相关产品推荐更多 >
万千商家帮你免费找货
0 人在求购买到急需产品
- 详细信息
- 询价记录
- 文献和实验
- 技术资料
- 供应商:
上海康朗生物科技有限公司
- 库存:
大量
- 目录编号:
kl-1310R
- 克隆性:
多克隆
- 抗原来源:
Rabbit
- 保质期:
12个月
- 抗体英文名:
Integrin Alpha V + Beta 3 (CD51+CD61) antibody
- 抗体名:
整合素αVβ3抗体
- 宿主:
Rabbit
- 适应物种:
Human, Mouse, Rat,
- 免疫原:
KLH conjugated synthetic peptide derived from human Integrin Alpha V + Beta 3:
- 亚型:
IgG
- 形态:
冻干粉或液体
- 应用范围:
WB=1:500-2000 ELISA=1:500-1000 IHC-P=1:400-800 IHC-F=1:400-800 Flow-Cyt=1μg/Test IF=1:100-500
- 浓度:
1mg/ml
- 保存条件:
-20 °C
- 规格:
50ul 100ul 200ul
| 中文名称 | 整合素αVβ3抗体 |
| 别 名 | CD51 + CD61; CD51; CD61; GP3A; GPIIIa; integrin alpha v; integrin beta 3; intregrin alpha v beta 3; ITGAV; ITGB3; Platelet membrane glycoprotein IIIa; Vitronectin receptor alpha subunit; VNRA; Antigen identified by monoclonal antibody L230; CD51 antigen; CD61 antigen; DKFZp686A08142; Integrin alpha V (vitronectin receptor, alpha polypeptide, antigen CD51); integrin alpha v; Integrin beta 3 (platelet glycoprotein IIIa, antigen CD61); Integrin beta chain beta 3; intregrin alpha v beta 3; ITGAV; MSK8; Platelet glycoprotein IIIa; Platelet membrane glycoprotein IIIa; Vitronectin receptor alpha subunit; Vitronectin receptor subunit alpha. |
![]() |
Specific References (6) | bs-1310R has been referenced in 6 publications. [IF=7.60] Mondal, Goutam, Sugata Barui, and Arabinda Chaudhuri. "The relationship between the cyclic-RGDfK ligand and αvβ3 integrin receptor." Biomaterials (2013). Human. PubMed:23702147 [IF=5.56] Jiang, Lei, et al. "64Cu-Labeled Divalent Cystine Knot Peptide for Imaging Carotid Atherosclerotic Plaques." Journal of Nuclear Medicine (2015): jnumed-115. IHC-F ; Mouse. PubMed:25908832 [IF=2.47] Chen, Ming, et al. "Periostin activates pathways involved in epithelial-mesenchymal transition in adamantinomatous craniopharyngioma." Journal of the Neurological Sciences (2015). WB ; Human. PubMed:26723972 [IF=3.52] Chen, Li, and David R. Brigstock. "Integrins and heparan sulfate proteoglycans on hepatic stellate cells (HSC) are novel receptors for HSC‐derived exosomes." FEBS letters (2016). other ; Mouse. PubMed:27714787 [IF=3.55] Bian, Qin, et al. "Mechanosignaling activation of TGFβ maintains intervertebral disc homeostasis." Bone Research 5 (2017): 17008 IHC-P ; Mouse. PubMed:28392965 [IF=2.83] Li, Yin, Lin Xiong, and Jianping Gong. "Lyn kinase enhanced hepatic fibrosis by modulating the activation of hepatic stellate cells." Am J Transl Res 9.6 (2017): 2865-2877. IHC-F ; Mouse. PubMed:28670375 |
| 规格价格 | 50ul/780元 购买 100ul/1380元 购买 200ul/2200元 购买 大包装/询价 |
| 说 明 书 | 50ul 100ul 200ul |
| 研究领域 | 细胞生物 免疫学 信号转导 干细胞 细胞粘附分子 |
| 抗体来源 | Rabbit |
| 克隆类型 | Polyclonal |
| 交叉反应 | Human, Mouse, Rat, |
| 产品应用 | WB=1:500-2000 ELISA=1:500-1000 IHC-P=1:400-800 IHC-F=1:400-800 Flow-Cyt=1μg/Test IF=1:100-500 (石蜡切片需做抗原修复) not yet tested in other applications. optimal dilutions/concentrations should be determined by the end user. |
| 性 状 | Lyophilized or Liquid |
| 浓 度 | 1mg/ml |
| 免 疫 原 | KLH conjugated synthetic peptide derived from human Integrin Alpha V + Beta 3: |
| 亚 型 | IgG |
| 纯化方法 | affinity purified by Protein A |
| 储 存 液 | 0.01M TBS(pH7.4) with 1% BSA, 0.03% Proclin300 and 50% Glycerol. |
| 保存条件 | Store at -20 °C for one year. Avoid repeated freeze/thaw cycles. The lyophilized antibody is stable at room temperature for at least one month and for greater than a year when kept at -20°C. When reconstituted in sterile pH 7.4 0.01M PBS or diluent of antibody the antibody is stable for at least two weeks at 2-4 °C. |
| PubMed | PubMed |
| 产品介绍 | background: Integrins are integral cell-surface proteins composed of an alpha chain and a beta chain. They are known to participate in cell adhesion as well as cell-surface mediated signalling. Integrins are heterodimeric integral membrane proteins composed of an alpha chain and a beta chain. CD51 encodes integrin alpha chain V. The I-domain containing integrin alpha V undergoes post-translational cleavage to yield disulfide-linked heavy and light chains, that combine with multiple integrin beta chains to form different integrins. The CD61 protein product is the integrin beta chain beta 3. Integrin beta 3 is found along with the alpha IIb chain in platelets. Integrin alpha V/beta 3 is a receptor for cytotactin, fibronectin, laminin, matrix metalloproteinase 2, osteopontin, osteomodulin, prothrombin, thrombospondin, vitronectin and von Willebrand factor. Integrin alpha V/beta 3 recognizes the sequence R-G-D in a wide array of ligands. The alpha V integrins are receptors for vitronectin, cytotactin, fibronectin, fibrinogen, laminin, matrix metalloproteinase 2, osteopontin, osteomodulin, prothrombin, thrombospondin and von Willebrand factor. They recognize the sequence R-G-D in a wide array of ligands. Subcellular Location: Cell Membrane; single-pass type I membrane protein. SWISS: P05106, P06756 Gene ID: 3685 Database links: Entrez Gene: 3685 Human Entrez Gene: 3690 Human Omim: 173470 Human Omim: 193210 Human SwissProt: P05106 Human SwissProt: P06756 Human Unigene: 218040 Human Unigene: 436873 Human Important Note: This product as supplied is intended for research use only, not for use in human, therapeutic or diagnostic applications. 整合素αVβ3为二聚体的跨膜糖蛋白质,可以调节肿瘤细胞在多种细胞外基质蛋白中的粘附和迁移,在被激活的内皮细胞中有较高的表达,并在新生血管生成过程中发挥优势。 整合素αVβ3在细胞外的信号传入细胞内调节细胞生长、改变细胞形态、影响细胞运动, 并在肿瘤侵袭和转移的过程中起重要作用.整合素αVβ3是特异性表达在血管内皮细胞表面的粘附因子。 |
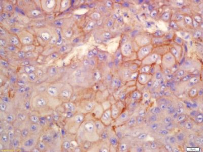
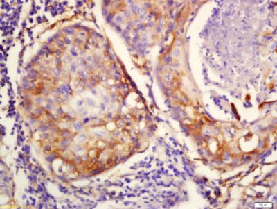
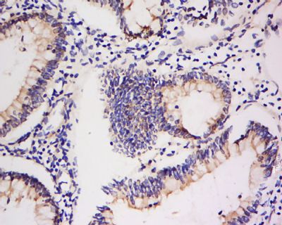
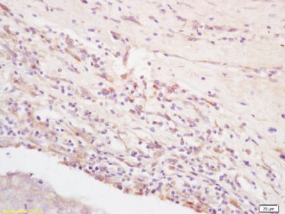
| 产品图片 | ![]() Sample: HUVEC (human)Cell Lysate at 40 ug Primary: Anti- Integrin Alpha V + Beta 3 (CD51+CD61) (bs-1310R) at 1/300 dilution Secondary: IRDye800CW Goat Anti-Rabbit IgG at 1/20000 dilution Predicted band size: 116 kD Observed band size: 120 kD ![]() Tissue/cell: Human laryngeal tissue; 4% Paraformaldehyde-fixed and paraffin-embedded; Antigen retrieval: citrate buffer ( 0.01M, pH 6.0 ), Boiling bathing for 15min; Block endogenous peroxidase by 3% Hydrogen peroxide for 30min; Blocking buffer (normal goat serum,C-0005) at 37℃ for 20 min; Incubation: Anti-Integrin Alpha V + Beta 3 (CD51 + CD61) Polyclonal Antibody, Unconjugated(bs-1310R) 1:200, overnight at 4°C, followed by conjugation to the secondary antibody(SP-0023) and DAB(C-0010) staining ![]() Tissue/cell: Human lung cancer tissue; 4% Paraformaldehyde-fixed and paraffin-embedded; Antigen retrieval: citrate buffer ( 0.01M, pH 6.0 ), Boiling bathing for 15min; Block endogenous peroxidase by 3% Hydrogen peroxide for 30min; Blocking buffer (normal goat serum,C-0005) at 37℃ for 20 min; Incubation: Anti-Integrin Alpha V + Beta 3 (CD51 + CD61) Polyclonal Antibody, Unconjugated(bs-1310R) 1:200, overnight at 4°C, followed by conjugation to the secondary antibody(SP-0023) and DAB(C-0010) staining ![]() cell: mouse lung. Incubation: Avoid light, at 4°C for 40 minutes. Red line: Blank control (mouse lung cells),2X10^6/ml, at 4°C for 40 minutes. Green line: (primary antibody) Integrin Alpha V + Beta 3 (CD51+CD61) (bs-1310R), (secondary antibody)Goat Anti-rabbit IgG/FITC (bs-0295G-FITC), 1:00, at 4°C for 40 minutes. ![]() Tissue/cell: rat brain tissue; 4% Paraformaldehyde-fixed and paraffin-embedded; Antigen retrieval: citrate buffer ( 0.01M, pH 6.0 ), Boiling bathing for 15min; Block endogenous peroxidase by 3% Hydrogen peroxide for 30min; Blocking buffer (normal goat serum,C-0005) at 37℃ for 20 min; Incubation: Anti-Integrin Alpha V + Beta 3(CD51+CD61) Polyclonal Antibody, Unconjugated(bs-1310R) 1:200, overnight at 4°C, followed by conjugation to the secondary antibody(SP-0023) and DAB(C-0010) staining ![]() Blank control: U937(blue). Primary Antibody: Rabbit Anti-Integrin Alpha V + Beta 3 (CD51+CD61) antibody(bs-1310R), Dilution: 1μg in 100 μL 1X PBS containing 0.5% BSA; Isotype Control Antibody: Rabbit IgG(orange) ,used under the same conditions ); Secondary Antibody: Goat anti-rabbit IgG-PE(white blue), Dilution: 1:200 in 1 X PBS containing 0.5% BSA. Protocol The cells were fixed with 2% paraformaldehyde (10 min). Primary antibody (bs-1310R, 1μg /1x10^6 cells) were incubated for 30 min on the ice, followed by 1 X PBS containing 0.5% BSA + 10% goat serum (15 min) to block non-specific protein-protein interactions. Then the Goat Anti-rabbit IgG/PE antibody was added into the blocking buffer mentioned above to react with the primary antibody at 1/200 dilution for 30 min on ice. Acquisition of 20,000 events was performed. ![]() Cell: MCF-7 Concentration:1:100 Host/Isotype:Rabbit/IgG Flow cytometric analysis of Rabbit IgG isotype control (Cat#: bs-1310R) on MCF-7(green) compared with control in the absence of primary antibody (blue) followed by Alexa Fluor 488-conjugated goat anti-rabbit IgG(H+L) secondary antibody . |
风险提示:丁香通仅作为第三方平台,为商家信息发布提供平台空间。用户咨询产品时请注意保护个人信息及财产安全,合理判断,谨慎选购商品,商家和用户对交易行为负责。对于医疗器械类产品,请先查证核实企业经营资质和医疗器械产品注册证情况。
- 作者
- 内容
- 询问日期
文献和实验CD51 分子 CD51 常用单克隆抗体或代号: 13C2,23C6,NK1- M7;(VNRa 链,integrin a V) 主要表达细胞: Pt,En,Meg [Pt] 分子质量(kDa)和结构: gp150,与CD61组成二聚体 功 能: 粘附VN、FN和vWF CD51 Aka vitronectin receptor-alpha chain; beta chain
β亚单位,除α7和αIEL外,其它粘合素分子亚单位均已基因克隆成功。α亚单位和β亚单位组合构成粘合素分子并不是随机的,多数α亚单位只能与一种β亚单位结合构成异源双体,但也有的α亚单位可与几种不同的β亚单位组合,如αV(CD51)可分别同β1、β3、β5、β6和β8亚单位组成integrin分子,而大部分β单位则可以结合数种不同
v468. chapter 4 WNT 细胞通路 检测细胞GSK3活性与表达水平
consists of 5% (w/v) dried skim milk in Trisbufferedsaline/Tween-20 (TBS-T) buffer (50 mM Tris-HCl,pH 7.5, 150 mM NaCl, and 0.05% (v/v) Tween-20). 4. All antibodies are diluted 1:1,000 in 1% (w/v) dried skim milkin TBS-T, except the CRMP2 antibody (1:250
技术资料暂无技术资料 索取技术资料

















