相关产品推荐更多 >
万千商家帮你免费找货
0 人在求购买到急需产品
- 详细信息
- 文献和实验
- 技术资料
- 供应商:
上海康朗生物科技有限公司
- 库存:
大量
- 目录编号:
kl-2256R
- 克隆性:
多克隆
- 抗原来源:
Rabbit
- 保质期:
12个月
- 抗体英文名:
Mouse serum albumin antibody
- 抗体名:
小鼠血清白蛋白抗体
- 宿主:
Rabbit
- 适应物种:
Human, Mouse,
- 免疫原:
KLH conjugated synthetic peptide derived from human Mouse serum albumin:
- 亚型:
IgG
- 形态:
冻干粉或液体
- 应用范围:
WB=1:500-2000 ELISA=1:500-1000 IHC-P=1:400-800 IHC-F=1:400-800 ICC=1:100-500 IF=1:100-500
- 浓度:
1mg/ml
- 保存条件:
-20 °C
- 规格:
100ul 200ul
| 中文名称 | 小鼠血清白蛋白抗体 |
| 别 名 | Alb 1; ALB; ALBU_MOUSE; Albumin 1; Albumin; DKFZp779N1935; PRO0883; PRO0903; PRO1341; PRO2044; PRO2619; Serum albumin. |
| 规格价格 | 100ul/1380元 购买 200ul/2200元 购买 大包装/询价 |
| 说 明 书 | 100ul 200ul |
| 研究领域 | 肿瘤 细胞生物 免疫学 发育生物学 干细胞 新陈代谢 |
| 抗体来源 | Rabbit |
| 克隆类型 | Polyclonal |
| 交叉反应 | Human, Mouse, |
| 产品应用 | WB=1:500-2000 ELISA=1:500-1000 IHC-P=1:400-800 IHC-F=1:400-800 ICC=1:100-500 IF=1:100-500 (石蜡切片需做抗原修复) not yet tested in other applications. optimal dilutions/concentrations should be determined by the end user. |
| 分 子 量 | 68kDa |
| 细胞定位 | 分泌型蛋白 |
| 性 状 | Lyophilized or Liquid |
| 浓 度 | 1mg/ml |
| 免 疫 原 | KLH conjugated synthetic peptide derived from human Mouse serum albumin: |
| 亚 型 | IgG |
| 纯化方法 | affinity purified by Protein A |
| 储 存 液 | 0.01M TBS(pH7.4) with 1% BSA, 0.03% Proclin300 and 50% Glycerol. |
| 保存条件 | Store at -20 °C for one year. Avoid repeated freeze/thaw cycles. The lyophilized antibody is stable at room temperature for at least one month and for greater than a year when kept at -20°C. When reconstituted in sterile pH 7.4 0.01M PBS or diluent of antibody the antibody is stable for at least two weeks at 2-4 °C. |
| PubMed | PubMed |
| 产品介绍 | background: Albumin is a soluble, monomeric protein which comprises about one-half of the blood serum protein. Albumin functions primarily as a carrier protein for steroids, fatty acids, and thyroid hormones and plays a role in stabilizing extracellular fluid volume. Albumin is a globular unglycosylated serum protein of molecular weight 65,000. Albumin is synthesized in the liver as preproalbumin which has an N-terminal peptide that is removed before the nascent protein is released from the rough endoplasmic reticulum. The product, proalbumin, is in turn cleaved in the Golgi vesicles to produce the secreted albumin. [provided by RefSeq, Jul 2008]. Function: Serum albumin, the main protein of plasma, has a good binding capacity for water, Ca(2+), Na(+), K(+), fatty acids, hormones, bilirubin and drugs. Its main function is the regulation of the colloidal osmotic pressure of blood. Major zinc transporter in plasma, typically binds about 80% of all plasma zinc. Subcellular Location: Secreted. Tissue Specificity: Plasma. Post-translational modifications: Kenitra variant is partially O-glycosylated at Thr-620. It has two new disulfide bonds Cys-600 to Cys-602 and Cys-601 to Cys-606. Glycated in diabetic patients. Phosphorylation sites are present in the extracellular medium. Acetylated on Lys-223 by acetylsalicylic acid. DISEASE: Familial dysalbuminemic hyperthyroxinemia (FDH) [MIM:103600]: Form of euthyroid hyperthyroxinemia that is due to increased affinity of ALB for T(4). It is the most common cause of inherited euthyroid hyperthyroxinemia in Caucasian population. Note=The disease is caused by mutations affecting the gene represented in this entry. Similarity: Belongs to the ALB/AFP/VDB family. Contains 3 albumin domains. SWISS: P07724 Gene ID: 11657 Database links: Entrez Gene: 100379232 Guinea pig Entrez Gene: 100034206 Horse Entrez Gene: 213 Human Entrez Gene: 11657 Mouse Entrez Gene: 396960 Pig Entrez Gene: 100009195 Rabbit Entrez Gene: 24186 Rat Omim: 103600 Human SwissProt: P49064 Cat SwissProt: P19121 Chicken SwissProt: P02769 Cow SwissProt: P49822 Dog SwissProt: P35747 Horse SwissProt: P02768 Human SwissProt: P07724 Mouse SwissProt: P08835 Pig SwissProt: P49065 Rabbit SwissProt: P02770 Rat Unigene: 418167 Human Unigene: 16773 Mouse Unigene: 202968 Rat Important Note: This product as supplied is intended for research use only, not for use in human, therapeutic or diagnostic applications. |
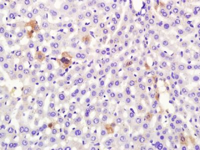
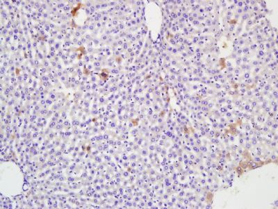
| 产品图片 | ![]() Sample: A549(Human) Cell Lysate at 30 ug Primary: Anti-Mouse serum albumin (bs-2256R) at 1/300 dilution Secondary: IRDye800CW Goat Anti-Rabbit IgG at 1/20000 dilution Predicted band size: 68 kD Observed band size: 68 kD ![]() Sample: Lung (Mouse) Lysate at 40 ug Spleen (Mouse) Lysate at 40 ug Primary: Anti-Mouse serum albumin (bs-2256R) at 1/300 dilution Secondary: IRDye800CW Goat Anti-Rabbit IgG at 1/20000 dilution Predicted band size: 68 kD Observed band size: 68 kD ![]() Paraformaldehyde-fixed, paraffin embedded (Mouse Liver); Antigen retrieval by boiling in sodium citrate buffer (pH6.0) for 15min; Block endogenous peroxidase by 3% hydrogen peroxide for 20 minutes; Blocking buffer (normal goat serum) at 37°C for 30min; Antibody incubation with (Mouse serum albumin ) Polyclonal Antibody, Unconjugated (bs-2256R) at 1:400 overnight at 4°C, followed by a conjugated secondary antibody (sp-0023) for 20 minutes and DAB staining. ![]() Paraformaldehyde-fixed, paraffin embedded (Mouse liver); Antigen retrieval by boiling in sodium citrate buffer (pH6.0) for 15min; Block endogenous peroxidase by 3% hydrogen peroxide for 20 minutes; Blocking buffer (normal goat serum) at 37°C for 30min; Antibody incubation with (Mouse serum albumin) Polyclonal Antibody, Unconjugated (bs-2256R) at 1:400 overnight at 4°C, followed by a conjugated secondary antibody (sp-0023) for 20 minutes and DAB staining. |
风险提示:丁香通仅作为第三方平台,为商家信息发布提供平台空间。用户咨询产品时请注意保护个人信息及财产安全,合理判断,谨慎选购商品,商家和用户对交易行为负责。对于医疗器械类产品,请先查证核实企业经营资质和医疗器械产品注册证情况。
文献和实验Screening Major Binding Sites on Human Serum Albumin by Affinity Capillary Electrophoresis
A screening method is described for determining whether a drug or small solute has significant interactions at the two major binding sites on human serum albumin (HSA). This method uses affinity capillary electrophoresis (ACE) to perform
Peptide Microarrays for Serum Antibody Diagnostics
to capture antigen-specific antibodies from serum samples; however, both the biologically active surface display of peptides and the establishment of a solidly performing peptide microarray immunoassay are often troublesome in detail. The following protocols
ELISA Procedure for Measuring Serum Antibody Titer
assays are the most appropriate for measuring the titer of the antisera you have generated. ELISA Procedure for Measuring Serum Antibody Titer In this type of ELISA (Enzyme-Linked Immunosorbant Assay), the antigen (peptide or protein) is bound
技术资料暂无技术资料 索取技术资料














