相关产品推荐更多 >
万千商家帮你免费找货
0 人在求购买到急需产品
- 详细信息
- 询价记录
- 文献和实验
- 技术资料
- 供应商:
上海康朗生物科技有限公司
- 库存:
大量
- 目录编号:
kl-1714R
- 克隆性:
多克隆
- 抗原来源:
Rabbit
- 保质期:
12个月
- 抗体英文名:
Dopamine Transporter antibody
- 抗体名:
多巴胺转运蛋白DAT抗体
- 宿主:
Rabbit
- 适应物种:
Human, Mouse, Rat, Dog, Cow,
- 免疫原:
KLH conjugated synthetic peptide derived from human DAT1:251-350/620 <Cytoplasmic>
- 亚型:
IgG
- 形态:
冻干粉或液体
- 应用范围:
WB=1:500-2000 ELISA=1:500-1000 IHC-P=1:400-800 IHC-F=1:400-800 Flow-Cyt=0.2μg /test IF=1:100-500
- 浓度:
1mg/ml
- 保存条件:
-20 °C
- 规格:
50ul 100ul 200ul
| 中文名称 | 多巴胺转运蛋白DAT抗体 |
| 别 名 | DA transporter; DAT 1; DAT; DAT1; Dopamine transporter; SC6A3_HUMAN; SLC6A3; Sodium dependent dopamine transporter; Sodium-dependent dopamine transporter; Solute carrier family 6 (neurotransmitter transporter dopamine), member 3; Solute carrier family 6 member 3; Variable number tandem repeat (VNTR); dopamine transporter; ADAT 1; Adenosine deaminase tRNA specific 1; HADAT1; tRNA specific adenosine deaminase 1. |
![]() |
Specific References (3) | bs-1714R has been referenced in 3 publications. [IF=3.31] Ni, Na, et al. "Self-Assembling Peptide Nanofiber Scaffolds Enhance Dopaminergic Differentiation of Mouse Pluripotent Stem Cells in 3-Dimensional Culture." PLOS ONE 8.12 (2013): e84504. IF(ICC) ; Mouse. PubMed:24376815 [IF=0.64] Qian, Weibin, et al. "Effect of Gingerol on Cisplatin-Induced Pica Analogous to Emesis Via Modulating Expressions of Dopamine 2 Receptor, Dopamine Transporter and Tyrosine Hydroxylase in the Vomiting Model of Rats."Yonago Acta medica 59 (2016): 100-110. IHC-F ; Rat. PubMed:27493480 [IF=2.57] Romei, Cristina, et al. "Colocalization of neurotransmitter transporters on the plasma membrane of the same nerve terminal may reflect cotransmission."Brain Research Bulletin (2016). IHC ; Mouse. PubMed:27565422 |
| 规格价格 | 50ul/780元 购买 100ul/1380元 购买 200ul/2200元 购买 大包装/询价 |
| 说 明 书 | 50ul 100ul 200ul |
| 研究领域 | 细胞生物 免疫学 神经生物学 转录调节因子 |
| 抗体来源 | Rabbit |
| 克隆类型 | Polyclonal |
| 交叉反应 | Human, Mouse, Rat, Dog, Cow, |
| 产品应用 | WB=1:500-2000 ELISA=1:500-1000 IHC-P=1:400-800 IHC-F=1:400-800 Flow-Cyt=0.2μg /test IF=1:100-500 (石蜡切片需做抗原修复) not yet tested in other applications. optimal dilutions/concentrations should be determined by the end user. |
| 分 子 量 | 68kDa |
| 细胞定位 | 细胞浆 细胞膜 |
| 性 状 | Lyophilized or Liquid |
| 浓 度 | 1mg/ml |
| 免 疫 原 | KLH conjugated synthetic peptide derived from human DAT1:251-350/620 <Cytoplasmic> |
| 亚 型 | IgG |
| 纯化方法 | affinity purified by Protein A |
| 储 存 液 | 0.01M TBS(pH7.4) with 1% BSA, 0.03% Proclin300 and 50% Glycerol. |
| 保存条件 | Store at -20 °C for one year. Avoid repeated freeze/thaw cycles. The lyophilized antibody is stable at room temperature for at least one month and for greater than a year when kept at -20°C. When reconstituted in sterile pH 7.4 0.01M PBS or diluent of antibody the antibody is stable for at least two weeks at 2-4 °C. |
| PubMed | PubMed |
| 产品介绍 | background: This gene encodes a dopamine transporter which is a member of the sodium- and chloride-dependent neurotransmitter transporter family. The 3' UTR of this gene contains a 40 bp tandem repeat, referred to as a variable number tandem repeat or VNTR, which can be present in 3 to 11 copies. Variation in the number of repeats is associated with idiopathic epilepsy, attention-deficit hyperactivity disorder, dependence on alcohol and cocaine, susceptibility to Parkinson disease and protection against nicotine dependence.[provided by RefSeq, Nov 2009] Function: Amine transporter. Terminates the action of dopamine by its high affinity sodium-dependent reuptake into presynaptic terminals. Subunit: Homooligomer; disulfide-linked. Interacts with PRKCABP and TGFB1I1. Interacts (via N-terminus) with SYNGR3 (via N-terminus). Interacts with SLC18A2. Subcellular Location: Membrane; Multi-pass membrane protein. DISEASE: Defects in SLC6A3 are the cause of dystonia-parkinsonism infantile (DYTPRI) [MIM:613135]. It is a neurodegenerative disorder characterized by infantile onset of parkinsonism and dystonia. Other neurologic features include global developmental delay, bradikinesia and pyramidal tract signs. Similarity: Belongs to the sodium:neurotransmitter symporter (SNF) (TC 2.A.22) family. SLC6A3 subfamily. SWISS: Q01959 Gene ID: 6531 Database links: Entrez Gene: 6531 Human Entrez Gene: 13162 Mouse Entrez Gene: 24898 Rat Omim: 126455 Human SwissProt: Q01959 Human SwissProt: Q61327 Mouse SwissProt: P23977 Rat Unigene: 406 Human Unigene: 41993 Mouse Unigene: 10093 Rat Important Note: This product as supplied is intended for research use only, not for use in human, therapeutic or diagnostic applications. DATI 可能参与神经系统的多种活动,如学习记忆、嗅觉、感觉、运动、多巴胺神经递质活动的调节,而且可能参与胶质瘤等神经系统肿瘤的发生,阳性着色主要定位于细胞质,但也可见到有些细胞核内的阳性染色. |
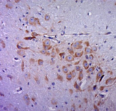
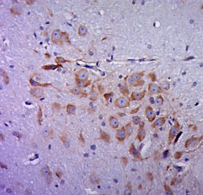
| 产品图片 | ![]() Sample: Cerebrum (Mouse) Lysate at 40 ug Primary: Anti-Dopamine Transporter (bs-1714R) at 1/500 dilution Secondary: IRDye800CW Goat Anti-Rabbit IgG at 1/20000 dilution Predicted band size: 68 kD Observed band size: 68 kD ![]() Paraformaldehyde-fixed, paraffin embedded (Rat brain); Antigen retrieval by boiling in sodium citrate buffer (pH6.0) for 15min; Block endogenous peroxidase by 3% hydrogen peroxide for 20 minutes; Blocking buffer (normal goat serum) at 37°C for 30min; Antibody incubation with (Dopamine Transporter) Polyclonal Antibody, Unconjugated (bs-1714R) at 1:400 overnight at 4°C, followed by a conjugated secondary (sp-0023) for 20 minutes and DAB staining. ![]() Blank control: U937 (blue). Primary Antibody:Rabbit Anti-Dopamine Transporter antibody(bs-1714R), Dilution: 0.2μg in 100 μL 1X PBS containing 0.5% BSA; Isotype Control Antibody: Rabbit IgG(orange) ,used under the same conditions ); Secondary Antibody: Goat anti-rabbit IgG-PE(white blue), Dilution: 1:200 in 1 X PBS containing 0.5% BSA. Protocol The cells were fixed with 2% paraformaldehyde (10 min) . Primary antibody (bs-1714R, 0.2μg /1x10^6 cells) were incubated for 30 min on the ice, followed by 1 X PBS containing 0.5% BSA + 1 0% goat serum (15 min) to block non-specific protein-protein interactions. Then the Goat Anti-rabbit IgG/PE antibody was added into the blocking buffer mentioned above to react with the primary antibody at 1/200 dilution for 30 min on ice. Acquisition of 20,000 events was performed. ![]() Positive control: RSC96 Isotype Control Antibody: rabbit IgG-PE/CY5, Dilution: 1:100 in 1 X PBS containing 0.5% BSA ; Primary Antibody Dilution: 6μg in 100 μL1X PBS containing 0.5% BSA. ![]() Positive control: RSC96 Isotype Control Antibody: Rabbit IgG; Secondary Antibody: Goat anti-rabbit IgG-FITC; Dilution: 1:200 in 1 X PBS containing 0.5% BSA Primary Antibody catalog number: bs-1714R; Dilution: 12μg in 100 μl 1X PBS containing 0.5% BSA |
风险提示:丁香通仅作为第三方平台,为商家信息发布提供平台空间。用户咨询产品时请注意保护个人信息及财产安全,合理判断,谨慎选购商品,商家和用户对交易行为负责。对于医疗器械类产品,请先查证核实企业经营资质和医疗器械产品注册证情况。
- 作者
- 内容
- 询问日期
文献和实验Regulation of Dopamine Transporter Expression by Neuronal Activity
Actions of extracellular dopamine released in the central nervous system are primarily terminated by the dopamine transporter. This protein is also a target for therapeutic and abused psychostimulant drugs. Different methods used to study
alleles (homozygote). This procedure has been used to generate animals lacking either the plasma membrane dopamine transporter (DAT; Fig. 2 ) or the vesicular monoamine transporter (VMAT2; Fig. 3 ). Both DAT and VMAT2 are essential for dopamine homeostasis
Transporter Current Measurements
Na+ /K+ pump, Na+ /Ca2+ exchanger, glutamate transporter and other transporters for dopamine, norepinephrine, GABA, and others, are all electrogenic. These transporters or exchanger transport Na+ ions, with or without transmitters
技术资料暂无技术资料 索取技术资料















