相关产品推荐更多 >
万千商家帮你免费找货
0 人在求购买到急需产品
- 详细信息
- 文献和实验
- 技术资料
- 供应商:
上海康朗生物科技有限公司
- 库存:
大量
- 目录编号:
kl-17046R
- 克隆性:
多克隆
- 抗原来源:
Rabbit
- 保质期:
12个月
- 抗体英文名:
KIF20B antibody
- 抗体名:
驱动蛋白家族成员20B抗体
- 宿主:
Rabbit
- 适应物种:
Human, Mouse, Rat, Dog, Pig, Cow, Horse, Sheep,
- 免疫原:
KLH conjugated synthetic peptide derived from human KIF20B:1651-1750/1820
- 亚型:
IgG
- 形态:
冻干粉或液体
- 应用范围:
ELISA=1:500-1000 IHC-P=1:400-800 IHC-F=1:400-800 ICC=1:100-500 IF=1:100-500
- 浓度:
1mg/ml
- 保存条件:
-20 °C
- 规格:
100ul 200ul
| 中文名称 | 驱动蛋白家族成员20B抗体 |
| 别 名 | Cancer/testis antigen 90; CT90; KI20B_HUMAN; KIF20B; Kinesin-like protein KIF20B; Kinesin-related motor interacting with PIN1; KRMP1; M-phase phosphoprotein 1; MPHOSPH1; MPP 1; Mpp1. |
| 规格价格 | 100ul/1380元 购买 200ul/2200元 购买 大包装/询价 |
| 说 明 书 | 100ul 200ul |
| 研究领域 | 细胞生物 信号转导 |
| 抗体来源 | Rabbit |
| 克隆类型 | Polyclonal |
| 交叉反应 | Human, Mouse, Rat, Dog, Pig, Cow, Horse, Sheep, |
| 产品应用 | ELISA=1:500-1000 IHC-P=1:400-800 IHC-F=1:400-800 ICC=1:100-500 IF=1:100-500 (石蜡切片需做抗原修复) not yet tested in other applications. optimal dilutions/concentrations should be determined by the end user. |
| 分 子 量 | 210kDa |
| 细胞定位 | 细胞核 细胞浆 |
| 性 状 | Lyophilized or Liquid |
| 浓 度 | 1mg/ml |
| 免 疫 原 | KLH conjugated synthetic peptide derived from human KIF20B:1651-1750/1820 |
| 亚 型 | IgG |
| 纯化方法 | affinity purified by Protein A |
| 储 存 液 | 0.01M TBS(pH7.4) with 1% BSA, 0.03% Proclin300 and 50% Glycerol. |
| 保存条件 | Store at -20 °C for one year. Avoid repeated freeze/thaw cycles. The lyophilized antibody is stable at room temperature for at least one month and for greater than a year when kept at -20°C. When reconstituted in sterile pH 7.4 0.01M PBS or diluent of antibody the antibody is stable for at least two weeks at 2-4 °C. |
| PubMed | PubMed |
| 产品介绍 | background: The Kinesins constitute a large family of microtubule-dependent motor proteins which are responsible for the distribution of numerous organelles, vesicles and macromolecular complexes throughout the cell. Individual Kinesin members play crucial roles in cell division, intracellular transport and membrane trafficking events, including endocytosis and transcytosis. MPP1 (M-phase phosphoprotein 1), also known as KIF20B (kinesin family member 20B), MPHOSPH1 or KRMP1, is a 1,820 amino acid protein that localizes to both the nucleus and the cytoplasm and contains one kinesin-motor domain. Expressed in kidney, brain, testis and ovary, MPP1 functions as a plus-end directed motor enzyme that interacts with Pin1 and is required for the completion of cytokinesis. MPP1, which exists as multiple alternatively spliced isoforms termed 1-5, is subject to post-translational phosphorylation, probably by ATM or ATR. Function: Plus-end-directed motor enzyme that is required for completion of cytokinesis. Subcellular Location: Cytoplasm. Nucleus. Cytoplasm > cytoskeleton > spindle. Localizes mainly in the nucleus during interphase although it is also detected in the cytoplasm without clear association with microtubules. A 2-3 fold expression increase is seen as cells progress from G1 to G2/M phase. During prophase and metaphase it is found throughout the cytoplasm and at anaphase accumulates at the midplan of the cell and forms a distinct band extending across the spindle midzone. At anaphase it is concentrated in the mid-body. Tissue Specificity: Brain, ovary, kidney and testis. Post-translational modifications: Phosphorylated upon DNA damage, probably by ATM or ATR. Similarity: Belongs to the kinesin-like protein family. Contains 1 kinesin-motor domain. SWISS: Q96Q89 Gene ID: 9585 Database links: Entrez Gene: 9585 Human Omim: 605498 Human SwissProt: Q96Q89 Human Unigene: 240 Human Important Note: This product as supplied is intended for research use only, not for use in human, therapeutic or diagnostic applications. |
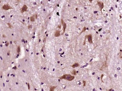
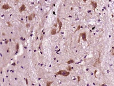
| 产品图片 | ![]() Paraformaldehyde-fixed, paraffin embedded (Mouse brain); Antigen retrieval by boiling in sodium citrate buffer (pH6.0) for 15min; Block endogenous peroxidase by 3% hydrogen peroxide for 20 minutes; Blocking buffer (normal goat serum) at 37°C for 30min; Antibody incubation with (KIF20B) Polyclonal Antibody, Unconjugated (bs-17046R) at 1:400 overnight at 4°C, followed by operating according to SP Kit(Rabbit) (sp-0023) instructionsand DAB staining. |
风险提示:丁香通仅作为第三方平台,为商家信息发布提供平台空间。用户咨询产品时请注意保护个人信息及财产安全,合理判断,谨慎选购商品,商家和用户对交易行为负责。对于医疗器械类产品,请先查证核实企业经营资质和医疗器械产品注册证情况。
文献和实验Generation of Antibody Molecules Through Antibody Engineering
been overcome to a large extent using genetic-engineering techniques to produce chimeric mouse/human and completely human antibodies. Such an approach is particularly suitable because of the domain structure of the antibody molecule ( 2 ), where functional
The importance of antibody molecules was first recognized in the 1890s, when it was shown that immunity to tetanus and diphtheria was caused by antibodies against the bacterial exotoxins (1 ). Around the same time, it was shown that antisera
General comments: Antibodies, like most proteins, do not like to be freeze-thawed. Avoid repetitive freezing of your solution. The best way to store your antibody is to keep a high protein concentration (>1 mg/ml), add some protease
技术资料暂无技术资料 索取技术资料











