相关产品推荐更多 >
万千商家帮你免费找货
0 人在求购买到急需产品
- 详细信息
- 技术资料
- 供应商:
上海康朗生物科技有限公司
- 库存:
大量
- 目录编号:
kl-12945R
- 克隆性:
多克隆
- 抗原来源:
Rabbit
- 保质期:
12个月
- 抗体英文名:
CSPS/MPST antibody
- 抗体名:
磺基转移酶CSPS抗体
- 宿主:
Rabbit
- 适应物种:
Human, Mouse, Rat, Cow, Rabbit, Sheep,
- 免疫原:
KLH conjugated synthetic peptide derived from human CSPS:201-295/295
- 亚型:
IgG
- 形态:
冻干粉或液体
- 应用范围:
WB=1:500-2000 ELISA=1:500-1000 IHC-P=1:400-800 IHC-F=1:400-800 ICC=1:100-500 IF=1:100-500
- 浓度:
1mg/ml
- 保存条件:
-20 °C
- 规格:
100ul 200ul
CSPS/MPST antibody
| 中文名称 | 磺基转移酶CSPS抗体 |
| 别 名 | Aryl sulfotransferase 1A3/1A4; Aryl sulfotransferase; Catecholamine Sulfating Phenol Sulfotransferase; Catecholamine-sulfating phenol sulfotransferase; Dopamine specific sulfotransferase; FLJ54864; HAST; HAST3; M PST; M-PST; Monoamine preferring sulfotransferase; Monoamine sulfating phenosulfotransferase; monoamine-preferring; Monoamine-sulfating phenol sulfotransferase; MPST; Phenol sulfotransferase 1A5; Placental estrogen sulfotransferase; ST1A3/ST1A4; ST1A3_HUMAN; ST1A5; STM; Sulfokinase; Sulfotransferase 1A3/1A4; Sulfotransferase; Sulfotransferase family cytosolic 1A phenol preferring member 3; Sulfotransferase family cytosolic 1A phenol preferring member 4; Sulfotransferase monoamine preferring; SULT1A 3; SULT1A4; Thermolabile (monoamine M form) phenol sulfotransferase; Thermolabile phenol sulfotransferase; TL PST; TL-PST; TLPST. |
| 规格价格 | 100ul/1380元 购买 200ul/2200元 购买 大包装/询价 |
| 说 明 书 | 100ul 200ul |
| 研究领域 | 肿瘤 细胞生物 神经生物学 信号转导 转录调节因子 |
| 抗体来源 | Rabbit |
| 克隆类型 | Polyclonal |
| 交叉反应 | Human, Mouse, Rat, Cow, Rabbit, Sheep, |
| 产品应用 | WB=1:500-2000 ELISA=1:500-1000 IHC-P=1:400-800 IHC-F=1:400-800 ICC=1:100-500 IF=1:100-500 (石蜡切片需做抗原修复) not yet tested in other applications. optimal dilutions/concentrations should be determined by the end user. |
| 分 子 量 | 34kDa |
| 细胞定位 | 细胞浆 |
| 性 状 | Lyophilized or Liquid |
| 浓 度 | 1mg/ml |
| 免 疫 原 | KLH conjugated synthetic peptide derived from human CSPS:201-295/295 |
| 亚 型 | IgG |
| 纯化方法 | affinity purified by Protein A |
| 储 存 液 | 0.01M TBS(pH7.4) with 1% BSA, 0.03% Proclin300 and 50% Glycerol. |
| 保存条件 | Store at -20 °C for one year. Avoid repeated freeze/thaw cycles. The lyophilized antibody is stable at room temperature for at least one month and for greater than a year when kept at -20°C. When reconstituted in sterile pH 7.4 0.01M PBS or diluent of antibody the antibody is stable for at least two weeks at 2-4 °C. |
| PubMed | PubMed |
| 产品介绍 | background: Cysteine string proteins (CSPs) are synaptic vesicle-associated, secretory vesicle proteins that are involved in Ca2+-regulated exocytosis of synaptic vesicles and modulation of presynaptic transmembrane calcium fluxes in neuroendocrine and endocrine cell types. CSP contains a J-domain that binds HSP 70/HSC 70 chaperone ATPases and a membrane-targeting, palmitoylated cysteine-rich string region. CSPs may act as molecular chaperones in synapses, and mediate conformational folding of components of the vesicular exocytotic machinery. CSP is involved in the fine tuning of neurotransmission through its interaction with receptor-coupled trimeric GTP binding proteins (G proteins) and N-type Ca2+ channels. Two variants of CSP have been described: CSP1; and the 31 amino acid, C-terminally truncated isoform, CSP2. Subcellular fractionation of insulinoma cells shows CSP1 in granular fractions, while the membrane and cytosol fractions contain predominantly CSP2. The fractions also contain additional proteins, presumably CSP dimers. Furthermore, in various mammalian cell lines (including rat brain) CSP1 expression predominates CSP2 expression. Function: Catalyzes the sulfate conjugation of phenolic monoamines (neurotransmitters such as dopamine, norepinephrine and serotonin) and phenolic and catechol drugs. Subunit: Homodimer. Subcellular Location: Cytoplasm. Tissue Specificity: Liver, colon, kidney, lung, brain, spleen, small intestine, placenta and leukocyte. Post-translational modifications: The N-terminus is blocked. Similarity: Belongs to the sulfotransferase 1 family. SWISS: P50224 Gene ID: 445329 Database links: Entrez Gene: 445329 Human Entrez Gene: 6818 Human Omim: 600641 Human SwissProt: P50224 Human Unigene: 460558 Human Unigene: 728806 Human Important Note: This product as supplied is intended for research use only, not for use in human, therapeutic or diagnostic applications. |
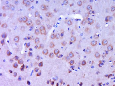
| 产品图片 | ![]() Paraformaldehyde-fixed, paraffin embedded (Mouse brain); Antigen retrieval by boiling in sodium citrate buffer (pH6.0) for 15min; Block endogenous peroxidase by 3% hydrogen peroxide for 20 minutes; Blocking buffer (normal goat serum) at 37°C for 30min; Antibody incubation with (CSPS) Polyclonal Antibody, Unconjugated (bs-12945R) at 1:400 overnight at 4°C, followed by operating according to SP Kit(Rabbit) (sp-0023) instructionsand DAB staining. |
风险提示:丁香通仅作为第三方平台,为商家信息发布提供平台空间。用户咨询产品时请注意保护个人信息及财产安全,合理判断,谨慎选购商品,商家和用户对交易行为负责。对于医疗器械类产品,请先查证核实企业经营资质和医疗器械产品注册证情况。
技术资料暂无技术资料 索取技术资料
CSPS/MPST antibody
¥1380 - 2200









