相关产品推荐更多 >
万千商家帮你免费找货
0 人在求购买到急需产品
- 详细信息
- 文献和实验
- 技术资料
- 供应商:
上海康朗生物科技有限公司
- 库存:
大量
- 目录编号:
kl-1468R
- 克隆性:
多克隆
- 抗原来源:
Rabbit
- 保质期:
12个月
- 抗体英文名:
MDR1/P Glycoprotein antibody
- 抗体名:
多药耐药蛋白/P-糖蛋白抗体(C端)
- 宿主:
Rabbit
- 适应物种:
Human, Mouse, Rat,
- 免疫原:
KLH conjugated synthetic peptide derived from human MDR1:1051-1280/1280 <Cytoplasmic>
- 亚型:
IgG
- 形态:
冻干粉或液体
- 应用范围:
WB=1:500-2000 ELISA=1:500-1000 IHC-P=1:400-800 IHC-F=1:400-800 Flow-Cyt=1µg/Test IF=1:100-500
- 浓度:
1mg/ml
- 保存条件:
-20 °C
- 规格:
50ul 100ul 200ul
| 中文名称 | 多药耐药蛋白/P-糖蛋白抗体(C端) |
| 别 名 | ABC20; ABCB1; ATP binding cassette, sub family B (MDR/TAP), member 1; ATP-binding cassette sub-family B member 1; CD243; CLCS; Colchicin sensitivity; Doxorubicin resistance; GP170; MDR1; MDR1_HUMAN; Multidrug resistance 1; Multidrug resistance protein 1; P glycoprotein 1; P gp; P-glycoprotein 1; PGY1. p-gp; P糖蛋白 |
![]() |
Specific References (1) | bs-1468R has been referenced in 1 publications. [IF=3.23] Mo L, Pospichalova V, Huang Z, Murphy SK, Payne S, Wang F, et al. (2015) Ascites Increases Expression/Function of Multidrug Resistance Proteins in Ovarian Cancer Cells. PLoS ONE 10(7): e0131579. WB ; Human. PubMed:26148191 |
| 规格价格 | 50ul/780元 购买 100ul/1380元 购买 200ul/2200元 购买 大包装/询价 |
| 说 明 书 | 50ul 100ul 200ul |
| 研究领域 | 肿瘤 细胞生物 免疫学 信号转导 细胞凋亡 转录调节因子 糖蛋白 |
| 抗体来源 | Rabbit |
| 克隆类型 | Polyclonal |
| 交叉反应 | Human, Mouse, Rat, |
| 产品应用 | WB=1:500-2000 ELISA=1:500-1000 IHC-P=1:400-800 IHC-F=1:400-800 Flow-Cyt=1µg/Test IF=1:100-500 (石蜡切片需做抗原修复) not yet tested in other applications. optimal dilutions/concentrations should be determined by the end user. |
| 分 子 量 | 141kDa |
| 细胞定位 | 细胞膜 |
| 性 状 | Lyophilized or Liquid |
| 浓 度 | 1mg/ml |
| 免 疫 原 | KLH conjugated synthetic peptide derived from human MDR1:1051-1280/1280 <Cytoplasmic> |
| 亚 型 | IgG |
| 纯化方法 | affinity purified by Protein A |
| 储 存 液 | 0.01M TBS(pH7.4) with 1% BSA, 0.03% Proclin300 and 50% Glycerol. |
| 保存条件 | Store at -20 °C for one year. Avoid repeated freeze/thaw cycles. The lyophilized antibody is stable at room temperature for at least one month and for greater than a year when kept at -20°C. When reconstituted in sterile pH 7.4 0.01M PBS or diluent of antibody the antibody is stable for at least two weeks at 2-4 °C. |
| PubMed | PubMed |
| 产品介绍 | background: P Glycoprotein, the product of the MDR1 gene, is expressed in distinct non-malignant cells, typically cells with secretory and excretory functions. It is assumed to function as an ATP-dependent drug efflux pump with broad substrate specificity. The highest expression of P Glycoprotein has been observed in kidney (proximal tubules), liver (bile canaliculi), adrenal gland and intestine, suggesting that the primary role of P Glycoprotein is in the normal secretion of physiological metabolites and ingested chemicals into bile, urine and the lumen of the intestinal tract. Elevated levels of P Glycoprotein have also been reported in multidrug-resistant cell lines and in colon, endometrial, ovarian, and breast tumors, as well as in sarcomas and leukemias / lymphomas. Function: Energy-dependent efflux pump responsible for decreased drug accumulation in multidrug-resistant cells. Subunit: Interacts with PSMB5. Subcellular Location: Cell membrane; Multi-pass membrane protein (By similarity). Tissue Specificity: Expressed in liver, kidney, small intestine and brain. DISEASE: Genetic variations in ABCB1 are associated with susceptibility to inflammatory bowel disease type 13 (IBD13) [MIM:612244]. Inflammatory bowel disease is characterized by a chronic relapsing intestinal inflammation. It is subdivided into Crohn disease and ulcerative colitis phenotypes. Crohn disease may involve any part of the gastrointestinal tract, but most frequently the terminal ileum and colon. Bowel inflammation is transmural and discontinuous; it may contain granulomas or be associated with intestinal or perianal fistulas. In contrast, in ulcerative colitis, the inflammation is continuous and limited to rectal and colonic mucosal layers; fistulas and granulomas are not observed. Both diseases include extraintestinal inflammation of the skin, eyes, or joints. Crohn disease and ulcerative colitis are commonly classified as autoimmune diseases. Similarity: Belongs to the ABC transporter superfamily. ABCB family. Multidrug resistance exporter (TC 3.A.1.201) subfamily. Contains 2 ABC transmembrane type-1 domains. Contains 2 ABC transporter domains. Gene ID: 5243 Database links: Entrez Gene: 5243 Human Entrez Gene: 18669 Mouse Entrez Gene: 170913 Rat Entrez Gene: 24646 Rat Omim: 171050 Human SwissProt: P08183 Human SwissProt: P06795 Mouse SwissProt: P43245 Rat Unigene: 489033 Human Unigene: 144554 Rat Unigene: 154810 Rat Important Note: This product as supplied is intended for research use only, not for use in human, therapeutic or diagnostic applications. 信号传导(Signaling Intermediates) |
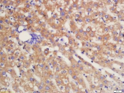
| 产品图片 | ![]() Sample: liver (Rat) Lysate at 40 ug Primary: Anti-MDR1'P Glycoprotein (bs-1468R)at 1/300 dilution Secondary: IRDye800CW Goat Anti-Rabbit IgG at 1/20000 dilution Predicted band size: 141kD Observed band size: 141 kD ![]() Tissue/cell: Rat liver tissue; 4% Paraformaldehyde-fixed and paraffin-embedded; Antigen retrieval: citrate buffer ( 0.01M, pH 6.0 ), Boiling bathing for 15min; Block endogenous peroxidase by 3% Hydrogen peroxide for 30min; Blocking buffer (normal goat serum,C-0005) at 37℃ for 20 min; Incubation: Anti-MDR1 / P Glycoprotein Polyclonal Antibody, Unconjugated(bs-1468R) 1:200, overnight at 4°C, followed by conjugation to the secondary antibody(SP-0023) and DAB(C-0010) staining ![]() Blank control (blue line): Hela (blue). Primary Antibody (green line): Rabbit Anti-MDR1 antibody (bs-1468R) Dilution: 1μg /10^6 cells; Isotype Control Antibody (orange line): Rabbit IgG . Secondary Antibody (white blue line): Goat anti-rabbit IgG-FITC Dilution: 1μg /test. Protocol The cells were fixed with 70% methanol (Overnight at -20℃) and then permeabilized with ice-cold 90% methanol for 30 min on ice. Cells stained with Primary Antibody for 30 min at room temperature. The cells were then incubated in 1 X PBS/2%BSA/10% goat serum to block non-specific protein-protein interactions followed by the antibody for 15 min at room temperature. The secondary antibody used for 40 min at room temperature. Acquisition of 20,000 events was performed. |
风险提示:丁香通仅作为第三方平台,为商家信息发布提供平台空间。用户咨询产品时请注意保护个人信息及财产安全,合理判断,谨慎选购商品,商家和用户对交易行为负责。对于医疗器械类产品,请先查证核实企业经营资质和医疗器械产品注册证情况。
文献和实验Anticardiolipin Antibody and Anti-beta 2 Glycoprotein I Antibody Assays
) antibodies and anti-beta 2 glycoprotein I (β2-GPI) antibodies. Other autoantibodies, such as those directed against anionic phospholipids, can also be assayed; however they are not of clinical significance. Participation in a quality assurance
Application of Capillary Electrophoresis in Glycoprotein Analysis
. To further characterize the glycoprotein, removal of N-linked glycans is necessary and a CZE technique is employed to analyze each glycan moiety. Examples from a monoclonal antibody, erythropoietin, and granulocyte colony-stimulating factor are presented
8.0) in clean 16x125mm polypropylene test tube. If needed, adjust pH to 8.0 using 0.5M carbonate buffer. 2. Prepare fresh, 1mg/mL of either NHS-FITC in DMSO or 1mg/mL NHS-LC-Biotin in DH2O. If FITC coupling, add 75uL of FITC/DMSO solution to Antibody
技术资料暂无技术资料 索取技术资料














