at -20 °C for one year. Avoid repeated freeze/thaw cycles. The lyophilized antibody is stable at room temperature for at least one month and for greater than a year when kept at -20°C. When reconstituted in sterile pH 7.4 0.01M PBS or diluent of antibody the antibody is stable for at least two weeks at 2-4 °C. |
| PubMed | PubMed |
| 产品介绍 | background: The protein encoded by this gene is a transmembrane glycoprotein that transports chloride ions across the cell membrane in exchange for bicarbonate ions. It is localized to the mucosa of the lower intestinal tract, particularly to the apical membrane of columnar epithelium and some goblet cells. The protein is essential for intestinal chloride absorption, and mutations in this gene have been associated with congenital chloride diarrhea. [provided by RefSeq, Oct 2008] Orthologsmouse all Function: Chloride/bicarbonate exchanger. Involved in absorbtion of in the colon. Helps mediate electrolyte and fluid absorption. Subunit: nteracts with CFTR, SLC26A6 and SLC9A3R1 (By similarity). Interacts with PDZK1. Subcellular Location: Apical cell membrane. Post-translational modifications: Phosphorylated upon DNA damage, probably by ATM or ATR. DISEASE: Defects in SLC26A3 are the cause of diarrhea type 1 (DIAR1) [MIM:214700]; also known as congenital chloride diarrhea (CLD). DIAR1 is a disease characterized by voluminous watery stools containing an excess of chloride. The children with this disease are often premature. Similarity: Belongs to the SLC26A/SulP transporter (TC 2.A.53) family. Contains 1 STAS domain. SWISS: P40879 Gene ID: 126650 Database links: Entrez Gene: 1811 Human Entrez Gene: 13487 Mouse Entrez Gene: 114629 Rat Omim: 126650 Human SwissProt: P40879 Human SwissProt: Q9WVC8 Mouse SwissProt: Q924C9 Rat Unigene: 1650 Human Unigene: 283281 Mouse Unigene: 81026 Rat Important Note: This product as supplied is intended for research use only, not for use in human, therapeutic or diagnostic applications. |
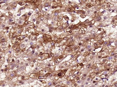
| 产品图片 | ![]() Paraformaldehyde-fixed, paraffin embedded (Human liver cancer); Antigen retrieval by boiling in sodium citrate buffer (pH6.0) for 15min; Block endogenous peroxidase by 3% hydrogen peroxide for 20 minutes; Blocking buffer (normal goat serum) at 37°C for 30min; Antibody incubation with (SLC26A3) Polyclonal Antibody, Unconjugated (bs-19816R) at 1:400 overnight at 4°C, followed by operating according to SP Kit(Rabbit) (sp-0023) instructionsand DAB staining. |
风险提示:丁香通仅作为第三方平台,为商家信息发布提供平台空间。用户咨询产品时请注意保护个人信息及财产安全,合理判断,谨慎选购商品,商家和用户对交易行为负责。对于医疗器械类产品,请先查证核实企业经营资质和医疗器械产品注册证情况。
文献和实验Generation of Antibody Molecules Through Antibody Engineering
been overcome to a large extent using genetic-engineering techniques to produce chimeric mouse/human and completely human antibodies. Such an approach is particularly suitable because of the domain structure of the antibody molecule ( 2 ), where functional
The importance of antibody molecules was first recognized in the 1890s, when it was shown that immunity to tetanus and diphtheria was caused by antibodies against the bacterial exotoxins (1 ). Around the same time, it was shown that antisera
General comments: Antibodies, like most proteins, do not like to be freeze-thawed. Avoid repetitive freezing of your solution. The best way to store your antibody is to keep a high protein concentration (>1 mg/ml), add some protease
技术资料暂无技术资料 索取技术资料










