相关产品推荐更多 >
万千商家帮你免费找货
0 人在求购买到急需产品
- 详细信息
- 文献和实验
- 技术资料
- 供应商:
上海康朗生物科技有限公司
- 库存:
大量
- 目录编号:
kl-13263R
- 克隆性:
多克隆
- 抗原来源:
Rabbit
- 保质期:
12个月
- 抗体英文名:
GAD65 + GAD67 antibody
- 抗体名:
谷氨酸脱羧酶65+谷氨酸脱羧酶67抗体
- 宿主:
Rabbit
- 适应物种:
Human, Mouse, Rat, Chicken, Dog, Pig, Cow, Horse, Rabbit, Sheep,
- 免疫原:
KLH conjugated synthetic peptide derived from human GAD65 + GAD67:351-450/585
- 亚型:
IgG
- 形态:
冻干粉或液体
- 应用范围:
ELISA=1:500-1000 IHC-P=1:400-800 IHC-F=1:400-800 ICC=1:100-500 IF=1:100-500
- 浓度:
1mg/ml
- 保存条件:
-20 °C
- 规格:
100ul 200ul
| 中文名称 | 谷氨酸脱羧酶65+谷氨酸脱羧酶67抗体 |
| 别 名 | 65 kDa glutamic acid decarboxylase; DCE 2; DCE2; GAD 2; GAD 65; GAD-2; GAD-65;GAD 65, GAD2; Glutamate Decarboxylase 2 (pancreatic islets and brain 65kDa); Glutamate Decarboxylase 2; Glutamate Decarboxylase 65; Glutamate decarboxylase 65 kDa isoform; Glutamic Acid Decarboxylase 2; Glutamic Acid Decarboxylase 65; DCE1_HUMAN; DCE2_HUMAN. |
| 规格价格 | 100ul/1380元 购买 200ul/2200元 购买 大包装/询价 |
| 说 明 书 | 100ul 200ul |
| 研究领域 | 细胞生物 神经生物学 细胞类型标志物 |
| 抗体来源 | Rabbit |
| 克隆类型 | Polyclonal |
| 交叉反应 | Human, Mouse, Rat, Chicken, Dog, Pig, Cow, Horse, Rabbit, Sheep, |
| 产品应用 | ELISA=1:500-1000 IHC-P=1:400-800 IHC-F=1:400-800 ICC=1:100-500 IF=1:100-500 (石蜡切片需做抗原修复) not yet tested in other applications. optimal dilutions/concentrations should be determined by the end user. |
| 分 子 量 | 65+67kDa |
| 细胞定位 | 细胞浆 细胞膜 |
| 性 状 | Lyophilized or Liquid |
| 浓 度 | 1mg/ml |
| 免 疫 原 | KLH conjugated synthetic peptide derived from human GAD65 + GAD67:351-450/585 |
| 亚 型 | IgG |
| 纯化方法 | affinity purified by Protein A |
| 储 存 液 | 0.01M TBS(pH7.4) with 1% BSA, 0.03% Proclin300 and 50% Glycerol. |
| 保存条件 | Store at -20 °C for one year. Avoid repeated freeze/thaw cycles. The lyophilized antibody is stable at room temperature for at least one month and for greater than a year when kept at -20°C. When reconstituted in sterile pH 7.4 0.01M PBS or diluent of antibody the antibody is stable for at least two weeks at 2-4 °C. |
| PubMed | PubMed |
| 产品介绍 | background: This gene encodes one of several forms of glutamic acid decarboxylase, identified as a major autoantigen in insulin-dependent diabetes. The enzyme encoded is responsible for catalyzing the production of gamma aminobutyric acid from L glutamic acid. A pathogenic role for this enzyme has been identified in the human pancreas since it has been identified as an autoantibody and an autoreactive T cell target in insulin dependent diabetes. This gene may also play a role in the stiff man syndrome. Function: Catalyzes the production of GABA. Subcellular Location: Cytoplasm; cytosol. Associated to cytoplasmic vesicles. In neurons, cytosolic leaflet of Golgi membranes and presynaptic clusters. Similarity: Belongs to the group II decarboxylase family. Gene ID: 2571, 2572 Database links: Entrez Gene: 2572 Human Entrez Gene: 14417 Mouse Entrez Gene: 24380 Rat Omim: 138275 Human SwissProt: Q05329 Human SwissProt: Q5VZ29 Human SwissProt: Q5VZ30 Human SwissProt: P48320 Mouse SwissProt: Q548L4 Mouse SwissProt: Q05683 Rat Unigene: 231829 Human Unigene: 4784 Mouse Unigene: 29951 Rat
Entrez Gene: 2571 Human Entrez Gene: 14415 Mouse Entrez Gene: 24379 Rat Omim: 605363 Human SwissProt: Q99259 Human SwissProt: P48318 Mouse SwissProt: P18088 Rat Unigene: 420036 Human Unigene: 272120 Mouse Unigene: 91245 Rat
Important Note: This product as supplied is intended for research use only, not for use in human, therapeutic or diagnostic applications. |
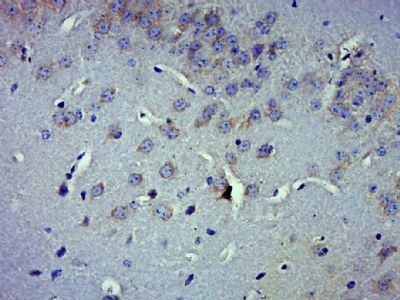
| 产品图片 | ![]() Paraformaldehyde-fixed, paraffin embedded (Mouse brain); Antigen retrieval by boiling in sodium citrate buffer (pH6.0) for 15min; Block endogenous peroxidase by 3% hydrogen peroxide for 20 minutes; Blocking buffer (normal goat serum) at 37°C for 30min; Antibody incubation with (GAD65 + GAD67) Polyclonal Antibody, Unconjugated (bs-13263R) at 1:500 overnight at 4°C, followed by a conjugated secondary (sp-0023) for 20 minutes and DAB staining. |
风险提示:丁香通仅作为第三方平台,为商家信息发布提供平台空间。用户咨询产品时请注意保护个人信息及财产安全,合理判断,谨慎选购商品,商家和用户对交易行为负责。对于医疗器械类产品,请先查证核实企业经营资质和医疗器械产品注册证情况。
文献和实验; IAAs 水平与 IDDM 发生的速度呈相关性,高水平 IAAs 者发病快。 谷氨脱羧酶( GAD )是人及动物体内抑制性神经递质 Y —氨基丁酸的合成酶。分于量为 GAD65 和 GAD67 。 GAD65 是 IDDM 的关键始动靶细胞。 GAD — Ab 是 IDDM 及糖尿病前期个体的免疫标志,随着对 9 细胞上的 GAD 抗原是针对抗体复合物 ICAs 其中的一种抗原的研究,近年来成为预测 IDDM 及对 DM 正确分型等研究热点。应用重组蛋白沉淀法, GAD 抗体存在于 80
一点小东西希望对大家有些用处 We improved this resource This page was translated from french to it is now finalized Thank you for any comment IMMUNOLOGICAL TECHNIQUES Tools and Techniques Molecular Immunology Antibodies. Antibody uses: Elisa
【交流】免疫版无人应助贴自2008年12月份起改手工统计为系统自动统计,此贴关闭!
.cn/bbs/post/view?bid=68&id=12782696&sty=1&tpg=4&age=0 ]【求助】谷氨酸脱羧酶GAD65,GAD67免疫组化抗体选择[/url] [url=http://www.dxy.cn/bbs/post/view?bid=68&id=12782670&sty=1&tpg=4&age=0 ]【求助】求:GAD67,GAD65免疫组化文献[/url] [url=http://www.dxy.cn/bbs/post/view?bid=68&id
技术资料暂无技术资料 索取技术资料











