相关产品推荐更多 >
万千商家帮你免费找货
0 人在求购买到急需产品
- 详细信息
- 文献和实验
- 技术资料
- 供应商:
上海康朗生物科技有限公司
- 库存:
大量
- 目录编号:
kl-1206R
- 克隆性:
多克隆
- 抗原来源:
Rabbit
- 保质期:
12个月
- 抗体英文名:
GLI1 antibody
- 抗体名:
脑胶质瘤相关蛋白抗体(锌指蛋白5)
- 宿主:
Rabbit
- 适应物种:
Human, Mouse, Rat, Dog, Cow, Horse,
- 免疫原:
KLH conjugated synthetic peptide derived from human GLI1/Zfp5:601-700/1106
- 亚型:
IgG
- 形态:
冻干粉或液体
- 应用范围:
WB=1:500-2000 ELISA=1:500-1000 IHC-P=1:400-800 IHC-F=1:400-800 Flow-Cyt=1ug/Test IF=1:100-500
- 浓度:
1mg/ml
- 保存条件:
-20 °C
- 规格:
50ul 100ul 200ul
| 中文名称 | 脑胶质瘤相关蛋白抗体(锌指蛋白5) |
| 别 名 | Gli 1; Gli1; Gli-1; GLI; GLI Kruppel family member 1; Glioma associated oncogene; Glioma associated oncogene homolog 1 (zinc finger protein); Oncogene GLI; Zfp 5; Zfp5; Zinc finger protein GLI 1; Zinc finger protein GLI1; GLI1_HUMAN. |
![]() |
Specific References (6) | bs-1206R has been referenced in 6 publications. [IF=4.46] Du, Wen‐Zhong, et al. "Curcumin Suppresses Malignant Glioma Cells Growth and Induces Apoptosis by Inhibition of SHH/GLI1 Signaling Pathway in Vitro and Vivo." CNS Neuroscience & Therapeutics (2013). Human. PubMed:24165291 [IF=3.73] Zhang, Qiang, et al. "Serotonin Receptor 2C and Insulin Secretion." PloS one 8.1 (2013): e54250. WB ; Mouse. PubMed:23349838 [IF=2.40] Yue, Yongjian, et al. "Aberrant activation of Hedgehog pathway in Nasopharyngeal carcinoma." Clinical and Experimental Medicine (2012): 1-8. IHC-P ; Human. PubMed:23001130 [IF=2.15] Fan, Hai-Xia, et al. "Sonic hedgehog signaling may promote invasion and metastasis of oral squamous cell carcinoma by activating MMP-9 and E-cadherin expression." Medical Oncology 31.7 (2014): 1-8. IHC-P ; Human. PubMed:24915900 [IF=2.30] Ma, Zhenkun, et al. "Silibinin induces apoptosis through inhibition of the mTOR-GLI1-BCL2 pathway in renal cell carcinoma." Oncology Reports. other ; PubMed:26323996 [IF=2.88] Long, B., et al. "Targeting GLI1 Suppresses Cell Growth and Enhances Chemosensitivity in CD34+ Enriched Acute Myeloid Leukemia Progenitor Cells." Cellular Physiology and Biochemistry 38.4 (2016): 1288-1302. Human. PubMed:27008269 |
| 规格价格 | 50ul/780元 购买 100ul/1380元 购买 200ul/2200元 购买 大包装/询价 |
| 说 明 书 | 50ul 100ul 200ul |
| 研究领域 | 肿瘤 细胞生物 神经生物学 信号转导 表观遗传学 |
| 抗体来源 | Rabbit |
| 克隆类型 | Polyclonal |
| 交叉反应 | Human, Mouse, Rat, Dog, Cow, Horse, |
| 产品应用 | WB=1:500-2000 ELISA=1:500-1000 IHC-P=1:400-800 IHC-F=1:400-800 Flow-Cyt=1ug/Test IF=1:100-500 (石蜡切片需做抗原修复) not yet tested in other applications. optimal dilutions/concentrations should be determined by the end user. |
| 分 子 量 | 118kDa |
| 细胞定位 | 细胞核 细胞浆 |
| 性 状 | Lyophilized or Liquid |
| 浓 度 | 1mg/ml |
| 免 疫 原 | KLH conjugated synthetic peptide derived from human GLI1/Zfp5:601-700/1106 |
| 亚 型 | IgG |
| 纯化方法 | affinity purified by Protein A |
| 储 存 液 | 0.01M TBS(pH7.4) with 1% BSA, 0.03% Proclin300 and 50% Glycerol. |
| 保存条件 | Store at -20 °C for one year. Avoid repeated freeze/thaw cycles. The lyophilized antibody is stable at room temperature for at least one month and for greater than a year when kept at -20°C. When reconstituted in sterile pH 7.4 0.01M PBS or diluent of antibody the antibody is stable for at least two weeks at 2-4 °C. |
| PubMed | PubMed |
| 产品介绍 | background: This gene encodes a member of the Kruppel family of zinc finger proteins. The encoded transcription factor is activated by the sonic hedgehog signal transduction cascade and regulates stem cell proliferation. The activity and nuclear localization of this protein is negatively regulated by p53 in an inhibitory loop. Multiple transcript variants encoding different isoforms have been found for this gene. [provided by RefSeq, May 2009] Function: Acts as a transcriptional activator. May regulate the transcription of specific genes during normal development. May play a role in craniofacial development and digital development, as well as development of the central nervous system and gastrointestinal tract. Mediates SHH signaling and thus cell proliferation and differentiation. Subcellular Location: Cytoplasm. Nucleus. Tethered in the cytoplasm by binding to SUFU. Activation and translocation to the nucleus is promoted by interaction with STK36. Phosphorylation by ULK3 may promote nuclear localization. Translocation to the nucleus is promoted by interaction with ZIC1. Tissue Specificity: Testis, myometrium and fallopian tube. Also expressed in the brain with highest expression in the cerebellum, optic nerve and olfactory tract. SWISS: P08151 Gene ID: 2735 Database links: Entrez Gene: 2735 Human Entrez Gene: 14632 Mouse Entrez Gene: 140589 Rat Entrez Gene: 517588 Cow Omim: 165220 Human SwissProt: P08151 Human SwissProt: P47806 Mouse Unigene: 632702 Human Unigene: 391450 Mouse Unigene: 219157 Rat Important Note: This product as supplied is intended for research use only, not for use in human, therapeutic or diagnostic applications. GLI1是一种具有很强活性的转录激活因子,GLI1诱导G1/S细胞周期调节蛋白的表达从而促进细胞的增殖; 直接诱导抗凋亡因子Bcl-2的表达以抑制凋亡; 直接激活促进上皮组织向间质转化因子的转录从而加重了肿瘤的侵袭性。目前主要用于肿瘤及神经方面的研究。 |
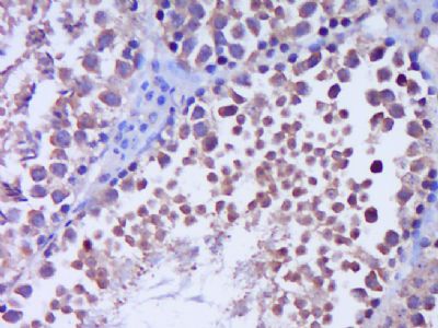
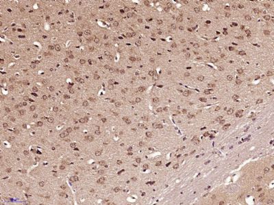
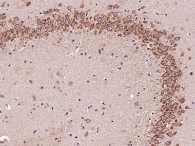
| 产品图片 | ![]() Sample: Uterus(Mouse)Lysate at 40 ug Ovary (Mouse)Lysate at 40 ug Primary: Anti-GLI1(bs-1206R)at 1/300 dilution Secondary: IRDye800CW Goat Anti-RabbitIgG at 1/20000 dilution Predicted band size: 118kD Observed band size: 130kD ![]() Sample:HepG2 (Human)Cell Lysate at 40 ug Primary: Anti-GLI1(bs-1206R)at 1/300 dilution Secondary: IRDye800CW Goat Anti-RabbitIgG at 1/20000 dilution Predicted band size: 118kD Observed band size: 130kD ![]() Paraformaldehyde-fixed, paraffin embedded (Rat testis); Antigen retrieval by boiling in sodium citrate buffer (pH6.0) for 15min; Block endogenous peroxidase by 3% hydrogen peroxide for 20 minutes; Blocking buffer (normal goat serum) at 37°C for 30min; Antibody incubation with (GLI1) Polyclonal Antibody, Unconjugated (bs-1206R) at 1:400 overnight at 4°C, followed by operating according to SP Kit(Rabbit) (sp-0023) instructionsand DAB staining. ![]() Paraformaldehyde-fixed, paraffin embedded (Mouse brain); Antigen retrieval by boiling in sodium citrate buffer (pH6.0) for 15min; Block endogenous peroxidase by 3% hydrogen peroxide for 20 minutes; Blocking buffer (normal goat serum) at 37°C for 30min; Antibody incubation with (GLI1) Polyclonal Antibody, Unconjugated (bs-1206R) at 1:400 overnight at 4°C, followed by operating according to SP Kit(Rabbit) (sp-0023) instructionsand DAB staining. ![]() Paraformaldehyde-fixed, paraffin embedded (Rat brain); Antigen retrieval by boiling in sodium citrate buffer (pH6.0) for 15min; Block endogenous peroxidase by 3% hydrogen peroxide for 20 minutes; Blocking buffer (normal goat serum) at 37°C for 30min; Antibody incubation with (GLI1) Polyclonal Antibody, Unconjugated (bs-1206R) at 1:400 overnight at 4°C, followed by operating according to SP Kit(Rabbit) (sp-0023) instructionsand DAB staining. ![]() Paraformaldehyde-fixed, paraffin embedded (Human brain glioma); Antigen retrieval by boiling in sodium citrate buffer (pH6.0) for 15min; Block endogenous peroxidase by 3% hydrogen peroxide for 20 minutes; Blocking buffer (normal goat serum) at 37°C for 30min; Antibody incubation with (GLI1) Polyclonal Antibody, Unconjugated (bs-1206R) at 1:400 overnight at 4°C, followed by operating according to SP Kit(Rabbit) (sp-0023) instructionsand DAB staining. ![]() Paraformaldehyde-fixed, paraffin embedded (Mouse uterus); Antigen retrieval by boiling in sodium citrate buffer (pH6.0) for 15min; Block endogenous peroxidase by 3% hydrogen peroxide for 20 minutes; Blocking buffer (normal goat serum) at 37°C for 30min; Incubation: Anti-GLI1 Antibody, conjugated (bs-1206R-AF555) at 1:100 overnight at 4°C; DAPI (5ug/ml, blue, C-0033) was used to stain the cell nuclei. ![]() Paraformaldehyde-fixed, paraffin embedded (Mouse brain); Antigen retrieval by boiling in sodium citrate buffer (pH6.0) for 15min; Block endogenous peroxidase by 3% hydrogen peroxide for 20 minutes; Blocking buffer (normal goat serum) at 37°C for 30min; Incubation: Anti-GLI1 Antibody, conjugated (bs-1206R-AF555) at 1:100 overnight at 4°C; DAPI (5ug/ml, blue, C-0033) was used to stain the cell nuclei. ![]() Blank control: RSC96(blue), the cells were fixed with 2% paraformaldehyde (10 min) and then permeabilized with ice-cold 90% methanol for 30 min on ice. Isotype Control Antibody: Rabbit IgG(orange) ; Secondary Antibody: Goat anti-rabbit IgG-PE(white blue), Dilution: 1:200 in 1 X PBS containing 0.5% BSA . Primary Antibody Dilution: 1μg in 100 μL1X PBS containing 0.5% BSA(green). |
风险提示:丁香通仅作为第三方平台,为商家信息发布提供平台空间。用户咨询产品时请注意保护个人信息及财产安全,合理判断,谨慎选购商品,商家和用户对交易行为负责。对于医疗器械类产品,请先查证核实企业经营资质和医疗器械产品注册证情况。
文献和实验Generation of Antibody Molecules Through Antibody Engineering
been overcome to a large extent using genetic-engineering techniques to produce chimeric mouse/human and completely human antibodies. Such an approach is particularly suitable because of the domain structure of the antibody molecule ( 2 ), where functional
The importance of antibody molecules was first recognized in the 1890s, when it was shown that immunity to tetanus and diphtheria was caused by antibodies against the bacterial exotoxins (1 ). Around the same time, it was shown that antisera
General comments: Antibodies, like most proteins, do not like to be freeze-thawed. Avoid repetitive freezing of your solution. The best way to store your antibody is to keep a high protein concentration (>1 mg/ml), add some protease
技术资料暂无技术资料 索取技术资料




















