相关产品推荐更多 >
万千商家帮你免费找货
0 人在求购买到急需产品
- 详细信息
- 文献和实验
- 技术资料
- 供应商:
上海康朗生物科技有限公司
- 库存:
大量
- 目录编号:
kl-1280R
- 克隆性:
多克隆
- 抗原来源:
Rabbit
- 保质期:
12个月
- 抗体英文名:
TCF7L2 antibody
- 抗体名:
转录因子7类似物2抗体
- 宿主:
Rabbit
- 适应物种:
Human, Mouse, Rat, Chicken, Dog, Pig, Cow,
- 免疫原:
KLH conjugated synthetic peptide derived from human TCF7L2:401-550/619
- 亚型:
IgG
- 形态:
冻干粉或液体
- 应用范围:
ELISA=1:500-1000 IHC-P=1:400-800 IHC-F=1:400-800 IF=1:100-500
- 浓度:
1mg/ml
- 保存条件:
-20 °C
- 规格:
50ul 100ul 200ul
| 中文名称 | 转录因子7类似物2抗体 |
| 别 名 | E2 2; HMG box transcription factor 4; hTCF 4; Immunoglobulin transcription factor 2; ITF2; SEF2 1; SEF2 1A; SEF2 1B; SEF2; T cell factor 4; T cell specific HMG box; T cell specific transcription factor 4; TCF 4; TCF4; TCF7L2; TCF7L2 protein; hTCF-4; T-cell factor 4; T-cell-specific transcription factor 4; TCF-4; TF7L2_HUMAN; Transcription factor 7-like 2; Transcription factor 4; Transcription factor 7 like 2; Transcription factor 7 like 2 T cell specific HMG box. |
| 规格价格 | 50ul/780元 购买 100ul/1380元 购买 200ul/2200元 购买 大包装/询价 |
| 说 明 书 | 50ul 100ul 200ul |
| 研究领域 | 心血管 染色质和核信号 转录调节因子 表观遗传学 |
| 抗体来源 | Rabbit |
| 克隆类型 | Polyclonal |
| 交叉反应 | Human, Mouse, Rat, Chicken, Dog, Pig, Cow, |
| 产品应用 | ELISA=1:500-1000 IHC-P=1:400-800 IHC-F=1:400-800 IF=1:100-500 (石蜡切片需做抗原修复) not yet tested in other applications. optimal dilutions/concentrations should be determined by the end user. |
| 分 子 量 | 68kDa |
| 细胞定位 | 细胞核 |
| 性 状 | Lyophilized or Liquid |
| 浓 度 | 1mg/ml |
| 免 疫 原 | KLH conjugated synthetic peptide derived from human TCF7L2:401-550/619 |
| 亚 型 | IgG |
| 纯化方法 | affinity purified by Protein A |
| 储 存 液 | 0.01M TBS(pH7.4) with 1% BSA, 0.03% Proclin300 and 50% Glycerol. |
| 保存条件 | Store at -20 °C for one year. Avoid repeated freeze/thaw cycles. The lyophilized antibody is stable at room temperature for at least one month and for greater than a year when kept at -20°C. When reconstituted in sterile pH 7.4 0.01M PBS or diluent of antibody the antibody is stable for at least two weeks at 2-4 °C. |
| PubMed | PubMed |
| 产品介绍 | background: TCF-4, transcription factor 4, is a basic helix-turn-helix transcription factor. This protein recognizes an Ephrussi-box ('E-box') binding site ('CANNTG') - a motif first identified in immunoglobulin enhancers. The gene for TCF-4 is expressed predominantly in pre-B-cells, although it is found in other tissues as well. Multiple alternatively spliced transcript variants that encode different proteins have been described. TCF4, also known as TCF7L2, is expressed widely during development. Gene targeting study indicates that it is required to maintain the crypt stem cells of the small intestine. TCF4 has many different splicing isoforms and they are expressed differentially in tissues and in cancers of different stages. Studies also indicate that variant of the TCF4 gene confers an increased risk of type 2 diabetes. Function: Participates in the Wnt signaling pathway and modulates MYC expression by binding to its promoter in a sequence-specific manner. Acts as repressor in the absence of CTNNB1, and as activator in its presence. Activates transcription from promoters with several copies of the Tcf motif 5'-CCTTTGATC-3' in the presence of CTNNB1. TLE1, TLE2, TLE3 and TLE4 repress transactivation mediated by TCF7L2/TCF4 and CTNNB1. Expression of dominant-negative mutants results in cell-cycle arrest in G1. Necessary for the maintenance of the epithelial stem-cell compartment of the small intestine. Subunit: Interacts with TGFB1I1 (By similarity). Interacts with CTNNB1 (via the armadillo repeat); forms stable transcription complex. Interacts with EP300. Interacts with NLK. Interacts with CCDC85B (probably through the HMG box); prevents interaction with CTNNB1. Interacts with TNIK. Interacts with MAD2L2; prevents TCF7L2/TCF4 binding to promZIPK/DAPK3oters, negatively modulating its transcriptional activity. Interacts with ZIPK/DAPK3. Interacts with XIAP/BIRC4 and TLE3. Interacts with DDIT3/CHOP. Subcellular Location: Nucleus, PML body. Note=Diffuse pattern. Colocalizes with SUMO1 and PIAS4 in a subset of PML (promyelocytic leukemia) nuclear bodies. Tissue Specificity: Detected in epithelium from small intestine, with the highest expression at the top of the crypts and a gradient of expression from crypt to villus. Detected in colon epithelium and colon cancer, and in epithelium from mammary gland and carcinomas derived therefrom. Post-translational modifications: In vitro, phosphorylated by TNIK. Phosphorylated at Thr-201 and/or Thr-212 by NLK. Phosphorylation by NLK at these sites inhibits DNA-binding by TCF7L2/TCF4, thereby preventing transcriptional activation of target genes of the canonical Wnt/beta-catenin signaling pathway. Polysumoylated. Sumoylation is enhanced by PIAS family members and desumoylation is enhanced by SENP2. Sumoylation/desumoylation regulates TCF7L2/TCF4 transcription activity in the Wnt/beta-catenin signaling pathway without altering interaction with CTNNB1 nor binding to DNA. DISEASE: Note=Constitutive activation and subsequent transactivation of target genes may lead to the maintenance of stem-cell characteristics (cycling and longevity) in cells that should normally undergo terminal differentiation and constitute the primary transforming event in colorectal cancer (CRC). Diabetes mellitus, non-insulin-dependent (NIDDM) [MIM:125853]: A multifactorial disorder of glucose homeostasis caused by a lack of sensitivity to the body's own insulin. Affected individuals usually have an obese body habitus and manifestations of a metabolic syndrome characterized by diabetes, insulin resistance, hypertension and hypertriglyceridemia. The disease results in long-term complications that affect the eyes, kidneys, nerves, and blood vessels. Note=Disease susceptibility is associated with variations affecting the gene represented in this entry. Similarity: Belongs to the TCF/LEF family. Contains 1 HMG box DNA-binding domain. SWISS: Q9NQB0 Gene ID: 6934 Database links: Entrez Gene: 6934 Human Entrez Gene: 21416 Mouse Omim: 602228 Human SwissProt: Q9NQB0 Human SwissProt: Q924A0 Mouse Unigene: 593995 Human Unigene: 139815 Mouse Important Note: This product as supplied is intended for research use only, not for use in human, therapeutic or diagnostic applications. 主要用于2型糖尿病的研究,TCF7L2基因可能存在双重效应,抑制β细胞代偿,减小胰岛素分泌的退化。 |
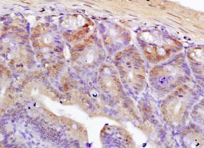
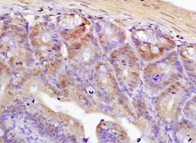
| 产品图片 | ![]() Paraformaldehyde-fixed, paraffin embedded (Rat colon); Antigen retrieval by boiling in sodium citrate buffer (pH6.0) for 15min; Block endogenous peroxidase by 3% hydrogen peroxide for 20 minutes; Blocking buffer (normal goat serum) at 37°C for 30min; Antibody incubation with (TCF7L2) Polyclonal Antibody, Unconjugated (bs-1280R) at 1:500 overnight at 4°C, followed by a conjugated secondary (sp-0023) for 20 minutes and DAB staining. |
风险提示:丁香通仅作为第三方平台,为商家信息发布提供平台空间。用户咨询产品时请注意保护个人信息及财产安全,合理判断,谨慎选购商品,商家和用户对交易行为负责。对于医疗器械类产品,请先查证核实企业经营资质和医疗器械产品注册证情况。
文献和实验Generation of Antibody Molecules Through Antibody Engineering
been overcome to a large extent using genetic-engineering techniques to produce chimeric mouse/human and completely human antibodies. Such an approach is particularly suitable because of the domain structure of the antibody molecule ( 2 ), where functional
The importance of antibody molecules was first recognized in the 1890s, when it was shown that immunity to tetanus and diphtheria was caused by antibodies against the bacterial exotoxins (1 ). Around the same time, it was shown that antisera
General comments: Antibodies, like most proteins, do not like to be freeze-thawed. Avoid repetitive freezing of your solution. The best way to store your antibody is to keep a high protein concentration (>1 mg/ml), add some protease
技术资料暂无技术资料 索取技术资料









