相关产品推荐更多 >
万千商家帮你免费找货
0 人在求购买到急需产品
- 详细信息
- 文献和实验
- 技术资料
- 供应商:
上海康朗生物科技有限公司
- 库存:
大量
- 目录编号:
kl-1632R
- 克隆性:
多克隆
- 抗原来源:
Rabbit
- 保质期:
12个月
- 抗体英文名:
APPL1 antibody
- 抗体名:
衔接因子蛋白含pH域蛋白1抗体
- 宿主:
Rabbit
- 适应物种:
Human, Mouse, Rat, Dog, Pig, Cow, Horse, Rabbit,
- 免疫原:
KLH conjugated synthetic peptide derived from human APPL1:101-200/709
- 亚型:
IgG
- 形态:
冻干粉或液体
- 应用范围:
WB=1:500-2000 ELISA=1:500-1000 IHC-P=1:400-800 IHC-F=1:400-800 ICC=1:100-500 IF=1:100-500
- 浓度:
1mg/ml
- 保存条件:
-20 °C
- 规格:
50ul 100ul 200ul
| 中文名称 | 衔接因子蛋白含pH域蛋白1抗体 |
| 别 名 | Adapter protein containing PH domain; Adaptor Protein Containing pH Domain; Adaptor protein containing pH domain PTB domain and leucine zipper motif 1; Adaptor protein containing pH domain PTB domain and leucine zipper motif; AKT2 INTERACTOR; APPL 1; APPL1; DCC interacting protein 13 alpha; DCC-interacting protein 13-alpha; DIP 13 alpha; DIP13 alpha; Dip13-alpha; DIP13alpha; DP13A_HUMAN; KIAA1428; PTB domain and leucine zipper motif 1; PTB Domain and Leucine Zipper Motif; Signaling adaptor protein DIP13alpha. |
| 规格价格 | 50ul/780元 购买 100ul/1380元 购买 200ul/2200元 购买 大包装/询价 |
| 说 明 书 | 50ul 100ul 200ul |
| 研究领域 | 心血管 细胞生物 发育生物学 神经生物学 信号转导 |
| 抗体来源 | Rabbit |
| 克隆类型 | Polyclonal |
| 交叉反应 | Human, Mouse, Rat, Dog, Pig, Cow, Horse, Rabbit, |
| 产品应用 | WB=1:500-2000 ELISA=1:500-1000 IHC-P=1:400-800 IHC-F=1:400-800 ICC=1:100-500 IF=1:100-500 (石蜡切片需做抗原修复) not yet tested in other applications. optimal dilutions/concentrations should be determined by the end user. |
| 分 子 量 | 80kDa |
| 细胞定位 | 细胞核 细胞浆 细胞膜 |
| 性 状 | Lyophilized or Liquid |
| 浓 度 | 1mg/ml |
| 免 疫 原 | KLH conjugated synthetic peptide derived from human APPL1:101-200/709 |
| 亚 型 | IgG |
| 纯化方法 | affinity purified by Protein A |
| 储 存 液 | 0.01M TBS(pH7.4) with 1% BSA, 0.03% Proclin300 and 50% Glycerol. |
| 保存条件 | Store at -20 °C for one year. Avoid repeated freeze/thaw cycles. The lyophilized antibody is stable at room temperature for at least one month and for greater than a year when kept at -20°C. When reconstituted in sterile pH 7.4 0.01M PBS or diluent of antibody the antibody is stable for at least two weeks at 2-4 °C. |
| PubMed | PubMed |
| 产品介绍 | background: The protein encoded by this gene has been shown to be involved in the regulation of cell proliferation, and in the crosstalk between the adiponectin signalling and insulin signalling pathways. The encoded protein binds many other proteins, including RAB5A, DCC, AKT2, PIK3CA, adiponectin receptors, and proteins of the NuRD/MeCP1 complex. This protein is found associated with endosomal membranes, but can be released by EGF and translocated to the nucleus. [provided by RefSeq, Jul 2008] Function: Required for the regulation of cell proliferation in response to extracellular signals from an early endosomal compartment. Links Rab5 to nuclear signal transduction. Subunit: Binds RAB5A/Rab5 through an N-terminal domain. This interaction is essential for its recruitment to endosomal membranes as well as its role in cell proliferation. Binds DCC and the catalytic domain of the inactive form of AKT2 through its PID domain. Binds PIK3CA and subunits of the NuRD/MeCP1 complex. Interacts with OCRL and INPP5B. Subcellular Location: Early endosome membrane; Peripheral membrane protein. Nucleus. Note=Early endosomal membrane-bound and nuclear. Translocated into the nucleus upon release from endosomal membranes following internalization of EGF. Tissue Specificity: High levels in heart, ovary, pancreas and skeletal muscle. Post-translational modifications: Phosphorylated upon DNA damage, probably by ATM or ATR. Phosophorylation at Ser-410 by PKA severely impairs binding to OCRL. Similarity: Contains 1 PH domain. Contains 1 PID domain. SWISS: Q9UKG1 Gene ID: 26060 Database links: Entrez Gene: 26060 Human Entrez Gene: 72993 Mouse Entrez Gene: 290537 Rat Omim: 604299 Human SwissProt: Q9UKG1 Human SwissProt: Q8K3H0 Mouse Unigene: 476415 Human Unigene: 202322 Mouse Important Note: This product as supplied is intended for research use only, not for use in human, therapeutic or diagnostic applications. 衔接因子蛋白含pH域磷酸酪氨酸结合域和亮氨酸拉链基元1抗体. APPL1可调节脂联素和胰岛素信号,是细胞膜与细胞核之间重要的信息传递蛋白,同时也是细胞增殖所必需的蛋白,它有调节脂联素在脂肪酸氧化和葡萄糖吸收中的作用,APPL1通过激酶通道来调节脂联素的胰岛素敏感效应。 |
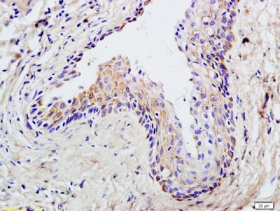
| 产品图片 | ![]() Tissue/cell: Rat ovary tissue; 4% Paraformaldehyde-fixed and paraffin-embedded; Antigen retrieval: citrate buffer ( 0.01M, pH 6.0 ), Boiling bathing for 15min; Block endogenous peroxidase by 3% Hydrogen peroxide for 30min; Blocking buffer (normal goat serum,C-0005) at 37℃ for 20 min; Incubation: Anti-APPL1 Polyclonal Antibody, Unconjugated(bs-1632R) 1:500, overnight at 4°C, followed by conjugation to the secondary antibody(SP-0023) and DAB(C-0010) staining |
风险提示:丁香通仅作为第三方平台,为商家信息发布提供平台空间。用户咨询产品时请注意保护个人信息及财产安全,合理判断,谨慎选购商品,商家和用户对交易行为负责。对于医疗器械类产品,请先查证核实企业经营资质和医疗器械产品注册证情况。
文献和实验Generation of Antibody Molecules Through Antibody Engineering
been overcome to a large extent using genetic-engineering techniques to produce chimeric mouse/human and completely human antibodies. Such an approach is particularly suitable because of the domain structure of the antibody molecule ( 2 ), where functional
The importance of antibody molecules was first recognized in the 1890s, when it was shown that immunity to tetanus and diphtheria was caused by antibodies against the bacterial exotoxins (1 ). Around the same time, it was shown that antisera
General comments: Antibodies, like most proteins, do not like to be freeze-thawed. Avoid repetitive freezing of your solution. The best way to store your antibody is to keep a high protein concentration (>1 mg/ml), add some protease
技术资料暂无技术资料 索取技术资料











