相关产品推荐更多 >
万千商家帮你免费找货
0 人在求购买到急需产品
- 详细信息
- 文献和实验
- 技术资料
- 供应商:
上海康朗生物科技有限公司
- 库存:
大量
- 目录编号:
kl-1719R
- 克隆性:
多克隆
- 抗原来源:
Rabbit
- 保质期:
12个月
- 抗体英文名:
HPV16 E6 + HPV18 E6 antibody
- 抗体名:
人类乳头状瘤病毒16/18 E6抗体
- 宿主:
Rabbit
- 适应物种:
Human, HPV16/HPV18
- 免疫原:
Synthetic peptide from the HPV16 E6 + HPV18 E6 conjugated to KLH:
- 亚型:
IgG
- 形态:
冻干粉或液体
- 应用范围:
ELISA=1:500-1000 IHC-P=1:400-800 IHC-F=1:400-800 IF=1:100-500
- 浓度:
1mg/ml
- 保存条件:
-20 °C
- 规格:
50ul 100ul 200ul
| 中文名称 | 人类乳头状瘤病毒16/18 E6抗体 |
| 别 名 | HPV16+HPV18 E6; HPV16/18 protein; Human Papilloma virus; E6; Human papillomavirus type 16 E6; Human papillomavirus type 18 E6; Protein E6 . |
| 规格价格 | 50ul/780元 购买 100ul/1380元 购买 200ul/2200元 购买 大包装/询价 |
| 说 明 书 | 50ul 100ul 200ul |
| 研究领域 | 细菌及病毒 |
| 抗体来源 | Rabbit |
| 克隆类型 | Polyclonal |
| 交叉反应 | Human, HPV16/HPV18 |
| 产品应用 | ELISA=1:500-1000 IHC-P=1:400-800 IHC-F=1:400-800 IF=1:100-500 (石蜡切片需做抗原修复) not yet tested in other applications. optimal dilutions/concentrations should be determined by the end user. |
| 分 子 量 | 11kDa |
| 性 状 | Lyophilized or Liquid |
| 浓 度 | 1mg/ml |
| 免 疫 原 | Synthetic peptide from the HPV16 E6 + HPV18 E6 conjugated to KLH: |
| 亚 型 | IgG |
| 纯化方法 | affinity purified by Protein A |
| 储 存 液 | 0.01M TBS(pH7.4) with 1% BSA, 0.03% Proclin300 and 50% Glycerol. |
| 保存条件 | Store at -20 °C for one year. Avoid repeated freeze/thaw cycles. The lyophilized antibody is stable at room temperature for at least one month and for greater than a year when kept at -20°C. When reconstituted in sterile pH 7.4 0.01M PBS or diluent of antibody the antibody is stable for at least two weeks at 2-4 °C. |
| PubMed | PubMed |
| 产品介绍 | background: Human Papilloma virus (HPV) is responsible for the development of type and tissue specific papilloma in the oral cavity and in the larynx. In the skin papilloma virus can cause different types of warts and in the ano-genital region it is associated with condyloma or carcinoma. HPV types 1,6 and 11 usually are associated with benign transformations of the tissues, while e.g. HPV types 16, 18 and 31 seem to be responsible for the development of some carcinoma like cervical carcinoma. The role of HPV in non-melanoic tumours of the skin is under discussion. Protein E6 is a Transcriptional transactivator, binding double stranded DNA. It has transforming activity inactivating, with E6-AP ubiquitin-protein ligase, the human TP53/p53 tumor suppressor protein by targeting it for degradation. SWISS: P03126, P06463 Gene ID: 1489078 1489088 Database links: Entrez Gene: 1489079 HPV16 Entrez Gene: 1489088 HPV18 Important Note: This product as supplied is intended for research use only, not for use in human, therapeutic or diagnostic applications. |
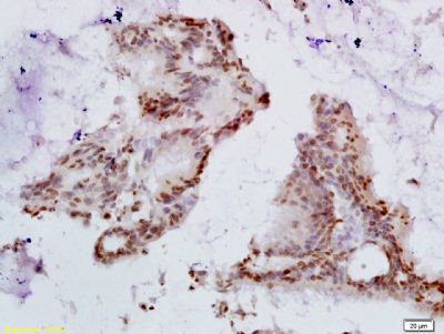
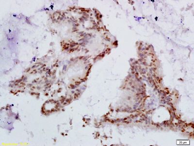
| 产品图片 | ![]() Tissue/cell: human colon carcinoma; 4% Paraformaldehyde-fixed and paraffin-embedded; Antigen retrieval: citrate buffer ( 0.01M, pH 6.0 ), Boiling bathing for 15min; Block endogenous peroxidase by 3% Hydrogen peroxide for 30min; Blocking buffer (normal goat serum,C-0005) at 37℃ for 20 min; Incubation: Anti-HPV16 E6+HPV18 E6 Polyclonal Antibody, Unconjugated(bs-1719R) 1:200, overnight at 4°C, followed by conjugation to the secondary antibody(SP-0023) and DAB(C-0010) staining |
风险提示:丁香通仅作为第三方平台,为商家信息发布提供平台空间。用户咨询产品时请注意保护个人信息及财产安全,合理判断,谨慎选购商品,商家和用户对交易行为负责。对于医疗器械类产品,请先查证核实企业经营资质和医疗器械产品注册证情况。
文献和实验HPV 并不是宫颈癌唯一的「元凶」?这种微生物化身「帮凶」,共同促进癌症发生
,同时进行了蛋白质的表达。 为了系统评估 hpv16 E6E7 整合和随后与沙眼梭菌合并感染对宿主调节的影响,研究人员从健康志愿者上分离出宫颈外干细胞,将其嵌入基质胶中培养 3D 类器官,并检测了来自各种 HPV 类型的 E6E7 基因。来自三个供体的子宫颈外器官检测 HPV 的 E6E7 癌基因均为阴性。这些来自健康供体的 HPV E6E7 阴性的类器官被用于研究 HPV 整合对健康宫颈组织的影响。 图片来源:Nature Communications 随后,研究人员用携带 HPV16 E6
Biolistic DNA Vaccination Against Cervical Cancer
The development of cervical cancer is associated with infection by oncogenic human papillomaviruses (HPVs), of which type 16 (HPV16) is the most prevalent in HPV-induced malignant diseases. The viral oncoproteins E6 and E7 are convenient
of the E6 and E7 oncoproteins of HPV16 is described in detail, and primers and probes that can be used to amplify these oncogenes are described. Techniques to quantify these oncogenes in infected human tissue specimens are presented, and analysis of data
技术资料暂无技术资料 索取技术资料











