相关产品推荐更多 >
万千商家帮你免费找货
0 人在求购买到急需产品
- 详细信息
- 文献和实验
- 技术资料
- 供应商:
上海康朗生物科技有限公司
- 库存:
大量
- 目录编号:
kl-12139R
- 克隆性:
多克隆
- 抗原来源:
Rabbit
- 保质期:
12个月
- 抗体英文名:
DLGAP2 antibody
- 抗体名:
PSD95结合蛋白2抗体
- 宿主:
Rabbit
- 适应物种:
Human, Mouse, Rat,
- 免疫原:
KLH conjugated synthetic peptide derived from human SAPAP2/DLGAP2:251-360/1054
- 亚型:
IgG
- 形态:
冻干粉或液体
- 应用范围:
WB=1:500-2000 ELISA=1:500-1000 IHC-P=1:400-800 IHC-F=1:400-800 ICC=1:100-500 IF=1:100-500
- 浓度:
1mg/ml
- 保存条件:
-20 °C
- 规格:
100ul 200ul
| 中文名称 | PSD95结合蛋白2抗体 |
| 别 名 | DLGAP2; SAPAP2; DAP-2; DAP2; Discs large (Drosophila) homolog associated protein 2; Discs large homolog associated protein 2; Disks large-associated protein 2; Dlgap2; DLGP2_HUMAN; PSD-95/SAP90-binding protein 2; SAP90/PSD-95-associated protein 2; SAPAP2; hide. |
| 规格价格 | 100ul/1380元 购买 200ul/2200元 购买 大包装/询价 |
| 说 明 书 | 100ul 200ul |
| 研究领域 | 神经生物学 细胞膜受体 |
| 抗体来源 | Rabbit |
| 克隆类型 | Polyclonal |
| 交叉反应 | Human, Mouse, Rat, |
| 产品应用 | WB=1:500-2000 ELISA=1:500-1000 IHC-P=1:400-800 IHC-F=1:400-800 ICC=1:100-500 IF=1:100-500 (石蜡切片需做抗原修复) not yet tested in other applications. optimal dilutions/concentrations should be determined by the end user. |
| 分 子 量 | 118kDa |
| 细胞定位 | 细胞膜 |
| 性 状 | Lyophilized or Liquid |
| 浓 度 | 1mg/ml |
| 免 疫 原 | KLH conjugated synthetic peptide derived from human SAPAP2/DLGAP2:251-360/1054 |
| 亚 型 | IgG |
| 纯化方法 | affinity purified by Protein A |
| 储 存 液 | 0.01M TBS(pH7.4) with 1% BSA, 0.03% Proclin300 and 50% Glycerol. |
| 保存条件 | Store at -20 °C for one year. Avoid repeated freeze/thaw cycles. The lyophilized antibody is stable at room temperature for at least one month and for greater than a year when kept at -20°C. When reconstituted in sterile pH 7.4 0.01M PBS or diluent of antibody the antibody is stable for at least two weeks at 2-4 °C. |
| PubMed | PubMed |
| 产品介绍 | background: A guanylate kinase is a phosphotransferase that produces ADP and GDP from the substrates ATP and GMP. SAPAP2, also known as DAP-2 (Disks large-associated protein 2) and PSD-95/SAP90-binding protein 2, is a 1054 amino acid protein that localizes to the postsynaptic membrane of neuronal cells of the brain and kidney. SAPAP2 likely acts as a signaling molecule which interacts with the human genes DLG1 and DLG4/PSD-95. The gene encoding SAPAP2, DLGAP2, maps to human chromosome 8. Consisting of nearly 146 million base pairs, chromosome 8 encodes over 800 genes and is associated with a variety of diseases and malignancies. Schizophrenia, bipolar disorder, Trisomy 8, Pfeiffer syndrome, congenital hypothyroidism, Waardenburg syndrome and some leukemias and lymphomas are thought to occur as a result of defects in specific genes that maps to chromosome 8. Function: May play a role in the molecular organization of synapses and neuronal cell signaling. Could be an adapter protein linking ion channel to the subsynaptic cytoskeleton. May induce enrichment of PSD-95/SAP90 at the plasma membrane. Subunit: Interacts with DLG1 and DLG4/PSD-95. Subcellular Location: Cell membrane. Cell junction, synapse, postsynaptic cell membrane, postsynaptic density. Cell junction, synapse. Postsynaptic density of neuronal cells. Tissue Specificity: Expressed in brain and kidney. Similarity: Belongs to the SAPAP family. SWISS: Q9P1A6 Gene ID: 9228 Database links: Entrez Gene: 9228 Human Entrez Gene: 244310 Mouse Entrez Gene: 116681 Rat Omim: 605438 Human SwissProt: Q9P1A6 Human SwissProt: Q8BJ42 Mouse SwissProt: P97837 Rat Unigene: 113287 Human Unigene: 404697 Mouse Unigene: 10705 Rat Important Note: This product as supplied is intended for research use only, not for use in human, therapeutic or diagnostic applications. |
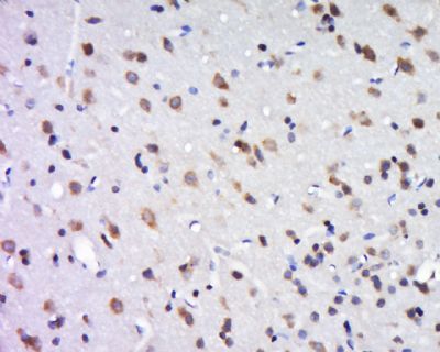
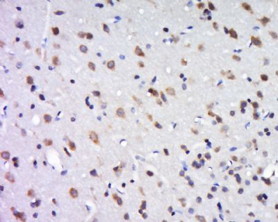
| 产品图片 | ![]() Sample: MCF-7 Cell (Human) Lysate at 40 ug Primary: Anti-DLGAP2 (bs-12139R) at 1/300 dilution Secondary: IRDye800CW Goat Anti-Rabbit IgG at 1/20000 dilution Predicted band size: 118 kD Observed band size: 118 kD ![]() Tissue/cell: Rat brain tissue ; 4% Paraformaldehyde-fixed and paraffin-embedded; Antigen retrieval: citrate buffer ( 0.01M, pH 6.0 ), Boiling bathing for 15min; Block endogenous peroxidase by 3% Hydrogen peroxide for 30min; Blocking buffer (normal goat serum,C-0005) at 37℃ for 20 min; Incubation: Anti-DLGAP2 Polyclonal Antibody, Unconjugated(bs-12139R) 1:500, overnight at 4°C, followed by conjugation to the secondary antibody(SP-0023) and DAB(C-0010) staining |
风险提示:丁香通仅作为第三方平台,为商家信息发布提供平台空间。用户咨询产品时请注意保护个人信息及财产安全,合理判断,谨慎选购商品,商家和用户对交易行为负责。对于医疗器械类产品,请先查证核实企业经营资质和医疗器械产品注册证情况。
文献和实验Generation of Antibody Molecules Through Antibody Engineering
been overcome to a large extent using genetic-engineering techniques to produce chimeric mouse/human and completely human antibodies. Such an approach is particularly suitable because of the domain structure of the antibody molecule ( 2 ), where functional
The importance of antibody molecules was first recognized in the 1890s, when it was shown that immunity to tetanus and diphtheria was caused by antibodies against the bacterial exotoxins (1 ). Around the same time, it was shown that antisera
General comments: Antibodies, like most proteins, do not like to be freeze-thawed. Avoid repetitive freezing of your solution. The best way to store your antibody is to keep a high protein concentration (>1 mg/ml), add some protease
技术资料暂无技术资料 索取技术资料












